Page 115

9 Cysts

J. Marley, C.G. Cowan

A variety of cysts occur in the orofacial region and often present first to the general dental practitioner.
Cysts are usually classified as odontogenic or non-odontogenic in origin and may present within the hard and soft tissues of the head and neck region.
Other lesions; benign and malignant, can present with similar clinical and radiological findings (see Ch. 8). Histology is required to establish the diagnosis.
There are two methods of treatment: enucleation, a one-stage procedure to remove the entire cyst, and marsupialization, a method of decompressing the cyst by converting it into a pouch.
Small cysts are best treated with primary enucleation.
Marsupialization is often the most appropriate treatment for extensive lesions, particularly for the elderly and/or patients with significant co-morbidity or if the cyst is infected or in close proximity to important anatomical structures.

ASSUMED KNOWLEDGE

It is assumed that at this stage you will have knowledge/competencies in the following areas:

anatomy of the face and jaws
WHO classification of odontogenic tumours and cysts
pathological and radiological appearance of cysts and other benign oral lesions
practice of surgical endodontics (apicectomy) (see Ch. 6).

If you feel you are not competent in these areas, revise them before reading this chapter or cross-check with relevant texts as you read.

INTENDED LEARNING OUTCOMES

At the end of this chapter you should be able to:

1. Recognize cysts according to clinical symptoms and signs, anatomical site and radiographic appearance
2. Develop a differential diagnosis based on the clinical features, anatomical site and radiographic findings
3. Understand the principles of surgical management relating to both enucleation and marsupialization
4. Propose treatment options according to probable diagnosis, anatomical relationships and size of lesion
5. Understand the level of operator experience required for surgery and recognize cases that will require referral
Page 116
6. Either alone or in conjunction with a specialist, advise patients concerning the nature and effects of their disease, its treatment and any follow-up regimen.

OVERVIEW

Cysts of the face and jaws are common and present a wide variation in type. The vast majority of cysts are intrabony and odontogenic in origin and these will form the basis of this chapter with minor reference to the rarer soft-tissue cysts, e.g. dermoid and branchial cysts.

By definition true cysts are developmental or reactive lesions with the vast majority growing by fluid accumulation. This gives them their benign characteristics with the typical resorption of bone and displacement of adjacent structures such as the neurovascular bundle as a result of the pressure effect, properties that are common to benign tumours as well. There are, however, some cysts that grow by cell proliferation, e.g. the odontogenic keratocyst, and they tend to behave in a more aggressive manner with recurrence common. This cyst has been re-classified as a locally invasive tumour (Philipsen 2005), although it should be noted that unlike most tumours, this condition can be successfully treated by partial removal (see below concerning marsupialization). In addition there are tumours, locally invasive and true malignancies, that can appear cystic on presentation, e.g. ameloblastoma, adenoid cystic carcinoma and some sarcomas. Malignant change in cysts has been reported but is a very rare occurrence.

Despite these variations, presenting symptoms and signs tend to be similar. The principles of management are dictated by predicted behaviour, which in turn is dependent on histological type.

This chapter will be confined to clinical diagnosis and principles of treatment of the commonly occurring cysts of the mouth and jaws.

DEFINITION

A cyst is a pathological cavity usually lined by epithelium with fluid or semifluid contents, not created by the accumulation of pus.

DIAGNOSIS

Presenting symptoms and signs

Intrabony cysts may remain symptomless for many years and only come to light as an incidental finding on routine dental inspection or radiographic investigation (Fig. 9.1) or can present in a variety of ways described below.

image

Fig. 9.1 Occlusal radiograph of a radicular (dental) cyst, displaying a well-defined radiolucency arising from a non-vital upper lateral incisor.

Association with teeth

Radicular (dental) cysts are the most common of all cysts and are associated with a non-vital root of a tooth. Ectopic teeth can often be associated with cysts either as the primary cause as with the dentigerous cyst (Fig. 9.2) or when displaced by a cyst, such as an odontogenic keratocyst. It is important to appreciate that other more significant conditions, e.g. ameloblastoma, may also present in this manner (see Ch. 8).

image

Fig. 9.2 A dentigerous cyst associated with an unerupted lower third molar.

Page 117

Site

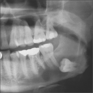
Many cysts show a predilection for specific areas. For example, 75% of odontogenic keratocysts present at the mandibular angle (Fig. 9.3) whilst 88% of glandular odontogenic cysts occur at the anterior mandible (Cawson et al. 2001). Some cysts are completely site-specific such as the nasopalatine duct cyst, which arises from tissues within the incisive canal, and the paradental cyst, which is associated with impacted lower third molars. Also of note is the group of cysts that present in the gingival area including the inflammatory lateral periodontal cyst (a variant of a radicular cyst), the true lateral periodontal cyst, the peripheral odontogenic keratocyst and gingival cyst of adults. These classically present coronal to the apices and in-between teeth in the premolar areas.

image

Fig. 9.3 An odontogenic keratocyst at the angle of the mandible.

Site is also a major diagnostic feature for the rare soft-tissue cysts, particularly the developmental dermoid, nasolabial and thyroglossal duct cysts (see below).

Swelling

Swelling is a common presenting complaint and if extensive can cause both intraoral and extraoral asymmetry. Importantly the swelling is normally clinically discrete and well demarcated. Where there has been extensive expansion of the cyst the overlying bone will be thin or absent. In the former, the surface will feel firm but flexible, but if the overlying bone has been completely eroded it will appear as a tense bluish swelling that feels ‘fluctuant’ (Fig. 9.4) (see Ch. 7 for a description of fluctuance).

image

Fig. 9.4 Bluish swelling associated with an eruption cyst on a lower first molar.

Page 118

Patterns of growth and anatomical site

How the cyst grows and the anatomical site will dictate the extent and presentation of swelling. Cysts will expand quicker through cancellous and thin cortical bone and so tend to present sooner in the anterior region than in the posterior mandible. In contrast, the late presentation of cysts in the posterior mandible/maxilla reflects cysts spreading along cancellous bone or into the maxillary air sinus respectively, thus making clinically obvious swelling a late feature. This can be of major significance in terms of making the initial diagnosis, primary management and follow-up, particularly for keratocysts where recurrence is common.

Cysts that develop by fluid accumulation and consequent hydrostatic pressure, e.g. inflammatory and dentigerous cysts, will develop spherically and so expand through cortical bone relatively early. In contrast, odontogenic keratocysts grow by cellular proliferation. Expansion tends be to a late feature, with the keratocyst preferentially expanding within the cancellous bone, leading to a greater anteroposterior dimension on radiographic examination.

Pain

Pain is uncommon and is usually indicative of acute infection. This can arise in any of the cyst types but is more likely in radicular cysts, which have an inflammatory aetiology. On rare occasions large mandibular cysts that become infected cause dysaesthesia in the inferior alveolar nerve distribution or acute sinusitis in the case of an infected maxillary cyst.

Lobulation

Where a radiolucency displays lobulation it is strongly suggestive of the keratocyst (Fig. 9.3), which has a pattern of cyst growth with ‘invasion’ of lining epithelium through the cancellous bone space leaving behind isthmi of bone.

Associated signs/symptoms

As well as eroding bone, cysts can affect the adjacent structures, teeth and neurovascular structures. Erupted teeth are occasionally loosened or displaced, sometimes enough to disrupt the occlusion or alter the shape of the alveolus and the fit of a prosthesis. Rarely cysts can resorb teeth (infection increasing the risk). In extreme cases mandibular cysts can cause so much destruction of bone that a pathological fracture occurs (Fig. 9.5).

image

Fig. 9.5 An extensive cyst with a fracture of the mandible.

Clinical features of jaw cysts

Often none at all (chance finding on X-ray)
Swelling (usually bony, smooth but later soft, bluish and fluctuant)
Displacement of teeth
Increased mobility of teeth
Evidence of a cause (missing or non-vital teeth, infection)
Rarely pathological fracture
Page 119

Special investigations

Radiology is a key investigation in determining the diagnosis and the extent and anatomical relationships of the lesion. It is therefore important in treatment planning and issues relating to consent. Simple plain films such as orthopantomogram (OPT), periapical and occlusal views are normally sufficient but for extensive cysts, particularly if they may be extending into soft tissue (e.g. the lingual area or the maxillary sinus and pterygoid regions), advanced imaging such as CT will be required. For further details of the radiological features of cysts, readers are referred to standard texts on dental and maxillofacial radiology. However, the general radiological features of cysts can be summarized as radiolucencies with a well-defined, corticated margin. The features of site, shape, relationship to teeth and whether there is any lobulation will all contribute to the diagnosis.

The rare soft-tissue cysts—branchial, thyroglossal and dermoid—need specialist investigation, which may include ultrasound, CT and MRI scanning.

Given the variety of cysts with their differing propensity to recur and the possibility of other cyst-mimicking pathology, a definite diagnosis is essential.

All cyst specimens should therefore be submitted for histological examination (see Ch. 8). Often this takes the form of an excisional biopsy when establishment of the histological diagnosis is coupled with complete removal of the lesion. For larger lesions it is essential to match the cyst type to the appropriate surgical treatment so it is sometimes best to perform an incisional biopsy to establish diagnosis before considering major surgery.

The diagnosis of cysts in the upper premolar and molar regions can be problematic given the relation of the maxillary antrum. On occasions aspiration biopsy can be of value in confirming presence of a cyst. This involves a small incision through the mucosa to expose the appropriate area and depending on the thickness of bone, either direct introduction of a wide-bore needle or use of a bone drill can facilitate this. Aspiration of air indicates the maxillary sinus. Fluid aspiration indicates a cyst, with mucus being suggestive of an antral mucosal cyst, straw-coloured fluid with cholesterol crystals a dental cyst and pus an infected cyst or sinus infection. No aspirate may mean the cyst contents are too viscous to be aspirated but significantly it may indicate a solid lesion and therefore a possible neoplasm.

Radiological features

Well-defined radiolucency with a corticated margin
Possibly unilocular or multilocular (or multilobular)
Relationship with teeth
Radicular
Dentigerous relationship (dentigerous cysts and keratocysts)
Capable of displacing or resorbing teeth
Relationship with adjacent structures
Usually displaces inferior alveolar canal
Extends into and displaces maxillary antrum
Radiological signs similar to those of other lesions, cf ameloblastoma, etc. (Ch. 8)

Differential diagnosis of radiolucencies of the jaws

Cysts: well defined, corticated, locular/multilocular/multilobular, displacement of adjacent structures
Central giant-cell granuloma: well-defined boundary, not corticated
Ameloblastoma: multilocular/unilocular, defined or diffuse edge, usually displaces adjacent structures, may resorb roots of adjacent teeth
Ossifying fibroma: diffuse edge, mixed radiolucency/opacity
Myxoma: soap bubble
Multiple myeloma: multiple, punched out, rounded but not corticated

PRINCIPLES OF TREATMENT

Depending on the experience of the operator, patients with small cysts can be treated under local anaesthesia, with or without sedation, in general dental practice. The specimen should be sent for histological analysis to confirm diagnosis and consequently whether recurrence is likely. Large lesions may require more complex investigations and treatment, best undertaken in hospital, with surgery performed under general anaesthesia.

The need to remove teeth associated with a cyst depends upon the diagnosis. Teeth are routinely retained when removing radicular cysts provided they have had good preoperative endodontics and have a good prognosis postoperatively in terms of periodontal support and suitability for restoration. However, teeth that are significantly resorbed, have been grossly displaced, lie within the cyst or significantly inhibit access to the cyst may also need to be removed.

Page 120

There are two methods of treating cysts: enucleation and marsupialization.

Enucleation

Enucleation involves the complete removal of a cyst lining (Fig. 9.6). It is best used for small to medium-sized cysts and is dependent on the establishment of a blood clot in the cavity, its subsequent organization and its eventual replacement with new bone. The main limiting factor is size. Extensive defects will give rise to large clots and are prone to becoming secondarily infected with subsequent wound breakdown. The presence of pre-existing infection will also compromise primary healing. If acute the infection should be treated prior to surgery, or if chronic, by careful wound management or by marsupialization.

image

Fig. 9.6 (a–c) Cyst enucleation using a Mitchell’s trimmer, with the convex surface initially in contact with the cyst and the edge against bone.

The cyst lining should be carefully separated from the surrounding structures in an attempt to remove the lesion intact. The success of enucleation depends on adequate access through the overlying mucoperiosteum and bone. An incision is made well clear of the margins of the cyst to ensure that the wound margin will lie on sound bone postoperatively. Access usually requires some bone removal. But if the overlying bone is thin an access point can be gained by a curette to carefully pick off a small portion of bone and allow the insinuation of a periosteal elevator under the bone edge to develop a plane of dissection. The cyst lining can then be gently pushed away and the access extended with bone nibblers. Thick bony plates are best removed by cutting an outline window with a bur. This is not extended completely through to the cyst but fractured and levered up and away from the underlying cyst using a thin periosteal elevator or a Warwick-James elevator. Again, the cyst can be separated from the bone and the access widened with surgical burs. Avoid using bone nibblers on thick plates of bone as it is possible to fracture the plate of bone.

Page 121

It is important to carefully dissect away the overlying bone and expose the cyst lining without tearing it. Curettes such as a Mitchell’s trimmer or Cumine Scaler are useful in teasing away the cyst lining from the underlying bone, but it is important to keep the edge of the instrument against bone to develop the plane of dissection around the cyst. Chronically infected cysts can be difficult as their linings may be firmly adherent to the bone, and/or the mucoperiosteal flap or adjacent palatal mucoperiosteum. In such instances it is essential to develop the plane of dissection around the margins and develop exposure using sharp and blunt dissection techniques to separate the cyst lining from the bone and soft tissues (see Ch. 8).

Healing is dependent on organization and eventual replacement of the blood clot with new bone, so wound repair and postoperative care must focus on this. The cavity must be checked to ensure all remnants of cyst lining or contents and fragments of bone are removed, particularly so if the cyst was infected. It is also important to reduce any sharp edges of the bony cavity as they can ulcerate through later and compromise healing. This can be done with bone files or carefully with a surgical bur and in principle the less bone removed the better. The edges can be checked by replacing the flap and palpating the margins; if they feel sharp through the flap they will need further attention.

Haemostasis is essential as haematomas under the flap will cause swelling and bruising that will delay healing and they are prone to infection. It is important therefore to identify any bleeding points. For general bleeding from the bony cavity a pressure pack (for 5 to 10 minutes) or bone wax for specific points will normally suffice. Soft-tissue bleeding can be controlled with diathermy but must be used with care if close to nerves. If there is persistent bleeding it is usually from the bony cavity and on occasions may need definitive packing. This can be in the form of resorbable haemostatic agents or packing such as ribbon gauze dressed with Whitehead’s varnish or other antiseptic, which will need to be removed. For the former it is still appropriate to proceed with primary closure of the cavity but breakdown of the clot is now more likely and the patient should be warned about the signs of infection, pain, swelling and, depending on the site, dysaesthesia. If a non-resorbable pack is used, the treatment has, in effect, been converted to a multistage procedure. Although the cyst has not been marsupialized it will now require similar management (see below). In this case, as the cavity has no epithelial lining, initial removal of the pack can be very painful as the pack tends to be stuck down to the raw bone and ‘solid’ with blood. Once the cavity granulates and develops a lining it is managed as a marsupialized cyst and dressing changes are simple and wound healing generally quite quick (see below). For large cavities an external pressure dressing (for 12 hours) taped to the skin can help to reduce risk of haematomas and swelling.

Adjunctive care

To reduce the chance of wound breakdown a course of antibiotics is usually appropriate. For small cysts this may be confined to a preoperative dose with follow-up cover for 12 hours but for extensive and/or infected lesions a 5-day course is required. Appropriate analgesia must be prescribed. Both analgesia and the choice of antibiotic will be dependent on clinical history. It is noteworthy that over-packing of the cavity can result in severe postoperative pain. This results from the already ‘tight’ pack expanding with the attendant inflammation. As a general rule if there is severe pain from a packed cavity, shorten but do not remove the pack and this often alleviates symptoms.

Marsupialization

Marsupialization involves the surgical excision of the superficial part of the cyst lining to convert the cavity into a pouch (Fig. 9.7). It is based on the principle that cysts will shrink to smaller more manageable size when decompressed. In some cases this process continues and the lesion resolves completely without further intervention but many require secondary surgery to remove the residual lining.

image

Fig. 9.7 (a) Marsupialization followed by packing of the cavity. (b) After a period of months the cavity has reduced in size; enucleation at this stage would be a much smaller operation.

Page 122

Indications

It is an ideal treatment when the cyst is large and the resultant defect from enucleation would be too large to heal by primary intention or may even require bone grafting; similarly so for infected cysts, where primary closure of the wound would not be an option. The technique also minimizes the potential for damage to adjacent structures, such as the inferior alveolar nerve during the enucleation of large cysts at the angle of the mandible, or the apices of vital teeth where the cyst extends up around them. As it can be done under local anaesthetic it is suitable for treating large lesions in elderly patients or those with major co-morbidity, thus avoiding a major procedure and a general anaesthetic. In addition, as marsupialization involves the excision of the superficial portion of the cyst lining it will establish a histological diagnosis that will determine treatment. This will also prevent more significant lesions such as ameloblastomas being enucleated rather that resected. The main drawbacks are that although the primary procedure is relatively simple there is a protracted follow-up treatment with multiple pack changes.

The first step is to create a mucoperiosteal flap that will expose the cyst or the overlying bone. The key objective is to establish an opening into the cyst that when healed will maintain a wide opening into the residual cavity (Fig. 9.8). If the opening is too small the cyst will tend to close over and therefore reform, or the opening will become a narrow inlet to the large underlying cavity. If the lumen is too narrow then the cavity cannot be adequately packed and it will also be difficult, if not impossible, to prevent infection. Also, as the wound heals there will be significant shrinkage in the size of the lumen established at operation, so adequate exposure is essential.

image

Fig. 9.8 A residual mucosal depression, 2 years after marsu-pialization of a 10-cm diameter cyst.

Page 123

The cyst contents are then removed and the residual cavity packed with ribbon gauze dressed with Whitehead’s varnish or bismuth iodoform paraffin paste (BIPP) and left open. In some cases dentures can be modified, or prostheses made, to allow a temporary obturation. The wound will then heal to form an epithelial-lined pouch composed of the residual cyst lining which is then in continuity with the oral mucosa. There now follows a series of follow-up visits to change the pack and this can, depending on the size of the defect and healing potential of the patient, take anything from 3 to 12 months with pack changes every 2 to 3 weeks. The objective during this period is to pack just enough to maintain the opening but not impede healing. Patients often report the pack coming out and when the cavity is shallow enough that it can be irrigated to be kept clean, packing can be stopped. Some surgeons use a bung made of acrylic (Fig. 9.9) or periodontal packing material to hold the wound entrance open, after initial pack removal, with the patient being required to wash the wound out after meals, rather than repeatedly packing the wound.

image

Fig. 9.9 An acrylic bung occluding the entrance to a marsupialized cyst cavity.

The decision about secondary surgery will depend on cyst type and speed of healing. Many surgeons will remove the marsupialized residue of cysts, such as keratocysts, which carry a significant recurrence rate, or any cyst which has not significantly closed in 12 months.

Treatment of jaw cysts

Enucleation

A one-stage procedure to remove the entire cyst
Suitable for small to medium-sized cysts
Risk of damage to adjacent structures
Removal of extensive lesions leaves large cavity prone to infection

Marsupialization

Multistage procedure
Less extensive surgery
Prolonged healing period
Protects vitality of teeth and integrity of nerves
May require secondary surgery to remove residual lining

CYSTS AND THE MAXILLARY ANTRUM

In dealing with cysts that extend into the maxillary antrum, treatment options depend on the size of the cyst and whether it is infected. Small cysts can be enucleated and closed as a primary procedure provided the sinus has not been perforated. If, however, the cyst is large and has significantly encroached into the sinus or even replaced or obliterated the maxillary sinus then the resultant cavity will be too big to heal by primary intention. In such cases the preferred option is to marsupialize the cyst into the sinus rather than into the oral cavity, allowing the sinus to reform. The cyst cavity is therefore closed on the oral side and opened through into the antrum. This requires careful excision of the adjacent portion of the antral lining and on some occasions it will require the removal of a section of the bony periphery that delineated cyst from sinus. With large cysts, care must be taken to ensure that the orbital floor and infraorbital nerve are not compromised. The sinus will reform to include the cyst cavity. An intranasal antrostomy is often required to make sure that the antrum can drain, as a large ‘closed cavity’ will become infected.

FOLLOW-UP

Follow-up is required during the immediate postoperative phase for all cysts. At this stage the objective is to ensure that the wound heals (enucleation) and that the packing changes to establish the epithelialized cavity (marsupialization). In the former, should the wound break down, the cavity should be opened and packed, effectively converting the procedure to a form of marsupialization. The length of follow-up for simple cysts is debatable. Where the cyst is extensive it is best to review after 6 months to confirm progression of bone in-fill.

Long-term follow-up will be required for any cyst where there is a propensity for recurrence, such as the odontogenic keratocyst where review will extend beyond 6 months. Initially reviews should be conducted every 6 months, and then yearly with radiographic monitoring. The authors recommend a follow-up period of at least 5 years. Clearly if there is a possibility of multiple cysts (Gorlin Goltz syndrome) then follow-up will be for life and will extend to screening family members.

Page 124

SPECIFIC CYST TYPES

Inflammatory cysts (radicular and residual)

These are the most common of all jaw cysts and the main issue is to combine the removal of the cyst with eradication of the cause, i.e. the products of pulp necrosis. This may mean either retaining the tooth with a combination of endodontic therapy and surgery or removal of the associated tooth at the time of the enucleation. Residual cysts are treated with enucleation alone. A decision regarding retaining teeth requires careful assessment of all factors, the state of the dentition and periodontal tissues, significance of the loss of the tooth on the dentition and the patient’s attitude to treatment. The size of the cyst and the degree of infection will also influence treatment options.

Dentigerous (follicular) cysts

There are two issues specific to management of dentigerous cysts. Other lesions such as keratocysts and ameloblastomas often have ectopic teeth in dentigerous relationship, which may lead to misdiagnosis. Secondly, it may be desirable to retain the ectopic tooth and allow it to erupt into a functional position. The latter is determined by the age of the patient (and stage of root development), the tooth and dentition. The teeth commonly associated with dentigerous cysts are third molars, second premolars and canines and it would be unusual to want to retain the third molars unless the patient had oligodontia or had suffered premature loss of other teeth. In contrast, the others are often valuable and their management may be part of a treatment plan combined with orthodontics (see Ch. 12). For large cysts if the option is to marsupialize, then the tooth will have to be left in situ as the cyst is attached at the amelocemental junction and removal of the tooth will dislodge the main portion of the cyst lining.

Odontogenic keratocysts

These cysts present as unilocular (Fig. 9.3) or multiloculated (or multilobulated) radiolucencies, more commonly at the angle of the mandible, often with an ectopic tooth in apparent dentigerous relationship. They are the most problematic of all cysts and this reflects their mode of growth and potential for recurrence. Odontogenic keratocysts are believed to grow by cellular proliferation rather than fluid accumulation and growth tends to preferentially extend through the cancellous bone with lateral and medial expansion occurring late. This means they often present as large cysts elongated in the anteroposterior dimension. The growth pattern also determines the recurrence rates in that there are small islands of cells outside the main cyst body. Eradication of these so-called ‘daughter cysts’ is difficult especially if the overlying bone has been thinned or resorbed. It is also believed that as this cyst arises from dental lamina ‘rests’ which are frequently found in the alveolar mucosa in the third molar region, and that many such rests persist through life, at least some apparent recurrences arise from these rests. The situation is further complicated as it can be impossible to ensure total removal if the cyst extends through bony plates into difficult areas such as the lingual side of the mandible or the maxillary air sinus.

Page 125

Treatment options focus on this potential for recurrence, with some operators advocating as definitive surgery, enucleation and treatment of the cavity with Carnoy’s solution (a tissue fixative), which will kill residual cells lying within bony spaces. Some will also remove any overlying mucosa with a view to removing any residual dental lamina rests. Others adopt marsupialization to shrink the cyst down and then deal with a much smaller problem of residual cyst lining that is now confined within bone. There is evidence that the histological appearance of the mucosal lining of such marsupialized cavities changes towards that of oral lining mucosa over a period of months, probably indicating that an aggressive approach to its removal is not essential. Clearly as there are significant issues in management and a real potential for recurrence, with some arguing that the keratocyst should be considered as a locally invasive tumour, it is essential to ensure the diagnosis. Careful evaluation of options is required based on preoperative investigations that may include CT to fully evaluate the extent, in particular into the lingual area of the mandible or the pterygoid and maxillary sinus regions for upper jaw cysts. It may also be advisable to perform a formal incisional biopsy of cysts likely to be keratocysts, prior to definitive surgery. This will not only confirm the diagnosis but determine the type (the rarer orthokeratotic variant has a recurrence rate much lower than that of the usual parakeratotic type).

Multiple odontogenic keratocysts

Multiple odontogenic keratocysts may be a presenting feature of basal cell naevus (Gorlin Goltz) syndrome, which is well described in other texts. This autosomal dominant trait is variable in its expressivity but salient features include:

multiple odontogenic keratocysts
multiple basal cell naevoid carcinomas of the skin
rib deformities
facial characteristics including frontal bossing, hypertelorism and mandibular prognathism
calcification of the falx cerebri.

Where this is suspected, CT scans of the facial region will be required to identify cysts which are rarely apparent on plain views within the maxilla; referral to clinical genetics and dermatology is essential.

Nasopalatine duct cyst

These uncommon cysts derive from the ductal epithelium in the incisive canal. They are more common in males (4:1) and present either as a chance radiographic finding or as midline swelling at the incisive papilla. They can present with pain if infected and symptoms can be chronic and low grade with purulent or ‘salty’ discharge. On rare occasions they can cause chronic nasal symptoms. Large cysts can extend anteriorly to create swelling in the labial sulcus, enough on occasion to distend the lip. Radiographically they present with the typical features of cysts with the superimposition of the nasal spine, giving the so-called ‘heart-shaped’ appearance characteristic of larger cysts that have extended anteriorly. A small cyst can be confused with a large incisive foramen and the ‘rule of thumb’ is that the foramen is not likely to be greater than 6 mm in diameter. As with cysts arising in the gingival areas (see below) it is important to exclude other cysts, in this case radicular cysts. Precise midline positioning, positive vitality tests and intact lamina dura around the roots of the related teeth go a long way to confirming the diagnosis.

Treatment is by enucleation and given the relationship to the canal and therefore to the neurovascular bundle postoperative loss of sensation in the anterior palate is probable. Although this is unlikely to impact significantly on the patient, they must be advised of the possibility and that it may be permanent. Access is from the palatal side unless the cyst is large when both palatal and labial flaps are required. Palatal dissection is difficult and on occasions the neurovascular bundle must be divided.

Cysts arising in the alveolus of the jaw

Radiological findings can be minimal (gingival cyst of adults) or of well-defined ovoid radiolucencies (true lateral periodontal cyst, ‘peripheral’ or soft-tissue odontogenic keratocyst and inflammatory cyst arising from a lateral pulp canal, or periodontal pocket). Vitality tests are an essential aid to differentiation of inflammatory cysts, but all these cysts require enucleation to confirm diagnosis.

Cysts presenting in this area include the glandular odontogenic cyst and the Botryoid cyst. Surgical management is enucleation but because of their mechanism of growth, site and difficulties with access, both can recur. The bony cavities should be inspected carefully and curetted or ablated with a surgical bur (small acrylic trimming bur) to try to ensure all trace of epithelium has been removed. Recurrence is more likely when cysts are multiloculated and on occasions local resection may be needed.

Eruption cysts and the gingival cyst of childhood

The eruption cyst, which is best considered a superficial soft-tissue follicular cyst, almost always related to erupting deciduous or permanent molar teeth, is self-limiting. If, however, it is troublesome and persistent the treatment is marsupialization. The gingival cyst of childhood (Bohn’s nodules or Epstein’s pearls) is a developmental cyst derived from remnants of the dental lamina, which is also self-limiting.

Page 126

Soft-tissue cysts

In addition to mucoceles (Ch. 14) and skin-derived dermoid and epidermoid cysts, there are a few rare developmental soft-tissue cysts comprising the nasolabial, floor of mouth dermoid, branchial and thyroglossal cysts. They all arise from remnants of embryonic epithelium and typically present as swellings that are submucosal or subdermal at the site of fusion of embryonic processes. They present complex issues in diagnosis, particularly branchial and thyroglossal cysts, with often difficult soft-tissue surgery, and should be referred to appropriate specialists. For further details readers are referred to relevant surgical texts.

Non-epithelial-lined, cyst-like lesions (aneurysmal and traumatic bone cysts)

These are rare lesions and are not true cysts but as they present radiographically in similar fashion to cysts they are therefore included in this chapter. Of these the aneurysmal bone cyst is the most significant in surgical terms as it can recur. It is highly vascular with no appreciable lumen and intraoperative haemorrhage can occur. Treatment is enucleation with curettage and follow-up.

Traumatic bone cysts in contrast are, in the majority of cases, asymptomatic chance findings, in adolescents, of poorly defined radiolucencies interdigitating with roots of associated teeth that are vital. Findings at operation are an ‘empty’ cavity and no further active intervention is required; the bone heals after the cavity has been opened. They are almost exclusively found in the mandible and significantly do not displace the neurovascular bundle, which can cross the cavity and therefore be at risk in terms of intraoperative haemorrhage and postoperative function.

FURTHER READING

Cawson R.A., Binnie W.H., Barrett A.W., Wright J.M. Oral disease clinical and pathological correlations, 3rd edn. St Louis, MO: Mosby, 2001. Ch. 5.

Donoff B. Manual of oral and maxillofacial surgery, 3rd edn., St Louis, MO: Mosby; 1998:345-352. Ch. 15

Kramer I.R.H., Pindborg J.J., Shear M. Histological typing of odontogenic tumours. Heidelberg, Germany: Springer Verlag, 1992.

Peterson L.J., Ellis E., Hupp J.R., Tucker M.R., editors. Contemporary oral and maxillofacial surgery, 3rd edn. Mosby, St Louis, MO, 1997;534-545, Ch. 23

Philipsen H.P. Keratocystic odontogenic tumour. In: Barnes L., editor. Pathology and genetics of head and neck tumours. Lyon, France: IARC Press; 2005:306-307.

Shear M. Cysts of the oral regions, 3rd edn. Oxford, UK: Wright, 1992.

Shear M. Development of odontogenic cysts, an update. Journal of Oral Pathology and Medicine. 1994;23:1.

Waites E. Essentials of dental radiography and radiology, 3rd edn. Edinburgh: Harcourt Health Sciences, 2002.

SELF-ASSESSMENT

1. A patient presents with a cyst involving the apex of the maxillary left lateral incisor.
(a) List the possible signs and symptoms associated with this lesion.
(b) What special investigations would you perform, and what would you expect them to demonstrate?
(c) List the forms of treatment and the indications for these lines of treatment.
2.
(a) Name two cystic lesions which may present as swellings in the palate.
(b) What symptoms may they present with?
(c) What investigations would you employ to confirm your diagnosis?
(d) List the treatment for each case and any possible complications.
3. What clinical aspects of the swelling associated with jaw cysts would distinguish them from other disorders?
4. What clinical features other than swelling and infection might suggest the presence of a cyst?
5. You decide to marsupialize a cyst in the mandible that extends from third molar to third molar. What should the patient be told?

Answers on page 266.