This chapter gives an overview of imaging and endoscopic procedures used for investigation (including biopsy) and treatment. Interventional radiology describes minimal access procedures using image guidance to treat conditions whilst causing least trauma. It is usually performed by radiologists, although other clinicians may be involved. Examples include ultrasound or CT-guided biopsy and endoscopic placement of biliary stents.
Body tissues absorb X-rays proportionate to the density (atomic number) of their elements, e.g. calcium in bones absorbs a great deal of X-irradiation so bones are displayed white on radiographs or computed tomography. Contrast media also absorb X-rays well as they usually contain iodine or barium, both large atoms with many electrons. Low-density tissues made up of atoms with a low atomic number, such as air in lungs, absorb few X-rays and hence display as black. Intermediate densities such as water in muscle or organs are displayed as grey. Remember, fat floats on water because it is less dense, demonstrating its electron density is less than water, so fat is displayed darker than muscle but not as dark as air. This varied absorption of X-rays results in differential penetration and exposure of traditional X-ray films or activation of sensors in a filmless rig. A radiograph is in effect a ‘shadow’ picture of electron density.
Some foreign bodies in wounds are radiopaque, including metal and most glass fragments, but wood and plastic are radiolucent and invisible. Gauze swabs used in operating theatres are radiolucent but have a radiopaque strand allowing them to be located radiographically if left in a wound (Fig. 5.1).
Ionising radiation is both mutagenic and carcinogenic and irradiation of patients and observers must be minimised. This is achieved by:
• Giving training in radiation protection to all staff using and working near X-ray equipment
• Ensuring every investigation helps with management and none is performed merely as ‘routine’
• Improving design of X-ray equipment to minimise radiation dose whilst preserving diagnostic detail. X-ray scatter is minimised and unwanted types of radiation removed by filters
• Physical barriers are built into radiology suites or provided to protect staff. These include barium plaster in walls, lead-glass windows and lead-rubber aprons
• Workers involved in X-rays should keep away from the direct beam line and maintain a good distance from the X-ray source during exposure. Note the inverse square law determines the fall-off of radiation with distance
• All involved in radiography should wear X-ray-sensitive film badges which need to be regularly monitored for excess radiation
These factors are involved in producing a useful radiographic image:
• X-ray power and exposure time—chosen to give a diagnostically useful exposure without excess dosage. Good quality images have a range of densities appropriate to the anatomical area. For example, thoracic spine views require a larger dose than lungs
• Different projections (views) produce different views of the same subject. The X-ray tube is effectively a point source with a diverging beam (see Fig. 5.2), so the subject is magnified. The distortion least affects the body part closest to the film, which is thus shown most clearly. The beam direction should be recorded on the film as it has consequences for interpretation, e.g. a frontal chest film might be PA (postero-anterior) or AP (antero-posterior). With lateral exposures, the side nearest the film is indicated, e.g. a ‘Rt’ lateral chest X-ray (CXR) has the right side nearest the film
• Patient position during exposure (i.e. supine, prone, oblique or erect) affects the image because of gravity affecting organs, gas or fluid. Most films are taken with the patient lying supine with the X-ray beam aimed vertically downwards. A horizontal beam can demonstrate fluid levels in a cavity or bowel (lateral decubitus), or free gas under the diaphragm
X-ray, magnetic resonance (MRI), ultrasound and isotope scan images are increasingly being recorded digitally rather than in analogue form. Digital images can be manipulated to optimise available information–enhancing contrast between tissues, magnifying areas of interest and abstracting the relevant parts from image series. Electronic storage has a number of advantages over conventional film:
• Substantial cost saving on film and processing chemicals
• Reduced physical space needed for storage
• Reduced staff costs—no need to file or retrieve films
• Better availability of images—no need to obtain physical films; several viewers can see the same images simultaneously in their place of work
• Substantially reduced numbers of missing examinations
• Easy transmission of images from one institution to another—by portable storage media (CD-ROM) or electronic links
‘Filmless’ X-ray departments are becoming the norm, with images displayed on terminals dispersed around the hospital. Images can be accessed remotely by family practitioners and clinicians at home or in other hospitals.
Chest X-ray: Interpreting plain chest X-rays requires a methodical approach. Several learned documents have been written on the subject (see e.g. http://student.bmj.com/student/view-article.html?id=sbmj04018), and no attempt will be made to produce an incomplete version here.
Plain abdominal radiology: Most abdominal films are taken with the patient supine. Bowel is visible when it contains gas (Figs 5.3 and 5.4); normal small bowel is less than 3 cm wide and tends to occupy the centre of the abdomen. When dilated, it shows transverse folds (plicae circulares) which completely cross the lumen. The colon usually lies peripherally and has haustrations; these folds only partly traverse the lumen (Fig. 5.3). Normal colon is less than 6 cm wide and often contains faecal lumps with a mottled appearance. Further reading about this topic is available from: http://www.studentbmj.com/topics/clinical/imaging_techniques.php.
The kidneys may be outlined by a border of perinephric fat but outlines are often obscured by bowel gas and faeces. After nephrectomy, the ‘renal outline’ may persist and the kidney appears to be present. Small urinary tract stones are easily obscured and the liver may be visible but its size cannot be estimated.
When examining an abdominal X-ray, important features to look for are:
• Calcification in areas prone to stone formation, e.g. kidney, ureters, bladder or biliary tree (see below, Urography, Fig. 5.8a)
• Dilated bowel (stomach, small or large bowel)
• Free intraperitoneal gas indicating bowel perforation
• Gas in abnormal places (e.g. biliary tree or urinary tract) suggesting a fistula with bowel
• Non-biological objects, e.g. foreign bodies, surgical tubes or pieces of metal
• Pathological calcification, e.g. aortic aneurysm, pancreas, adrenals or uterine fibroids
The limitations of plain abdominal radiography are summarised in Box 5.1.
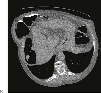
Free intraperitoneal gas: Free gas is diagnostic of bowel perforation except after recent laparotomy. A horizontal beam chest or upper abdominal X-ray with the patient erect is the most useful method of demonstrating it as a radiolucent layer beneath the diaphragm (see Fig. 19.8, p. 275). The layer can be very small but is often obvious. Perforation can also be confidently diagnosed when the inside and outside of the bowel wall are both outlined by radiolucent shadows, but this is rare (Rigler's sign, Fig. 32.7, p. 413). Where the result is doubtful or the patient too ill to sit or stand, he or she should be placed in the right-side raised lateral decubitus position (i.e. lying on the left side) for 10 minutes. A horizontal beam X-ray taken across the table can then reveal as little as 2 ml of gas above the lateral liver border (Fig. 5.4).
Bone X-rays: Conventional radiographs of bones continue to play an important role in diagnosis of bone disease, particularly fractures, but also infection, neoplasia and degenerative conditions. Other investigations including bone scintigraphy, CT, MRI and ultrasound are often used, particularly if conventional X-rays are normal. If in doubt it is best to discuss with a radiologist.
When plain radiography is inappropriate, a highly X-ray-absorbing contrast medium may be employed. Contrast media outline structures either directly, or indirectly by being concentrated in the target organ. Contrast studies can still be helpful when supervised by trained and experienced personnel but are increasingly being replaced by other tests. For example computed tomography (CT) instead of barium enema or intravenous urography (IVU), duplex ultrasound instead of venography and some arteriography, and magnetic resonance angiography (MRA) instead of conventional angiography.
Direct studies include contrast material swallowed, instilled into body orifices, sinuses (sinogram) or fistulae (fistulogram), or injected into blood vessels or hollow viscera. Examples are barium enema for large bowel and arteriography for the arterial system. Indirect contrast studies include IVU where contrast injected intravenously is excreted in urine to display the urinary tract.
Contrast materials: Barium sulphate is the best agent for directly outlining the GI tract. It is insoluble in water and is not absorbed. An aqueous suspension is non-irritant and very radiodense. Barium investigations of the upper and lower gastrointestinal tracts have been largely superseded by endoscopy or cross-sectional imaging but are still occasionally employed.
Water-soluble iodinated benzoic acid derivatives can be injected into arteries or veins to opacify them (arteriography or venography). Injectable contrast media have improved over the years to make them safer but they remain potentially nephrotoxic in patients with renal impairment.
Direct venography has largely been replaced by colour duplex ultrasound, and CT or MR angiography is used more than direct studies for diagnosis.
Examples of contrast radiology:
Bowel contrast radiology: Any part of the gastrointestinal tract can be demonstrated using contrast. Most barium studies use a double contrast method. Following barium, air or carbon dioxide is used to distend the bowel and separate the barium-coated bowel walls. An anticholinergic agent such as hyoscine butylbromide (Buscopan) is sometimes given at the same time to abolish spasm, further improving the image.
If substantial peritoneal spillage is likely, as in possible perforation or when checking a recent rectal anastomosis, barium should be avoided as it causes peritonitis. In these, a water-soluble contrast medium is best given initially, and barium substituted if no leak is detected.
Preparation for bowel contrast studies: For upper gastrointestinal studies, patients should be fasted overnight except for water. For a barium enema, bowel preparation is performed with laxatives (e.g. sodium picosulphate) and sometimes bowel washouts, so artefacts are removed (faecal lumps look similar to polyps) and small mucosal defects are not obscured.
Upper gastrointestinal tract: For examining the upper GI tract, barium suspension is given orally (barium swallow for oesophagus and barium meal for stomach and duodenum. Progress of contrast is observed by screening, with a moving image displayed on a screen. The radiologist usually selects representative spot films to summarise the examination. Screening is useful to study rapid GI motility as in swallowing; images can be studied later in slow motion.
Large bowel: The large bowel is examined by means of contrast material given rectally (barium enema). The lower rectum is often poorly shown so prior rectal examination and sigmoidoscopy is best to ensure low lesions are not missed.
With improved technology, CT is increasingly used for large bowel examination. It can be performed without laxative preparation where it would be acceptable to miss small polyps, for example in suspected obstructing lesions. CT can be useful in the frail elderly when a right-sided colonic cancer is suspected because of anaemia or a palpable mass. For a more complete examination, CT colonography (also known as CT coloscopy or virtual colonoscopy) requires full bowel cleansing. During the procedure, air or carbon dioxide is insufflated into the colon; the technique is sensitive enough to detect lesions larger than 1 cm. The investigation is quicker and less unpleasant than barium enema and has replaced it altogether in some units. Hundreds of images are produced and the best are viewed on workstations along with reconstructed axial and 3D images of the bowel lumen (see Fig. 5.5).
Small bowel: For small bowel examination, a barium meal may be ‘followed through’ into the small bowel, or contrast can be instilled directly into the proximal jejunum via a nasal or oral tube. In either case, the diagnostic yield is poor and these techniques are likely to be replaced by CT or MR studies of the small bowel or capsule endoscopy (see below).
Complications of barium contrast studies: The limitations of barium contrast studies are summarised in Box 5.2. There is a risk that contrast material may be aspirated into the bronchial tree, causing aspiration pneumonitis, so care must be taken when giving oral barium to patients with swallowing difficulties. CT scanning is safer and more likely to provide useful information such as the level and cause of obstruction, and associated pathology such as lung or liver metastases.
Some biliary investigations described in previous editions of this book (e.g. oral cholecystography and intravenous cholangiography) have been superseded by ultrasound and increased availability of endoscopic retrograde cholangio-pancreatography (ERCP, p. 65) and magnetic resonance cholangio-pancreatography (MRCP).
Magnetic resonance cholangio-pancreatography (MRCP) (Fig. 5.6 e and f): MRCP now produces images that rival the quality of ERCP. MRI differentiates tissues and organs by their varying water content. Bile and pancreatic juice are mostly water, hence MRCP gives clear images of bile in the gall bladder and ducts and outlines the pancreatic duct. It reveals filling defects caused by stones or tumours. MRCP can identify bile leaks, gallstones in the bile ducts, and duct obstruction from any cause. There are no known hazards. MRCP is increasingly used prior to ERCP for pancreatico-biliary investigation to reduce the number of patients requiring the more invasive investigation.





Fig. 5.6 Some techniques for demonstrating the biliary system
(a) and (b) Endoscopic retrograde cholangiography
The patient is sedated and a side-viewing gastroscope passed down so the tip reaches the second part of the duodenum. The ampulla of Vater is cannulated under direct vision and contrast medium injected to outline the bile ducts. (b) A large gallstone C is seen within the dilated common bile duct and a collection of radiopaque gallstones GS is seen in the gall bladder
(c) and (d) Percutaneous transhepatic cholangiography
A needle N is passed into the liver until it encounters a dilated duct. Contrast medium is then injected to outline the ducts. (d) Case study—this deeply jaundiced 57-year-old woman has grossly dilated intrahepatic ducts and complete obstruction of the proximal common bile duct in the porta hepatis at O. This was due to lymph node metastases from carcinoma of stomach. This method is employed less often nowadays because of the superior safety of other methods described here
(e) and (f) Magnetic resonance cholangio-pancreatography (MRCP)
The technique produces images of static fluid, thus the images are of native biliary and pancreatic secretions. Each image was obtained in one second using a thick slab ‘projection’ method that generates images very similar to ERCP. The pancreatic duct in each image is labelled P. (e) An example of normal biliary and pancreatic duct systems. (f) A small calculus, C, in the distal common bile duct. There is also mild dilatation of the pancreatic duct with some side branches visible
• Suspected bile duct stones, especially within the liver and for seeking retained stones after operation
• Bile duct strictures, particularly within the liver—post-surgical, cholangiocarcinoma
• Suspected sclerosing cholangitis
• Acute pancreatitis of unknown aetiology—MRCP reveals anatomical duct abnormalities
• Biliary-type pain with abnormal liver function tests in patients without stones on ultrasound
• Patients unsuitable for ERCP because they are intolerant of the procedure or have had previous gastrectomy
Percutaneous transhepatic cholangiography (PTC): Percutaneous cholangiography is rarely used for diagnosis but has occasional therapeutic indications. A long fine (22 G) ‘Chiba’ needle is passed percutaneously, directly into dilated intrahepatic ducts, and contrast injected to display the duct system (see Fig. 5.6c). This shows the configuration of extrahepatic duct obstruction from the proximal direction. Occasionally, PTC is employed to drain obstructed ducts after failed endoscopic placement of a drain or stent. In jaundiced patients, disordered blood clotting is likely so a clotting screen and platelet count should be performed before PTC, and any clotting disorder corrected.
Endoscopic retrograde cholangio-pancreatography (ERCP): This is described below (see Diagnostic and therapeutic duodenoscopy); its use in obstructive jaundice is described in detail in Chapter 18. The basic technique is illustrated in Figure 5.6 a and b.
Operative cholangiography and choledochoscopy: It is standard practice to perform operative cholangiography during open cholecystectomy. For laparoscopic cholecystectomy, some surgeons routinely perform operative cholangiography whilst others prefer no imaging at all for selected cases or else preoperative assessment using MRCP for cases deemed likely to have duct stones.
Operative cholangiography allows the (highly variable) biliary anatomy to be displayed, it demonstrates stones in the bile ducts and it shows whether contrast flows freely into the duodenum. A fine plastic cannula is introduced into a small cystic duct incision and passed into the common bile duct. Water-soluble contrast material is injected to outline the duct system and fluoroscopic images or X-ray films are taken. If duct stones are demonstrated, they are often retrieved surgically at the same operation. At open cholecystectomy, this is via a longitudinal incision in the common bile duct (exploration of the common bile duct). At laparoscopic surgery, the same technique is used with a small transverse or longitudinal choledochotomy, depending on the duct size and the stone size to be retrieved. A flexible 5 mm or 3 mm endoscope called a choledochoscope is passed into the bile duct and stones may be retrieved using a range of techniques including snares, baskets, balloons, or they can even be shattered with lithotripsy probes. The choledochoscope enables the bile and intrahepatic ducts to be inspected afterwards to see that all stones have been removed. A further cholangiogram is often done afterwards to ensure the duct is clear. Stone removal may be deferred and performed later at ERCP although it carries risk of complications, including biliary leakage and acute pancreatitis.
T-tube cholangiography: Following exploration of bile ducts for stones, a T-tube is often left in situ to drain the duct. The transverse limb of the T lies in the duct and the long limb drains out through an opening in the duct to the skin where it is connected to a drainage bag. About 1 week after operation, contrast can be injected along the T-tube to outline the biliary tree and show abnormalities such as residual stones, bile leakage and duct stenoses as well as confirming free drainage into the duodenum. If residual stones are still present they can be retrieved either at ERCP or sometimes by the radiologists via the T-tube itself.
Further detail about applications of vascular radiology is given in Chapter 41.
The veins or arteries of an anatomical region can be opacified by intravenous or intra-arterial injection of contrast medium. This is angiography and includes arteriography and venography. In arteriography, needle puncture of the access artery is followed by guide-wire insertion, needle removal and catheter insertion over the guide-wire. Shaped catheters and wires are used to advance the catheter tip to an appropriate position for arteriography. Favoured access sites are the femoral artery in the groin, the brachial artery above the elbow and, more recently, the radial artery at the wrist using smaller diameter catheters.
If there is suspicion of a bleeding disorder, clotting studies should be performed beforehand to anticipate potential haemorrhagic complications from the vessel puncture site.
The contrast medium is the same as that used for computed tomography (CT) and carries similar hazards, i.e. allergic reaction and nephrotoxicity (see Urography below). There is also the risk of complications from the cannulation, which may cause bleeding or thrombosis and, for arteries, wall dissection, arteriovenous fistula or false aneurysm formation.
Digital subtraction is now standard for contrast vascular studies. The unchanging opacities of a plain radiographic image (particularly bone and bowel gas) are subtracted from the image after the injection of contrast medium so lower doses produce better images. In some cases, intravenous contrast alone can produce useful images, although this is used less frequently with advances in CT angiography (CTA) and magnetic resonance angiography (MRA).
In lower limb arteriography, if the aorto-iliac system is occluded and femoral pulses undetectable, the usual femoral artery access is not accessible, so a catheter can be placed via the radial or brachial artery. However, magnetic resonance angiography (MRA) or CTA is often preferred when available. Arteriography will demonstrate stenoses or occlusions due to thrombosis, atheroma and embolism.
Percutaneous transluminal angioplasty (PTA) or balloon angioplasty: Angioplasty under local anaesthesia is a less invasive alternative to surgery for treating many peripheral and coronary arterial stenoses. In general, short stenoses in large vessels are most suitable. The method is particularly useful for lower limb atherosclerosis (especially iliac and superficial femoral arteries) and for coronary artery disease and, to a lesser extent, renal artery and mesenteric artery stenoses. Carotid artery disease is also suitable for angioplasty in some cases; filters are usually placed above the stenotic segment before dilatation to reduce the risk of embolism to the brain.
Major complications of angioplasty are rare in experienced hands but there is a small risk of precipitating acute ischaemia due to distal embolisation or dissection. Thus, surgical salvage should be readily available should complications develop. Unfortunately, 25–40% of angioplastied lesions undergo restenosis or occlusion within 1 year, but the process can usually be repeated. Where stenoses fail to remain open at angioplasty, expandable stents can be placed within the treated lesion. Peripheral arterial stents are most often used to treat iliac occlusive disease and improve long-term patency. These stents are either mounted on an angioplasty balloon or are self-expanding on withdrawal of the introducer sheath. Stents are being increasingly used in superficial femoral artery stenoses and occlusions. Overall, angioplasty causes minimal interventional and anaesthetic stress to the patient and is often performed on a day-case basis.
Techniques of percutaneous angioplasty: Angioplasty is usually performed under local anaesthesia (Fig. 5.7). A needle is first inserted into an accessible artery and a short flexible guide-wire passed through it into the artery and the needle removed. A working sheath with a valved side-arm is passed over the guide-wire and advanced into the artery. A catheter is inserted and a long guide-wire is then substituted for the first and manipulated up to and through the stenosis using contrast injections and fluoroscopic control. An angioplasty catheter with a plastic inflatable balloon at its end is then passed over the guide-wire and manipulated across the stenosis. Angioplasty balloons are now no wider than the catheter before inflation, and inflate to a fixed diameter at a given pressure. It is possible to measure the arterial pressure above and below the stenosis to determine the pressure gradient before and after angioplasty, although this is not performed routinely. The balloon is then inflated to a pressure of typically 6 and 15 atmospheres, depending on the balloon type, to dilate the stenosis, then further contrast is injected to check the result. Angioplasty techniques and equipment have progressively improved and many patients now return to near-normal life after minimal intervention.

Fig. 5.7 Percutaneous transluminal angioplasty
This man of 55 presented with bilateral calf and thigh claudication. (a) A localised severe stenosis of the distal abdominal aorta. (b) The ‘kissing balloon’ technique used to dilate the stenosis. Two balloons, shown inflated, are used to prevent asymmetrical dilatation which might compromise the opposite common iliac artery
Many patients with ischaemic legs or coronary heart disease who might not have been suitable for reconstructive surgery can now have angioplasty because of its minimally invasive nature and low complication rates.
Local arterial thrombolytic therapy: An artery freshly occluded by thrombosis and causing ischaemia can be recanalised by local intra-arterial infusion of thrombolytic agents. High local concentrations with limited systemic spill-over were intended to avoid the serious bleeding and allergic complications of systemic thrombolysis. However, experience has shown that the risk of major haemorrhage still exists, some episodes of which have been fatal. Examples include intracerebral haemorrhagic strokes and bleeding from recent surgical wounds or from the gastrointestinal tract. For this reason, the treatment has limited indications, i.e. recently occluded native arteries or bypass grafts. The thrombolytic agent usually used is recombinant tissue plasminogen activator (R-tPa). R-tPa acts more quickly and does not have the frequent allergic effects of the older agents, e.g. streptokinase.
For recent acute embolic ischaemia, surgical embolectomy remains the best treatment.
Therapeutic embolisation: Highly vascular lesions that would be difficult or impossible to treat by surgery alone, such as some arteriovenous malformations, can have their arterial supply reduced or obliterated by embolisation. The main supplying artery is identified by selective arteriography and a catheter manoeuvred into it, close to the lesion. The materials chosen for embolisation depend on the nature of the lesion but include gelatin foam, polyvinyl alcohol particles, minute steel coils, plugs, cyanoacrylate glue or liquid polymers. The process can be repeated for all the feeding vessels.
Embolisation is particularly useful in the treatment of gastrointestinal haemorrhage, some pseudoaneurysms, uterine fibroids and internal iliac arteries prior to endovascular aneurysm repair (EVAR). The technique is also used to treat hepatic tumours (primary and secondary) and some bone metastases prior to surgery.
Minimal access graft placement: EVAR is now widely used to treat both abdominal and thoracic aortic aneurysms. There are several different devices available, composed of metal stents and graft material, and technical improvements are continuing. The device is correctly positioned in the aorta, and then deployment consists of unsheathing the device under fluoroscopic guidance. Graft limbs are used to extend the device into the iliac arteries. There are now stent grafts capable of treating more complex aneurysms with side branches/grafts into the renal, mesenteric, internal iliac or arch arteries. One disadvantage of the technique includes endoleakage, i.e. continued slow bleeding into the aneurysm sac because of an inadequate seal or, more commonly, from lumbar arteries or the inferior mesenteric artery. Other complications include graft migration, limb occlusion or limb dislocation. Although reintervention rates are higher than with open aneurysm repair, these techniques have allowed many patients to be treated who would never be fit for open surgery. The late complication rate is about 10% per year, considerably greater than for open aneurysm grafting, but rates are falling with improving techniques.
Venography: Colour duplex Doppler ultrasound scanning has replaced contrast venography for diagnosing deep vein thrombosis (DVT) as well as for demonstrating reflux from deep to superficial vessels in varicose veins. A skilled operator can demonstrate the patency or otherwise of all the lower limb veins and the presence of fresh or old thrombus. Valve competence can be shown in deep and superficial veins and perforating veins. Vein wall irregularity caused by previous DVT can also be displayed. Contrast venography can sometimes be helpful in defining the anatomy of complex superficial varicose veins and very occasionally to diagnose or exclude calf vein DVT where duplex is inconclusive.
Placement of vena caval filters: After venous thromboembolism, a few patients experience recurrent pulmonary embolism despite adequate anticoagulation. In others, anticoagulation therapy is contraindicated and other methods of preventing pulmonary embolism must be found, e.g. in pregnancy, after a haemorrhagic stroke, in patients with a high risk of falling or those with certain bleeding disorders. In these groups, the risk of pulmonary embolism can be markedly reduced by placing a filter in the inferior vena cava, above or below the renal veins. This still allows venous blood to return to the heart but traps substantial embolic material in the flowing blood. Since the mid-1960s a range of filtration devices have been developed that can be inserted relatively simply using a catheter via the femoral or jugular vein. Typical examples are the Celect or Optease filter. Some filters can be retrieved by percutaneous techniques if necessary within a limited time period. Complications are uncommon and include caval occlusion, migration and strut fracture.
Minimally invasive treatment of varicose veins: Several methods of ablating the long or short saphenous vein have appeared recently including foam sclerotherapy and laser or radiofrequency ablation. These are described in Chapter 43.
General principles of urography: Urography is a radiological technique for examining the kidneys and urinary collecting systems using intravenous contrast concentrated and excreted by the kidneys. A plain abdominal control film is taken beforehand so calcified opacities can be compared with post-contrast images. This helps identify if an opacity lies within the renal tract and hence whether it is likely to be a stone (see Fig. 5.8a).

Fig. 5.8 Plain abdominal X-ray and IVU compared
(a) A plain abdominal film and (b) an intravenous urogram (IVU) of the same patient showing urinary tract stones. In the plain film, several calcified opacities (arrowed) are seen. From the IVU, in which the pelvicalyceal systems and ureters contain contrast material, it can be seen that three stones A lie within the lower right ureter and stone B lies within the upper calyces of the left kidney. On the right side, two other opacities C are seen to lie outside the urinary tract, probably representing calcified lymph nodes in the small bowel mesentery
In intravenous urography (IVU), films are taken at intervals after injection. The renal parenchyma normally opacifies almost immediately and contrast then flows into the renal pelvis, ureters and bladder.
Special precautions with intravenous urography: Intravenous contrast is potentially nephrotoxic in patients with impaired renal function. Risk factors should be specified to help the radiologist plan the safest investigation. Alternatives such as ultrasound, unenhanced CT or occasionally MR may be considered. Important risk disorders are:
CT urography: Unenhanced CT of the renal tract is increasingly used instead of IVU to diagnose renal or ureteric colic. It is more sensitive for detecting stones and is quicker to perform but usually gives a higher radiation dose. CT with intravenous contrast is frequently used to investigate persistent haematuria when other tests are normal; in some centres, it is used earlier in the diagnostic pathway.
Percutaneous therapeutic techniques: The renal pelvis can be punctured percutaneously with a needle guided by ultrasound or CT scanning. The tract is then dilated to allow tubes of various types and sizes to be inserted. Gaining access to the kidney in this way is known as percutaneous nephrostomy. It can be employed to remove stones from the renal pelvis, to urgently but temporarily relieve acute distal urinary obstruction and drain the kidney over a few days ahead of a definitive procedure.
Medical ultrasound developed from sonar used for submarine detection in the Second World War. The technology remained an official secret until the 1960s but since then, the principle has found many applications, from identifying shoals of fish to non-invasive imaging of body organs.
Medical ultrasound was pioneered in obstetrics where it has long been an important part of prenatal assessment. Its use in the body is now protean and there is hardly an organ or system where diagnostic ultrasound does not have a role. Grey-scale ultrasound displays a whole range of tissue echogenicities rather than just black and white. Interpreting ultrasound depends on the dynamic picture seen during the examination. The film record may mean little to anyone but the operator.
General principles of medical ultrasound
Ultrasound is non-invasive, painless and safe. An ultrasound probe containing the transducer is applied to the skin over the area of interest and the image of deeper structures displayed on a screen. The probe must be ‘coupled’ to the skin with jelly to exclude an air interface and is moved in different directions and angles to best display the organs of interest and any abnormalities. ‘Spot’ films are taken to record the examination.
The piezo-electric transducer both transmits and receives ultrasound, and reflections show as bright spots on a dark screen in real time. This is known as B-mode (brightness mode) with the intensity of each spot proportional to reflectivity of tissue interfaces.
The length and breadth of organs or lesions can be accurately determined by electronically measuring the image, and the volume of some structures such as the urinary bladder or left ventricle can be estimated. This can give functional information such as the volume of residual urine in chronic retention, or the completeness of left ventricular emptying in cardiac failure.
Bone, stones and other calcified tissues cause an abrupt and marked change in acoustic impedance, giving complete reflection of ultrasound. Thus the surface of hard tissue such as gallstones is revealed by the acoustic shadow it casts (see Fig. 20.4, p. 285). A smaller change in acoustic impedance occurs at gas/soft tissue interfaces such as bowel wall and its gas-filled lumen.
Minimal patient preparation is needed. For biliary examinations, the patient should be fasted to minimise bowel gas shadows and reduce gall bladder contraction. For pelvic examination, the bladder should be full of urine. This provides a fluid-filled, non-reflective ‘window’ for ultrasound to reach the pelvic organs.
Duplex scanning is a technological advance for studying blood flow in which 2D imaging and Doppler shifted ultrasound are employed. A further improvement is colour duplex in which the image has false colour added to show the direction and approximate volume of flow, with red indicating one direction and blue the opposite.
Special transducers: Probes have been developed for use via different body orifices, and for body cavities via endoscopic instruments, percutaneous cannulae and laparoscopes. These devices are placed closer to the structures being examined than surface probes. This allows higher-frequency sound to be used which has lower penetration but greater spectral resolution and gives a more detailed display. These transducers are often combined with biopsy devices to enable tissue sampling.
Rectal probes are used for examining the rectal wall and prostate gland in detail and vaginal probes for investigating the pelvic organs. Endoscopic probes (e.g. transoesophageal) can examine and monitor the heart, upper GI organs and adjacent tissues. Laparoscopic probes can be applied directly to viscera to seek the extent of tumour spread or metastases, e.g. pancreas, liver. They provide a more reliable diagnosis of liver metastases than percutaneous ultrasound or cross-sectional imaging.
Ultrasound has replaced cholecystography for diagnosing gall bladder disease and largely replaces IVU for the urinary tract. In children and in women of child-bearing age, ultrasound should be preferred to other tests where appropriate because it avoids potentially damaging ionising radiation.
• Reliably distinguishing solid from cystic lesions, e.g. a thyroid cyst from solid nodule, renal or pancreatic cyst from solid tumour
• Assessing palpable abdominal masses in the upper abdomen or pelvis
• Detecting abnormal tissues in a homogeneous organ, e.g. liver metastases or renal adenocarcinoma
• Detecting damage to solid organs after trauma, e.g. splenic or liver rupture
• Detecting abnormal fluid collections, e.g. pseudocyst of pancreas, ascites, pleural effusions, abscesses
• Assessing the nature of lesions from the way the echo texture contrasts with the normal, e.g. distinguishing liver secondaries from benign lesions or normal liver
• Detecting movement, such as pulsation of an aneurysm, contraction of the heart (echo shows valve morphology and movement, ventricular wall movement), and fetal anatomy and movement
• Detecting upper urinary tract dilatation (hydronephrosis)
• Measuring physical dimensions, e.g. the diameter of an abdominal aortic aneurysm or a dilated bile duct, or the volume of residual urine in the bladder after micturition
• Investigating the biliary system for gallstones, thickened gall bladder wall, dilated ducts, masses in the head of the pancreas or porta hepatis
• Guiding percutaneous interventional procedures for tissue sampling, e.g. aspiration or biopsy of liver metastases, pancreatic tumours or retroperitoneal masses, or drainage of fluid collections
• Investigating breast lumps, e.g. distinguishing cystic from solid lesions, suspected malignant lesions, guided cyst drainage, guiding fine-needle aspiration (FNA) for cytology, or core biopsy
The limitations of diagnostic ultrasound are summarised in Box 5.3.
Doppler-shifted ultrasound: Ultrasound can detect and study blood flow by applying the Doppler principle. Simple hand-held equipment is cheap and portable, and is invaluable in the vascular clinic (see Fig. 5.9). Using a probe coupled to the skin with conduction gel, a beam of ultrasound is directed at an artery or vein. Ultrasound reflects from moving red cells and causes a shift in sound frequency related to blood velocity. Reflected ultrasound is used to generate an audible signal (for detecting blood flow) or is processed to reveal information about the nature of flow. The audio pitch is related to blood velocity and provides some qualitative assessment of whether flow is normal or abnormal.

Fig. 5.9 Measuring ankle systolic pressure using a hand-held Doppler flowmeter
(a) A standard sphygmomanometer cuff is placed around the ankle just above the malleoli. Ultrasound conducting gel is applied to the tip of the probe and the probe placed lightly over the likely position of the dorsalis pedis (DP) pulse, between the first two metatarsals. The probe is moved a tiny amount at a time so as to obtain the strongest signal, then the cuff is inflated until the pulse disappears. The cuff is then released gradually and the systolic pressure recorded at the point of return of signal. (b) The same process is repeated at the posterior tibial pulse (PT), using the midpoint of a line between the heel and the medial malleolus to find the pulse. Note that accurate measurements require considerable experience, especially when the pressure is low. Headphones are recommended to reduce interference
Main applications of hand-held Doppler ultrasound:
• Measuring systolic blood pressure when it is low. This includes brachial pressure in shocked patients or in infants, and ankle systolic pressures in lower limb ischaemia. For this, a sphygmomanometer cuff is placed around the arm or ankle and a flow detector is applied to an artery beyond the cuff (Fig. 5.9)
• Simple detection of venous blood reflux at the sapheno-femoral or sapheno-popliteal junction in varicose veins, particularly if recurrent
Duplex Doppler ultrasound scanning: Duplex Doppler scanning combines frequency spectral analysis of blood flow using Doppler ultrasound with 2D imaging of the vessel. Colour flow Doppler adds false colour to show the direction of blood flow and gives qualitative information about flow volume.
Duplex equipment is still expensive, and the diagnostic process is time-consuming and requires special training. However, it has largely superseded established methods in some areas, for example, replacing venography for deep venous insufficiency and arteriography for carotid artery disease. Blood vessels can be imaged in longitudinal or transverse section to reveal the direction of flow, its velocity (which rises as blood passes through a stenosis), and the presence of abnormal vessel walls or mature thrombus in the lumen.
Cardiac echo investigation (transthoracic echocardiography) employs similar instruments and provides comprehensive information about cardiac structure and function. As with ultrasound generally, images are best viewed as moving pictures. Echocardiography allows the study of pathological anatomy, patterns of blood flow, cardiac wall movement, cardiac output and valve movements. The most common reason for requesting an echo is to study left ventricular function, particularly when symptoms suggest heart failure. Echo can determine the severity and the underlying cause of heart failure, e.g. ischaemic left ventricular dysfunction, dilated cardiomyopathy, valve dysfunction or right ventricular dysfunction. In addition, ischaemic regional wall movement abnormalities can be identified. These include hypokinesis (diminished movement), akinesis (absent movement) and dyskinesis (passive outward bulging in systole suggesting ventricular aneurysm). The ejection fraction (ratio between stroke volume and end-diastolic volume) can easily be assessed.
Echo is the investigation of choice for valve abnormalities. It can define the cause of a heart murmur, assess the severity of valvular stenosis or reflux and determine the need for antibiotic prophylaxis in patients with a murmur. In patients with atrial fibrillation, echo can detect underlying structural defects and guide the need for anticoagulation or cardioversion. In patients with systemic embolism, echo rarely shows intracardiac thrombus but is likely to show any underlying cardiac defect that is the source of embolism such as mitral valve disease or vegetations, left ventricular aneurysm or a patent foramen ovale.
Applications of duplex Doppler:
• Deep vein thrombosis—this is the method of choice for detecting postoperative DVT. Thrombus more than 24 hours old can be seen and venous flow changes detected. However, the profunda vein and small calf veins are often poorly seen
• Chronic lower limb deep venous insufficiency—patency and valvular competence in deep veins (e.g. femoral and popliteal) can be determined dynamically; perforator incompetence can also be detected
• Varicose veins—duplex ultrasound is useful for detecting and guiding marking of the short saphenous/popliteal junction before operation and for detecting communications between superficial veins and the sapheno-femoral junction in ‘recurrent’ long saphenous varicose veins. There are advantages to performing ultrasound in all varicose vein patients before treatment to clarify the diagnosis
• Carotid artery disease—duplex has now become the standard test for investigating extracranial vascular disease in preference to carotid angiography (which carries distinct risks). Duplex shows the morphology of diseased arteries and the velocity of flow, allowing the percentage of stenosis to be calculated. The severity of stenosis determines whether operation is required. Duplex is useful for evaluating asymptomatic bruits and following up patients after carotid endarterectomy, including in the early postoperative period
• Femoro-popliteal bypass grafts—duplex is used for marking out the saphenous vein graft before surgery and for graft surveillance after surgery to detect remediable vein graft stenoses
• Aorto-iliac and femoro-popliteal occlusive disease—duplex is proving valuable for estimating the sites and severity of stenoses and occlusions and replaces arteriography in some circumstances
• Deeper blood vessels—these can be imaged for blood flow and obstruction, e.g. superior mesenteric and renal arteries, and renal veins for spread from renal cell carcinoma
• Cardiac disease—echocardiography is used for detecting abnormal anatomy and function including heart failure, ventricular dysfunction, valvular abnormalities including stenoses, congenital cardiac defects including septal defects, and intracardiac abnormalities predisposing to embolism
Computerised tomography (CT scanning)
General principles of CT scanning: Computerised tomography involves X-raying a series of thin transverse ‘slices’ of the patient's head, body or limbs. A precise fan-shaped beam of X-rays is repeatedly pulsed from successive angles around the circumference of each slice and the transmitted radiation is electronically recorded on the opposite side (see Fig. 5.10).



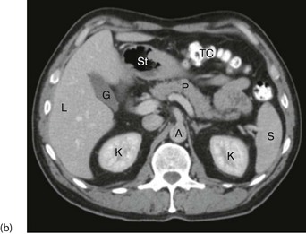
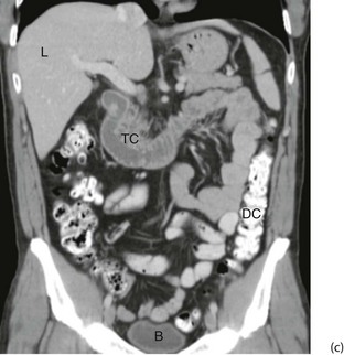
Fig. 5.10 Computerised tomography
(a) Principle of CT scanning. All images are fed into a computer and a single image of each slice produced. (b) Normal transverse CT scan. Liver L, gall bladder G, stomach St, kidneys K, aorta A, pancreas P, spleen S. (c) Normal CT scan reconstructed in the coronal plane. Liver L, bladder B, transverse colon TC, descending colon DC
Since CT was first introduced in the 1970s, the pace of development has been rapid. Modern machines capture images in a continuous spiral around the patient (spiral CT), usually as multislice CT which enables several slices to be captured simultaneously with each revolution of the X-ray tube. All modern machines now generate at least 64 slices for each turn. The result is rapid image capture of thinner slices at higher resolution. Spiral multislice CT machines can now produce images of both chest and abdomen in less than 1 minute. The data quality also allows images to be accurately reconstructed in three dimensions or in any chosen plane, e.g. sagittal, coronal or oblique, to improve the detection of abnormalities.
Note that the best CT images are obtained in well-nourished patients because some fat lies between the organs, enabling them to be differentiated more precisely than in very thin patients.
Further information can often be gained by performing CT after or during contrast, air or CO2 enhancement. For example, oral or rectal contrast clearly outlines bowel, whilst intravenous contrast can show blood vessels, kidneys, damage to the blood–brain barrier or areas of absent blood flow in pancreatic necrosis.
CT and MRI are complementary techniques, each having advantages and disadvantages. The decision to use one or other depends on patient factors and availability of equipment as well as the suspected disease.
Applications of CT scanning: Pathological anatomy can be studied in great detail and a huge array of information can be obtained non-invasively to assist surgical diagnosis. Often the information is more accurate than could be obtained by exploratory operation. This is outstandingly so in brain injury after trauma where the management of serious head injuries has been transformed by head scanning. The technique enables timely and appropriate surgical intervention and avoids unnecessary exploratory operations.
As CT becomes more available, cheaper and technically better, it is often being used earlier in the diagnostic process, particularly in emergency cases, and for an increasing range of clinical conditions, though it is important to use clinical method and clinical common sense before ordering such tests.
Some indications for CT scanning are:
• Investigating areas difficult to examine by standard radiology or ultrasound. Examples include the retroperitoneal area and pancreas (deep inside the body), the lungs and mediastinum, and the brain and spinal cord (encased in bone)
• Investigating acute abdominal pain—early CT misses fewer serious diagnoses and may reduce mortality and shorten hospital stay (see below)
• Investigating abdominal pathology when ultrasound has proved unsatisfactory or as an alternative to more intrusive investigations such as barium enema for suspected large bowel disorders
• Pretreatment planning and follow-up of malignant tumours being treated with radiotherapy and/or chemotherapy, e.g. for staging lymphomas (replaces laparotomy)
• Planning surgery, e.g. establishing the extent of local invasion of oesophageal carcinoma, identifying the upper level of an aortic aneurysm, investigating the extent of lateral spread in rectal or prostatic cancer, preoperative assessment of intrathoracic tumours including retrosternal thyroid enlargement
• Assessing solid organ damage in abdominal or thoracic trauma
• Guiding needles during biopsy of masses, drainage of fluid collections or obtaining aspiration cytology specimens
• Diagnosis of pulmonary embolism, renal tract calculi and arterial disease. Multislice CT has now also developed to a stage where it can often replace diagnostic coronary arteriography
Principles of magnetic resonance imaging: Magnetic resonance imaging (MRI) was introduced into clinical practice in the early 1980s. MRI involves applying a powerful magnetic field to the body which causes the protons of hydrogen nuclei to become aligned. The protons are then excited by pulses of radio waves transmitted at a frequency that causes them to resonate and emit radio signals; these are recorded electronically. Sophisticated computation then produces images which can be viewed in any plane, transversely, longitudinally or at any obliquity (see Fig. 5.11).

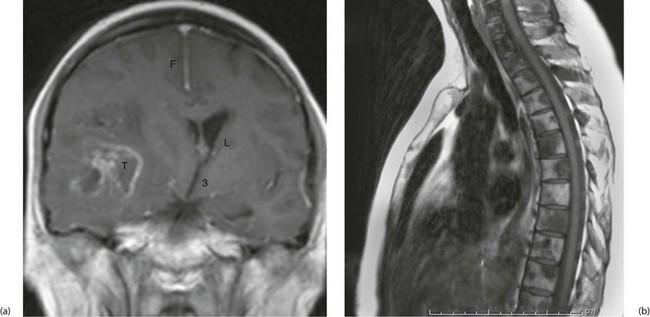
Fig. 5.11 Magnetic resonance images
(a) Gadolinium enhanced T1-weighted coronal MRI of the brain. Note enhancement of a tumour T, midline shift with compression of the right lateral ventricle L. The falx F and third ventricle 3 are also labelled. (b) T1-weighted sequence sagittal MRI of the thoracic spine in a patient with known prostate cancer, back pain and an elevated prostate specific antigen. The image demonstrates bony metastases as dark areas in the vertebral bodies and spines; the white areas are normal fat in the marrow
Lipids have particularly high hydrogen content and are clearly seen on MRI. For this reason, the initial applications of MRI were in examining the brain and spinal cord. The technique is increasingly employed for investigating joints such as the knee, shoulder, hip and ankle, and in some cases replaces the need for arthroscopy. Examination times have fallen and good-quality images of chest, abdomen and pelvis can now be obtained. However, MRI is unsuitable for imaging gas-filled organs and dense bone.
Disadvantages of MRI: Some patients are unable to tolerate MRI because of claustrophobia but the main technical drawback is the effect of magnetism on metal. Thus metallic foreign bodies, especially in the eyes, may move in the magnetic field and cause damage. MRI cannot be used with cardiac pacemakers and some metallic implants, and patients being artificially ventilated require machines made of non-ferrous materials. Scanning times are still longer than for CT (though falling) and so MRI is less suitable for young children, the elderly or confused, patients in pain, ventilated patients and emergency patients with active bleeding. The diagnostic applications of MRI continue to expand in parallel with the technical improvements.
Applications of magnetic resonance imaging:
General surgical diagnosis: MRI is especially useful for assessing soft tissue tumours, biliary anatomy and pelvic disease. For soft tissue tumours of the extremities, MRI is valuable in planning surgery. It can demonstrate the true extent of the tumour and its relationship to vital structures, so excision margins can be decided before operation.
MRI is useful for imaging the biliary tree as previously discussed. Pelvic MRI is invaluable for assessing the sites and anatomical complexity of anorectal fistulae as well as the extent of some pelvic malignancies. There is also a role for MRI in breast cancer. Contrast enhanced MRI may be shown to have advantages over mammography in distinguishing benign from malignant disease and in assessing multifocal disease. In young women with a strong family history or genetic predisposition to breast cancer, screening needs to begin at an age at which mammography would be unlikely to have sufficient discrimination. MRI may accomplish this screening role without using irradiation.
Blood flow: An exciting development is the ability to demonstrate blood flow in the heart and blood vessels, i.e. magnetic resonance angiography (MRA). Blood vessels can be visualised without need for contrast injection and abnormalities detected as in conventional angiography. In addition, volume flow can be calculated in particular vessels. Spatial resolution can be improved by injecting paramagnetic materials such as compounds containing gadolinium. MRI is playing an escalating role in diagnosing cardiac and arterial disease and may in time replace diagnostic coronary angiography.
PET measures physiological function by looking variously at blood flow, metabolic rates of tissues and the distribution of neurotransmitters and radio-labelled drugs. It depends on detecting radioactivity from the target organ after a small amount of positron-emitting radioactive tracer is injected into a peripheral vein (usually oxygen-15, fluorine-18, carbon-11 or nitrogen-13). PET is usually combined with CT (PET-CT) to enable accurate 3D anatomical location of abnormalities discovered.
PET is commonly used to measure the rate of glucose consumption in parts of the body. The isotope 18F replaces some of the oxygen in glucose to produce fluorodeoxyglucose (FDG). As this sugar is metabolised, more radioactivity is emitted from more active cells. Cancer cells are often metabolically very active, and this principle enables FDG-PET to detect malignancy and differentiate between malignant and benign tissue in many cases. PET can be more sensitive than CT or MRI for detecting cancer. Whole body PET scanning is employed to stage some cancers before attempting curative surgery, e.g. oesophagus and lung, or to distinguish recurrent tumours from radiation necrosis or scar tissue, e.g. following treatment of lymphoma.
Blood flow and oxygen consumption in the brain can be examined using PET to help understand strokes and dementias and to track chemical neurotransmitters such as dopamine in Parkinson's disease.
Many of the conventional X-ray, ultrasound and CT techniques already described have been adapted to guide needles for biopsy, to place drains, to dilate diseased arteries, for example, enabling less invasive therapeutic manoeuvres than formerly. Some techniques have revolutionised treatment and established the interventional radiologist as a front-line clinician, and the field is still growing. Important surgical applications are described in this chapter or in relevant sections elsewhere.
Fine-needle aspiration cytology (FNA) and core biopsy: A fine needle (22 gauge) can be safely passed through most organs or small bowel to aspirate fragments of tissue from a suspicious lesion. Larger-diameter needles can be used for direct core biopsy of masses. The depth and direction of the needle can be accurately guided by ultrasound or CT to ensure a representative sample is taken. For example, pancreatic masses can be reached by transfixing bowel lying in front of the pancreas; this causes remarkably few side-effects. Where practicable, many surgeons and pathologists prefer the larger specimens obtainable with core biopsy techniques using special needles such as the Trucut, available in various configurations and dimensions.
Minimally invasive applications in breast disease include ultrasound- or mammographically-guided fine-needle aspiration (FNA) or core biopsy of asymptomatic abnormalities detected on mammography, including those found on screening. Stereotactic apparatus can be employed to make this process more accurate. Mammographic guidance is also sometimes used to place a hooked wire close to an impalpable abnormality to locate it before surgical excision (mammographic localisation).
Guided core biopsy or FNA techniques are also important in the diagnosis of thyroid lumps, for sampling liver nodules and for taking renal biopsies in diffuse renal disease.
Ultrasound and CT are often used to guide percutaneous drainage of well-defined fluid collections in the abdomen or chest, e.g. pancreatic pseudocysts, or abscesses, e.g. paracolic or subphrenic. Ultrasound or CT can demonstrate the site and the dimensions of the fluid collection and show the least harmful route for drainage. Fluid can be drained via a needle on a once-only basis or else a self-retaining ‘pigtail’ drain can be placed and drainage allowed to continue. In the first category, a subphrenic or other localised abscess can be drained; in the second, a drain can be placed into a pancreatic pseudocyst or locally to drain a biliary leak after surgery or a gaseous/purulent diverticular perforation. In this way, many major surgical interventions can be avoided.
Large balloon catheters similar to angioplasty catheters can be used to dilate benign oesophageal strictures caused by oesophagitis. For achalasia, balloon dilatation is now a standard technique. Balloon dilatation is sometimes used for benign rectal strictures such as may occur at an anastomosis site, provided they are not caused by recurrent tumour.
Cloth-lined expanding metal stents are now successfully employed, usually after dilatation, for oesophageal, gastric outlet and colonic strictures caused by malignancy. They are usually placed endoscopically, often after contrast radiology. However, stenting is not indicated as a permanent solution for benign conditions.
Principles of radionuclide scanning
Radionuclide or isotope scanning is the application of nuclear medicine for diagnosis, by identifying sites of abnormal physiology, e.g. the presence of pus, abnormal phagocytic activity or areas of excessive bone turnover. Isotope scanning, however, gives poor anatomical detail. Suitable tracer agents combine a substance taken up physiologically by the target tissue and a radioactive label, usually technetium-99m (99mTc).
The tracer is concentrated in a specific type of tissue (such as iodine in the thyroid) or else in tissues with similar physiological or pathological activity such as reticulo-endothelial cells or areas of inflammation.
A gamma camera consisting of multiple detector units collects and counts the level of radioactivity across the area of interest. This produces a complete image in one exposure (see Fig. 5.12). Several views are taken from different directions (usually anterior, posterior and oblique).

Fig. 5.12 Isotope scanning using a gamma camera
The patient has received an intravenous injection of radiolabelled tracer. The pattern of uptake is imaged by the detector array and transmitted electronically to be displayed on a monitor
Some pathophysiological functions can be investigated by dynamic imaging. For this, detection of isotope continues over a period and the changing level of radioactivity is recorded for later analysis. Examples of this include estimating renal blood flow and studying renal clearance.
Lung scanning: Lung scanning was widely used in the diagnosis of pulmonary embolism but is used much less since multislice CT became widely available.
Bone scanning: Phosphate-based agents (phosphates or bisphosphonates) labelled with technetium are usually employed. The tracer is taken up in areas of increased bone deposition and resorption, indicating sites of bone growth and repair (see Fig. 5.13). These include growth plates, some primary tumours, secondary tumours, foci of bone infection, healing fracture sites, active arthritis and Paget's disease. Bone scanning is highly sensitive but interpretation of the scans requires caution because it lacks specificity. They are usually interpreted alongside plain radiographs to improve specificity.

Fig. 5.13 Isotope bone scans
(a) Anterior view of bone scan in a patient with multiple bony metastases (arrowed) from breast cancer. (b) Posterior view of bone scan in the same patient
The tracer agent is injected intravenously and becomes distributed throughout all body fluids. The highest concentration collects at sites of osteogenesis about 6 hours later and the patient is then scanned. The tracer is also taken up in areas of dystrophic calcification and may sometimes reveal an unsuspected carcinoma of breast, an old myocardial infarction scar or a uterine fibroid.
Renal scans: Renal scanning is an important method of investigating the urinary tract. It can obtain information not available from any other source, is quick and simple to perform and allows the function of each kidney to be assessed individually.
There are three main varieties of scan, using different isotopes. DTPA (diethylene tetramine penta-acetic acid) is excreted in the urine like urographic contrast, while DMSA (dimercapto-succinic acid) and MAG3 remain in cortical tissue. (Aide-mémoire: DT ‘Pee’ A, excreted in urine; D ‘Meat’ SA, retained in cortical tissue.) Examples are shown in Figure 5.14.

Fig. 5.14 Renal DMSA isotope scans
(a) Normal and (b) abnormal showing patchy scarring due to episodes of pyelonephritis. In this case, there had been bilateral reflux of urine in childhood
DTPA scanning is used to follow up children with reflux nephropathy. The isotope is instilled into the bladder; the child then voids urine while being scanned and any vesico-ureteric reflux is demonstrated. DTPA is also used to diagnose ureteric obstruction and to distinguish obstructed from merely capacious non-obstructed renal tracts.
When unilateral renal parenchymal disease is being investigated, both DMSA and DTPA can give an estimate of excretory activity. The two agents can be used to estimate differential renal function when investigating renal artery stenosis or the function of a transplanted kidney. DMSA is used specifically to image the renal parenchyma to demonstrate renal scars or tumours.
Scanning for gastrointestinal bleeding: Scanning using the patient's own isotopically labelled red cells may be employed to locate a source of continuing or intermittent gastrointestinal bleeding. This is useful where the rate of bleeding is relatively slow or in a patient with recurrent haemorrhage, particularly where a source cannot be identified by endoscopy or arteriography.
The patient's blood is labelled with radioactive technetium and reinjected, then the abdomen is scanned at intervals over the next 24 hours or so for ‘hot spots’ indicating accumulating gastrointestinal haemorrhage. If the rate of bleeding is more than about 0.1 ml per minute, the scan usually reveals activity concentrated in one part of the bowel. This indicates the general area of haemorrhage and enables the surgical search to be focused, for example on the distal stomach or right side of the colon. Radionuclide scanning can detect blood accumulating over a period, whereas selective angiography requires a higher rate of bleeding at the moment of injection; however, it can reveal the site more precisely.
In children, rectal bleeding may be due to bleeding from a Meckel's diverticulum caused by ulceration of ectopic gastric mucosa. A radionuclide compound of technetium concentrated in gastric mucosa may reveal the source.
Leucocyte scanning for inflammation and infection: When an abscess or other infected focus is suspected but cannot be localised, the patient's white blood cells can be labelled with indium-111 or technetium-99m, then reinjected and scanned. Typical indications are patients with a high swinging pyrexia after operation, or with sepsis of unknown origin. The process is expensive but has a high degree of specificity and sensitivity; however, there is a small proportion of false negatives where an occult abscess is not revealed by the scan.
Leucocyte scanning can determine the extent of bowel involvement in inflammatory bowel disease, both ulcerative colitis and Crohn's disease. Tc-hexamethylpropyleneamine oxime (HMPAO)-labelled leucocytes migrate towards areas of inflamed bowel which are then revealed on imaging.
Thyroid scans: Thyroid scanning is described in Chapter 49. Its use is declining in favour of fine-needle aspiration and cytology except in specific disorders of thyroid function.
Cardiovascular imaging: A multiple gated acquisition (MUGA) scan can provide information about ventricular function. This can be useful following myocardial infarction or for patients receiving doxorubicin (Adriamycin) chemotherapy which can damage heart muscle. Radionuclide lymphangiography in chronic lymphoedema can demonstrate the patency and capacity of lower limb lymphatics.
Hepatobiliary imaging (HIDA scanning): Technetium-labelled imido-diacetic acid (IDA) derivatives are concentrated by hepatocytes and excreted into bile even in the presence of jaundice. This provides a means of testing the patency of the biliary tree and cystic duct.
Hepatobiliary imaging can be used for:
• Demonstrating cystic duct obstruction in suspected acute cholecystitis
• Demonstrating whether bile ducts are obstructed in jaundiced patients. This is often employed in neonates with jaundice. If there is unequivocal evidence of intestinal excretion of the radiolabel, the patency of the extrahepatic biliary system is confirmed
Principles of flexible endoscopy
Strictly speaking, endoscopy applies to any method of looking into the body through an instrument via an orifice such as nose or mouth, or via an artificially created opening (e.g. laparoscopy, thoracoscopy or arthroscopy). Endoscopy using simple tubular instruments was used for many years and some methods are still in use, e.g. rigid sigmoidoscopy. Developments in fibreoptics first led to improved illumination for rigid endoscopes and later to construction of flexible instruments. These greatly extended the range and sophistication of endoscopic diagnosis and therapy. The unqualified term endoscopy now means GI endoscopy using flexible instruments with fibreoptic illumination and video image transmission.
Fibreoptic illumination: Rigid endoscopes and early flexible instruments were illuminated by tiny incandescent bulbs prone to failure. These were superseded by fibreoptic light guides in both rigid and flexible endoscopes. Fibreoptic light guides channel light from a powerful, remote fan-cooled light source to the distal end of an endoscope. They are made up of thousands of glass fibres, each with total internal reflection, so very little light is lost and no heat is transmitted. A powerful, cool light beam emerges from the distal end of even the longest endoscope.
Image transmission: The next development crucial to the design of early flexible endoscopes was the invention of coherent viewing bundles where the orientation of fibres at the distal end exactly matched the proximal viewing end. Each fibre transmitted a tiny part of the distal scene to the viewing end. The distal end of most endoscopes allowed a viewing angle of over 100°, and lenses gave a remarkable depth of focus. Accurate diagnosis could often be made on inspection alone.
A later development was the charge-coupled device (CCD) video camera, a light- and colour-sensitive microchip positioned at the distal end. The image is transmitted to a colour monitor and the system has now replaced the older direct viewing method.
Structure of flexible endoscopes: Most flexible endoscopes include a mechanism to steer the distal end in four directions (except for specialised ultra-slender scopes), a distal imaging chip for video endoscopy, one or two fibreoptic light guides, a suction channel and a channel for inflating the hollow viscus under inspection with air, doubling as a lens washing channel (see Fig. 5.15). The suction channel is also used to pass slender flexible operating tools such as tiny forceps for biopsies, grasping forceps for retrieving foreign bodies, laser guides for therapy (haemostasis or tumour destruction), snares for excision of polyps, diathermy wires, scissors for cutting sutures and needles for injecting haemostatic agents.

Fig. 5.15 Flexible fibreoptic gastroscope
(a) This end-viewing gastroscope is composed of a flexible main shaft M which is 1 m long and marked at 10 cm intervals; the distal 10 cm can be flexed in four directions to steer the instrument in order to advance it and to obtain the best view. There is also an ‘umbilical cord’ U which is plugged into the control box. This carries air to inflate the viscus, water to wash the viewing lens and suction to aspirate fluid from the lumen. There is a flush tube F, through which fluid can be injected to wash the stomach wall. The steering controls are better seen in (b). (b) The steering controls consist of two concentric wheels labelled respectively D and U (down and up) and L and R (left and right). The channel F is also used to pass instruments; buttons control suction S and air inflation and lens washing L. (c) shows the tip of the instrument in detail. The two light guides are marked L, V is the lens for the imaging chip, W is the exit for the inflation air and lens washing water and B is the channel for passing instruments and for suction. Note that the video image is transmitted up the ‘scope and along the umbilical cord to the processor unit, from where it is displayed on a video monitor
Flexible endoscopes were first used to inspect the stomach in the late 1960s and the range of instruments has progressively expanded since then. There are now instruments available to inspect and cannulate the duodenal papilla, to examine all or part of the large bowel, to inspect the interior of the bile ducts at operation, to examine bronchi and to examine the bladder interior using only local anaesthesia.
Choledochoscopes are rigid or flexible instruments to inspect the interior of the bile ducts at open or laparoscopic operation to ensure stones are cleared. Their use has improved the rate of clearance during exploration of the common bile duct.
Narrow fibreoptic bronchoscopes can be passed under topical anaesthesia. They are used to inspect bronchi for disease and take biopsies and can aspirate mucus plugs responsible for postoperative lobar collapse.
Diagnostic upper gastrointestinal endoscopy: Oesophago-gastro-duodenoscopy, also known as OGD or gastroscopy, involves inspecting the upper GI mucosa using a steerable, flexible endoscope. It is usually carried out under intravenous sedation and local anaesthetic spray on a day-case basis. Among other applications, gastroscopy enables the whole area prone to peptic ulcer disease and cancer to be directly and comprehensively examined.
Flexible endoscopy has the following advantages over GI contrast radiology:
• Structural abnormalities such as chronic ulcers can be inspected directly whereas radiology provides only a two-dimensional image with little information about surface characteristics
• Benign ulcers and early malignancies are often indistinguishable on radiology whereas at endoscopy, suspicious lesions such as ulcers can be inspected and biopsied
• Shallow mucosal abnormalities invisible on radiology such as superficial ulceration or vascular malformations can be inspected at endoscopy
• Bile reflux through the pylorus may be visible
• Fibrosis and anatomical distortions from previous disease or surgery interfere much less with recognition of what is abnormal on endoscopy than on radiology
• Endoscopy can often identify the exact site of the lesion causing acute upper gastrointestinal haemorrhage and give an indication of the rate of haemorrhage and the likelihood of rebleeding. Tracing the source is often impossible radiologically
• During endoscopy, therapy may be applied during the same procedure, e.g. injection of the source of acute bleeding, retrieving swallowed foreign body, placement of feeding gastrostomy tube
Therapeutic upper gastrointestinal endoscopy:
Treatment of upper gastrointestinal haemorrhage: First-line therapy for upper gastrointestinal haemorrhage caused by bleeding ulcers typically involves injection of the ulcer base with adrenaline solution alone or in combination with sclerosants. Other treatments such as laser or direct heat coagulation have proved less effective, but are sometimes used. With these techniques, the need for urgent surgery for bleeding has been substantially reduced. Patients successfully treated for acute haemorrhage from benign lesions can often be managed in the long term without surgery; this subject is discussed in detail in Chapter 19. Haemorrhage due to oesophageal varices is now best treated in most cases by endoscopic band ligation or injection sclerotherapy rather than surgery.
Treatment of oesophageal strictures: Endoscopic methods are often used for dilating benign strictures. The endoscope is passed until the stricture is visible and then a flexible wire is passed through into the stomach. The endoscope is removed, leaving the wire in situ. Plastic or metal dilators of increasing size are then passed over the wire which guides them safely through the stricture until sufficient dilatation is achieved. The technique is relatively safe, can easily be repeated and avoids the need for general anaesthesia. There is a small risk of oesophageal perforation (see Fig. 5.16).
Dysphagia caused by an inoperable malignant stricture can be improved by creating a pathway through the tumour with endoscopically guided laser fulguration. Unfortunately the tumour inevitably recurs and multiple treatments are likely to be necessary, but swallowing can be maintained and the patient's quality of life improved without major surgery. In other cases, a stent can be placed endoscopically to keep the oesophagus open. This involves first dilating the stricture, then pushing a collapsed metal expanding stent covered with cloth down until it lies across the stricture. The cover is removed from the stent to deploy it and it expands outwards. This avoids a risky operation and may provide worthwhile palliation for an obstructing tumour.
Diagnostic and therapeutic duodenoscopy: A side-viewing duodenoscope can be used to inspect the duodenal papilla and guide insertion of a cannula or therapeutic tools. Cannulation allows injection of contrast material into the common bile duct and separately into the pancreatic duct. The technique is known as ERCP (endoscopic retrograde cholangio-pancreatography) (see Fig. 5.17 and Ch. 11) and is an important part of gastroenterological investigation.
ERCP can be both diagnostic and therapeutic. Indications for diagnostic ERCP may be decreasing as newer and safer techniques such as MRCP (magnetic resonance cholangio-pancreatography) become available. Therapeutic ERCP allows many bile duct disorders that would previously have required difficult, time-consuming and dangerous operations to be managed by minimal access techniques, with short hospital stays. For example, bile duct stones can often be removed endoscopically by slitting the sphincter at the lower end (sphincterotomy) and retrieving them with a balloon catheter or a Dormia basket. Other therapeutic measures include inserting bile duct stents for palliating malignant biliary obstruction (cancer of pancreatic head, bile duct or duodenum) and for managing postoperative bile leaks.
Enteroscopy: Barium follow-through, CT and MRI have low rates of positive diagnosis in small bowel disorders. Direct small bowel visualisation used to be achieved by ‘push’ enteroscopy (with a 2 m endoscope that could examine up to a metre beyond the duodeno-jejunal flexure) or by operative enteroscopy via a laparotomy. Later, a technique of double-balloon enteroscopy appeared, with an endoscope passed via the mouth and then coaxed along the small bowel using attached balloons as counter-traction. None of these methods was convenient or reliable.
A newer development for small bowel investigation is capsule endoscopy, introduced in 1999. This enables the entire 3–5 metres of small bowel to be visualised with relative ease. The patient swallows a capsule which is propelled through the gastrointestinal tract by peristalsis. An imaging device continually transmits images to sensors on the abdominal wall and the capsule-camera then passes in the stool.
One device, the PillCam SB capsule endoscope, is only 26 × 11 mm, weighs under 4 g. It contains a battery, light-emitting diodes, an imaging chip camera that captures images at 2 frames a second and a radio transmitter that passes images to a sensor array for up to 8 hours. The camera has an image field of 140°. If obstruction is suspected, a different model with a body made of lactose can be used. This disintegrates in less than 48 hours if arrested.
Capsule endoscopy has a positive diagnosis rate of around 65% compared with around 20% for other methods. In obscure gastrointestinal bleeding, there is a positive diagnostic yield of 45–75% in patients who have already had negative upper and lower GI endoscopy. Typical findings include angiodysplasia, tumours, varices and ulcers. Other indications include suspected small bowel Crohn's disease, particularly in children, assessment of coeliac disease, screening in familial polyposis syndromes and diagnosis of Barrett's oesophagus (by attaching a string). Biopsies cannot yet be taken.
Large bowel endoscopy (colonoscopy): Flexible endoscopes of different lengths are available for large bowel examination (see Fig. 5.18). The shortest, the fibreoptic sigmoidoscope, is about 60 cm long. It is simple to use and allows examination of the rectum, sigmoid colon and descending colon with minimal bowel preparation. Longer colonoscopes enable the entire large bowel to be inspected, and vary in stiffness to assist intubation to the caecum. Other techniques also help reach the caecum, including insufflation with carbon dioxide rather than air, and releasing seed oil from the tip to lubricate the instrument.

Fig. 5.18 Colonoscopic view of normal transverse colon
When seen colonoscopically, the transverse colon is typically triangular in cross-section; the taenia coli form the apices
Colonoscopy allows inspection of pathological lesions, biopsy of suspicious lesions and resection of lesions such as polyps. Colonoscopy is also employed for surveillance and follow-up of patients treated for colorectal cancer or polyps. New tumours or polyps (metachronous lesions) are looked for and the original site of surgery can be examined. Similar examinations are also used for surveillance of patients with longstanding ulcerative colitis; multiple biopsies are taken to examine for dysplasia, and the entire large bowel is inspected for adenomas or carcinomas. Acutely bleeding angiodysplastic lesions in the large bowel can be treated with diathermy.
Colonoscopy is the most reliable method of screening asymptomatic people for colorectal carcinoma. However, its application is limited by the lack of trained endoscopists, by cost and by lack of patient compliance.
Urological endoscopy: Endoscopic urology is a progressively larger part of urological surgery with flexible instruments used for diagnostic cystoscopy and ureteroscopy.
Cystourethroscopy (cystoscopy) using a rigid instrument is the main diagnostic and therapeutic tool for disease of the urethra, prostate and bladder. Transurethral resection of the prostate has virtually eliminated the need for open retropubic prostatectomy and most early bladder tumours can be treated endoscopically. Laser enucleation of prostatic adenomas is an exciting development. An instrument similar to the cystoscope (but longer), the ureteroscope, can now be used to retrieve stones from the lower half of the ureter.
Endoscopic methods of percutaneous stone removal from the renal pelvis have become widely available (percutaneous nephrolithotomy). These involve creating a channel from the skin into the renal pelvis and dilating it until an endoscope can be passed. When the stone is seen, various instruments can be used to fragment it and achieve its removal.
Diagnostic and therapeutic laparoscopy: This is covered in Chapter 10
.