Chapter 17 Recognizing the Imaging Findings of Trauma

image Trauma is the leading cause of death, hospitalization, and disability in Americans from the age of 1 year through age 45. The major imaging findings of most organ system’s trauma will be discussed as a group in this chapter. Table 17-1 summarizes some of the traumatic injuries that are discussed in other chapters.
image Trauma-related injuries are divided into the two major mechanisms which produce them.
Blunt trauma is usually the result of motor vehicle accidents and is the more common of the two.
Penetrating trauma is usually the result of accidental or criminal stabbings and gunshot wounds.

TABLE 17-1 OTHER MANIFESTATIONS OF TRAUMA

Injury Discussed in
Pleural effusion/hemothorax Chapter 6
Aspiration Chapter 7
Pneumothorax, pneumomediastinum and pneumopericardium Chapter 8
Fractures and dislocations Chapter 22
Head trauma Chapter 25

Chest Trauma

image Chest injuries in trauma patients are very common and are responsible for one out of four trauma-related deaths. The overwhelming majority of chest trauma is the result of motor vehicle accidents.

Rib Fractures

image The severity of underlying visceral injury is usually more important than the rib fractures themselves, but their presence might provide clues to unsuspected pathology.
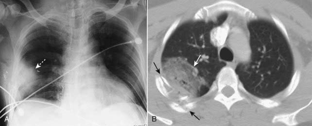
image Fractures of the first three ribs are relatively uncommon and, if they occur following blunt trauma, indicate a sufficient amount of force to produce other internal injuries (Fig. 17-1).
image Fractures of ribs 4-9 are common and important if they are displaced (pneumothorax) or if there are two fractures in each of three or more contiguous ribs (flail chest).
Flail chest is almost always accompanied by a pulmonary contusion (see below). Because of the severity of the injuries with which it is usually associated, a flail chest has a significant mortality (Fig. 17-2).
image Fractures of ribs 10-12 may indicate the presence of underlying trauma to the liver (right side) or the spleen (left side), especially if they are displaced.
image In cases of minor trauma, it is not unusual for rib fractures to be undetectable on the initial examination but to become visible in several weeks after callus begins to form.
image

Figure 17-1 Rib fractures.

Rib fractures are important primarily for the complications they might produce or the unsuspected pathology they might herald. Fractures of the first three ribs (solid white arrows) are relatively uncommon; following blunt trauma, their presence is a clue that the force to the chest may have been sufficient to produce other internal injuries. Don’t mistake the normal costovertebral junction (solid black arrow) for a fracture.

image

Figure 17-2 Flail chest.

There are two or more fractures (dotted white arrow demonstrates second fracture in rib 4) present in more than three contiguous ribs (solid white arrows). The airspace disease in the left lung is an underlying pulmonary contusion, which almost always accompanies a flail chest.

Pulmonary Contusions

image Pulmonary contusions are the most frequent complications of blunt chest trauma. They represent hemorrhage into the lung, usually at the point of impact.
image Recognizing a pulmonary contusion
The history of trauma is of paramount importance as contusions present as airspace disease that is indistinguishable from other airspace diseases like pneumonia or aspiration.
Contusions tend to be peripherally placed and frequently occur at the point of maximum impact. Air bronchograms are usually not present because blood fills the bronchi as well as the airspaces (Fig. 17-3).
image Classically, they appear within 6 hours after the trauma and, because blood in the airspaces tends to be reabsorbed quickly, disappear within 72 hours, frequently sooner.
image Airspace disease that lingers more than 72 hours should raise suspicions of another process such as aspiration pneumonia or a pulmonary laceration.
image

Figure 17-3 Pulmonary contusions, chest radiograph and CT.

A, Pulmonary contusions tend to be peripherally placed most frequently at the point of maximum impact (dotted white arrow). Air bronchograms are usually not present because blood fills the bronchi as well as the airspaces. B, A second patient, who was in an unrestrained passenger in an automobile accident, also has a large contusion (solid white arrow) associated with multiple rib fractures (solid black arrows).

Pulmonary Lacerations (Hematoma or Traumatic Pneumatocele)

image Pulmonary hematomas result from a laceration of the lung parenchyma and, as such, may accompany more severe blunt trauma or penetrating chest trauma.
image A pulmonary laceration is also called a traumatic pneumatocele or hematoma.
image They are sometimes masked by the airspace disease from a surrounding pulmonary contusion, at least for the first few days until the contusion resolves.
image Recognizing a pulmonary laceration
Their appearance will depend on whether they contain blood and, if so, how much blood fills the laceration.
If they are completely filled with blood, they will appear as a solid, ovoid mass.
If they are partially filled with blood and partially filled with air, they may contain a visible air-fluid level or demonstrate a crescent sign as the blood begins to form a clot and pull away from the wall of the laceration.
If they are completely filled with air, they will appear as an air-containing, cystlike structure in the lung (Fig. 17-4).
image Unlike pulmonary contusions that clear rapidly, pulmonary lacerations, especially if they are blood filled, may take weeks or months to completely clear.
image

Figure 17-4 Pulmonary lacerations, conventional radiograph, and CT.

Lacerations are sometimes masked, at least for the first few days, by the airspace disease in a surrounding pulmonary contusion. A, If they are completely filled with blood, they will appear as an ovoid mass (dotted white arrow). B, If they are partially filled with blood and partially filled with air, they may contain a visible air-fluid level (solid black arrow). Unlike the neighboring pulmonary contusion (solid white arrow), pulmonary lacerations, especially if they are blood filled, may take weeks or months to completely clear. The top of the left hemidiaphragm (D) is seen in this image.

Aortic Trauma

image Trauma to the aorta is most frequently the result of deceleration injuries in motor vehicle accidents. Although the survival rates are improving, most patients with rupture of the thoracic aorta die before reaching the hospital and, of those who survive an aortic injury, the likelihood of death increases the longer the abnormality remains untreated. Only those with incomplete tears in which the adventitial lining prevents exsanguination (producing a pseudoaneurysm) survive to be imaged.
image The most common site of injury is the aortic isthmus, which is the portion of the aorta just distal to the origin of the left subclavian artery. Seat-belt injuries may involve the abdominal aorta, but such injuries are far less common than the deceleration injuries to the thoracic aorta.
image Only emergency surgery will prevent approximately 50% of patients with blunt aortic injuries from dying within the first 24 hours if left untreated.
image Recognizing aortic trauma
Findings seen on conventional radiographs of the chest are the same as those discussed under Aortic Dissection in Chapter 9. A completely normal chest radiograph has a relatively high negative predictive value for aortic injury, but an abnormal chest x-ray has a relatively low positive predictive value (78%).
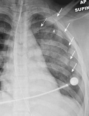
“Widening of the mediastinum” is usually a poor means of establishing the diagnosis because it is difficult to assess on a supine, portable chest radiograph and it is commonly overinterpreted. There may also be loss of the normal shadow of the aortic knob, a left apical pleural cap of fluid or blood, a left pleural effusion or deviation of the trachea or esophagus to the right (Fig. 17-5).
Findings on contrast-enhanced CT scans of the chest (Fig. 17-6):
Under most circumstances, suspected aortic injuries are now studied using multidetector CT that allows for rapid image acquisition in one breath-hold and appropriately timed contrast delivery to the aorta (CT angiography). Most experts agree that a negative CT angiogram obviates the need for angiography. The findings are frequently subtle and require experience to recognize, as those patients with the more obvious findings may not have survived to be imaged.
Aortic intimal flap. A lucent defect in the contrast column of the aorta arising from a tear in the intima and media.
Contour or caliber abnormalities. Abrupt change in the smooth contour or size of the aorta at the point of injury.
Periaortic hematoma. Delineation of a contrast-filled collection outside of the normal confines of the aorta representing pseudoaneurysm or extravasation.
Mediastinal hematoma. Increased attenuation in the mediastinum from an admixture of blood and normal fat. May be present in the absence of an aortic injury, presumably due to small vessel trauma.
Hemopericardium. Fluid of high-attenuation (i.e., blood) in the pericardial sac indicates a significant injury to the aorta or heart itself.
Patients with equivocal CT findings may go on to a catheter study of the aorta (aortography).
image

Figure 17-5 Mediastinal hematoma.

There is “widening of the mediastinum” (double white arrow), an inexact finding on an AP supine, portable chest radiograph. More importantly, the shadow of the aortic knob is obscured by something of soft tissue density (dotted white arrow). Because the patient had been shot (bullet fragments in the black circle), these findings led to a request for a CT scan of the chest which demonstrated a large mediastinal hematoma.

image

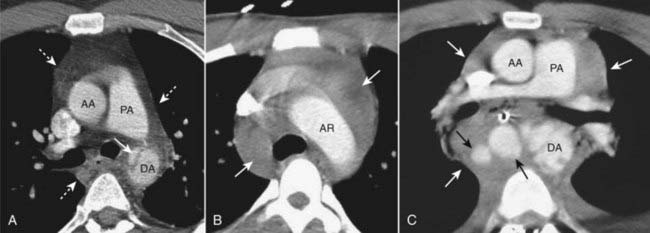
Figure 17-6 Aortic trauma, three different patients.

A, There is a tear at the level of the aortic isthmus represented by the lucent defect in the wall of the descending aorta (solid white arrow). A mediastinal hematoma is also present (dotted white arrows). B, There is a large mediastinal hematoma (solid white arrows). C, There are periaortic hematomas containing extravasated blood (solid black arrows) and a large mediastinal hematoma (solid white arrows). (AA = ascending aorta; AR = aortic arch; DA = descending aorta; PA = pulmonary artery.)

Abdominal Trauma

image The role of advanced imaging techniques deserves special mention in abdominal trauma. Radiology has made a significant impact on the lives of traumatized patients by distinguishing those patients who can be managed conservatively from those who need surgical or other interventions and by helping to direct the most appropriate intervention for those who need it.
image CT is the study of choice in abdominal trauma.
Intravenous contrast is always used (unless contraindicated) to identify devascularized areas, hematomas, active extravasation of blood, or extraluminal urine (after contrast has passed through the kidneys).
If a head CT is to be done as well, it should be done first before contrast is injected for the abdomen.
Oral contrast is usually not administered. Rectal contrast is occasionally administered in penetrating trauma to search for a bowel laceration.
It is always best to consult with the radiologist so as to tailor the best study to fit the patient’s needs.
In some emergency settings, a quick abdominal ultrasound is used in unstable trauma patients to evaluate for hemoperitoneum (Box 17-1).
image The most commonly affected solid organs in blunt abdominal trauma (in order of decreasing frequency) are the spleen, liver, kidney, and urinary bladder.
image Traumatic injuries to each of them will be discussed under each organ.

Box 17-1 Focused Abdominal Sonogram for Trauma (FAST)

A portable ultrasound utilized on unstable trauma patients solely to identify free peritoneal fluid.
Used primarily in place of the diagnostic peritoneal lavage.
False negatives occur with abdominal injuries in which there is no hemoperitoneum.

Liver

image The liver is discussed first because it is actually the most frequently injured organ if both penetrating and blunt traumas are included together. The liver is the largest intraabdominal organ and is fixed in position, making it especially susceptible to injury. Injuries to the liver account for the majority of deaths from abdominal trauma.
image The posterior aspect of the right lobe is injured most frequently. Most hepatic injuries are associated with blood in the peritoneal cavity (hemoperitoneum).
image Contrast-enhanced CT is the study of choice and, because of its ability to demonstrate both the nature and extent of the trauma, the overwhelming majority of patients with liver trauma are now managed conservatively and do not require surgery.
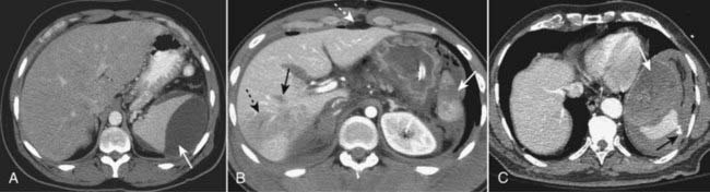
image CT findings in hepatic trauma (Fig. 17-7):
Subcapsular hematoma. Lenticular fluid collections that conform to the shape of the outer contour of the liver but which frequently flatten the adjacent liver parenchyma. Most occur anterolaterally over the right hepatic lobe.
Lacerations. Most common finding. Irregularly marginated, low attenuation, linear or branching defects, usually at the periphery. “Fracture” is a term that has been used to describe a laceration that avulses a section of the liver.
Intrahepatic hematomas. Focal, high attenuation lesions first caused by blood; hematomas may progress to low attenuation, masslike lesions filled with serous fluid.
Wedge-shaped defects. Devascularized sections of liver parenchyma that do not contrast-enhance.
Contusions. A term used to describe an area of minimal parenchymal hemorrhage; they are lower in attenuation than the surrounding liver and have indistinct margins.
Pseudoaneurysms and acute hemorrhages. Irregular collections of high attenuation, extravasated contrast that often require angiography with embolization or surgery.
image

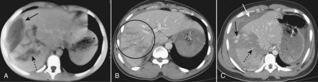
Figure 17-7 Hepatic trauma, three different patients.

A, There is a lenticular fluid collection involving the lateral portion of the right lobe of the liver that represents a subcapsular hematoma (solid black arrow). A laceration of the right lobe is also present (dotted black arrow). B, There are multiple lacerations of the right lobe of the liver (black circle). C, Active extravasation of contrast-enhanced blood (solid black arrow) is seen from a large intrahepatic laceration with hematoma (dotted black arrow) and there is both subcapsular blood and hemoperitoneum (solid white arrow).

Spleen

image Splenic trauma is usually caused by deceleration injuries in unrestrained occupants of motor vehicle collisions, by a fall from a height, or a pedestrian being struck by a motor vehicle.
image Because the spleen is the most highly vascular organ, hemorrhage represents the most serious complication of trauma. Despite its vascular nature and the delayed presentation of many splenic injuries, most splenic trauma is treated conservatively (nonsurgically).
image CT is the study of choice for evaluating splenic trauma. Findings include (Fig. 17-8):
Contusion. Alterations in the normal homogeneous appearance of the spleen, including mottled areas of low attenuation.
Subcapsular hematoma. Low-attenuation, crescent-shaped collection of fluid in the subcapsular space which frequently compresses the normal splenic parenchyma.
Laceration. Irregular, low-attenuation defect that typically transects the spleen.
Intraparenchymal hematoma. Lacerations filled with blood; they are intrasplenic, rounded areas of low attenuation which may have a mass effect and enlarge the spleen.
Intraperitoneal fluid or blood. Hemoperitoneum occurs with almost all splenic injuries, including small amounts of blood in the pelvis. Its presence does not necessarily indicate active hemorrhage.
image

Figure 17-8 Splenic trauma, three different patients.

A, A crescent-shaped collection of fluid is demonstrated in the subcapsular space which compresses the normal splenic parenchyma representing subcapsular hematoma (solid white arrow). B, This patient has a splenic (solid white arrow) and hepatic (solid black arrow) laceration and a large hepatic contusion (dotted black arrow). There is also pneumoperitoneum (dotted white arrow). C, Active extravasation of contrast-enhanced blood (solid black arrow) is shown along with a large intrasplenic hematoma (solid white arrow).

Kidneys

image Motor vehicle accidents are the most common cause of blunt abdominal trauma to the kidneys in the United States. Almost all patients with renal trauma will have hematuria.
image Contrast-enhanced CT is the study of first choice and has almost completely replaced the intravenous urogram and standard cystogram.
image CT findings in renal trauma (Fig. 17-9):
Contusion. Ill-defined, patchy, low-attenuation areas in the contrast-enhanced kidney.
Subcapsular hematoma. Crescentic or elliptical densities that compress the denser underlying renal parenchyma.
Perinephric hematoma. Ill-defined fluid collection surrounding the kidney confined by Gerota’s fascia.
Laceration. Low-attenuation linear or branching defects in the renal parenchyma. More severe lacerations may extend through the renal hilum into the collecting system, renal artery, or vein. “Fracture” is a term that may be used when the laceration connects the hilum with the cortex.
Vascular injuries. If the injury is arterial, there may be no flow to the kidney and hence, no contrast-enhancement. Vascular injuries may also produce wedge-shaped defects in the kidney.
Injuries to the collecting system. Extraluminal contrast arising from the renal pelvis or ureter (Fig. 17-10).
image

Figure 17-9 Renal trauma, two different patients.

A, Coronal-reformatted, contrast-enhanced CT scan shows a low-attenuation linear defect representing a renal laceration (solid black arrow) and a subcapsular hematoma (solid white arrow). B, Axial CT scan on another patient also shows a renal laceration (solid black arrow) and a perinephric hematoma (dotted black arrow).

image

Figure 17-10 Tear of proximal ureter.

There is a tear of the ureter at the level of the left ureteropelvic junction demonstrated by extraluminal contrast (solid white arrow) representing contrast-containing urine that is leaking from the collecting system.

Shock Bowel

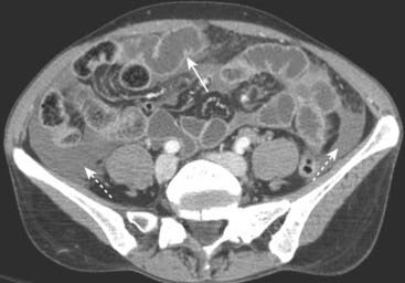
image Shock bowel usually occurs with blunt abdominal trauma in which there is severe hypovolemia and profound hypotension, with complete reversibility of these findings following resuscitation.
image Recognizing shock bowel on CT
Diffuse thickening of the small bowel wall with increased enhancement.
Fluid-filled and dilated loops of bowel.
Other findings include a small inferior vena cava (<1 cm) and aorta (<6 mm) and decreased perfusion of the spleen (Fig. 17-11).
image

Figure 17-11 Shock bowel.

Marked enhancement of the bowel wall is seen with multiple dilated and fluid-filled loops (solid white arrow). There is also retroperitoneal fluid present (dotted white arrows). Shock bowel usually occurs with severe hypovolemia and profound hypotension.

Pelvic Trauma

Rupture of the Urinary Bladder

image About 70% of bladder ruptures occur with pelvic fractures, and about 10% of patients with pelvic fractures have an associated rupture of the bladder.
image Bladder ruptures are best demonstrated by a CT cystogram in which contrast is infused under gravity through a Foley catheter into the bladder, but they can also be well-demonstrated by antegrade filling of the bladder from renal excretion of intravenously injected contrast.
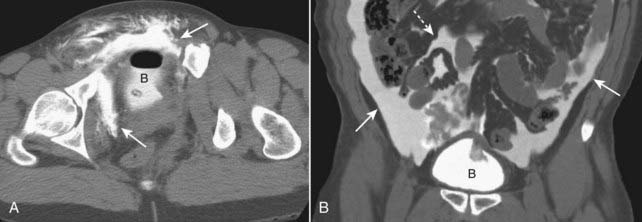
image There are two major types of bladder rupture (Fig. 17-12):
Extraperitoneal—more common (80%)
Usually the result of a pelvic fracture with direct puncture of the bladder.
Extraluminal contrast remains around the bladder, especially the retropubic space.
Intraperitoneal rupture—less common
Usually the result of a forceful blow to the pelvis with a distended bladder, especially in children.
Rupture usually occurs at the dome of the bladder adjacent to the peritoneal cavity.
Contrast runs freely through the peritoneal cavity, surrounds bowel, and extends into the paracolic gutters.
image

Figure 17-12 Bladder ruptures, extraperitoneal and intraperitoneal.

A, Contrast-containing urine (solid white arrows) has leaked into the extraperitoneal spaces after being instilled into a perforated bladder following pelvic fractures. Contrast, the tip of a Foley catheter, and air are seen inside of the partially filled urinary bladder (B). B, Intraperitoneal bladder ruptures are less common and may occur with blunt trauma. The contrast flows freely away from the bladder (B) up the paracolic gutters (solid white arrows) and outlines loops of bowel (dotted white arrow).

Urethral Injuries

image Urethral injuries are associated with significant pelvic trauma in males, most often blunt trauma.
image Urethral injuries should be investigated when there are straddle fractures of the pelvis or penetrating injuries in the region of the urethra. Hematuria, blood at the urethral meatus, and inability to void are suggestive clinical findings.
image Imaging is done most often using retrograde urethrography (RUG), in which contrast is instilled retrograde at the urethral meatus with retrograde filling of the urethra. This is done before insertion of a Foley catheter into the bladder.
image The most common injury is a rupture of the posterior urethra through the urogenital diaphragm into the proximal bulbous urethra.
image Extraluminal contrast can be seen outside of the urethra in the pelvis and perineum (Fig. 17-13).
image

Figure 17-13 Urethral trauma.

Contrast instilled retrograde through the penile urethra (solid white arrow) is seen to leak from the posterior urethra secondary to a perforation (dotted black arrow) and collects outside of the urinary system in the perineum and extraperitoneal bladder spaces (solid black arrows).

imageWeblink

Registered users may obtain more information on Recognizing the Imaging Findings of Trauma on StudentConsult.com.

image Take-Home Points

Recognizing the Imaging Findings of Trauma

Trauma is generally divided into blunt and penetrating trauma. Most trauma-related injuries are due to blunt trauma, motor vehicle accidents contributing the majority.

CT has had a profound impact in traumatized patients by distinguishing those patients who can be managed conservatively from those who need surgical or other interventions.

Rib fractures may herald more serious internal injuries such as lacerations of the liver or spleen or pneumothoraces. Most occur in ribs 4-9.

Pulmonary contusions are the most common manifestation of blunt chest trauma and represent hemorrhage into the lung, usually at the point of impact. They classically clear in a few days.

Pulmonary lacerations are tears in the lung parenchyma that may contain fluid or air. Their presence may be hidden by a surrounding contusion, and they typically take longer than a contusion to clear.

Aortic injuries usually occur at the isthmus, require rapid recognition for optimum survival, and on contrast-enhanced CT may take the form of intimal flaps, contour abnormalities, or hematomas.

The most commonly affected solid organs in blunt abdominal trauma (in order of decreasing frequency) are the spleen, liver, kidney, and urinary bladder.

The liver is commonly injured in both blunt and penetrating trauma, and its injuries account for the majority of the deaths from abdominal trauma. It may demonstrate lacerations, hematomas, wedge-shaped defects, pseudoaneurysms, and acute hemorrhage.

Because the spleen is highly vascular, hemorrhage is the most serious sequela of splenic trauma, whose findings include hematomas, lacerations, and contusions.

Patients who have had renal trauma almost all have hematuria and may show contusions, lacerations, hematomas, or vascular pedicle injuries on CT. They may also demonstrate extraluminal contrast from an injury to the renal pelvis or ureter.

Shock bowel is a consequence of profound hypotension and shows diffuse small bowel wall thickening with enhancement of dilated and fluid-filled loops on CT.

Bladder ruptures may be either extraperitoneal (more common) or intraperitoneal, the former demonstrating extraluminal contrast surrounding the bladder, and the latter showing contrast flowing freely in the peritoneal cavity.

Urethral injuries occur almost exclusively in males, are frequently associated with pelvic fractures, and usually involve the posterior urethra where extraluminal contrast may be seen in the perineum or extraperitoneally in the pelvis.