CHAPTER 10 Equine dental pathology

Padraic M. Dixon, MVB, PhD, MRCVS, Nicole du Toit, BVSc, MSc, PhD, MRCVS, Ian T. Dacre, PhD, MRCVS

Division of Veterinary Clinical Sciences, University of Edinburgh, Easter Bush Veterinary Centre, Roslin, Midlothian, EH25 9RG, UK

Introduction

Equine dental disorders are of major importance in the UK, with a survey showing that 10 % of equine practice time is spent on dental-related work.1 Likewise, a US survey ranked dental disorders as the third most common equine medical problem encountered by large animal practitioners.2 Despite its importance, equine dentistry is a neglected discipline, as exemplified by a survey of 150 adult horses without any history of dental disease which showed 24 % of them to have dental abnormalities.3 Numerous post-mortem studies have also indicated up to 80 % prevalence of undiagnosed, clinically significant dental disorders in equids.47 Interestingly, dental disorders, such as cheek teeth (CT) displacements, wear abnormalities, and diastemata, have even been noted in skulls examined from wild equids (Cape Mountain zebras) that died of causes unrelated to dental disease,8 and some prehistoric horse skulls in museums also have evidence of similar dental disorders (P.M. Dixon, unpublished observations), highlighting that these abnormalities are not necessarily diseases of domestication.

Most earlier studies of equine dental pathology concentrated on gross findings, with many of them examining skulls with unknown dental histories collected from abattoirs. In one such abattoir study of 365 skulls, Honma et al found that all skulls identified as 12 years of age or older had dental caries.4 An abattoir study of 218 skulls by Baker9 recorded a prevalence of 60 % periodontal disease and 79 % infundibular caries in horses aged over 15 years. In a study of 355 abattoir skulls, Wafa found 13 % of skulls to have abnormalities of development or eruption; 17 % with wear abnormalities; 35 % with periodontal disease; 29 % with caries and 6.5 % with dental pulp exposure.6 He concluded this latter disorder was ‘of greatest clinical significance’ and that all of the periapical infections identified could be attributed to exposure of the dental pulp.

Dixon et al detailed the prevalence of dental disorders in a referred population of 400 dental cases, most being of a severe nature as would be typical of referred cases,1013 including 162 cases which were referred because of what was termed ‘primary’ (i.e., of unknown etiology) CT apical abscessation.10 Pulpar exposure was clinically identified in a small number of these 162 cases of CT apical abscessation, in contrast to Wafa’s findings.6 Many additional CT apical infections were found to have arisen from concurrent dental disorders, such as deep periodontal pocketing following dental displacement, that were defined as ‘secondary’ apical infections.1113 Brigham and Duncanson’s study of 50 abattoir skulls found most dental disorders to involve CT, including recording that 20 % of skulls had CT diastema; 26 % had focal CT overgrowths; 56 % had sharp enamel overgrowths; 20 % had missing teeth; 8 % had ‘wavemouth’ and 12 % had CT caries.14 More recently, a high prevalence of dental disorders, and in particular CT diastemata, was demonstrated in aged donkeys in a post-mortem survey,7 and many of these serious dental disorders manifested between 15 and 20 years of age.15 Horses can suffer a wide range of dental disorders of development and eruption that are covered in Chapter 8, and this review primarily deals with acquired dental disorders.

Abnormalities of wear

Normal tooth wear (attrition) begins when opposing teeth come into occlusion and their occlusal surfaces grind off each other.16 Any asymmetry in the position of the jaws (as occurs with craniofacial abnormalities) or of individual teeth (e.g., with developmental displacements of teeth) results in uneven dental wear. The periodontal membranes adjacent to overgrown teeth are often diseased, including due to abnormal rostrocaudal drifting of overgrown teeth causing diastemata. Additionally, the pain and possibly mechanical obstruction caused by dental overgrowths can restrict masticatory movements that in turn restrict intra-oral saliva and food movements. Overgrowths can also cause soft tissue trauma, which can lead to clinical signs such as bitting abnormalities in ridden horses and less commonly to quidding.

Cheek teeth enamel overgrowths

The presence of anisognathia in equids and the fact that their maxillary CT are wider than their mandibular CT contributes to the development of enamel overgrowths on the buccal aspect of their maxillary CT and lingual aspect of their mandibular CT17 (Fig. 10.1).

image

Fig. 10.1 Intra-oral view of buccal ulceration (arrow) caused by prominent vertical ridges on caudal maxillary CT. These CT appear to have minimal occlusal angulation and it is the more lateral prominence of their vertical ridges (cingulae) that is traumatizing the cheeks.

These sharp points may lead to soft tissue ulceration of the buccal mucosa (rarely to tongue ulceration) and in severe cases may cause clinical signs, such as bitting problems and even quidding.17 Recently, the masticatory movements of the mandible have been examined using a 3-dimensional kinematic model with differences shown in the amplitude of movement between individual horses.18 The equine chewing cycle has three phases: opening stroke, closing stroke and power stroke, as discussed in detail in Chapter 6. The vertical ‘crushing’ stroke predominates when high levels of concentrates are fed19 that, along with the reduced amount of time spent masticating concentrate foodstuffs, promotes the development of CT enamel overgrowths and increased CT occlusal angles. In contrast, horses fed predominantly roughage have a greater degree of lateral excursion during mastication.20 Roughage also requires more chewing movements (3000–3500 per kg consumed) compared with concentrates (800–1200 per kg). The number of chewing movements, per unit of roughage and concentrate, has been shown to be higher in ponies than in larger breeds,19,21 possibly due to the smaller size of their teeth.

It is generally believed that equids fed predominantly roughage do not develop cheek teeth enamel overgrowths; for example, earlier studies cited by Becker (1962)22 found no enamel overgrowths in fossilized equine skulls, and Becker found minimal or no enamel overgrowths in wild zebras, wild asses, and Przewalski’s horses.22 However, a recent study on working equids that never had any dental treatment showed significant cheek teeth enamel overgrowths to be present in them despite being fed a predominantly roughage based diet.23 Furthermore, a population of Exmoor ponies that are only fed roughage continue to develop sharp enamel overgrowths that are recognised when they are re-presented annually for routine dental treatments (P.M. Dixon, N du Toit, personal observations). Some domesticated breeds may be genetically predisposed to developing sharp enamel points. For example, it is possible that variations in the width of the normal vertical ridges on the buccal (lateral) aspect of maxillary cheek teeth (cingulae) may be a factor in the development of enamel overgrowths, with horses with wider ridges most likely to develop large enamel overgrowths on the buccal aspect of these ridges that cause clinical signs. Enamel overgrowths predominantly cause clinically significant disease in ridden horses, especially when associated with certain practices, such as the use of tight nosebands.23,24

The occlusal surfaces of equine teeth have linearly shaped groups of cusps (elevations), termed transverse ridges (usually 11–14), on the maxillary and mandibular CT, that interdigitate with the opposing teeth, and their evolution has been described in Chapter 1. These ridges increase the occlusal surface area for grinding coarse fibers and are the result of enamel infoldings causing different occlusal wear patterns. These ridges can be more prominent in young horses, with much individual variation in their height. The presence of multiple tall ridges should not be regarded as an abnormality, despite the dogma of some equine dental groups. Such physiological transverse ridges need to be differentiated from true overgrowth (exaggerated or accentuated) transverse ridges which can, for example, develop opposite a wide diastema or occasionally can develop on individual ridges amongst even-sized ridges, possibly due to reduced enamel content on the opposing tooth.

Shear mouth

If the above generalized CT overgrowths are not managed by routine dental floating, they may increase to such an extent that they interfere with the normal side-to-side masticatory action (and the small degree of mandibular rostrocaudal movement). This further perpetuates the overgrowths and may lead to a condition termed shear mouth.13,25 In contrast to former beliefs that CT occlusal angles of >15 % could be termed shear mouth, it is now accepted that affected teeth have in fact much steeper angles (>45°) of their occlusal surfaces (Fig. 10.2).26 Horses affected with shear mouth have reduced effectiveness at grinding food, especially dried forage such as hay, and eventually exhibit quidding, due to soft tissue injury and to the inevitable periodontal disease that accompanies this disorder. Numerous studies have shown the prevalence of shear mouth to be low (0.6–12 %),3,6,7,13 and this was particularly so in a large study of 30 000 (younger) cavalry horses where a prevalence of only 0.03 % was found.22 Two recent donkey studies did not find an increasing prevalence of shear mouth with increasing age,7,15 and so it can be concluded that generalized shear mouth is an uncommon disorder of geriatric equids.

image

Fig. 10.2 This right maxillary CT row has markedly increased (circa 45°) occlusal angulation, i.e., shear mouth.

Wave mouth

Wave mouth is the presence of an undulating occlusal surface of the CT arcade in a rostrocaudal direction (Fig. 10.3). This disorder has been hypothesized to occur in some CT secondary to marked periodontal disease, which disrupts the normal eruption process.13 Differential rate of CT eruption between different CT in a row has also been proposed as a cause of wave mouth (that may even increase with time),22,27 as has the presence of large focal overgrowths28 (e.g., due to absent or defective opposing teeth) and diastemata,15,29 but it is most likely that the etiology of wave mouth is multifactorial. Severe wave mouth can cause restricted mastication, and concurrent dental (e.g., shear mouth or diastemata) and periodontal disorders are inevitably present. The prevalence of wave mouth has been shown to be relatively low (2–19 %) in most equine surveys,3,6,7 and (in contrast to shear mouth) wave mouth was significantly associated with age in two donkey studies.29,30

image

Fig. 10.3 Post-mortem image of a neglected, aged equine mouth that has multiple dental abnormalities, including wave mouth in the centre of the CT rows, smooth mouth of the rostral mandibular CT (406, 407 are worn to their component roots) and step mouth of 111 due to loss of 411. Diastemata and associated periodontal disease are present between some teeth (arrows).

Step mouth

Classically, the loss of a cheek tooth is alleged to cause a rectangular shaped overgrowth due to ‘super-eruption’ of the unopposed opposite CT, leading to a condition termed step mouth (Fig. 10.3). Dixon et al13 found that 40 % of cases of step mouth were caused by CT maleruptions, such as different rates of eruption of opposing CT, with the earlier erupted CT becoming and remaining overgrown (’dominant’).17,22 As noted above, less severe cases of CT maleruption may lead to wave mouth and there is often an overlap between these two disorders. Overgrown teeth may be rectangular in shape, especially in the early stages following loss of an opposite tooth, but as the teeth on either side of the missing tooth (variably) drift together, a triangular-shaped overgrowth can develop (Fig. 10.4).31 These overgrowths can mechanically interfere with normal mastication, leading to wave mouth or shear mouth. They may also cause oral pain that may be manifested as oral pain with quidding, halitosis, and weight loss.28

image

Fig. 10.4 These two major maxillary CT overgrowths have been caused by loss of the opposite 407, with marked caudal drifting of the 406 into the extraction space. This has caused a rostral overgrowth to develop on the partly unopposed 106, and a tall, narrow, triangular overgrowth to develop on the 107.

The maxillary CT of older horses with worn infundibula, or maxillary CT with developmentally short infundibula or infundibular caries, have reduced enamel content that allows the opposite mandibular CT to focally overgrow. Similarly, older horses or horses with reduced peripheral enamel infolding of their mandibular CT develop overgrowths of the opposite maxillary CT. A clinical survey of donkeys showed step mouth to be significantly associated with the presence of missing, overgrown and worn CT, and CT diastemata.30 The prevalence of step mouth varied from 3.7 to 12 % in different equid studies3,6,7,13 and is significantly associated with increasing age in donkeys.29,30

Smooth mouth

In older equids, the loss or reduction of enamel ridges is a normal physiological end-stage phenomenon of dental attrition32 (Fig. 10.5). This leads to the development of a smooth occlusal surface containing predominantly cementum and dentin, with minimal protruding enamel that is termed smooth mouth. Such dentin and cementum are no longer protected from increased wear by harder enamel, and such teeth are ineffective at grinding, becoming more rapidly worn.33 Older equid teeth commonly develop hypercementosis of the apical area, which will increase once the roots become exposed, which is a protective mechanism to prolong the dental lifespan of geriatric equids.32,33 As expected, smooth mouth is significantly associated with increasing age in donkeys.29,30 The prevalence of smooth mouth has been shown to be quite low (up to 5 %) in some general surveys, with an increased prevalence (20–35 %) in equids over 20 years of age.6,7,15 Occasionally smooth mouth can develop in younger equids where, as noted above, there is insufficient enamel infolding of peripheral enamel, absence of maxillary CT infundibula28 or the presence of enamel dysplasia (see Chapter 8).

image

Fig. 10.5 These caudal maxillary CT (109–111) have minimal enamel (focal white areas) remaining and thus have a smooth occlusal surface. Additionally, the more rostral CT in the image (109) is worn down to its component roots (arrows).

Diastemata

All 6 CT in each row should act as a single functional unit and should be tightly opposed to each other at the occlusal surface due to the rostrocaudal angulation of the rostral and caudal CT. Cheek teeth diastema, which is defined as a detectable interdental (interproximal) space between adjacent teeth, was diagnosed as the primary dental disorder in 4 % of 400 horses referred for dental disorders by Dixon et al12 and in 3.6 % of horses in an abattoir survey by Wafa.6 The caudal mandibular CT were more commonly involved, particularly the interdental (interproximal) spaces between 09s–10s and 10s–11s.12,3436 As noted in Chapter 8, diastemata can be termed primary (developmental), which develop due to inadequate rostrocaudal CT angulation or due to embryonic buds developing too far apart.34,35,37 In contrast, if the supporting bones are not large enough to support the developing dental buds, overcrowding of erupted teeth results in displacement of these CT with subsequent secondary developmental diastemata developing.35

Equine CT taper towards their apices, and the angulated equine CT (6s, 10s and 11s) lose their angulation with age. Therefore, with continued dental eruption, senile diastemata commonly develop between the CT in aged horses.36 Diastemata can also develop secondary to loss of CT or adjacent to acquired CT displacements, more commonly seen as lingual (medial) displacement of the mandibular 10s and 11s.34,35 Interestingly, diastemata have also been identified in a survey of free-ranging Cape Mountain Zebras (Equus zebra zebra).8

Diastemata have also been classified as closed/valve diastemata (narrower occlusally; Fig. 10.6) or open (same width at occlusal and gingival margin) diastemata (Fig. 10.7).38 Sharp overgrowths or exaggerated transverse ridges on opposite CT may widen diastemata and compress food into them;12,28 however, the most clinically significant valve diastemata have a narrow (1–3 mm) space between the teeth occlusally (Figs 10.6, 10.810.10), with no detectable overgrowth on the opposite tooth. The presence of diastemata usually leads to compression of food into the abnormal space between the two adjacent teeth, with resultant periodontal food pocketing (especially into valve diastemata) and periodontal disease,6,36 as previously illustrated in Chapter 8.

image

Fig. 10.6 This post-mortem image of a caudal right hemimandible has two valve diastemata (narrow occlusally and wider at gingival level) with deep periodontal food pocketing between the two CT on the right.

image

Fig. 10.7 These mandibular CT (306–307) have an open diastema between them, but due to the shape of the diastema, it contains no food pocketing. Consequently, the underlying gingiva, although recessed, has a smooth appearance and is of normal color.

image

Fig. 10.8 These two mandibular CT have a valve diastema between them that has led to marked periodontal recession at, and adjacent to, the diastema. These two CT also have loss of much of their peripheral cementum likely due to prior peripheral dental caries, with marked staining of all exposed calcified tissues.

(Courtesy of Alistair Cox and Sionagh Smith.)

image

Fig. 10.9 A longitudinal section from an undecalcified hemimandible showing two adjacent CT (410, 411) that have a valve diastema between them. There is recession of the gingiva overlying the mandibular bone beneath the diastema, with pocket formation (arrow).

(Courtesy of Alistair Cox and Sionagh Smith.)

image

Fig. 10.10 Open mouth radiograph of a right hemimandible showing a valve diastema between 408–409 (that has been mechanically widened) and an open diastema between 409 and 410. There is adequate angulation of the caudal CT in this horse, but the CT have developed too far apart in this hemimandible.

With marked food entrapment, the periodontal disease progresses to cause lysis and remodeling of alveolar bone and even osteomyelitis of the mandible or maxillae17 or oromaxillary fistula formation. The most common clinical sign seen with CT diastemata is quidding and so periodontal disease is regarded as one of the most painful dental disorders of horses.12,28,34 Open mouth radiography (Fig. 10.10) is of great value in assessing the cause, severity and prognosis with CT diastemata.39 In younger horses with this disorder, further eruption of the CT and compression of the CT rows may even result in resolution of the diastemata, provided there is sufficient CT angulation.

Periodontal disease

Periodontal disease (periodontitis, paradontal disease, alveolar disease and alveolar periostitis) describes inflammation of the supporting structures of the tooth, i.e., the gingiva, periodontal ligaments, cementum, and alveolar bone.6,40,41 In addition to its enormous importance in human dentistry, periodontitis has been recorded as an important disease in dogs and cats,42 sheep43,44 and cattle.45 Coyler described periodontitis as a most significant equine dental disease (’the scourge of the horse’) with a prevalence of 33 % recorded in an abattoir survey of 484 horses.40 However, examination of photographs of Colyer’s specimens40 shows that the periodontitis was predominantly secondary to other disorders, such as diastemata and displaced teeth.12 Other early studies have also reported the presence of periodontal disease in horses,41,46 and periodontal disease secondary to diastemata has also been described in zebras.8

More recent studies of horses have also recognized periodontitis as a significant disorder.6,9,12,13,47 Baker (1970) and Wafa (1988) found that 60 % of horses over 15 and 20 years of age, respectively, suffered from periodontal disease.6,9 However, most often this periodontal disease was secondary to other disorders such as displaced teeth or CT diastema. More recent clinical studies have also shown virtually all equine periodontal disease to be associated with abnormal interdental spaces, such as between CT diastemata.12,13 Periodontal disease in donkeys is also significantly associated with diastemata, overgrown teeth, displaced teeth, and increasing age.30 Both Baker and Wafa also recognized a mild transient periodontitis associated with CT eruption, with a prevalence of 40 and 52 % respectively, in immature skulls.6,9 Little pathological research has been performed on equine periodontal disease, and it is likely that these constantly remodeling tissues (in a hypsodont species) differ from those in brachydont species. A histological image of normal equine periodontal and adjacent tissues is shown in Figure 10.11.

image

Fig. 10.11 Decalcified longitudinal section of an equine mandible showing the normal subgingival structures between the two adjacent cheek teeth, including the very vascular alveolar bone (AB), with its irregular margins on both sides attached to the periodontal ligaments (PDL). The peripheral cementum (PC) has a smooth margin with the periodontal ligament, but a scalloped margin with the adjacent enamel (ES – enamel site – as enamel is fully removed during decalcification). (Original magnification ×100.)

(Courtesy of Alistair Cox and Sionagh Smith.)

Periodontitis in brachydont species is initiated by the adherence of organic dental plaque and bacteria to teeth.42 Later, the plaque may become calcified to form dental calculus that consists of 70–90 % minerals. A similar finding in equine teeth is illustrated in Figure 10.12. The main component of equine dental calculus is calcite, which has a chalky appearance. In horses, dental calculus most commonly occurs on the lower canine teeth and less commonly on the buccal aspects of the rostral maxillary CT (excluding the wolf tooth),16 and the associated, usually low-grade, periodontal disease usually resolves following removal of the calculus. In general, dental calculus is not a significant problem of equine CT that do not have intercurrent dental disorders.6,9,13 This low prevalence of calculus on equine CT may be due to the prolonged time horses spend masticating, as the prolonged intra-oral movement of fibrous food and saliva during mastication may deter the formation of plaque,42 although equine teeth are covered with an organic pellicle.

image

Fig. 10.12 Decalcified histological section of a CT diastema showing organic plaque deposition (arrow) on the peripheral cementum on both sides of the diastema. (Original magnification ×100).

(Courtesy of Alistair Cox and Sionagh Smith.)

In brachydont teeth, periodontal disease starts with loss of the normal tight gingival attachment between adjacent teeth. This gingiva then becomes inflamed due to mechanical irritation, e.g., to impacted food particles and from chemical irritation from bacteria, food, and plaque. As the gingival destruction continues, the gingival defect becomes further impacted with food, and the process perpetuates itself with the periodontitis extending deeper into the periodontal ligament and also to the buccal and lingual margins of teeth, forming large periodontal food pockets16 (Figs 10.1310.15). This inflammation and infection may even extend to the alveolar bone, and even supporting bones, causing alveolar bone remodeling and even bone necrosis and infection. Eventually the tooth becomes loose and may even spontaneously be shed due to loss of supporting structures.40 More localized extension of the periodontal disease can lead to infection of the pulp, apical infection, and ultimately death of the tooth.42,46 A periodontal disease grading system (0–4) used in small animals that is based on the percentage of dental attachment loss42 could be used in equids (Table 10.1).

image

Fig. 10.13 Decalcified histological image of the base of a valve CT diastema showing erosion and hyperplasia of the gingiva in the interproximal space. (Original magnification ×100.)

(Courtesy of Alistair Cox and Sionagh Smith.)

image

Fig. 10.14 Decalcified histological section of subgingival connective tissue in the interproximal space of a CT diastema showing moderate infiltration with mononuclear inflammatory cells. (Original magnification ×200.)

(Courtesy of Alistair Cox and Sionagh Smith.)

image

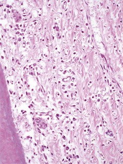
Fig. 10.15 Localized periodontitis where a neutrophilic infiltration (n: inset lower right) is present within the gingiva (g), and the peripheral cementum (pc) has already receded through carious attack (H and E).

Table 10.1 Equine periodontal disease grading system

Stage 0 Normal
Stage 1 Gingivitis
Stage 2 Early periodontal disease (up to 25 % attachment loss)
Stage 3 Moderate (25–50 % attachment loss)
Stage 4 Severe (greater than 50 % attachment loss)

Disorders of pulp

Pulpitis

Pulpitis or inflammation of the pulp in human teeth occurs most commonly secondary to dental caries that has penetrated the enamel and dentin,48 and is usually associated with pain (often a dull, throbbing pain synchronous with the heartbeat as blood pressure increases in the inflamed but confined pulp, in contrast to the sharp sudden pain of dentin exposure). Other potential causes of pulpitis in all species include bacterial penetration via pulp exposure secondary to attrition, abrasion, or trauma; chemical irritation (e.g., from irritant molecules directly applied to pulp or by their diffusion through adjacent dentin after insertion of restorative material): thermal damage i.e., heat produced from motorized dental equipment; or iatrogenic pulpar exposure. Because of the intimate relationship between dentin and pulp, together they have been termed the dentinopulp complex, which emphasizes the fact that an insult to dentin can also insult pulp.

The inflammatory response by pulp includes the development of edema and the influx of lymphocytes, plasma cells, and macrophages. Due to pulp being completely encased in its rigid dentinal chamber, the inflammatory response increases the pressure in the pulp chamber/horn that can cause a collapse of the venous microcirculation. This can result in areas of pulpar hypoxia and anoxia that may lead to localized or generalized pulp necrosis and death. However, equine CT, especially when young, have large apical foramina and a large blood supply to their pulp and so can often survive a degree of pulpar edema and inflammation that would cause pulpar death in brachydont teeth. If the pulp survives, it allows tertiary dentin formation to seal off the area of insulted (e.g., exposed) pulp, and this hopefully results in complete resolution of the pulpitis.49

Pulp stones

Pulp stones, more correctly termed false pulp stones because they are composed of concentric layers of calcified tissue without any internal tubular structure, have been observed in equine teeth, both within viable pulp (free stones) and in areas replaced with secondary dentin (Fig. 10.16). A study that examined just four transverse histological sections per equine CT found false pulp stones present in 5/51 normal maxillary and 1/49 normal mandibular CT,49 but it is obvious that they have a much higher prevalence in healthy equine CT. Their presence in brachydont teeth is often stated to be evidence of pulpar irritation or inflammation that could arise from focal areas of anachoretic pulpitis, or from other noxious stimuli including chemical, bacterial, vibrational (mechanical) or thermal stimuli.50 The formation of pulp stones creates a corresponding decrease in the functional size of the pulp chamber that may compromise pulpar microcirculation and in turn may affect the rate of dentin production. However, their frequent occurrence in grossly normal equine CT as indicated above shows that many equine CT contain (false) pulp stones that do not compromise their pulp vitality.49

image

Fig. 10.16 (A) A single pulp stone (ps) has formed in the middle of this partially autolyzed dental pulp. As it remains entirely within the pulp it is termed a ‘free’ pulp stone (denticle). Regular secondary (2rD) and primary (1D) dentin are present surrounding the pulp (H and E). (B) This pulp stone (ps) has become surrounded by regular (2rD) and irregular (2iD) dentin. The sigmoid curvature of dentinal tubules (as they head from the pulp to the amelodentinal junction) is partially visible in the primary dentin (1D) (H and E).

Occlusal pulpar exposure

Odontoblasts that line the pulp cavity produce secondary dentin that gradually obliterates the pulp cavity circumferentially and subocclusally over the life of the tooth.50 In particular, subocclusal secondary deposition prevents pulp horns from becoming exposed on the occlusal surface in hypsodont teeth with prolonged eruption.49,51 Whilst much of this secondary deposition occurs in a time-dependent manner, its deposition is increased by occlusal stimulation, such as by mastication, and in hypsodont teeth (that have exposed odontoblast processes on the occlusal surface), this stimulation is likely to be of more importance in dentinal deposition, than is the case in brachydont teeth. It was previously believed that an imbalance between CT occlusal wear and secondary dentin deposition sub-occlusally could result in exposure of the pulp horns on the occlusal surface, resulting in food becoming impacted within the exposed pulp horns, descending infection and ultimately apical infection of the CT.6,37,52 However, recent studies5356 have indicated that occlusal pulpar exposure does not occur in healthy equine CT, but is associated with prior pulpar damage that caused cessation or reduced deposition of sub-occlusal secondary dentin that with continued occlusal wear and tooth eruption, leads to occlusal pulpar exposure (Fig. 10.17).

image

Fig. 10.17 This mandibular CT, which was extracted because of apical infection, has pulpar exposure of the two lateral pulp horns, and a probe has been inserted through the defective secondary dentin into one pulp horn.

Cheek pulpar exposure can be recognized clinically10 (Fig. 10.17) and at post-mortem examination6 (Figs 10.1810.20). More recently, computed axial tomography has been shown to be an effective imaging modality to identify occlusal pulpar exposure and/or apical infections of cheek teeth at post mortem and in clinical cases,7,57 as shown in the computerized tomography images of these disorders in Chapter 13. Dacre et al54,55 found occlusal pulpar exposure in 34 % of 41 apically infected mandibular CT (of multiple pulps in 22 % of these 41 teeth) and in 23 % in 57 apically infected maxillary CT (multiple pulps in 16 % of these 57 teeth). van den Enden et al56 found occlusal pulpar exposure in 32 % of 79 cheek teeth with apical infections (multiple pulpar exposure in 27 % and a single pulpar exposure in 5 % of teeth). These latter authors also found that 42 % of 31 CT with idiopathic fractures had occlusal pulpar exposure (26 % of multiple pulps; 16 % single pulp exposure).56 Ultrastructural examinations of equine teeth have shown that dentinal tubules are often exposed on the occlusal surface that may provide a potential route of infection of the pulp from the occlusal surface.58 Decalcified histological sections of occlusally exposed pulp demonstrated the absence of occlusal secondary dentin, as well as the presence of necrotic pulp and, in some cases, plant material, within the pulp horns54,55,59 (Fig. 10.21).

image

Fig. 10.18 This maxillary CT has occlusal pulpar exposure of all 5 pulp horns (food is protruding from all) with coalescence of the 3rd and 5th horns (arrow).

image

Fig. 10.19 This aged CT (extracted at post-mortem examination) has multiple occlusal pulpar exposure with all pulp horns filled with food material. Extensive periapical cemental deposition (arrows) has sealed off all the pulp horns (and the common pulp chamber) from the apex and consequently, no apical infection is present.

image

Fig. 10.20 These aged maxillary 106 and 107 have occlusal exposure of multiple pulps. There was no evidence of apical infection in either, indicating that the occlusally exposed areas of the pulps were sealed off from their more apical aspects by tertiary dentin.

image

Fig. 10.21 A decalcified transverse histological section of a CT following pulpar exposure, when food and bacteria invaded, destroying any remaining pulp before progressing to attack secondary irregular dentin (2iD) at the carious pulp margin (C). Secondary regular dentin (2rD) is often attacked subsequently (H and E).

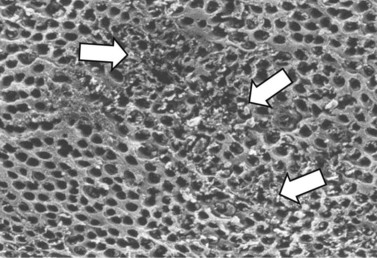
Occlusal pulpar exposure less commonly occurs in equid teeth (mainly in older horses) that have no evidence of apical infection,55,59 and thus the presence of pulpar exposure does not necessarily indicate that pulpar or tooth death is present (Fig. 10.19). Histological examination of some equid CT with pulpar exposure has shown a layer of tertiary dentin protecting the pulp and sealing it off from an area of insulted pulp at the pulp horn tip that allowed (limited) pulpar exposure.55,59 van den Enden et al found occlusal pitting of secondary dentin overlying pulp horns in apically infected cheek teeth; however, in 10 % of teeth with apical infections, this pitting did not extend through the full thickness of the secondary dentin to involve the pulp horns.56 However, the presence of multiple pulp horn exposure, pulpar exposure with marked dentinal caries around the area of pulpar exposure, or of pulps that on probing are found to be deeply (>2 cm) exposed, indicates the likelihood that the entire endodontic system has been severely damaged or is dead. These occlusal findings are likely to be accompanied by clinical signs and/or diagnostic imaging changes indicative of apical infection and dental death.

In cases of acute pulpal exposure (e.g., gross or fissure dental fractures, iatrogenic exposure during dental treatment), the application of calcium hydroxide as a ‘pulp-cap’ results in the rapid formation of a necrotic zone adjacent to the calcium hydroxide that has a pH of 11 and so has bactericidal actions. A basophilic zone consisting of calcium proteinates forms below this necrotic zone. An adjacent fibrous layer and odontoblast cell layer forms within 2 weeks, followed by a layer of early tertiary dentin 2 weeks later.48 The exact mechanism by which calcium hydroxide induces this reparative dentin is unknown. The clinical aspects of this treatment are discussed in Chapter 22.

Apical infections

Apical infection is a more accurate term to use in equids than ‘tooth root infection’ as such infections commonly occur in young horses prior to any root development, in addition to also occurring in older CT with well developed roots. Incisor or canine apical infections are rare in equids, but CT apical infections are relatively common, and were the most common reason for dental referral in one study.10 Apical infection of CT is a particularly important disease of horses because of the length of equine teeth, and consequently the apical infections usually extend to involve the supporting structures, including the periodontal ligament, alveolar and, depending on the site of affected tooth, supporting bones and paranasal sinuses.10,37,40 The clinical signs caused by CT apical infections depend on the tooth involved, and the duration and the extent of the infection. A study by Dixon et al of 400 referred horses with dental disease included 41% presented for primary (of unknown etiology) apical infections, including 92 maxillary CT and 70 mandibular CT.10 When the rostral 2–3 maxillary CT are infected, maxillary swellings and sinus tracts occur, with nasal discharge less common (due to the apical abscess draining medially into the nasal cavity). Sinusitis is almost inevitable if the caudal three maxillary CT are infected. Mandibular swellings and sinus tracts commonly occur with mandibular CT infections.10

Apical infections occur most commonly in younger horses, and Dixon et al showed that the median age for horses with apical infections of maxillary and mandibular CT was 7 and 5 years, respectively.10 A further study showed the dental age (time since eruption of tooth) of 22 mandibular and 28 maxillary CT with apical infections to be 3.5 years in both groups.54,55

As noted earlier, recent studies have shown that occlusal pulpar exposure of CT is almost certainly a sequel to pulpar damage, most usually caused by apical infection, being present in 32 % of 79 cheek teeth with apical infections56 and in 34 % and 23 % of 41 and 57 apically infected mandibular and maxillary CT, respectively.54,55 Cheek teeth with apical infection have greatly decreased thickness of secondary dentin over all aspects of their pulp canals indicating that chronic pulpar dysfunction or pulpar death was present in many of these CT,53 and that the reduced dentinal thickness was a non-specific finding associated with apical infections of multiple etiologies (Figs 10.22 & 10.23). A commonly recognized cause of equine CT apical infection was anachoretic infection, i.e., blood or lymphatic-borne bacterial infection.10,5456,60 A diagnosis of anachoresis was reached following detailed examination of CT with apical infections that found no other physical route of infection to the apex (Fig. 10.24). Anachoresis was the most common cause of maxillary CT (51% of 57 apical infections) and mandibular CT (59 % of 41 apical infections) apical infections in one study.54,55 Vertical impactions and hyperemia of the apex due to large eruption cysts (‘3- and 4-year-old bumps’) may predispose to anachoretic infections,37 and this theory is supported by the higher prevalence of CT apical infections in younger horses. Furthermore, there are anastomoses between the periodontal vasculature and the maxillary sinus blood vessels,61 possibly allowing bacteria from the upper respiratory tract to be a possible source of CT apical infection, and the converse, as previously noted, with apical infections causing sinus empyema.

image

Fig. 10.22 Proposed routes of apical infection in equine mandibular cheek teeth.

(Reproduced from Dacre et al,54 with permission from The Veterinary Journal.)

image

Fig. 10.23 Proposed routes of apical infection in equine maxillary cheek teeth.

(Reproduced from Dacre et al55 with permission from The Veterinary Journal.)

image

Fig. 10.24 Apex of a mandibular cheek tooth (orally) extracted because of apical infection, showing a chronic proliferative reaction of the periapical tissues (arrow) and slight irregularity on the exposed cementum, but with little evidence of the destructive changes that occur in some apically infected teeth. As no physical route of infection from the oral cavity to the apex was present in this tooth, anachoresis was the likely cause of the apical infection (×2).

Apical infections can also occur secondary to developmental disorders (polyodontia, dental dysplasia, hypoplasia, diastemata, and displacements), usually by an extension of deep descending periodontal disease (because these teeth do not have tight interproximal spaces); wear disorders with associated periodontal disease; or fractures (idiopathic gross or fissure fractures, as well as traumatic fractures).

A study of 41 apically infected mandibular CT found dental fractures to be the second most common cause (20 %) of infection, and included 2 CT with sagittal fractures and 6 with hairline (fissure) fractures communicating between the infected pulp and periphery of the tooth54 (Fig. 10.25). The fissure fractures often had dark (bacterial or food pigments) staining on cut sections of affected teeth, but these fissures were usually not very obvious on the surface of the tooth and were never diagnosed clinically. Increased awareness of their significance and more careful examinations of suspect teeth using a dental mirror or intra-oral endoscope should allow their detection.62,63 Not all idiopathic fractures (e.g., lateral slab fractures through the lateral pulp horns) result in apical infections, as some such pulps can manage to seal off the exposed pulp by laying down a layer of tertiary dentin to prevent infection spreading down the pulp horn,59 as described later. Fissure fractures, were also found to cause apical infections in 9 % of infected maxillary CT.55

image

Fig. 10.25 The reverse (apical) face of the occlusal section of an infected 309, dental age 5 years. All five pulp chambers are occluded with secondary dentin; however, pulp chamber 5 is darkly stained around a central fissure (B). A hairline fracture (A) extends through the cementum and enamel at the caudal aspect of the tooth, to join up with the fissure present in the secondary dentin around pulp chamber 5. An enlargement of this area is shown in the insert on right, with arrows identifying the hairline fracture. This infection was acute as evidenced by the presence of normal thickness of dentin and of pulp remnants in all pulp horns more apically. It is possible that if this tooth was not extracted it would have developed a sagittal ‘idiopathic’ fracture through the 4th and 5th pulp chambers. Note that a newer pulp identification system is now in use – see Chapter 5.

Extension of infundibular caries is a maxillary CT specific disorder that can also cause apical infections. Infundibular cemental hypoplasia with subsequent food impaction in the cemental defect predisposes to the development of infundibular cemental caries that may cause apical infections, either by weakening the tooth structure resulting in midline sagittal fractures or by extension of the caries through the infundibular enamel into dentin and pulp, or occasionally directly onto the apex.10,37 Dacre et al found some degree of infundibular cemental caries present in most apically infected maxillary CT examined (Fig. 10.26); however, only 16 % of maxillary CT had gross pathological or histological evidence of spread of infundibular caries to involve the pulp or, in one case, directly to the apex.55

image

Fig. 10.26 Occlusal (A), mid-tooth (B) and apical (C) sections from an infected 107 CT that has occlusal pulpar exposure of all 5 pulp chambers, which are filled with food down to the apex. The rostral infundibulum (r) has cemental caries, especially more apically. The caudal infundibulum (c) has central cemental hypoplasia with localized cemental caries. Infundibular caries was not found to penetrate the infundibular enamel at any level in either infundibulum, indicating that infundibular infection did not cause the apical infection in this tooth. Infection was ultimately attributed to anachoresis.

(Reproduced from Dacre et al,55 with permission of The Veterinary Journal.)

Periodontal spread is an important route of apical infections in both maxillary CT (12 %) and mandibular CT (10 %).54,55 A periodontal route of apical infection was recognized in the above studies when periodontal disease was found in conjunction with peripheral cemental changes (including dark staining of the residual cementum or exposed enamel) and the loss of continuous vertical areas of the periodontal ligament from the apex to the gingival margin.54,55 Periodontal disease was deemed to be secondary to apical infections in some CT, including the inevitable local areas of periodontitis around the infected apical area, or locally at the gingival margin due to food impaction unrelated to the apical infection.54 More chronic cases of secondary periodontal disease that had continuous periodontal tracts from the apex to the gingival margin were believed to be caused by secondary changes, due to drainage of exudate from the apical infection to the gingival margin. Some of these teeth had areas of cemental hyperplasia on their apices and reserve crowns, in contrast to the usual loss of cementum in teeth with descending periodontal infection.54

Certain types of dental dysplasia (covered in detail in Chapter 8) are characterized by the presence of dysplastic enamel and hence of abnormalities of dentin and cementum, and such defects were found to predispose to apical infections in 2 % and 5 % respectively, of mandibular and maxillary CT.54,55 Dental dysplasia usually resulted in apical infections via descending periodontal disease, because the abnormally shaped teeth did not fit snugly into the alveoli.55 Occlusal and peripheral caries were believed to cause apical infections in just 2 % of mandibular and maxillary CT.54,55 As commonly occurs in brachydont teeth, it is believed that penetration of bacteria from deep caries down dentinal tubules as demonstrated histologically55,56 may result in pulpar and thus apical infection of the tooth (Figs 10.27 & 10.28).

image

Fig. 10.27 Higher power image of decalcified transverse sub-occlusal section of dentin from an apically infected maxillary CT showing bacteria (arrows) present in obliquely-sectioned, primary dentin tubules (H&E × 400).

(Reproduced from Dacre et al,55 with permission of The Veterinary Journal.)

image

Fig. 10.28 Pioneer organisms (bacteria) are present within the central dentinal tubule in this transmission electron micrograph. Such microorganisms may invade down dentinal tubules and infect the pulp if the host defense mechanisms are inadequate.

A local response in infected pulp horns is to lay down tertiary dentin to seal off the more apically situated pulp from the exposed or insulted area (Fig. 10.29). However, with death of pulp, such a response is not possible (Fig. 10.30).

image

Fig. 10.29 Tertiary dentin (3D) has been laid down within the pulp of this equine cheek tooth in response to focal noxious stimuli. As seen more clearly in the insert (top right), there is no continuation of dentinal tubules into this tertiary dentin (as occurs between primary and secondary dentin). The pulp (p) has been exposed latterly through dental attrition resulting in the pulp horn filling with vegetable material (V), and destruction of any pulp that remained (decalcified transverse H and E section).

image

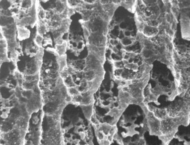
Fig. 10.30 Scanning electron microscopy image of carious dentin lining a pulp chamber that contains necrotic pulp. Many areas have localized loss of integrity of intertubular dentin (arrows).

(Reproduced from Dacre et al55 with permission of The Veterinary Journal.)

Dental caries

Caries is characterized by destruction of the calcified dental tissue with bacteria as the primary initiator of a chain of events. Bacterial fermentation of carbohydrate releases acids that decalcify the inorganic dental components (mainly calcium hydroxyapatite) at pH 4–5.516 (Fig. 10.31). In brachydont teeth (which have a complete enamel covering), dentin is demineralized very rapidly once the caries has penetrated fully through the enamel and the amelodentinal junction is reached, and the discolored, carious dentin results in the classic black appearance of caries.64

image

Fig. 10.31 Diagrammatic representation of principal biochemical aspects of factors influencing caries under acidic (pH < 5.5) conditions (favoring caries) following degradation on carbohydrates (e.g., sucrose) and at a neutral pH, e.g., following buffering by saliva.

The most common type of dental caries identified in equine teeth is maxillary CT infundibular cemental caries.10,11,14,65,66 Colyer66 observed a prevalence of 13 % of infundibular caries, and Honma et al4 reported a prevalence of 100 % in (maxillary) CT of horses over 12 years of age (Figs 10.32 & 10.33). The maxillary CT of older horses are predisposed to developing caries due to presence of developmental cemental hypoplasia of the infundibula, often at deeper levels, including towards the apical aspect of the infundibulumn, that only becomes occlusally exposed with age.67 A recent study of 786 maxillary cheek teeth, from 33 horses (median age 10 years), that were sectioned longitudinally found that only 11 % of infundibula were completely filled with grossly normal cementum, and areas of cemental hypoplasia and cemental discoloration, respectively, were observed in 22 % and 72 % of infundibula.68

image

Fig. 10.32 Infundibular caries is present in both rostral and caudal infundibula of maxillary CT 109 and 110. The infundibula have not coalesced at this stage, but both the infundibular enamel and dentin between the two infundibula are carious.

image

Fig. 10.33 Decalcified histological image of vegetable matter (arrows) lying in defective cementum within an equid cheek tooth infundibulum.

Cemental hypoplasia of the infundibula can develop secondary to premature destruction of the dental sac, such as by premature removal or loss of overlying deciduous CT.33 However, recent examinations of CT of 1–3 years dental age demonstrated the presence of a viable blood supply to the apex of infundibula, which was confirmed histologically68 (see Chapter 5). This blood supply allows continued infundibular cemental deposition to occur (at least in the apical aspect of the infundibulum) for a few years following maxillary CT eruption. In that study, widespread infundibular cemental caries was found in 8 % (62/786) of infundibula, with the Triadan 09 positions disproportionally accounting for 47 % (29/62) of these carious teeth.68 This prevalence of 8 % infundibular caries is much lower than reported by other authors,10,11,14,65,66 possibly due to classification of infundibular cemental hypoplasia as infundibular caries in some of these earlier studies.

The decalcified histological appearance of infundibular caries in donkey CT showed loss of normal cementum with the presence of necrotic material and vegetable matter in affected infundibula59 (Fig. 10.33). Undecalcified histology demonstrated an extension of the carious process from the cementum to the infundibular enamel, resulting in a ragged appearance of the amelocemental junction instead of its normal smoothly scalloped appearance, indicating the presence of enamel demineralization.59 Scanning electron microscopy also demonstrated extension of caries along the amelocemental junction resulting in destruction of cementum and enamel in the apical aspect of the infundibulum59 (Fig. 10.34). Interestingly, studies have shown that caries in human dentin and enamel start with demineralization (due to low pH) of these tissues prior to bacterial infection, whereas in caries of cement, demineralization and bacterial infection occur simultaneously.69 The above-noted equid cemental SEM studies59 would also support these findings.

image

Fig. 10.34 High-power SEM image of the distal aspect of a longitudinal section of a 209 infundibulum showing carious changes (arrow) to the periphery of the cementum (C) with loss of the normal amelocemental junction.

(Reproduced from du Toit et al,59 with permission of The Veterinary Journal.)

Infundibular caries has been classified by Honma4 according to the degree of its spread into different dental tissues. A modified classification of infundibular caries has been proposed by Dacre,37 which is also applicable for grading peripheral caries in equine teeth (Table 10.2).

Table 10.2 A grading system for equine dental caries

0 degree No macroscopic visible caries (can include infundibular hypoplasia)
1st degree

Caries only affecting the cementum

from small pitting superficial spots (class 1)
extensive destruction and loss of cementum (class 2)
2nd degree Caries affecting cementum and adjacent enamel
3rd degree Caries affecting cementum, enamel and dentin
4th degree Caries now affects the integrity of the tooth, i.e., development of an apical abscess or secondary tooth fracture

Caries of the peripheral aspect of the equine teeth (Figs 10.35 & 10.36), although apparently common, has been poorly described70,71 and as it most obviously involves the peripheral cementum it is sometimes termed peripheral cemental caries, which does not describe the full extent of this disorder. Peripheral dental caries may affect infolded peripheral cementum including cementum that lies on the occlusal surface, and therefore can predispose to an increased rate of occlusal wear and fracture of unsupported (brittle) enamel. By causing destruction of the normal peripheral cementum-periodontal attachments, peripheral caries can also initiate local periodontal disease. As noted earlier, infundibular cemental caries may extend through the enamel to dentin and pulp, resulting in apical infection.54,55,72 Infundibular caries can also extend concentrically along the inner (medial) aspect of the infundibular enamel – even causing coalescence of both infundibula that may be surrounded by tertiary dentin that seals off the pulp horns from the infection. Nevertheless, these processes can mechanically weaken the tooth and result in midline sagittal fractures of affected maxillary CT.67

image

Fig. 10.35 Widespread peripheral cemental caries of mandibular CT 309–311. Note how the caries has removed much of the supporting lingual cementum from the clinical crown of 311, leaving its discolored enamel.

image

Fig. 10.36 Caries of peripheral cementum in a decalcified section from a mandibular CT. This shows the characteristic pitting nature of these lesions (H and E).

High levels of severe peripheral dental caries involving all classes of teeth (incisors, canines, and CT) have been found in groups of equids under certain management practices, such as feeding high concentrate, low roughage diets, where the reduced time spent masticating and decreased volume of buffering saliva may predispose to prolonged periods of low pH in the oral cavity and demineralization of calcified dental tissue. Peripheral caries is also concurrently found with other dental abnormalities, where restricted food and saliva movement may predispose to its development. Extensive generalized caries has also been recorded in horses fed diets with a low pH, where excessive acids were added to silage/haylage and also in diets consisting largely of simple carbohydrates, i.e., processed maize foodstuffs (Figs 10.37 & 10.38).

image

Fig. 10.37 Caudal maxillary cheek teeth from a horse with severe generalized peripheral caries and secondary fractures and periodontal disease associated with feeding an almost total processed maize diet.

image

Fig. 10.38 These incisors (from a horse on the same diet as the horse in Fig. 10.37) have multiple fractures due to generalized dental caries that was associated with feeding very high levels of a processed maize diet.

It is also likely that some individual horses are predisposed to peripheral dental caries. There is minimal published knowledge on the normal bacteriology of the equine mouth and even less on the bacteria that incite dental caries formation, and this is an area that needs urgent investigation.72,73

Dental fractures

Traumatic dental fractures

Although the teeth of horses are largely composed of equine type-2 enamel that is relatively fracture resistant, traumatic dental fractures, particularly of the incisors, are relatively common in horses, due to external trauma such as kicks, crib-biting, biting hard objects, and collisions with solid objects, e.g., gates, fences and walls.74 Dixon et al11 found that 8 of 11 referred cases with incisor fracture were caused by trauma. Equine CT are composed of high levels of hard but brittle equine type-1 enamel, with higher proportions of type-1 enamel in equine maxillary than mandibular CT.75 Nevertheless, traumatic equine fractures of CT are less common than incisor fractures due to their anatomical protection (especially of maxillary and caudal mandibular CT). Only 8 % of horses referred because of CT disorders had traumatic fractures, with the majority (71 %) being mandibular CT fractures, with kick injuries and iatrogenic fractures (use of dental shears) being the most common causes of fracture. Traumatic CT fractures are usually accompanied by mandibular or maxillary bone fractures, which are covered in Chapter 9. Some fractured teeth can be preserved by endodontic therapy, as covered in Chapter 22.

Idiopathic cheek teeth fractures

The majority of equine CT fractures have no known history of trauma and have been classified as idiopathic CT fractures.76 These fractures can be subtle and are sometimes not detected on oral examination. Nevertheless, with training they can commonly be found, with one practice-based survey indicating a median prevalence of 0.4 % of idiopathic fractures in a mixed population of horses.77 The clinical signs most commonly seen with dental fractures are quidding, followed by bitting and behavioral problems, and halitosis.76,78 Some horses, especially those with smaller slab fractures, can be asymptomatic, and the fractures are only noted during routine dental examinations.77 A pathological study of 35 CT with idiopathic fractures found that maxillary CT (in particular the maxillary 09s) were more commonly involved than mandibular CT, and a similar distribution was found in both general practice and referral clinic surveys,77,78 and in a pathological survey,76 but the reason for this pattern is unknown. The most common fracture patterns in idiopathic CT fractures are lateral slab fractures through the two lateral (buccal) pulp cavities,7678 possibly because the mineralized dental tissues are thinner at the sites of the pulp horns and, therefore, the CT are weakest at this point76 (Figs 10.39 & 10.40).

image

Fig. 10.39 Common patterns of idiopathic mandibular cheek teeth fractures. R, rostral; C, caudal; B, buccal; L, lingual. The most common fracture pattern (red lines) runs through the two pulp chambers on the buccal aspect of the tooth.

(Reproduced from Dacre et al76 with permission of The Equine Journal.)

image

Fig. 10.40 Common patterns of idiopathic maxillary cheek teeth fractures. R, rostral; C, caudal; B, buccal; P, palatal. The two most common fracture patterns run through the two pulp chambers on the buccal aspect of the tooth (red lines) and through the infundibula (green lines). A variety of other fracture patterns can also occur through the other pulp horns (purple lines).

(Dacre et al76 with permission from The Equine Journal.)

A common fracture pattern in maxillary CT is a midline sagittal fracture through both infundibula in the CT with infundibular caries that, as noted, is believed to be predisposed by infundibular cemental hypoplasia.76

Histological quantitative measurements of dentin showed reduced thickness of dentin in 25 % of CT with idiopathic fractures, indicating prior pathological changes to pulp. Consequently, the resultant thinner dentin mechanically predisposes to fracture development in these particular CT.76 Dental pulps are inevitably involved in all (maxillary and mandibular) idiopathic fractures, including the smaller maxillary CT ‘slab’ fractures.7678 However, many lateral slab fractures, in particular, have been shown to clinically resolve without development of clinical apical infections,13 indicating that the resultant pulpitis remains low grade or that the underlying pulp has been sealed off from the fracture site by the deposition of tertiary dentin.79 Many such fractured CT that survive following an idiopathic fracture have long-term radiographic changes to their apical regions, and additionally have scintigraphic changes to this region (at least for some months following the development of fractures), indicating a widespread, but subclinical endodontic response to these CT fractures.

A proportion of fractured CT develop pulpar infection that extends to affect the apex clinically, with the resultant clinical signs depending on which tooth is involved (Figs 10.41 & Fig 10.42). Such clinical signs are common with maxillary CT midline sagittal fractures and mandibular CT fractures, and such CT require dental extraction. In other CT, mobility of one or more fragments causes periodontal stretching and pain during quidding until smaller dental fragments are spontaneously shed or until they are extracted. Other fractured CT develop food impaction into the fracture site causing lateral or, less commonly, medial displacement of the more mobile, smaller fracture segment that causes soft tissue (usually buccal) ulceration and resultant quidding. Removal of the displaced fracture segment is indicated. Prevention of dental fractures secondary to infundibular caries has been attempted (especially in horses with pre-existing CT fractures) by removal of carious infundibular cementum and filling the infundibular defect with endodontic restorative materials, but objective research on this treatment needs to be performed to determine its value.

image

Fig. 10.41 Advanced caries of pulp horn 3 (3) which extends into pulp horn 5 (5) in this fractured mandibular CT. This fractured tooth was extracted orally and crush marks from the extraction forceps are seen on the buccal face of its clinical crown. Note the hyperplastic peripheral cementum on the reserve crown that has been laid down in response to the apical abcess present.

image

Fig. 10.42 A scanning electron micrograph of primary carious dentin present on a mandibular CT following a dental fracture. Note the fenestrated appearance of the carious dentinal tubules.

Equine odontoclastic tooth resorption and hypercementosis (EOTRH)

Recently, an uncommon disorder of incisor and canine teeth of aged horses, causing periodontitis, with resorptive or proliferative changes of the calcified dental tissue has been described by Klugh,80 Baratt,81 Caldwell,82 and Kreutzer et al.83 A pathological study of this disorder by Staszyk et al84 resulted in the disease being termed equine odontoclastic tooth resorption and hypercementosis (EOTRH). No plausible etiopathogenesis for this apparent immune-mediated syndrome has been described. The study by Staszyk et al84 found the disorder to primarily affect the intra-alveolar aspect of the teeth and showed the presence of odontoclastic cells in affected teeth by using tartar resistant acid phosphatase staining. These odontoclastic cells cause resorptive lesions extending into cementum, enamel, dentin, and even into pulp, causing marked loss of normal architecture in some teeth. In several areas, the resorbed areas and unaffected dental surfaces had irregular cementum deposition by cells of the periodontal ligament that led to hypercementosis in some areas (Figs 10.43 & 10.44).84 The pulp chambers of some affected teeth had irregular cementum deposition over tertiary dentin lining the chambers. This disorder shares many features with similar dental syndromes described in people85,86 and cats,87,88 but in many affected horses, a massive proliferative hypercementosis of all incisors is the main feature,89 in contrast with the more destructive syndrome observed in human and feline teeth.

Fig. 10.43 (A) The incisors of this horse have extensive cemental deposition subgingivally, and some have sinus tracts (arrow) caused by EOTRH.

(Courtesy of Hojgard Hestehospital.)

image
image

(B) Radiograph of incisors of a 17-year-old pony that had marked gingival swelling without any sinus tracts, which shows very extensive hypercementosis of the reserve crowns of all incisors, with minimal destructive changes apparent.

(Courtesy of M. Parr.)

image

Fig. 10.44 (A) Toluidine blue-stained decalcified transverse section of the mid-tooth region of 103 of horse 5. Irregular cementum (irC) fills a deep resorptive lesion that extends into normal cementum (nC) and dentin (D). The border of the irregular cementum (irC) is marked by a reversal line (open arrowheads). Wavy incremental lines (black arrow heads) indicate irregular but phasic growth. This irregular cementum contains a large vascular channel (vc). (B) Subsequent serial section of above tooth stained with Picrosirius red showing concentric deposition of intrinsic collagen fibers around the vascular channel (vc). There is parallel arrangement of the extrinsic collagen fiber bundles (white arrow heads) within the normal cementum (nC). (C) Toluidine blue-stained decalcified transverse section of the mid-tooth region of 101 of horse 4. Irregular cementum (irC) deposited in a resorptive lesion. (Inset) The white arrow indicates an ongoing resorption process at the dentinal surface. igt: inflamed granulation tissue. (D) TRAP stained decalcified transverse mid-tooth section of a 101 of horse 4, showing TRAP-positive, multinucleated odontoclasts (Oc) lying in a Howship’s lacuna at the dentinal surface (D). Mononucleates, precursors of odontoclasts (arrows) are located at a short distance behind the resorption surface.

(Reproduced from Staszyk et al84 with permission of The Veterinary Journal.)

References

1 BEVA. British Equine Veterinary Association survey of equine diseases 1962–1963. Vet Rec. 1965;77:528–538.

2 Traub-Dargatz JL, Salman MD, Voss JL. Medical problems of adult horses, as ranked by equine practitioners. J Am Vet Med Assoc. 1991;198(10):1745–1747.

3 Uhlinger C. Survey of selected dental abnormalities in 233 horses. Proceedings of the 33rd AAEP Annual Convention. 1987;33:577–583.

4 Honma K, Yamakawa M, Yamauchi S, Hosoya S. Statistical study on the occurrence of dental caries of domestic animal: I. Horse. Japanese Journal of Veterinary Research. 1962;10:31–36.

5 Kirkland KD, Marretta SM, Inoue OJ, Baker GJ. Survey of equine dental disease and associated oral pathology. Proceedings of the 40th AAEP Annual Convention. 1994;40:119–120.

6 Wafa NS, A study of dental disease in the horse. MVM Thesis, University College Dublin, Dublin, 1988. p. 188

7 du Toit N, Gallagher J, Burden FA, Dixon PM. Post mortem survey of dental disorders in 349 donkeys from an aged population (2005–2006). Part 1: prevalence of specific dental disorders. Equine Vet J. 2008;40:204–208.

8 Penzhorn BL. Dental abnormalities in free-ranging Cape mountain zebras (Equus zebra zebra). Journal of Wildlife Diseases. 1984;20:161–166.

9 Baker GJ. Some aspects of equine dental disease. Equine Vet J. 1970;2:105–110.

10 Dixon PM, Tremaine WH, Pickles K, et al. Equine dental disease part 4: a long-term study of 400 cases: apical infections of cheek teeth. Equine Vet J. 2000;32:182–194.

11 Dixon PM, Tremaine WH, Pickles K, et al. Equine dental disease part 1: a long-term study of 400 cases: disorders of incisor, canine and first premolar teeth. Equine Vet J. 1999;31:369–377.

12 Dixon P, Tremaine WH, Pickles K, et al. Equine dental disease part 2: a long-term study of 400 cases: disorders of development and eruption and variations in position of the cheek teeth. Equine Vet J. 1999;31:519–528.

13 Dixon PM, Tremaine WH, Pickles K, et al. Equine dental disease part 3: A long-term study of 400 cases: disorders of wear, traumatic damage and idiopathic fractures, tumours and miscellaneous disorders of the cheek teeth. Equine Vet J. 2000;32:9–18.

14 Brigham EJ, Duncanson GR. An equine postmortem dental study: 50 cases. Equine Veterinary Education. 2000;12:59–62.

15 du Toit N, Burden FA. Dixon PM. Clinical dental examinations of 357 donkeys in the UK. Part 1: Prevalence of dental disorders. Equine Vet J. 2009;41(4):390–394.

16 Hillson S. Teeth. Cambridge: Cambridge University Press; 1986. pp 176–186, 214–215

17 O’Connor JJ. Dollar’s Veterinary Surgery: general, operative and regional, 4th edn. London: Baillière, Tindall and Cox; 1950. pp 590–603

18 Bonin SJ, Clayton HM, Lanovaz JL, Johnson TJ. Kinematics of the equine temporomandibular joint. American Journal of Veterinary Research. 2006;67:423–428.

19 Capper SR. The effects of feed types on ingestive behaviour in different horse types, in BSc Edinburgh. University of Edinburgh; 1992. p. 160

20 Bonin SJ, Clayton HM, Lanovaz JL, Johnston T. Comparison of mandibular motion in horses chewing hay and pellets. Equine Vet J. 2007;39:258–262.

21 Frape D. Equine nutrition and feeding, 3rd edn. Oxford: Blackwell; 2004. pp 1–3

22 Becker E. Handbuch der speziellen pathologischen anatomie der haustiere, 3rd edn. Berlin: Verlag Paul Parey; 1962.

23 Du Toit N, Burden F, Dixon PM. Clinical dental findings in 203 donkeys in Mexico. Vet J. 2008;178:380–386.

24 Tell A, Egenvall A, Lundström T, Wattle O. The prevalence of oral ulceration in Swedish horses when ridden with a bit and bridle and without. Vet J. 2008;178:405–410.

25 Baker GJ. Dental morphology, function and pathology. Proceedings of the 37th AAEP Annual Convention. 1991;37:83–93.

26 Brown SL, Arkin S, Shaw DJ, Dixon P. Occlusal angles of cheek teeth in normal horses and horses with dental disease. Vet Rec. 2008;162:807–810.

27 Kirkland KD, Baker GJ, Manfra Marretta S, et al. Effects of aging on the endodontic system, reserve crown, and roots of equine mandibular cheek teeth. Am J Vet Res. 1996;57:31–38.

28 Dixon PM, Dacre I. A review of equine dental disorders. Vet J. 2005;169:165–187.

29 du Toit N, Burden FA, Dixon PM. Clinical dental examinations of 357 donkeys in the UK. Part 2: Epidemiological studies on the potential relationships between different dental disorders, and between dental disease and systemic disease. Equine Vet J. 2009;41(4):395–400.

30 du Toit N, Gallagher J, Burden FA, Dixon PM. Post mortem survey of dental disorders in 349 donkeys from an aged population (2005–2006). Equine Vet J. 2008;40:209–213.

31 Townsend N, Dixon PM, Barakzai S. Evaluation of the long term consequences of equine exodontia in 50 horses. Vet J. 2008;178(3):419–424.

32 Lowder MQ, Mueller PO. Dental disease in geriatric horses. Veterinary Clinics of North America Equine Practice. 1998;14:365–380.

33 Dixon PM, The gross, histological, and ultrastructural anatomy of equine teeth and their relationship to disease. Proceedings of the 48th AAEP Annual Convention, 2002, pp 421–437

34 Collins SN, Dixon PM. Diagnosis and management of equine diastemata. Clinical Techniques in Equine Practice. 2005;4:148–154.

35 Dixon PM, Cheek teeth diastemata and impactions. Proceedings of the AAEP/BEVA Dental focus meeting. Indianapolis, 2006,

36 Dixon PM, Barakzai S, Collins N, Yates J. Treatment of equine cheek teeth by mechanical widening of diastemata in 60 horses (2000–2006). Equine Vet J. 2008;40:22–28.

37 Dacre IT. Equine dental pathology. In: Baker GJ, Easley KJ. Equine dentistry. 2nd edn. Elsevier; 2005:91–110.

38 Carmalt JL. Understanding equine diastema. Equine Veterinary Education. 2003;15:34–35.

39 Barakzai S, Dixon PM. A study of open-mouthed oblique radiographic projections for evaluating lesions of the erupted (clinical) crown. Equine Veterinary Education. 2003;15:143–148.

40 Miles AEW, Grigson C. Coyler’s variations and diseases of the teeth of animals. Cambridge: Cambridge University Press; 1990. p. 672

41 Hofmeyr CFB. Comparative dental pathology (with particular reference to caries and paradontal disease in the horse and the dog). Journal of the South African Veterinary Medical Association. 1960;31:471–480.

42 Wiggs RB, Lobprise HB. Periodontology. In: Wiggs RB, Lobprise HB. Veterinary dentistry: Principles & practice. Philadelphia: Lippincott-Raven; 1997:186–231.

43 Cutress TW, Healy WB. Calcified deposits on sheep incisor teeth. Journal of Dental Research. 1967;46:1363–1367.

44 Spence JA, Aitchison GU, Fraser J. Development of periodontal disease in a single flock of sheep: clinical signs, morphology of subgingival plaque and influence of antimicrobial agents. Research Veterinary Science. 1988;45:324–331.

45 Ingham B. Abattoir survey of dental defects in cull cows. Vet Rec. 2001;148(24):739–742.

46 Little WL. Periodontal disease in the horse. Journal of Comparative Pathology. 1913;26:241–249.

47 Dacre IT, A pathological, histological and ultrastructural study of diseased equine cheek teeth. PhD Thesis, University of Edinburgh, Edinburgh, 2005. p. 324

48 Soames JV, Southam JC. Oral pathology, 2nd edn. Oxford: Oxford University Press; 1993. p. 322

49 Dacre IT, Kempson SA, Dixon PM. Pathological studies of cheek teeth apical infections in the horse. Part 1: Normal endodontic anatomy and dentinal structure of equine cheek teeth. Vet J. 2008;178:311–320.

50 Nanci A. Dentin-Pulp complex. In: Nanci A, ed. Ten Cate’s Oral histology: development, structure and function. St Louis: Mosby; 2003:192–239.

51 Shaw DJ, Dacre IT, Dixon PM. Pathological studies of cheek teeth apical infections in the horse. Part 2: Quantitative measurements in normal equine dentine. Vet J. 2008;178:321–332.

52 Lane JG. A review of dental disorders of the horse, their treatment and possible fresh approaches to management. Equine Veterinary Education. 1994;6:13–21.

53 Dacre IT, Shaw DJ, Dixon PM. Pathological studies of cheek teeth apical infections in the horse. Part 3: Quantitative measurements of dentine in apically infected cheek teeth. Vet J. 2008;178:333–340.

54 Dacre IT, Kempson SA, Dixon PM. Pathological studies of cheek teeth apical infections in the horse. Part 4: Aetiopathological findings in 41 apically infected mandibular cheek teeth. Vet J. 2008;178:341–351.

55 Dacre IT, Kempson SA, Dixon PM. Pathological studies of cheek teeth apical infections in the horse. Part 5: Aetiopathological findings in 57 apically infected maxillary cheek teeth and histological and ultrastructural findings. Vet J. 2008;178:352–363.

56 van den Eden MAD, Dixon PM. Prevalence of occlusal pulpar exposure in 110 equine cheek teeth with apical infections and idiopathic fractures. Vet J. 2008;178:364–371.

57 Henninger W, Frame EM, Willman M, et al. CT features of alveolitis and sinusitis in horses. Veterinary Radiology Ultrasound. 2003;44:269–276.

58 Kilic S, Dixon PM, Kempson SA. A light microscopic and ultrastructural examination of calcified dental tissues of horses: 3. Dentine. Equine Vet J. 1997;29(3):206–212.

59 du Toit N, Burden FA, Kempson SA, Dixon PM. Pathological investigation of caries and occlusal pulpar exposure in donkey cheek teeth using computerised axial tomography with histological and ultrastructural examinations. Vet J. 2008;178:387–395.

60 Dixon PM. How do periapical infections develop in the horse?. Birmingham: Fifth World Veterinary Dental Congress; 1997. pp 130–134

61 Masset A, Staszyk C, Gasse H. The blood vessel system in the periodontal ligament of the equine cheek teeth–part I: The spatial arrangement in layers. Ann Anat. 2006;188(6):529–533.

62 Tremaine WH. Dental endoscopy in the horse. Clinical Techniques in Equine Practice. 2005;4:181–187.

63 Simhofer H, Gross R, Zetner K. The use of oral endoscopy for the detection of cheek teeth abnormalities in 300 horses. Vet J. 2008;178:396–404.

64 Wiggs RB, Lobprise HB. Clinical oral pathology. In: Wiggs RB, Lobprise HB. Veterinary dentistry: principles and practice. Philadelphia: Lippincott-Raven; 1997:112–116.

65 Kilic S, Dixon PM, Kempson SA. A light microscopic and ultrastructural examination of calcified dental tissues in horses: 4. Cement and the amelocemental junction. Equine Vet J. 1997;29:213–219.

66 Colyer JF. Variations and diseases of the teeth of horses. Transaction of the odontological society of Great Britain. 1906;38:42–74.

67 Baker GJ. Some aspects of equine dental decay. Equine Vet J. 1974;6:127–130.

68 Fitzgibbons C, du Toit N, Dixon PM. Anatomical studies of equine cheek teeth infundibulae. Equine Vet J. 2010;42:37–43.

69 Frank RM. Structural events in the caries process in enamel, cementum, and dentin. Acta Zoologica Fennica. 1990;180:1–76.

70 Baker GJ. Dental disease in horses. In practice: Journal of Veterinary Postgraduate Clinical Study. 1997;1:19–25.

71 Easley KJ. Recognition and management of the diseased equine tooth. Proceedings of the 37th American Association of Equine Practitioners Annual Convention. 1991;37:129–139.

72 du Toit N, Equine peripheral and generalised caries – are they really a problem?. Proceedings of the 46th BEVA Congress Edinburgh, 2007, pp 367–368

73 Lundstrom TS, Dahlen GG, Wattle OS. Caries in the infundibulum of the second upper premolar tooth in the horse. Acta Veterinary Scandinavia. 2007;28:10.

74 Hague BA, Honnas CM. Traumatic dental disease and soft tissue injuries of the oral cavity. Veterinary Clinics of North America Equine Practice. 1998;14:333–347.

75 Kilic S, Dixon PM, Kempson SA. A light microscopic and ultrastructural examination of calcified dental tissues of horses: 2. Ultrastructural enamel findings. Equine Vet J. 1997;29:298–305.

76 Dacre I, Kempson SA, Dixon PM. Equine idiopathic cheek teeth fractures. Part 1: pathological studies on 35 fractured cheek teeth. Equine Vet J. 2007;39:310–318.

77 Taylor L, Dixon PM. Equine idiopathic cheek teeth fractures. Part 2: a practice based survey of 147 affected horses in Britain and Ireland. Equine Vet J. 2007;39:322–326.

78 Dixon PM, Barakzai S, Collins NM, Yates J. Equine idiopathic cheek teeth fractures. Part 3: A hospital based survey of 68 referred horses (1999–2005). Equine Vet J. 2007;39:327–332.

79 Magloire H, Joffre A, Bleicher F. An in vitro model of human dental pulp repair. J Dent Res. 1996;75(12):1971–1978.

80 Klugh DO. Incisor and canine periodontal disease. In: Proceedings of the 18th Annual Veterinary Dental Forum. USA: Fort Worth; 2004:166–169.

81 Baratt RM. Equine incisor resorptive lesions. In: Proceedings of the 21st Annual Veterinary Dental Forum. USA: Minneapolis; 2007:23–30.

82 Caldwell LA. Clinical features of chronic disease of the anterior dentition in horses. In: Proceedings of the 21st Annual Veterinary Dental Forum. USA: Minneapolis; 2007:18–21.

83 Kreutzer R, Wohlsein P, Staszyk C, Nowak M, Sill V, Baumgartner W. Dental benign cementomas in three horses. Vet Pathol. 2007;44:533–536.

84 Stazyk C, Bienert A, Kreutzer R, Wohlsein P, Simhofer H. Equine odondoclastic tooth resorption and hypercementosis. Vet J. 2008;178:372–379.

85 Moody GH, Muir KF. Multiple idiopathic root resorption. A case report and discussion of pathogenesis. Journal of Clinical Periodontology. 1991;18:577–580.

86 Schätzle M, Tanner SD, Bosshardt DD. Progressive, generalized, apical idiopathic root resorption and hypercementosis. J Periodontol. 2005;76:2002–2011.

87 Gorrel C, Larsson A. Feline odontoclastic resorptive lesions: unveiling the early lesion. Journal of Small Animal Practice. 2002;43:482–488.

88 Reiter AM, Mendoza KA. Feline odontoclastic resorptive lesions an unsolved enigma in veterinary dentistry. Veterinary Clinics of North America Small Animal Practice. 2002;32:791–837.

89 Gregory RC, Fehr J, Bryant J. Chronic incisor periodontal disease with cemental hyperplasia and hypoplasia in horses. Proceedings of the AAEP/BEVA Dental focus meeting. Indianapolis, 2006