Chapter 2 Recognizing Normal Chest Anatomy and a Technically Adequate Chest Radiograph

image In order to become more comfortable interpreting chest radiographs, you first need to be able to recognize fundamental, normal anatomy so you can differentiate it from what is abnormal.
image Second, you have to be able to quickly determine if a study is technically adequate so that you don’t mistake technical deficiencies for abnormalities.
image Third, if you decide a finding is abnormal, you need to have some strategy for deciding what the abnormality is.
image First (and second) things first: This chapter will familiarize you with normal chest radiographic anatomy and enable you to evaluate the technical adequacy of a radiograph by helping you become more familiar with the diagnostic pitfalls certain technical artifacts can introduce.

The Normal Frontal Chest Radiograph

image Figure 2-1 displays some of the normal anatomic features visible on the frontal chest radiograph.
image Vessels and bronchi: normal lung markings
Virtually all of the “white lines” you see in the lungs on a chest radiograph are blood vessels. Blood vessels characteristically branch and taper gradually from the hila centrally to the peripheral margins of the lung. You cannot accurately differentiate between pulmonary arteries and pulmonary veins on a conventional radiograph.
Bronchi are mostly invisible on a normal chest radiograph because they are normally very thin-walled, they contain air, and they are surrounded by air.
image Pleura: normal anatomy
The pleura is composed of two layers, the outer parietal and inner visceral, with the pleural space between them. The visceral pleura is adherent to the lung and enfolds to form the major and minor fissures.
Normally several milliliters of fluid, but no air, are in the pleural space.
Neither the parietal pleura nor the visceral pleura is normally visible on a conventional chest radiograph, except on occasion where the two layers of visceral pleura enfold to form the fissures. Even then, they are usually no thicker than a line drawn with the point of a sharpened pencil.
image

Figure 2-1 Well-exposed frontal view of a normal chest.

Notice how the spine is just visible through the heart shadow. Both the right and left lateral costophrenic angles are sharply and acutely angled. The white line demarcates the approximate level of the minor or horizontal fissure, which is usually visible on the frontal view because it is seen en face. There is no minor fissure on the left side. The white circle contains lung markings that are blood vessels. Note that the left hilum is normally slightly higher than the right. The white “3” lies on the posterior 3rd rib while the black “3” lies on the anterior 3rd rib.

The Lateral Chest Radiograph

image As part of the standard two-view chest examination, patients usually have an upright, frontal chest radiograph and an upright, left lateral view of the chest.
image A left lateral chest x-ray (the patient’s left side is against the film) is of great diagnostic value but is sometimes ignored by beginners because of their lack of familiarity with the findings visible in that projection.
image Figure 2-2 displays some of the normal anatomic features visible on the lateral chest radiograph.
image Why look at the lateral chest?
It can help you determine the location of disease you already identified as being present on the frontal image.
It can confirm the presence of disease you may be unsure of on the basis of the frontal image alone, such as a mass or pneumonia.
It can demonstrate disease not visible on the frontal image (Fig. 2-3).
image

Figure 2-2 Normal left lateral chest radiograph.

A clear space is present behind the sternum (solid white arrow). The hila produce no discrete shadow (white circle). The vertebral bodies are approximately of equal height and their endplates are parallel to each other (double white arrows). The posterior costophrenic angles (solid black arrow) are sharp. Notice how the thoracic spine appears to become blacker (darker) from the shoulder girdle (black star) to the diaphragm because there is less dense tissue for the x-ray beam to traverse at the level of the diaphragm. The heart normally touches the anterior aspect of the left hemidiaphragm and usually obscures (silhouettes) it. The superior surface of the right hemidiaphragm is frequently seen continuously from back to front (dotted black arrow) because it is not obscured by the heart. Notice the normal space posterior to the heart and anterior to the spine; this will be important in assessing cardiomegaly (Chapter 9). The black line represents the approximate location of the major or oblique fissure; the white line is the approximate location of the minor or horizontal fissure. Both are visible because they are seen en face on the lateral view.

image

Figure 2-3 The spine sign.

Frontal (A) and lateral (B) views of the chest demonstrate airspace disease on the lateral film (B) in the left lower lobe that may not be immediately apparent on the frontal film (look closely at A and you may see the pneumonia in the left lower lobe behind the heart). Normally, the thoracic spine appears to get “blacker” as you view it from the neck to the diaphragm because there is less dense tissue for the x-ray beam to traverse just above the diaphragm than in the region of the shoulder girdle (see also Fig. 2-2). In this case, a left lower lobe pneumonia superimposed on the lower spine in the lateral view (solid white arrow) makes the spine appear “whiter” (more dense) just above the diaphragm. This is called the spine sign. Note that on a well-positioned lateral projection, the right and left posterior ribs almost superimpose on each other (solid black arrow), a sign of a true lateral.

Five Key Areas on the Lateral Chest X-Ray (Fig. 2-2 and Table 2-1)

image The retrosternal clear space
image The hilar region
image The fissures
image The thoracic spine
image The diaphragm and posterior costophrenic sulci

TABLE 2-1 THE LATERAL CHEST: A QUICK GUIDE OF WHAT TO LOOK FOR

Region What You Should See
Retrosternal clear space Lucent crescent between sternum and ascending aorta
Hilar region No discrete mass present
Fissures Major and minor fissures should be pencil-point thin, if visible at all
Thoracic spine Rectangular vertebral bodies with parallel end plates; disk spaces maintain height from top to bottom of thoracic spine
Diaphragm and posterior costophrenic sulci Right hemidiaphragm slightly higher than left; sharp posterior costophrenic sulci

The Retrosternal Clear Space

image Normally, a relatively lucent crescent is present just behind the sternum and anterior to the shadow of the ascending aorta.
Look for this clear space to “fill-in” with soft tissue density when an anterior mediastinal mass is present (Fig. 2-4).
image

Figure 2-4 Anterior mediastinal adenopathy.

A normal lateral (A) shows a clear space behind the sternum (solid white arrow). Left lateral view of the chest (B) demonstrates soft tissue that is filling in the normal clear space behind the sternum (solid black arrow). This represents anterior mediastinal lymphadenopathy in a patient with lymphoma. Adenopathy is probably the most frequent reason the retrosternal clear space is obscured. Thymoma, teratoma, and substernal thyroid enlargement also can produce anterior mediastinal masses but do not usually produce exactly this appearance.

imagePitfall: Be careful not to mistake the soft tissue of the patient’s superimposed arms for “filling-in” of the clear space. Although patients are asked to hold their arms over their head for a lateral chest exposure, many are too weak to raise their arms.

Solution: You should be able to identify the patient’s arm by spotting the humerus (Fig. 2-5).
image

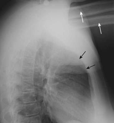
Figure 2-5 Arms obscure retrosternal clear space.

In this example, the patient was not able to hold her arms over her head for the lateral chest examination, as patients are instructed to do in order to eliminate the shadows of the arms from overlapping the lateral chest. The humeri are clearly visible (solid white arrows) so even though the soft tissue of the patient’s arms appears to fill in the retrosternal clear space (solid black arrows), this should not be mistaken for an abnormality such as anterior mediastinal adenopathy (see Fig. 2-4).

The Hilar Region

image The hila may be difficult to assess on the frontal view, especially if both hila are slightly enlarged, since comparison with the opposite normal side is impossible.
image The lateral view may help. Most of the hilar densities are made up of the pulmonary arteries. Normally, no discrete mass is visible in the hila on the lateral view.
image When there is a hilar mass, such as might occur with enlargement of hilar lymph nodes, the hilum (or hila) will cast a distinct, lobulated masslike shadow on the lateral radiograph (Fig. 2-6).
image

Figure 2-6 Hilar mass on lateral radiograph.

Left lateral view of the chest shows a discrete lobulated mass in the region of the hila (solid black arrows). Normally, the hila do not cast a shadow that is easily detectable on the lateral projection. This patient had bilateral hilar adenopathy from sarcoidosis but any cause of hilar adenopathy or a primary tumor in the hilum would have a similar appearance.

The Fissures

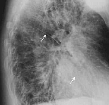
image On the lateral film, both the major (oblique) and minor (horizontal) fissures may be visible as a fine, white line (about as thick as a line made with the point of a sharpened pencil).
The major fissures course obliquely, roughly from the level of the 5th thoracic vertebra to a point on the diaphragmatic surface of the pleura a few centimeters behind the sternum.
The minor fissure lies at the level of the 4th anterior rib (on the right side only) and is horizontally oriented (see Figs. 2-1 and 2-2).
Both the major and minor fissures may be visible on the lateral view, but because of the oblique plane of the major fissure, only the minor fissure is usually visible on the frontal view.
image The fissures demarcate the upper and lower lobes on the left and the upper, middle, and lower lobes on the right.
image When a fissure contains fluid or develops fibrosis from a chronic process, it will become thickened (Fig. 2-7).
Thickening of the fissure by fluid is almost always associated with other signs of fluid in the chest such as Kerley B lines and pleural effusions (see Chapter 6).
Thickening of the fissure by fibrosis is the more likely cause if there are no other signs of fluid in the chest.
image

Figure 2-7 Fluid in the major fissures.

Left lateral view of the chest shows thickening of both the right and left major fissures (solid white arrows). This patient was in congestive heart failure and this thickening represents fluid in the fissures. Normally, the fissures are either invisible or, if visible, they are fine, white lines of uniform thickness no larger than a line made with the point of a sharpened pencil. The major or oblique fissure runs from the level of the 5th thoracic vertebral body to a point on the anterior diaphragm about 2 cm behind the sternum. Notice the increased interstitial markings that are visible throughout the lungs and are due to fluid in the interstitium of the lung.

The Thoracic Spine

image Normally, the thoracic vertebral bodies are roughly rectangular in shape, and each vertebral body’s endplate parallels the endplate of the vertebral body above and below it.
image Each intervertebral disk space becomes slightly taller than or remains the same as the one above it throughout the thoracic spine.
image Degeneration of the disk can lead to narrowing of the disk space and the development of small, bony spurs (osteophytes) at the margins of the vertebral bodies.
image When there is a compression fracture, most often from osteoporosis, the vertebral body loses height. Compression fractures very commonly first involve depression of the superior endplate of the vertebral body (Fig. 2-8).
image Don’t forget to look at the thoracic spine when studying the lateral chest radiograph for valuable clues about systemic disorders (see Chapter 24).
image

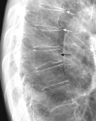
Figure 2-8 Osteoporotic compression fracture and degenerative disk disease.

Don’t forget to look at the thoracic spine when studying the lateral chest radiograph for valuable information about a host of systemic diseases (see Chapter 24). In this study, loss of stature of the 8th thoracic vertebral body is due to osteoporosis (solid black arrow). Compression fractures frequently involve the superior endplate first. Small osteophytes are present at multiple levels from degenerative disk disease (solid white arrows).

The Diaphragm and Posterior Costophrenic Sulci

image Because the diaphragm is composed of soft tissue (muscle) and the abdomen below it contains soft tissue structures like the liver and spleen, only the upper border of the diaphragm, abutting the air-filled lung, is usually visible on conventional radiographs.
image Even though we have one diaphragm that separates the thorax from the abdomen, we usually do not see the entire diaphragm from side-to-side on conventional radiographs because of the position of the heart in the center of the chest.
Therefore, we refer to the right half of the diaphragm as the right hemidiaphragm and the left half of the diaphragm as the left hemidiaphragm.
image How to tell the right from the left hemidiaphragm on the lateral radiograph:
The right hemidiaphragm is usually visible for its entire length from front to back. Normally, the right hemidiaphragm is slightly higher than the left, a relationship that tends to hold true on the lateral radiograph as well as on the frontal.
The left hemidiaphragm is seen sharply posteriorly but is silhouetted by the muscle of the heart anteriorly (i.e., its edge disappears anteriorly) (see Fig. 2-2).
Air in the stomach or splenic flexure of the colon appears immediately below the left hemidiaphragm. The liver lies below the right hemidiaphragm, and bowel gas is usually not seen between the liver and the right hemidiaphragm.
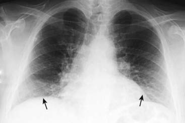
image The posterior costophrenic angles (posterior costophrenic sulci)
Each hemidiaphragm produces a rounded dome that indents the central portion of the base of each lung, like the bottom of a wine bottle.
This produces a depression, or sulcus, that surrounds the periphery of each lung and represents the lowest point of the pleural space when the patient is upright.
On a frontal chest radiograph, this sulcus is most easily viewed in profile at the outer edge of the lung as the lateral costophrenic sulcus (also called the lateral costophrenic angle) and on the lateral radiograph as the posterior costophrenic sulcus (also known as the posterior costophrenic angle) (see Figs. 2-1 and 2-2).
Normally, all of the costophrenic sulci are sharply outlined and acutely angled.
Pleural effusions accumulate in the deep recesses of the costophrenic sulci, filling in their acute angles with the patient upright. This is called blunting of the costophrenic angles (see Chapter 6).
It takes only about 75 cc of fluid (or less) to blunt the posterior costophrenic angle on the lateral film, while it takes about 250-300 cc to blunt the lateral costophrenic angles on the frontal film (Fig. 2-9).
image

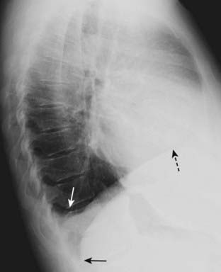
Figure 2-9 Blunting of the posterior costophrenic sulcus by a small pleural effusion.

Left lateral view of the chest shows fluid blunting the posterior costophrenic sulcus (solid white arrow). The other posterior costophrenic angle (solid black arrow) is sharp. The pleural effusion is on the right side because the hemidiaphragm involved can be traced anteriorly farther forward (dotted black arrow) than the other hemidiaphragm (the left), which is normally silhouetted by the heart and not visible anteriorly.

Evaluating the Chest Radiograph for Technical Adequacy

image Evaluating five technical factors will help you determine if a chest radiograph is adequate for interpretation or whether certain artifacts may have been introduced that can lead you astray (Table 2-2):
Penetration
Inspiration
Rotation
Magnification
Angulation

TABLE 2-2 WHAT DEFINES A TECHNICALLY ADEQUATE CHEST RADIOGRAPH?

Factor What You Should See
Penetration The spine should be visible through the heart
Inspiration At least eight to nine posterior ribs should be visible
Rotation Spinous process should fall equidistant between the medial ends of the clavicles
Magnification AP films (mostly portable chest x-rays) will magnify the heart slightly
Angulation Clavicle normally has an “S” shape and superimposes on the 3rd or 4th rib

Penetration

image Unless x-rays adequately pass through the body part being studied, you may not visualize everything necessary on the image produced.
To determine if a frontal chest radiograph is adequately penetrated, you should be able to see the thoracic spine through the heart shadow (see Fig. 2-1).

imagePitfalls of underpenetration (inadequate penetration): You can tell a frontal chest radiograph is underpenetrated (too light) if you are not able to see the spine through the heart (Fig. 2-10). Underpenetration can introduce at least two errors into your interpretation.

First, the left hemidiaphragm may not be visible on the frontal film because the left lung base may appear opaque. This technical artifact could either mimic or hide true disease in the left lower lung field (e.g., left lower lobe pneumonia or left pleural effusion) (see Fig. 2-10).
Solution: Look at the lateral chest radiograph to confirm the presence of disease at the left base (see “The Lateral Chest Radiograph” in this chapter).
Second, the pulmonary markings, which are mostly the blood vessels in the lung, may appear more prominent than they really are. You may mistakenly think the patient is in congestive heart failure or has pulmonary fibrosis.
Solutions: Look for other radiologic signs of congestive heart failure (see Chapter 9). Look at the lateral chest film to confirm the presence of increased markings, airspace disease, or effusion at the left base that you suspected from the frontal radiograph.
image

Figure 2-10 Underpenetrated frontal chest radiograph.

The spine (solid black arrow) is not visible through the cardiac shadow. The left hemidiaphragm is also not visible (dotted black arrows) and the degree of underpenetration makes it impossible to differentiate between actual disease at the left base versus nonvisualization of the left hemidiaphragm from underpenetration. A lateral radiograph of the chest would help to differentiate between artifact of technique and true disease.

image Pitfall of overpenetration

If the study is overpenetrated (too dark), the lung markings may seem decreased or absent (Fig. 2-11). You could mistakenly think the patient has emphysema or a pneumothorax or, if the degree of overpenetration is marked, it could render findings like a pulmonary nodule almost invisible.
Solutions: Look for other radiographic signs of emphysema (see Chapter 12) or pneumothorax (see Chapter 8). Ask the radiologist if the film should be repeated.
image

Figure 2-11 Overpenetrated frontal chest radiograph.

Overpenetration makes lung markings difficult to see, mimicking some of the findings in emphysema or possibly suggesting a pneumothorax. How lucent (dark) the lungs appear on a radiograph is a poor way of evaluating for the presence of emphysema because of artifacts introduced by technique. In emphysema, the lungs are frequently hyperinflated and the diaphragm flattened (see Chapter 12). In order to diagnose a pneumothorax, you should see the pleural white line (see Chapter 8).

Inspiration

image A full inspiration ensures a reproducible radiograph from one time to the next and eliminates artifacts that may be confused for or obscure disease.
The degree of inspiration can be assessed by counting the number of posterior ribs visible above the diaphragm on the frontal chest radiograph.
To help in differentiating the anterior from the posterior ribs, consult Box 2-1.
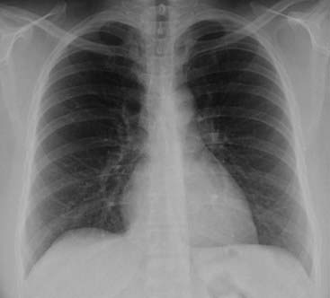
If 10 posterior ribs are visible, it is an excellent inspiration (Fig. 2-12).
In many hospitalized patients, visualization of eight to nine posterior ribs is a degree of inspiration usually adequate for accurate interpretation of the image.
image Pitfall: Poor inspiration
A poor inspiratory effort will compress and crowd the lung markings, especially at the bases of the lungs near the diaphragm (Fig. 2-13). This may lead you to mistakenly think the study shows lower lobe pneumonia.
Solution: Look at the lateral chest radiograph to confirm the presence of pneumonia (see “The Lateral Chest Radiograph” in this chapter and Chapter 7).

Box 2-1 Differentiating Between Anterior and Posterior Ribs

Posterior ribs are immediately more apparent to the eye on frontal chest radiographs.
The posterior ribs are oriented more or less horizontally.
Each pair of posterior ribs attaches to a thoracic vertebral body.
Anterior ribs are visible—but more difficult to see—on the frontal chest radiograph.
Anterior ribs are oriented downward toward the feet.
Anterior ribs attach to the sternum or each other with cartilage, which is usually not visible until later in life when the cartilage may calcify.
image

Figure 2-12 Counting ribs.

The posterior ribs are numbered in this photograph. Ten posterior ribs are visible above the right hemidiaphragm, an excellent inspiration. In most hospitalized patients, eight to nine visible posterior ribs in the frontal projection is an inspiration that is adequate for accurate interpretation of the image. When counting ribs, make sure you don’t miss counting the 2nd posterior rib, which frequently overlaps the 1st rib.

image

Figure 2-13 Sub-optimal inspiration.

Only eight posterior ribs are visible on this frontal chest radiograph. A poor inspiration may “crowd” and therefore accentuate the lung markings at the bases (solid black arrows) and may make the heart seem larger than it actually is. The crowded lung markings may mimic the appearance of aspiration or pneumonia. A lateral chest radiograph should help in eliminating the possibility, or confirming the presence, of basilar airspace disease suspected from the frontal radiograph.

Rotation

image Significant rotation (the patient turns the body to one side or the other) may alter the expected contours of the heart and great vessels, the hila, and hemidiaphragms.
image The easiest way to assess whether the patient is rotated toward the left or right is by studying the position of the medial ends of each clavicle relative to the spinous process of the thoracic vertebral body between the clavicles (Fig. 2-14).
The medial ends of the clavicles are anterior structures.
The spinous process is a posterior structure.
If the spinous process appears to lie equidistant from the medial ends of each clavicle on the frontal chest radiograph, there is no rotation (Fig. 2-15A).
If the spinous process appears closer to the medial end of the left clavicle, the patient is rotated toward his own right side (Fig. 2-15B).
If the spinous process appears closer to the medial end of the right clavicle, the patient is rotated toward his own left side (Fig. 2-15C).
These relationships hold true regardless of whether the patient was facing the x-ray tube or the cassette at the time of exposure.
image

Figure 2-14 How to determine if the patient is rotated.

In A, the patient is not rotated and the medial ends of the right (orange dot) and left (black dot) clavicles are projected on the radiograph (black line) equidistant from the spinous process (black triangle). In B, the patient is rotated toward his own right. Notice how the medial end of the left clavicle (black dot) is projected closer to the spinous process than is the medial end of the right clavicle (orange dot). In C, the patient is rotated toward his own left. The medial end of the right clavicle (orange dot) is projected closer to the spinous process than is the medial end of the left clavicle (black dot). The camera icon depicts this as an AP projection, but the same relationships would be true for a PA projection as well. Figure 2-15 shows how this applies to radiographs.

image

Figure 2-15 How to evaluate for rotation.

A, Close-up view of the heads of the clavicles demonstrates that each (white arrows) is about equidistant from the spinous process of the vertebral body between them (black arrow). This indicates the patient is not rotated. B, Close-up view of the heads of the clavicles in a patient rotated toward his own right (remember that you are viewing the study as if the patient were facing you). The spinous process (black arrow) is much closer to the left clavicular head (dotted white arrow) than it is to the right clavicular head (solid white arrow). C, Close-up view of the heads of the clavicles in a patient rotated toward his own left. The spinous process (black arrow) is much closer to the right clavicular head (solid white arrow) than it is to the left (dotted white arrow).

image Pitfalls of excessive rotation

Even minor degrees of rotation can distort the normal anatomic appearance of the heart and great vessels, the hila, and hemidiaphragms.
Marked rotation can introduce errors in interpretation: The hilum may appear larger on the side rotated farther away from the imaging cassette because objects farther from the imaging cassette tend to be more magnified than objects closer to the cassette.
Solutions: Look at the hilum on the lateral chest view to see if that view confirms hilar enlargement (see “The Hilar Region” in this chapter). Compare the current study to a previous study of the same patient to assess for change.
Rotation may also distort the appearance of the normal contours of the heart and hila.
The hemidiaphragm may appear higher on the side rotated away from the imaging cassette (Fig. 2-16).
Solution: Compare the current study to a previous study of the same patient.
image

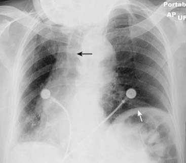
Figure 2-16 Distorted appearance due to severe rotation.

Frontal chest radiograph of a patient markedly rotated toward her own right. Notice how the left hemidiaphragm, being farther from the cassette than the right hemidiaphragm because of the rotation, appears higher than it normally would (solid white arrow). The heart and the trachea (solid black arrow) appear displaced into the right hemithorax because of the rotation.

Magnification

image Depending on the position of the patient relative to the imaging cassette, magnification can play a role in assessing the size of the heart.

imageThe closer any object is to the surface on which it is being imaged, the more true to its actual size the resultant image will be. As a corollary, the farther any object is from the surface on which it is being imaged, the more magnified that object will appear.

In the standard PA chest radiograph, i.e., one obtained in the posteroanterior projection, the heart, being an anterior structure, is closer to the imaging surface and thus truer to its actual size. In a PA study, the x-ray beam enters at “P” (posterior) and exits at “A” (anterior). The standard frontal chest radiograph is usually a PA exposure.
In an AP image, i.e., one obtained in the anteroposterior projection, the heart is farther from the imaging cassette and is therefore slightly magnified. In an AP study, the x-ray beam enters at “A” (anterior) and exits at “P” (posterior). Portable, bedside chest radiographs are almost always AP.
Therefore, the heart will appear slightly larger on an AP image than will the same heart on a PA image (Fig. 2-17).
There’s another reason the heart looks larger on a portable AP chest image than a standard PA chest radiograph:
The distance between the x-ray tube and the patient is shorter when a portable AP image is obtained (about 40 inches) than when a standard PA chest radiograph is exposed (taken by convention at 72 inches). The greater the distance the x-ray source is from the patient, the less the degree of magnification.
image To learn how to determine if the heart is really enlarged on an AP chest radiograph, see Chapter 9.
image

Figure 2-17 Effect of positioning on magnification of the heart.

Frontal chest radiograph done in the AP projection (A) shows the heart to be slightly larger than in B, which is the same patient’s chest exposed minutes later in the PA projection. Because the heart lies anteriorly in the chest, it is farther from the imaging surface in A and is therefore magnified more than in B, in which the heart is closer to the imaging surface. In actual practice, there is very little difference in the heart size between an AP and PA exposure so long as the patient has taken an equal inspiration on both.

Angulation

image Normally, the x-ray beam passes horizontally (parallel to the floor) for an upright chest study, and in that position, the plane of the thorax is perpendicular to the x-ray beam.
image Hospitalized patients, in particular, may not be able to sit completely upright in bed so that the x-ray beam may enter the thorax with the patient’s head and thorax tilted backwards.
This has the same effect as angling the x-ray beam towards the patient’s head and the image so obtained is called an apical lordotic view of the chest.
On apical lordotic views, anterior structures in the chest (like the clavicles) are projected higher on the resultant radiographic image than posterior structures in the chest, which are projected lower (Fig. 2-18).
image

Figure 2-18 Diagram of apical lordotic effect.

In A, the x-ray beam (black arrow) is correctly oriented perpendicular to the plane of the cassette (black line). The orange square symbolizes an anterior structure (like the clavicles) and the black circle a posterior structure (like the spine). In B, the x-ray beam is angled upward, which is the manner in which an apical lordotic view of the chest is obtained. The x-ray beam is no longer perpendicular to the cassette, which has the effect of projecting anterior structures higher on the radiograph than posterior structures. The position of the x-ray beam and patient in C leads to the exact same end result as B and is how semirecumbent, bedside studies are frequently obtained on patients who are not able to sit or stand upright. Anterior structures in C are projected higher than posterior structures.

imagePitfall of excessive angulation

You can recognize an apical lordotic chest study when you see the clavicles project at or above the posterior first ribs on the frontal image. An apical lordotic view distorts the appearance of the clavicles, straightening their normal “S” shape appearance (Fig. 2-19).
Apical lordotic views may also distort the appearance of other structures in the thorax. The heart may have an unusual shape, which sometimes mimics cardiomegaly and distorts the normal appearance of the cardiac borders. The sharp border of the left hemidiaphragm may be lost, which could be mistaken as a sign of a left pleural effusion or left lower lobe pneumonia.
Solutions: Know how to recognize technical artifacts and understand how they can distort normal anatomy. Consult with a radiologist about confusing images.
image

Figure 2-19 Apical lordotic chest radiograph.

An apical lordotic view of the chest is now most frequently obtained inadvertently in patients who are semirecumbent at the time of the study. Notice how the clavicles are projected above the first ribs and their usual “S” shape is now straight (solid white arrows). The lordotic view also distorts the shape of the heart and produces spurious obscuration of the left hemidiaphragm (solid black arrow). Unless the artifacts of technique are understood, these findings could be mistaken for disease that doesn’t exist.

imageWeblink

Registered users may obtain more information on Recognizing Normal Chest Anatomy and a Technically Adequate Chest Radiograph on StudentConsult.com.

image Take-Home Points

Recognizing Normal Chest Anatomy and a Technically Adequate Chest Radiograph

Virtually all of the lung markings are composed of pulmonary blood vessels; the minor fissure may be visible on both the frontal and lateral views, the major fissure only on the lateral.

The lateral chest radiograph can provide invaluable information and should always be studied when available.

Five key areas to inspect on the lateral projection include the retrosternal clear space, the hilar region, the fissures, the thoracic spine, and the diaphragm/posterior costophrenic sulci.

Five parameters define an adequate chest examination, and recognition of them is important to accurately differentiate abnormalities from technically produced artifacts.

They are penetration, inspiration, rotation, magnification, and angulation.

If the chest is adequately penetrated, you should be able to see spine through the heart; underpenetrated (too light) studies obscure the left lung base and tend to spuriously accentuate the lung markings, while overpenetrated studies (too dark) may mimic emphysema or pneumothorax.

If the patient has taken an adequate inspiration, you should see at least eight to nine posterior ribs above the diaphragm; poor inspiratory efforts may mimic basilar lung disease and may make the heart appear larger.

The spinous process should fall equidistant between the medial ends of the clavicles to indicate the patient is not rotated; rotation can introduce numerous artifactual anomalies affecting the contour of the heart and the appearance of the hila and diaphragm.

Anteroposterior (AP) films (mostly portable chest x-rays) will magnify the heart slightly compared to the standard posteroanterior (PA) chest radiograph (usually done in the radiology department).

Frontal views of the chest obtained with the patient semiupright in bed (tilted backwards) may produce apical lordotic images that distort normal anatomy.