Page 195 

Chapter 23 Infections of the respiratory tract

The human respiratory tract is highly susceptible to infectious diseases, and morbidity of this region accounts for the majority of general practitioner consultations and almost a quarter of all absence from work due to illness in the western world. Most respiratory tract infections are mild, associated with cold, damp winter months when coughing and sneezing in enclosed spaces facilitate the spread of disease. Serious infections are seen in the very young and the very old, and in compromised patients, throughout the year.

Respiratory infections can be broadly classified into upper and lower respiratory tract infections, although both areas may be simultaneously affected by some agents, notably viruses. The throat, pharynx, middle ear and sinuses are involved in upper respiratory tract infections, while lower respiratory tract infections are confined to the trachea, bronchi and lungs.

Normal flora

In health, the nose and the throat are colonized by commensal bacterial species, while the lower respiratory tract (the lower bronchi and alveoli) contain only a few, if any, organisms. The nose is the habitat of a variety of streptococci and staphylococci, the most significant of which is Staphylococcus aureus, especially prevalent in the anterior nares. Other commensal flora of the upper respiratory tract include corynebacteria, Haemophilus spp. and neisseriae. In health, these endogenous (and other exogenous) organisms are unable to gain access to the tissues and cause disease because there is an effective array of defence mechanisms (Table 23.1).

Table 23.1 Natural antimicrobial defences of the respiratory tract

Mucociliary system
Nasal vibrissae
Action of cilia
Mucous glands and goblet cells
Bronchoconstriction
Cough reflex
Non-specific mucosal defences
Lactoferrin
Lysozyme
α-Antitrypsin
Alveolar macrophage system
Mucosal antibody (mainly secretory IgA)
Local cell-mediated immunity

IgA, immunoglobulin A.

Important pathogens of the respiratory tract

The major causative agents of bacterial and viral respiratory infections of both the upper and lower respiratory tract are illustrated in Figure 23.1.

image

Fig. 23.1 Major causative agents of respiratory tract infection. RSV, respiratory syncytial virus.

Infections of the upper respiratory tract

The following infections of the upper respiratory tract of clinical relevance to dentistry are noteworthy:

the sore throat syndrome
streptococcal sore throat
rheumatic fever
acute glomerulonephritis
common cold syndrome
diphtheria
Vincent’s angina
infectious mononucleosis (Chapter 21)
candidiasis (Chapter 22).

Sore throat syndrome

Clinical features

Sore throat is a very common symptom that may or may not be accompanied by constitutional changes. A number of agents may cause a sore throat, but the majority (approximately two-thirds) of the infections are caused by viruses. The major bacterial pathogen involved is Streptococcus pyogenes (Lancefield group A). Sore throat is a frequent precursor of the common cold syndrome (see below).

Streptococcal sore throat

Clinical features

Characteristic features are redness of the pharynx and tonsils, possible oedema of fauces and soft palate with exudate (acute follicular tonsillitis). Children 5–8 years old are most commonly affected. Spread of infection may cause a peritonsillar abscess (quinsy throat); further spread may cause sinus infection (sinusitis – commonly maxillary sinusitis) or middle-ear infection (otitis media). Scarlet fever, a childhood disease, is a complication of streptococcal upper respiratory tract infection and is accompanied by an erythematous rash and constitutional upset.

Pathogenesis and epidemiology

The condition is common, especially in winter, with the peak incidence in young schoolchildren with inadequate levels and range of antibodies. Transient streptococcal carriage for a few weeks is common after an acute episode. The rash in scarlet fever is due to the erythrogenic toxin produced by the aetiological agent (Streptococcus pyogenes).

  Page 196 

Late sequelae of streptococcal infection

Immunologically mediated diseases can manifest in susceptible individuals as a late consequence of certain strains of Streptococcus pyogenes (group A) infection. These are rheumatic fever and acute glomerulonephritis.

Rheumatic fever

Clinical features

Fever, pain, joint swelling and pancarditis (myocarditis, endocarditis and pericarditis) occur 2–5 weeks after streptococcal sore throat. Cardiac manifestations may lead to permanent heart damage. In developed countries, the incidence of rheumatic fever (and related heart disease) has declined markedly, possibly owing to changes in the virulence properties of the bacterium, improved affluence and social conditions, and effective antimicrobial therapy (e.g. penicillins). However, both rheumatic fever and consequent heart disease are still a major problem in the developing world.

The disease clears spontaneously but may lead to chronic valvular diseases of the heart such as stenosis or incompetence of the mitral or aortic valves in about 70% of patients. Affected individuals are highly susceptible to bacterial endocarditis later in life, when bacteraemias are created during dental or surgical procedures such as scaling. This complication can be prevented by prudent antibiotic prophylaxis prior to such procedures (see Chapter 24).

Pathogenesis

A number of theories have been proposed for rheumatic carditis:

rheumatic toxins: extracellular products of group A streptococci reacting with heart tissue
autoimmunity: induced by the localization of extracellular streptococcal products and antibodies in tissues
cross-reactivity: the group A streptococcus cell wall antigens and glycoproteins of human heart valves share the same antigenic determinants; thus, the antibodies produced against the bacterial cell wall may cross-react with the heart valve components, with resultant cardiac complications (Fig. 23.2).
image

Fig. 23.2 Pathogenesis and sequelae of rheumatic carditis (events leading to infective endocarditis are also illustrated).

  Page 197 

Laboratory diagnosis

Diagnosis is mainly clinical; throat swabs are useful to confirm the presence of Streptococcus pyogenes. Swabs cultured on blood agar aerobically and anaerobically yield characteristic β-haemolytic colonies, which can subsequently be identified by Lancefield grouping.

Infection can be proved by serological analysis of paired clotted blood samples. Evidence for antibody to streptolysin O should be sought (streptolysin O is a haemolysin produced by Streptococcus pyogenes). Antibodies to other streptococcal products such as hyaluronidase and DNAase may also be demonstrated immediately after an infection.

Treatment

β-Haemolytic streptococci are universally sensitive to penicillin. Erythromycin is an alternative in cases of penicillin hypersensitivity. After eradication of Streptococcus pyogenes with penicillin, reinfection must be prevented by long-term prophylaxis.

Acute glomerulonephritis

Acute glomerulonephritis is another immunological complication that may follow streptococcal sore throat (and sometimes skin infection). The latent period between infection and symptoms is shorter than in rheumatic fever.

Clinical features

The condition presents 1–3 weeks after the sore throat; characteristically there is haematuria, albuminuria and oedema, which manifests as a puffed face, especially on waking, and as the day wears on, ankle oedema often develops. The disease spontaneously clears in the majority, but in some residual, kidney damage may progressively lead to renal failure.

Pathogenesis

Theories proposed include:

nephrotoxins: production of toxic substances by nephritogenic streptococci, including streptolysin, cell wall extracts and uncharacterized diffusible substances released by the cells
  Page 198 
immunological cross-reactivity: between antigens of protoplasts of nephritogenic streptococci and soluble components of glomerular basement membrane
immune complexes: thought to be formed by combinations of antistreptococcal antibody with either streptococcal antigens already circulating in the blood or deposited on the basement membranes.

Laboratory diagnosis

A clinical diagnosis is confirmed by past or present streptococcal infection.

Treatment

Penicillin is useful if the organism is still present at the infective focus.

Common cold syndrome

A number of viruses such as coronaviruses, adenoviruses and rhinoviruses cause the common cold, although rhinoviruses are by far the most common culprit.

Clinical features

Brief incubation period of 2–4 days and acute illness up to a week with a non-productive cough lasting up to 2–3 weeks. Average adult has up to two attacks per year. Symptoms: sneezing, nasal obstruction and discharge, sore throat accompanied possibly by headache, mild cough, malaise and a chilly sensation and fever. Secondary bacterial infection may lead to otitis media, sinusitis and bronchitis or pneumonia in children.

Pathogenesis

Virus enters the upper respiratory tract and multiplies in the surface epithelium of the nasal mucosa, leading to increased nasal secretion and oedema. Virus is essentially transmitted through close contact and through air in confined spaces; self-inoculation by hand contamination is considered a more important route than airborne transmission.

Antibodies develop in most after an acute episode but provide limited protection due to rapid decline in antibody levels and also due to multiple rhinovirus serotypes or other common cold viruses circulating during a single season.

Treatment

Only symptomatic treatment. Many attempts at vaccine preparation have failed, and antiviral drugs are equally ineffective. Nasal spray of interferon-α has shown some promise in preventing spread of rhinoviruses.

Diphtheria

Diphtheria is caused by Corynebacterium diphtheriae (three main biotypes: gravis, intermedius and mitis).

Clinical features

After an incubation period of 2–5 days, a severe, acute inflammation of the upper respiratory tract, usually the throat, sets in. Severity of the disease is related to the infecting strain of the organism and the extent of the grey-white membrane that covers the fauces. The membrane is a product of a serocellular exudate. Nasal diphtheria is often milder than laryngeal diphtheria, which is serious because of the respiratory tract obstruction.

Pathogenesis

Corynebacteria produce a powerful exotoxin that is cardiotoxic and neurotoxic. This toxin diffuses throughout the body, affecting the myocardium, adrenal glands and nerve endings.

Epidemiology

The disease is rare in developed countries because of the successful immunization programme with the diphtheria–tetanus–pertussis (DTP) vaccine. Outbreaks occur in non-immunized populations, especially in the developing world.

Treatment

Antitoxin must be used in addition to penicillin or erythromycin.

Vincent’s angina

Vincent’s angina is caused by the fusospirochaetal complex (fusobacteria and oral spirochaetes). These are normal commensals of the mouth and may overgrow, mainly as a result of poor oral hygiene superimposed on nutritional deficiency, leukopenia or viral infections. The outcome may be necrotizing ulcerative gingivitis (Vincent’s stomatitis) if the infection is localized in the mouth (Chapter 33) or Vincent’s angina leading to massive tissue involvement in the tonsillar area. (Similar fusospirochaetal infections may occur in bite wounds, lung abscesses, bronchiectasis and leg ‘tropical’ ulcers.) The primary cause of these diseases is the anaerobic environment, due to local or systemic factors, which precipitate polymicrobial anaerobic growth.

Treatment

Penicillin or metronidazole combined with effective debridement, and removal of the underlying cause of tissue breakdown.

Infections of the paranasal sinuses and the middle ear

These can either be acute or chronic, and are often initiated as a secondary complication of a viral infection of the respiratory tract (e.g. a common cold). Some important examples are:

acute infections:
image otitis media
image sinusitis
  Page 199 
chronic infections:
image chronic suppurative otitis media
image chronic sinusitis.

Acute infections

Otitis media

Inflammation of the middle ear may be caused by infection spreading via the eustachian tube, especially after a common cold. Mainly a childhood disease characterized by earache; recurrences are common.

Sinusitis

Inflammation frequently affecting frontal and/or maxillary sinuses is a familiar symptom of the common cold but resolves spontaneously. However, pain and tenderness with purulent discharge may indicate bacterial infection, in which case antibiotic therapy is indicated.

Aetiology

Both otitis media and sinusitis are due to endogenous infection (from reservoirs in the nasopharynx) by bacteria such as Haemophilus influenzae, Streptococcus pneumoniae and Streptococcus pyogenes.

Treatment

Amoxicillin, ampicillin, erythromycin.

Chronic infections

Chronic suppurative otitis media

The term is given to chronic middle-ear infection and suppuration (pus formation) associated with pathological changes. It can recur at intervals throughout childhood and also in adulthood; the main symptoms are profuse discharge and pain.

Chronic sinusitis

Chronic sinusitis is associated with headache, painful sinuses, nasal obstruction and mucopurulent discharge. Patients may also complain of toothache if the maxillary sinuses are affected.

Aetiology

The aetiology is the same as in acute infections, with endogenous spread of infection from the indigenous upper respiratory tract flora. However, in addition, other organisms such as Staphylococcus aureus and a range of enterobacteria and anaerobes (Bacteroides spp.) may be associated. The role of these organisms in the disease process is not clear.

Treatment

Antibiotic treatment is required, guided by antibiotic sensitivity testing of isolates. Nasal decongestants may be helpful.

Infections of trachea and bronchi

Infection and consequent inflammation of the larynx (laryngitis), trachea (tracheitis) and bronchi (bronchitis) are common after viral infections of the upper respiratory tract. The following important diseases are outlined:

bronchitis
cystic fibrosis
pertussis (whooping cough).

Bronchitis

Acute bronchitis in a patient with a healthy respiratory tract is usually a minor complaint possibly due to a viral infection. However, secondary bacterial infection of the damaged respiratory mucosa may result in severe attacks in those with a history of chronic bronchitis, bronchiectasis or asthma. Acute exacerbation of chronic bronchitis is a serious disease.

Aetiology

Two major agents are H. influenzae and Streptococcus pneumoniae. Branhamella catarrhalis and Mycoplasma pneumoniae may also be involved in some cases.

Clinical features

A dry cough that later turns productive with expectoration of yellow-green sputum; fever.

Pathogenesis and epidemiology

Bronchitis is primarily an endogenous infection due to the above-mentioned organisms. However, chronic bronchitis is the result of a vast number of additional aetiological factors including previous lung disease, smoking, poor housing, low socioeconomic class, urban dwelling, atmospheric pollution, and damp, cold and wintry weather conditions.

Diagnosis

The diagnosis is mainly clinical; sputum samples are cultured to isolate and to determine the antibiotic sensitivity profile of the aetiological agents.

Treatment

Ampicillin or amoxicillin, tetracycline, co-trimoxazole (combination of sulfamethoxazole and trimethoprim) and erythromycin are all used in the treatment, depending on the culture and sensitivity results. In chronic bronchitic patients, antibiotic treatment should begin early in the infection to reduce severity.

Cystic fibrosis

Respiratory infection is a major problem in patients with cystic fibrosis. This inherited defect leads to production of abnormally thick mucus that blocks the respiratory ‘tubes’ and tubular structures in many different organs. However, the most disabling feature of this condition is chronic respiratory tract infection due to compromised natural defence mechanisms of the airways. The aetiological agents are usually Staphylococcus aureus, Streptococcus pneumoniae and Pseudomonas aeruginosa. The biofilms of the latter, in particular, within the thick mucus mass, are not easily penetrated by antibacterials, leading to chronic recalcitrant infections.

  Page 200 

Pertussis (whooping cough)

Pertussis is caused by Bordetella pertussis.

Clinical features

An acute childhood disease (usually in the first year) with tracheobronchitis, the disease has an insidious onset. First stage is the catarrhal stage (about 2 weeks), which leads to a paroxysmal stage characterized by a cough and indrawing of breath that creates a ‘whoop’ – hence the name. There is a very low fatality rate, but morbidity is high, leading to sequelae such as bronchiectasis.

Pathogenesis and epidemiology

Droplet spread; the attack rate in unprotected siblings may be as high as 90%. Whooping cough occurs in epidemic proportions every few years, especially in unvaccinated populations.

Laboratory diagnosis

A pernasal swab or cough plate of charcoal-blood or Bordet–Gengou medium confirms the diagnosis. A pernasal swab is obtained by passing a swab along the floor of the nose to sample nasopharyngeal secretions; a cough plate is obtained by holding the culture plate in front of the mouth when coughing. The organisms grow as mercury drop colonies on charcoal-blood agar.

  Page 201 

Treatment and prevention

Antibiotics are of little help; DTP vaccine is an effective preventive measure (see Chapter 37).

Lung infections

The following noteworthy infections are outlined:

pneumonia (including severe acute respiratory syndrome (SARS))
legionnaires’ disease
respiratory tuberculosis (TB)
empyema

Pneumonia

Despite the diverse array of antibiotics available today, pneumonia remains a significant cause of morbidity and mortality in the very young, the very old and the immunocompromised. Pneumonia can be categorized into three main types:

1. lobar (or segmental) pneumonia: consolidation is limited to one lobe or segment of the lung
2. bronchopneumonia: usually bilateral, with consolidation scattered throughout the lung fields
3. primary atypical or virus pneumonia: with patchy consolidation of the lungs.

The aetiological agents of different types of pneumonia are given in Table 23.2.

Table 23.2 Aetiological agents of pneumonia

Pneumonia Main pathogens
Lobar pneumonia Streptococcus pneumoniae
Bronchopneumonia Streptococcus pneumoniae
Haemophilus influenzae
Atypical pneumonia Mycoplasma pneumoniae
Coxiella burnetii
Chlamydia psittaci
SARS coronavirus (SARS-CoV)
Legionnaires’ disease Legionella spp.

SARS, severe acute respiratory syndrome.

Lobar and bronchopneumonia

Clinical features

These include fever, malaise, rapid arterial pulse and leukocytosis (in bacterial pneumonias); central cyanosis and breathlessness; cough and purulent sputum often laced with blood (in lobar pneumonias); and herpes labialis of the lips; pleuritic chest pain may occur in pneumococcal pneumonias, and there may be signs of lung consolidation on chest examination.

Pathogenesis and epidemiology

Lobar pneumonia is mainly caused by exogenous organisms, although the patient’s own upper respiratory tract flora may sometimes be an endogenous cause. The major agent of disease is the pneumococcus. However, of some 80 serotypes of pneumococci, only a few are implicated in the disease process. Staphylococcus aureus and H. influenzae are the other organisms involved.

The organisms invade the lung and deprive the alveolar cells of essential nutrients, thereby causing their destruction and death. This process is amplified in pneumococcal pneumonia by the resistance of the pneumococci to phagocytosis (due to the capsules) and the production of toxins such as pneumolysins.

The causative organisms of bronchopneumonia are similar to those of lobar pneumonia: pneumococci, Staphylococcus aureus and H. influenzae are common; coliforms are sometimes implicated. Staphylococcal bronchopneumonia frequently follows influenza and bronchitis in the elderly and infirm and may lead to death.

Other notable organisms that cause pneumonia are M. pneumoniae, Coxiella burnetii and Chlamydia psittaci.

Laboratory diagnosis

A properly taken, early-morning sample of sputum (as this is likely to be the most purulent) is essential for culture. Blood culture may be useful for diagnosing lobar pneumonia.

Treatment and prevention

Antibiotic therapy is dictated by sensitivity tests; penicillins are the first choice. For pneumococcal pneumonia, selective prophylaxis with pneumococcal vaccine is advised for high-risk groups (e.g. debilitated, institutionalized elderly people).

Primary atypical pneumonia

A pneumonia is atypical when its causative agent cannot be isolated in ordinary laboratory media and/or when its clinical picture does not resemble that of pneumococcal pneumonia. The major agent of primary atypical pneumonia is the virus-like organism M. pneumoniae (see Chapter 20), although others such as Legionella may be involved (Table 23.2). Mycoplasmal pneumonia has an incubation period of 1–3 weeks and is endemic in the community.

Severe acute respiratory syndrome

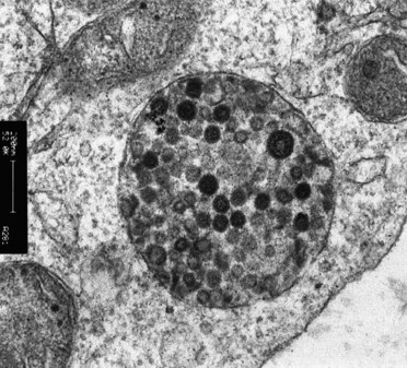
SARS was the first, severe, readily transmissible, emerging infection of the 21st century. Caused by the SARS coronavirus (Fig. 23.3), it was recognized in 30 countries within a short period of 6 months. Unfortunately, a large number of health care workers succumbed to the disease in the early period of infection, prior to the discovery of the virus and its mode of spread. Fortunately, no documented cases of SARS have been described since the first outbreak in 2003.

image

Fig. 23.3 A transmission electron micrograph of the severe acute respiratory syndrome coronavirus (SARS-CoV) particle in the alveolar tissue of a patient.

Clinical features, pathogenesis and epidemiology

Non-specific early symptoms such as fever, malaise, chills, headache, cough and sore throat are followed by shortness of breath a few days later. Some deteriorate rapidly, leading to acute respiratory distress requiring hospitalization and ventilatory support. The disease is difficult to differentiate from other atypical pneumonias, and, if not recognized early and promptly managed, death occurs in 10%, particularly in the elderly, due to respiratory failure.

The virus spreads by the airborne route through droplets or aerosols. However, no cases of disease transmission through a dental clinic setting have been reported. Infectivity of the virus during the prodrome of about 6 days is low, but high during the febrile period. The virus is relatively robust and hence survives in urine, faeces and in mixed saliva for up to 4 days, leading to further spread under unhygienic conditions. The disease is spread by the airborne route through droplets or aerosols.

Laboratory diagnosis

Earliest diagnosis methods included serodiagnosis with acute and convalescent sera, enzyme-linked immunosorbent assay (ELISA), haemagglutination and electron microscopy of respiratory secretions or stool samples. Rapid polymerase chain reaction-based diagnostic methods under development appear to be reliable.

Treatment and prevention

There is no proven treatment or vaccine, as yet. The mainstays of prevention are isolation of patients, quarantine of those exposed, travel restrictions and use of appropriate protective clothing by health care workers during disease outbreaks.

Legionnaires’ disease

Legionnaires’ disease is caused by Legionella pneumophila and other Legionella species.

Clinical features, pathogenesis and epidemiology

An increasingly common cause of pneumonia with significant mortality, legionnaires’ disease typically affects middle-aged smokers, often in poor general health. The illness resembles influenza and may lead to respiratory failure; associated symptoms are mental confusion, renal failure and gastrointestinal upsets.

The organism is a saprophyte that often exists in soil and stagnant water. Airborne spread is associated with cooling towers of air-conditioning systems and with complex modern plumbing systems; person-to-person airborne spread has not been documented. Concern has been expressed in the past that legionellae may multiply in stagnant water in dental unit water systems, and patients may be exposed to this health hazard when three-in-one syringes are used. Such fears appear to be unfounded.

Laboratory diagnosis, antibiotics and prevention

See Chapter 19.

Respiratory TB

Up to a third of the global population is thought to be infected by TB, which causes up to 3 million deaths each year. It is now the world’s pre-eminent fatal disease. Caused by Mycobacterium tuberculosis and other atypical mycobacteria (Chapter 19), it is re-emerging as a result of both the human immunodeficiency virus (HIV) pandemic and the bacilli that are gradually acquiring resistance to the conventional antituberculous drugs – the so-called multidrug-resistant tuberculosis (MDR-TB). Persons at increased risk of TB include dentists and their assistants, who are exposed to infectious droplet particles from their patients (Table 23.3).

Table 23.3 Groups at increased risk of tuberculosis

Children and young adults
Contacts of patients with active infection
Immunosuppressed individuals (e.g. HIV, drug therapy)
Health care workers in close contact with patients
Socially disadvantaged poor, in crowded urban environments
Individuals with alcoholism, diabetes mellitus or silicosis

HIV, human immunodeficiency virus.

  Page 202 

Clinical features and pathogenesis

Respiratory TB is a chronic granulomatous disease with protean manifestations that mainly affects the lungs, although other organs and tissues are frequently involved. Infection is initiated after inhalation of contaminated aerosol droplets. The disease can be divided into primary infection and post-primary infection.

Primary infection

The primary focus of pulmonary TB is generally the apical regions of the lungs, including the upper part of the lower lobe and the lower part of the upper lobe. This takes the form of a primary complex – the local lesion (Ghon focus) with enlargement of the regional hilar lymph nodes. Within 3–6 weeks, the patient’s cellular immunity is activated and replication of the bacilli will cease in most patients. The primary infection is entirely symptomless or sometimes associated with malaise, anorexia and weight loss. Cough is not a significant finding at this stage.

The primary infection is usually contained, and the active focus may become walled off and fibrotic. Antibiotic treatment at this stage may also resolve the infection. However, without such intervention, the disease may progress in some, leading to death. The resultant systemic spread of disease may cause:

tuberculous bronchopneumonia
miliary TB: haematogenous spread of the bacilli with multiple infective foci throughout the body
tuberculous meningitis
bone and joint TB
renal TB

Post-primary infection

There may be a latent period of months or years before the tubercle bacilli initiate active disease after primary infection. Such post-primary infection commonly involves the lungs, leading to caseous necrosis and fibrosis. The symptoms of post-primary disease are loss of appetite and weight, tiredness, fever and night sweats, cough, sputum and haemoptysis. Breathlessness due to pleural effusion, pneumothorax and lung collapse may occur if not treated.

Treatment

Treatment of TB is complex and depends on combination drug therapy to suppress the emergence of resistant bacilli. The recommended drugs in the UK are isoniazid, rifampicin, pyrazinamide and ethambutol. Treatment is usually initiated in the hospital, after which directly observed treatment short-term (DOTS) is given for up to 8 months.

Prevention

Vaccination with a live, attenuated, bovine Mycobacterium strain bacille Calmette–Guérin (BCG) provides immunity for most, but not all. The vaccine is given to those who are Mantoux test-negative.

The Mantoux test is an intradermal injection in the arm of purified protein derivative (PPD) from M. tuberculosis cultures. A hard lesion of 10 mm or more in diameter 48–72 h after injection indicates either active disease or past infection. Mantoux testing is not totally reliable as false negatives may occur.

The BCG vaccine is most effective in children and less so in adults. One disadvantage of the vaccine is that, while it may or may not confer protection, it will yield a positive (Mantoux) skin test, which eliminates the latter as a means of detecting early infection.

Other methods of preventing TB include improving social and living conditions and better nutrition.

Empyema

Empyema or pus in the pleural space is almost always caused by secondary bacterial spread entering the pleural space as a result of:

TB, lung abscess or complication of pneumonia
thoracic surgery or trauma
hepatic or subphrenic abscess.

The organisms involved are similar to those that cause the primary infection; treatment depends on drainage and removal of the infected fluid and appropriate antibiotic therapy.

Fungal infections of the lower respiratory tract

Inhalation of pathogenic spores or yeast cells may cause a number of fungal infections of the lower respiratory tract, especially in those who are immunocompromised. Such infections are becoming increasingly prevalent because of the pandemic HIV infection; they include blastomycosis, coccidioidomycosis, cryptococcosis and histoplasmosis. Pneumonias due to Pneumocystis carinii (PCP) are particularly common in acquired immune deficiency syndrome (AIDS) patients and are the leading cause of death in HIV disease; they are treated with co-trimoxazole (sulfamethoxazole and trimethoprim) and aerosolized pentamidine.

Respiratory infections and dentistry

Respiratory infections are of special concern to dentists, as patients will regularly present for treatment during the prodromal period, occasionally in the acute phase or the recovery stage of infections. The most common mode of transmission is the airborne route, although direct or indirect contact with contaminated fomites may spread some infections (see Chapter 36). The majority of infections that may spread in the dental clinic are thought to be caused by viruses, and it has been documented that dental personnel tend to suffer more from viral upper respiratory tract infections than the average individual. Such cross infection may be minimized by wearing a face mask and by appropriate ventilation of the surgical suite. The transmission of more severe bacterial infections, such as diphtheria, pertussis and TB, can be prevented by immunization of the dental team as appropriate.

  Page 203 

General anaesthesia should never be administered to patients with respiratory tract infection as this may cause reduced respiratory efficiency due to increased secretions and obstruction of the airways. Dental personnel suffering from acute respiratory infection should not attend work as they may transmit the infection to other staff and to their patients.

Key facts

Human respiratory tract infections account for the majority of general practitioner consultations, and almost a quarter of all absence from work due to illness in the western world.
The nose is the habitat of a variety of streptococci and staphylococci, the most significant of which is Staphylococcus aureus, especially prevalent in the anterior nares.
The major bacterial pathogen in the sore throat syndrome is Streptococcus pyogenes (Lancefield group A).
Rheumatic fever and acute glomerulonephritis are immunologically mediated diseases that may manifest as a late consequence of Streptococcus pyogenes infection.
Rheumatic fever may lead to permanent endocardial damage, and these individuals are highly susceptible to bacterial endocarditis later in life, when bacteraemias are created during dental or surgical procedures.
Prudent antibiotic prophylaxis prior to such procedures in susceptible individuals prevents bacterial endocarditis.
Diphtheria, a severe, acute inflammation of the upper respiratory tract, usually the throat, is due to Corynebacterium diphtheriae; prevention is by the diphtheria–tetanus–pertussis (DTP) vaccine.
Corynebacteria produce a powerful exotoxin that is cardiotoxic and neurotoxic, affecting the myocardium, adrenal glands and nerve endings.
Vincent’s angina caused by the fusospirochaetal complex (fusobacteria and oral spirochaetes) can be treated by either penicillin or metronidazole.
Both otitis media and sinusitis are due to endogenous infection with bacteria such as Haemophilus influenzae, Streptococcus pneumoniae and Streptococcus pyogenes.
Pneumonia can be categorized into lobar (or segmental), bronchopneumonia and primary atypical or virus pneumonia.
Lobar pneumonia is mainly caused by exogenous organisms (major agent: the pneumococcus) and sometimes by the patient’s own upper respiratory tract flora.
Severe acute respiratory syndrome (SARS), an atypical pneumonia, caused by a coronavirus (SARS-CoV), was the first, severe, readily transmissible, emerging infection of this century.
SARS is spread by the airborne route: isolation of patients and quarantine of contacts and appropriate respiratory precautions prevent its spread.
The major agent of primary atypical pneumonia is Mycoplasma pneumoniae.
Legionnaires’ disease is caused by Legionella pneumophila and other Legionella species that are saprophytic and exist in soil and stagnant water.
Up to a third of the global population is infected with Mycobacterium species that cause tuberculosis.
Tuberculosis is re-emerging as a result of both the human immunodeficiency virus (HIV) pandemic and the bacilli that are gradually acquiring resistance to the conventional antituberculous drugs – so-called multidrug-resistant tuberculosis (MDR-TB).
Treatment of tuberculosis is complex and depends on combination drug therapy (e.g. directly observed treatment (DOT)).
Vaccination with a live, attenuated, bovine Mycobacterium strain, bacille Calmette–Guérin (BCG), provides immunity from tuberculosis, for most but not all. The vaccine is given to those who are Mantoux test-negative.
Pneumonias due to Pneumocystis carinii (PCPs) are particularly common in acquired immune deficiency syndrome (AIDS) patients and are the leading cause of death in HIV disease.

Further reading

Mims C., Playfair J., Roitt I., Wakelin D., Williams R. Upper respiratory tract infections; lower respiratory tract infections, Chs 15 and 17. Medical microbiology, 2nd ed. London: Mosby. 1998.

Phelan J.A., Jimenez V., Tompkins D.C. Tuberculosis. Dental Clinics of North America. 1996;40:327-341.

Samaranayake L.P., Peiris J.S.M. Severe acute respiratory syndrome: A retrospective view. Journal of the American Dental Association. 2004;135:1292-1301.

Shanson D.C. Infections of the lower respiratory tract, Ch. 14. Microbiology in clinical practice, 3rd ed. Oxford: Butterworth-Heinemann. 1999.

Van-Arsdall J.A., et al. The protean manifestations of legionnaires’ disease. Journal of Infection. 1983;7:51-62.

  Page 204 

Review questions (answers on p. 353)

Please indicate which answers are true, and which are false.

23.1 Which of the following statements on pharyngitis are true?
A Gram-positive cocci in chains in a smear from a throat swab is diagnostic of a bacterial cause
B a course of oral penicillin is always advisable to prevent complications
C it may lead to immunological sequelae
D the aetiological agent can be predicted by visual examination of the throat
E when associated with rhinorrhoea, sneezing and conjunctival irritation, it is likely to be of viral aetiology
23.2 Which of the following statements on the common cold are true?
A it may have a seasonal variation in incidence
B it is commonly caused by respiratory syncytial viruses
C it is often self-limiting
D it might lead to exacerbation of asthma in some individuals
E hand-washing is one of the important preventive methods
23.3 Pharyngitis caused by Streptococcus pyogenes:
A is often seen in children
B commonly presents as stridor
C peritonsillar abscess formation is a common complication
D frequently gives rise to rheumatic fever
E penicillin is the drug of choice
23.4 Rheumatic fever:
A may lead to glomerulonephritis
B pathogenesis is due to invasion of cardiac tissues by Streptococcus pyogenes
C is more common in children than in adolescents
D may increase the risk of bacterial endocarditis in later life
E may lead to permanent heart damage
23.5 Otitis media:
A is an infrequent complication of common cold
B risk is increased in the presence of congenital oropharyngeal malformations
C culturing a swab taken from the external auditory meatus will point to the aetiological agent
D mastoiditis is a known complication
E brain abscess due to direct extension is rare
23.6 Vincent’s angina:
A is associated with poor oral hygiene and concomitant viral infections
B is a polymicrobial infection with fusobacteria and spirochaetes
C may be associated with acute ulcerative gingivitis
D can be cured by antibiotics alone
E is common in immunodeficient patients