Tumors of the Myometrium

LEIOMYOMAS

Uterine leiomyomas (commonly called fibroids) are perhaps the most common tumor in women. They are benign smooth muscle neoplasms that may occur singly, but most often are multiple. Most leiomyomas have normal karyotypes, but approximately 40% have a simple chromosomal abnormality. Several cytogenetic subgroups have been recognized: a balanced translocation between chromosomes 12 and 14 (i.e., t(12;14)(q14–q15;q23–q24)), partial deletions of the long arm of chromosome 7 (i.e., del(7)(q22–q32)), trisomy 12, and rearrangements of 6p, 3q, and 10q. The rearrangements of 12q14 and 6p involving the HMGIC and HMGIY genes, respectively, which are also implicated in a variety of other benign neoplasms. Both genes encode closely related DNA-binding factors that regulate chromatin structure.66,67

Morphology. Leiomyomas are sharply circumscribed, discrete, round, firm, gray-white tumors varying in size from small, barely visible nodules to massive tumors that fill the pelvis. Except in rare instances, they are found within the myometrium of the corpus. Only infrequently do they involve the uterine ligaments, lower uterine segment, or cervix. They can occur within the myometrium (intramural), just beneath the endometrium (submucosal) (Fig. 22-32A; see also Fig. 22-23D), or beneath the serosa (subserosal).

image

FIGURE 22-32 A, Leiomyomas of the myometrium. The uterus is opened to reveal multiple tumors in submucosal (bulging into the endometrial cavity), intramural, and subserosal locations that display a firm white appearance on sectioning. B, Leiomyoma showing well-differentiated, regular, spindle-shaped smooth muscle cells associated with hyalinization.

Whatever their size, the characteristic whorled pattern of smooth muscle bundles on cut section usually makes these lesions readily identifiable on gross inspection. Large tumors may develop areas of yellow-brown to red softening (red degeneration).

On histologic examination, the leiomyoma is composed of whorled bundles of smooth muscle cells that resemble the uninvolved myometrium (Fig. 22-32B). Usually, the individual muscle cells are uniform in size and shape and have the characteristic oval nucleus and long, slender bipolar cytoplasmic processes. Mitotic figures are scarce. Benign variants of leiomyoma include atypical or bizarre (symplastic) tumors with nuclear atypia and giant cells, and cellular leiomyomas. Importantly, both have a low mitotic index. An extremely rare variant, benign metastasizing leiomyoma, consists of a uterine tumor that extends into vessels and migrates to other sites, most commonly the lung. Another variant, disseminated peritoneal leiomyomatosis, presents as multiple small nodules on the peritoneum. Both are considered benign despite their unusual behavior.

Leiomyomas of the uterus, even when they are extensive, may be asymptomatic. The most important symptoms are abnormal bleeding, compression of the bladder (urinary frequency), sudden pain if disruption of blood supply occurs, and impaired fertility. Myomas in pregnant women increase the frequency of spontaneous abortion, fetal malpresentation, uterine inertia, and postpartum hemorrhage. Malignant transformation (leiomyosarcoma) within a leiomyoma is extremely rare.

LEIOMYOSARCOMAS

These uncommon malignant neoplasms arise de novo from the myometrium or endometrial stromal precursor cells. In contrast to leiomyomas, leiomyosarcomas have complex, highly variable karyotypes that frequently include deletions.68

Morphology. Leiomyosarcomas grow within the uterus in two somewhat distinctive patterns: bulky, fleshy masses that invade the uterine wall, or polypoid masses that project into the uterine lumen (Fig. 22-33A). On histologic examination, they contain a wide range of atypia, from those that are extremely well differentiated to highly anaplastic, pleomorphic lesions (Fig. 22-33B). The distinction from leiomyomas is based on nuclear atypia, mitotic index, and zonal necrosis. With few exceptions, the presence of 10 or more mitoses per 10 high-power (400×) fields indicates malignancy, particularly if accompanied by cytologic atypia and/or necrosis. If the tumor contains nuclear atypia or large (epithelioid) cells, 5 mitoses per 10 high-power (400×) fields are sufficient to justify a diagnosis of malignancy.69 Rare exceptions include mitotically active leiomyomas in young or pregnant women, and caution should be exercised in interpreting such neoplasms as malignant. A proportion of smooth muscle neoplasms may be impossible to classify and are called smooth muscle tumors of “uncertain malignant potential.”69

image

FIGURE 22-33 Leiomyosarcoma. A, A large hemorrhagic tumor mass distends the lower corpus and is flanked by two leiomyomas. B, The tumor cells are irregular in size and have hyperchromatic nuclei with numerous mitotic figures (arrows).

Leiomyosarcomas are equally common before and after menopause, and have a peak incidence at 40 to 60 years of age. These tumors have a striking tendency to recur after removal, and more than half eventually metastasize through the bloodstream to distant organs, such as lungs, bone, and brain. Dissemination throughout the abdominal cavity is also encountered. The 5-year survival rate averages about 40%. The welldifferentiated lesions have a better prognosis than the anaplastic lesions, which have a 5-year survival rate of only 10% to 15%.69

FALLOPIAN TUBES

The most common disorders in these structures are infections leading to inflammatory conditions, followed in frequency by ectopic (tubal) pregnancy (see discussion later in this chapter) and endometriosis.

Inflammations

Suppurative salpingitis may be caused by any of the pyogenic organisms; often more than one is involved. The gonococcus still accounts for more than 60% of cases of suppurative salpingitis, with chlamydiae less often a factor. These tubal infections are a part of pelvic inflammatory disease, described earlier in this chapter.

Tuberculous salpingitis is extremely uncommon in the United States and accounts for probably not more than 1% to 2% of all forms of salpingitis. It is more common, however, in parts of the world where tuberculosis is prevalent and is an important cause of infertility in these areas.

Tumors and Cysts

The most common primary lesions of the fallopian tube (excluding endometriosis) are minute, 0.1- to 2-cm translucent cysts filled with clear serous fluid, called paratubal cysts. Larger varieties are found near the fimbriated end of the tube or in the broad ligaments and are referred to as hydatids of Morgagni. These cysts are presumed to arise in remnants of the müllerian duct and are of little significance.

Tumors of the fallopian tube are uncommon. Benign tumors include adenomatoid tumors (mesotheliomas), which occur subserosally on the tube or sometimes in the mesosalpinx. These small nodules are the exact counterparts of those already described in relation to the testes or epididymus (Chapter 21) and are benign. Primary adenocarcinoma of the fallopian tubes is rare and is defined as an adenocarcinoma with a dominant tubal mass and luminal and mucosal involvement. These tumors are detected by pelvic examination, abnormal discharge, or bleeding, and occasionally, cervical cytology. Approximately one half are stage I at diagnosis, but nearly 40% of these patients do not survive 5 years. Higher stage tumors have a poorer prognosis.70 Patients are typically managed with ovarian cancer chemotherapy protocols. Recently, occult carcinoma of the fallopian tube has been associated with germline BRCA mutations, as discussed below.71

OVARIES

The most common types of lesions encountered in the ovary include functional or benign cysts and tumors. Intrinsic inflammations of the ovary (oophoritis) are uncommon, and usually accompany tubal inflammation. Rarely, a primary inflammatory disorder involving ovarian follicles (autoimmune oophoritis) occurs and is associated with infertility. The ovary has three main histologic compartments: (1) the surface müllerian epithelium, (2) the germ cells, and (3) the sex cord–stromal cells. Each compartment gives rise to distinct non-neoplastic and neoplastic entities, as discussed below.

Non-Neoplastic and Functional Cysts

FOLLICLE AND LUTEAL CYSTS

Cystic follicles in the ovary are so common that they are considered virtually normal. They originate in unruptured graafian follicles or in follicles that have ruptured and immediately sealed.

Morphology. These cysts are usually multiple. They range in size up to 2 cm in diameter, are filled with a clear serous fluid, and are lined by a gray, glistening membrane. On occasion, larger cysts exceeding 2 cm (follicle cysts) may be diagnosed by palpation or ultrasonography; these may cause pelvic pain. Granulosa lining cells can be identified histologically if the intraluminal pressure has not been too great. The outer theca cells may be conspicuous due to increased amounts of pale cytoplasm (luteinized). As discussed subsequently, when this alteration is pronounced (hyperthecosis), it may be associated with increased estrogen production and endometrial abnormalities.

Granulosa luteal cysts (corpora lutea) are normally present in the ovary. These cysts are lined by a rim of bright yellow tissue containing luteinized granulosa cells. They occasionally rupture and cause a peritoneal reaction. Sometimes the combination of old hemorrhage and fibrosis may make their distinction from endometriotic cysts difficult.

POLYCYSTIC OVARIES AND STROMAL HYPERTHECOSIS

Polycystic ovarian disease (PCOD; formerly termed SteinLeventhal syndrome) affects 3% to 6% of reproductive-age women. The central pathologic abnormality is numerous cystic follicles or follicle cysts, often associated with oligomenorrhea. Women with PCOD have persistent anovulation, obesity (40%), hirsutism (50%), and, rarely, virilism.72,73

Morphology. The ovaries are usually twice normal size and have a smooth, gray-white outer cortex studded with subcortical cysts 0.5 to 1.5 cm in diameter. On histologic examination, there is a thickened, fibrotic superficial cortex beneath which are innumerable follicle cysts associated with hyperplasia of the theca interna (follicular hyperthecosis) (Fig. 22-34). Corpora lutea are frequently but not invariably absent.

image

FIGURE 22-34 Polycystic ovarian disease and cortical stromal hyperplasia. A, The ovarian cortex reveals numerous clear cysts. B, Sectioning of the cortex reveals several subcortical cystic follicles. C, Cystic follicles seen in a low-power microphotograph. D, Cortical stromal hyperplasia manifests as diffuse stromal proliferation with symmetric enlargement of the ovary.

The initiating event in PCOD is not clear. Increased secretion of luteinizing hormone may stimulate the theca-lutein cells of the follicles, to produce excessive androgen (androstenedione), which is converted to estrone. For years, these endocrine abnormalities were attributed to primary ovarian dysfunction because large wedge resections of the ovaries sometimes restored fertility. It is now believed that a variety of enzymes involved in androgen biosynthesis are poorly regulated in PCOD. Recent studies link PCOD, like type 2 diabetes, to insulin resistance. Treatment of the insulin resistance sometimes results in resumption of ovulation.74

Stromal hyperthecosis, also called cortical stromal hyperplasia, is a disorder of ovarian stroma most commonly seen in postmenopausal women, but it may blend with PCOD in younger women. The disorder is characterized by uniform enlargement of the ovary (up to 7 cm), which has a white to tan appearance on sectioning. The involvement is usually bilateral and microscopically shows hypercellular stroma and luteinization of the stromal cells, which are visible as discrete nests of cells with vacuolated cytoplasm. The clinical presentation and effects on the endometrium are similar to those of PCOD, although virilization may be striking.72

A physiologic condition mimicking the above syndromes is theca lutein hyperplasia of pregnancy. In response to pregnancy hormones (gonadotropins), proliferation of theca cells and expansion of the perifollicular zone occurs. As the follicles regress, the concentric theca-lutein hyperplasia may appear nodular. This change is not to be confused with true luteomas of pregnancy (see below).

Ovarian Tumors

There are numerous types of ovarian tumors, and overall they fall into benign, borderline, and malignant categories. About 80% are benign, and these occur mostly in young women between the ages of 20 and 45 years. Borderline tumors occur at slightly older ages. Malignant tumors are more common in older women, between the ages of 45 and 65 years. Ovarian cancer accounts for 3% of all cancers in females and is the fifth most common cause of death due to cancer in women in the United States. Among cancers of the female genital tract, the incidence of ovarian cancer ranks below only carcinoma of the cervix and the endometrium. In addition, because most ovarian cancers are detected when they have spread beyond the ovary, they account for a disproportionate number of deaths from cancer of the female genital tract.

Classification.

The classification of ovarian tumors given in Table 22-5 and Figure 22-35 is a simplified version of the World Health Organization Histological Classification, which separates ovarian neoplasms according to the most probable tissue of origin. It is now believed that tumors of the ovary arise ultimately from one of three ovarian components: (1) surface epithelium derived from the coelomic epithelium; (2) the germ cells, which migrate to the ovary from the yolk sac and are pluripotent; and (3) the stroma of the ovary, including the sex cords, which are forerunners of the endocrine apparatus of the postnatal ovary. There is also a group of tumors that defy classification, and finally there are secondary or metastatic tumors to the ovary.

TABLE 22-5 WHO Classification of Ovarian Neoplasms

SURFACE EPITHELIAL-STROMAL TUMORS
Serous tumors
Benign (cystadenoma)
Borderline tumors (serous borderline tumor)
Malignant (serous adenocarcinoma)
Mucinous tumors, endocervical-like and intestinal type
Benign (cystadenoma)
Borderline tumors (mucinous borderline tumor)
Malignant (mucinous adenocarcinoma)
Endometrioid tumors
Benign (cystadenoma)
Borderline tumors (endometrioid borderline tumor)
Malignant (endometrioid adenocarcinoma)
Clear cell tumors
Benign
Borderline tumors
Malignant (clear cell adenocarcinoma)
Transitional cell tumors
Brenner tumor
Brenner tumor of borderline malignancy
Malignant Brenner tumor
Transitional cell carcinoma (non-Brenner type)
Epithelial-stromal
Adenosarcoma
Malignant mixed müllerian tumor
SEX CORD–STROMAL TUMORS
Granulosa tumors
Fibromas
Fibrothecomas
Thecomas
Sertoli cell tumors
Leydig cell tumors
Sex cord tumor with annular tubules
Gynandroblastoma
Steroid (lipid) cell tumors
GERM CELL TUMORS
Teratoma
Immature
Mature
Solid
Cystic (dermoid cyst)
Monodermal (e.g., struma ovarii, carcinoid)
Dysgerminoma
Yolk sac tumor (endodermal sinus tumor)
Mixed germ cell tumors
MALIGNANT, NOT OTHERWISE SPECIFIED
METASTATIC CANCER FROM NONOVARIAN PRIMARY
Colonic, appendiceal
Gastric
Breast
image

FIGURE 22-35 Derivation of various ovarian neoplasms and some data on their frequency and age distribution.

Although some of the specific tumors have distinctive features and are hormonally active, most are nonfunctional and tend to produce relatively mild symptoms until they reach a large size. Malignant tumors have usually spread outside the ovary by the time a definitive diagnosis is made. Some of these tumors, principally epithelial tumors, tend to be bilateral. Table 22-6 lists the tumors and their subtypes. Abdominal pain and distention, urinary and gastrointestinal tract symptoms due to compression by the tumor or cancer invasion, and vaginal bleeding are the most common symptoms. The benign forms may be entirely asymptomatic and occasionally are found unexpectedly on abdominal or pelvic examination or during surgery.

TABLE 22-6 Frequency of Major Ovarian Tumors

Type Percentage of Malignant Ovarian Tumors Percentage That Are Bilateral
Serous
Benign (60%)   25
Borderline (15%) 30
Malignant (25%) 45 65
Mucinous
Benign (80%)   5
Borderline (10%) 10
Malignant (10%) 5 <5
Endometrioid carcinoma 20 40
Undifferentiated carcinoma 10
Clear cell carcinoma 6 40
Granulosa cell tumor 5 5
Teratoma 15
Benign (96%)
Malignant (4%) 1 Rare
Metastatic 5 >50
Others 3

TUMORS OF SURFACE (MÜLLERIAN) EPITHELIUM

Most primary neoplasms in the ovary fall within this category. The classification of epithelial tumors of the ovary is based on both differentiation and extent of proliferation of the epithelium. There are three major histologic types based on the differentiation of the neoplastic epithelium: serous, mucinous, and endometrioid tumors.75 The extent of epithelial proliferation is associated with the biologic behavior of the tumor and is classified as benign (minimal epithelial proliferation), borderline (moderate epithelial proliferation), and malignant (marked epithelial proliferation with stromal invasion). The benign tumors are often further classified based on the components of the tumors, which may include cystic areas (cystadenomas), cystic and fibrous areas (cystadenofibromas), and predominantly fibrous areas (adenofibromas). The borderline tumors and the malignant tumors can also have a cystic component, and when malignant they are sometimes referred to as cystadenocarcinomas. The tumors can be relatively small, or they can grow to fill the entire pelvis before they are detected.

The origin of ovarian epithelial tumors is, at present, unresolved. This is in large part because most tumors are detected relatively late, interfering with the identification of a precursor lesion. The most widely accepted theory for the derivation of müllerian epithelial tumors is the transformation of coelomic epithelium. This view is based on the embryologic pathway by which the müllerian ducts are formed from the coelomic epithelium and evolve into serous (tubal), endometrioid (endometrial), and mucinous (cervical) epithelia present in the normal female genital tract. Such tumors are thought to occur predominantly in the ovary, because coelomic epithelium is incorporated into the ovarian cortex to form epithelial inclusion cysts (also known as mesothelial, cortical, or germinal inclusion cysts) (Fig. 22-36). The exact mechanism by which the cysts develop is not known, but they are thought to result from invaginations of the surface epithelium that subsequently loses its connection to the surface.76 The cysts are most often lined by either mesothelial or tubal-type epithelium. The close association of ovarian carcinomas with either the ovarian surface epithelium or inclusion cysts may explain the development of extra-ovarian carcinomas of similar histology from coelomic epithelial rests (so-called endosalpingiosis) in the mesentery.75 However, this is clearly an oversimplification of the pathogenesis of ovarian cancer.

image

FIGURE 22-36 Cortical inclusion cysts of the ovary. These cysts appear to arise from the overlying mesothelium and are presumed to be the site of origin for many ovarian epithelial neoplasms.

Regardless of their specific origin(s), ovarian epithelial tumors composed of serous, mucinous, and endometrioid cell types are emblematic of the plasticity of müllerian epithelium and range from clearly benign to malignant tumors.75 Several recent studies have suggested that ovarian carcinomas may be broadly categorized into two different types based on pathogenesis: (1) those that arise in association with borderline tumors, and (2) those that arise as “de novo” carcinomas. Clinicopathologic studies have shown that well-differentiated serous, endometrioid, and mucinous carcinomas often contain areas of borderline tumors of the same epithelial cell type, whereas this association is rarely seen for moderately to poorly differentiated serous carcinoma or MMMTs. Recent molecular studies have provided support for this classification scheme, as will be discussed below in the relevant sections.

Serous Tumors

These common cystic neoplasms are lined by tall, columnar, ciliated and nonciliated epithelial cells and are filled with clear serous fluid. Although the term serous appropriately describes the cyst fluid, it has become synonymous with the tubal-like epithelium in these tumors. Together the benign, borderline, and malignant types account for about 30% of all ovarian tumors and just over 50% of ovarian epithelial tumors. About 70% are benign or borderline, and 30% are malignant. Serous carcinomas account for approximately 40% of all cancers of the ovary and are the most common malignant ovarian tumors. Benign and borderline tumors are most common between the ages of 20 and 45 years. Serous carcinomas occur later in life on average, though somewhat earlier in familial cases.

Molecular Pathogenesis.

Little is known about the risk factors for the development of the benign and borderline tumors. Risk factors for malignant serous tumors (serous carcinomas) are also much less clear than for other genital tumors, but nulliparity, family history, and heritable mutations play a role in tumor development.71,77 There is a higher frequency of carcinoma in women with low parity. Gonadal dysgenesis in children is associated with a higher risk of ovarian cancer. Women 40 to 59 years of age who have taken oral contraceptives or undergone tubal ligation have a reduced risk of developing ovarian cancer.78,79 The most intriguing risk factors are genetic. As discussed in Chapters 7 and 23, mutations in both BRCA1 and BRCA2 increase susceptibility to ovarian cancer.71,77 BRCA1 mutations occur in about 5% of patients younger than 70 years of age with ovarian cancer. The estimated risk of ovarian cancer in women bearing BRCA1 or BRCA2 mutations is 20% to 60% by the age of 70 years.77

Based on both clinicopathologic and molecular studies it has recently been proposed that serous ovarian carcinoma be divided into two major groups: (1) low-grade (welldifferentiated) carcinoma and (2) high-grade (moderately to poorly differentiated) carcinoma. This distinction can be made on the basis of nuclear atypia and correlates with patient survival.80 Some low-grade carcinomas arise in association with serous borderline tumors, while most high-grade carcinomas appear to arise “de novo” without a recognizable precursor lesion.81

Molecular studies of low- and high-grade serous carcinoma have revealed distinct molecular genetic changes in the two types of carcinoma.82 The low-grade tumors arising in serous borderline tumors have mutations in the KRAS or BRAF oncogenes, with only rare mutations in p53. In contrast, the high-grade tumors have a high frequency of mutations in the p53 gene but lack mutations in either KRAS or BRAF. Almost all reported cases of ovarian carcinomas arising in women with BRCA1 or BRCA2 mutations are high-grade serous carcinoma and commonly have p53 mutations. Close examination of these tumors has suggested that a significant percentage of BRCA1- and BRCA2-related tumors arise from the epithelium lining the fimbriated end of the fallopian tube. This finding has led investigators to speculate that at least some sporadic high-grade ovarian and so-called primary peritoneal serous carcinomas may also originate from the distal fallopian tube, an area of current investigation.

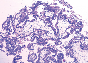
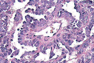
Morphology. The characteristic serous tumor may present on gross examination as either a cystic lesion in which the papillary epithelium is contained within a few fibrous walled cysts (intracystic) (Fig. 22-37A), or projecting from the ovarian surface. Benign tumors typically present with a smooth glistening cyst wall with no epithelial thickening or with small papillary projections. Borderline tumors contain an increased number of papillary projections (Fig. 22-37A and C). Bilaterality is common, occurring in 20% of benign serous cystadenomas, 30% of serous borderline tumors, and approximately 66% of serous carcinomas. A significant proportion of both serous borderline tumors and malignant serous tumors involve (or originate from) the surface of the ovary (Fig. 22-37C). On histologic examination, the cysts are lined by columnar epithelium, which has abundant cilia in benign tumors (Fig. 22-38A). Microscopic papillae may be found. Serous borderline tumors exhibit increased complexity of the stromal papillae, stratification of the epithelium and mild nuclear atypia, but destructive infiltrative growth into the stroma is not seen (Fig. 22-38B).75 This epithelial proliferation often grows in a delicate, papillary pattern referred to as “micropapillary carcinoma” and is thought to be the precursor to low-grade serous carcinoma (Fig. 22-38C). Larger amounts of solid or papillary tumor mass, irregularity in the tumor mass, and fixation or nodularity of the capsule are important indicators of probable malignancy (see Fig. 22-37B). These features are characteristic of high-grade serous carcinoma, which microscopically exhibits even more complex growth patterns and infiltration or frank effacement of the underlying stroma (Fig. 22-38D). The individual tumor cells in the high-grade carcinomas display marked nuclear atypia, including pleomorphism, atypical mitotic figures, and multinucleation. The cells may even become so undifferentiated that serous features are no longer recognizable. Concentric calcifications (psammoma bodies) characterize serous tumors, but are not specific for neoplasia. Ovarian serous tumors, both low- and high-grade, have a propensity to spread to the peritoneal surfaces and omentum and are commonly associated with the presence of ascites. As with other tumors, the extent of the spread outside the ovary determines the stage of the disease.

image

FIGURE 22-37 A, Serous borderline tumor opened to display a cyst cavity lined by delicate papillary tumor growths. B, Cystadenocarcinoma. The cyst is opened to reveal a large, bulky tumor mass. C, Another borderline tumor growing on the ovarian surface (lower).

image

FIGURE 22-38 Serous cystadenomas. A, Papillary serous cystadenoma revealing stromal papillae with a columnar epithelium. B, Borderline serous tumor showing increased architectural complexity and epithelial cell stratification. C, Complex micropapillary growth defines a low-grade “micropapillary” serous carcinoma. D, Papillary serous cystadenocarcinoma of the ovary with invasion of underlying stroma.

The biologic behavior of serous tumors depends on degree of differentiation, distribution, and characteristics of the disease in the peritoneum, if present. Importantly, serous tumors may occur on the surface of the ovaries and, rarely, as primary tumors of the peritoneal surface, which are referred to as primary peritoneal serous carcinoma. Predictably, unencapsulated serous tumors of the ovarian surface are more likely to extend to the peritoneal surfaces, and prognosis is closely related to the histologic appearance of the tumor and its growth pattern on the peritoneum. Borderline serous tumors may arise from or extend to the peritoneal surfaces as noninvasive implants, remaining localized and causing no symptoms, or slowly spread, producing intestinal obstruction or other complications after many years. As discussed above, low-grade serous carcinomas can arise in borderline serous tumors and may be associated with what are often referred to as “invasive implants” because they demonstrate destructive, infiltrative growth, similar to metastatic carcinoma. However, the low-grade carcinomas even when spread outside the ovary often progress slowly, and patients may survive for relatively long periods before dying of disease. In contrast, high-grade tumors are often widely metastatic throughout the abdomen at the time of presentation. These findings are associated with rapid clinical deterioration.75 Consequently, careful pathologic classification of the tumor, even if it has extended to the peritoneum, is relevant to both prognosis and selection of therapy.75,83 The 5-year survival rate for borderline and malignant tumors confined within the ovarian mass is, respectively, 100% and 70%, whereas the 5-year survival rate for the same tumors involving the peritoneum is about 90% and 25%, respectively. Because of their protracted course, borderline tumors may recur after many years, and 5-year survival is not synonymous with cure.75

Mucinous Tumors

Mucinous tumors are less common than serous tumors, accounting for about 30% of all ovarian neoplasms. They occur principally in middle adult life and are rare before puberty and after menopause. Eighty percent are benign or borderline, and about 15% are malignant. Primary ovarian mucinous carcinomas are relatively uncommon and account for fewer than 5% of all ovarian cancers.

Molecular Pathogenesis.

Like serous tumors, little is known about the pathogenesis of mucinous ovarian tumors. Most of the studies analyzing risk factors have not segregated the different histologic types of ovarian cancer, so it is not clear how they relate to the individual types. However, recent studies have suggested that mucinous tumors may have different risk factors, including smoking, which is not a risk factor for serous ovarian tumors. Although several molecular studies have been done over the years, very few molecular genetic alterations have been identified in mucinous tumors. The one consistent alteration that has been identified is mutation of the KRAS proto-oncogene. Mutations in KRAS are common in benign mucinous cystadenomas (58%), mucinous borderline tumors (75% to 86%), and in primary ovarian mucinous carcinomas (85%).84,85 Interestingly, one study showed that several tumors with distinct areas of epithelium showing benign, borderline, and carcinoma had identical KRAS mutations from each area.85 Thus, KRAS mutations may occur early in the development of these neoplasms.

Morphology. In gross appearance, the mucinous tumors differ from the serous variety in several ways. They are characterized by rarity of surface involvement and are less frequently bilateral. Only 5% of primary mucinous cystadenomas and mucinous cystadenocarcinomas are bilateral. Mucinous tumors tend to produce larger cystic masses; some have been recorded with weights of more than 25 kg. They appear grossly as multiloculated tumors filled with sticky, gelatinous fluid rich in glycoproteins (Fig. 22-39A). On histologic examination, benign mucinous tumors are characterized by a lining of tall, columnar epithelial cells with apical mucin and the absence of cilia, akin to benign cervical or intestinal epithelia (Fig. 22-39B). One group of typically benign or borderline mucinous tumors arises in endometriosis and is termed müllerian mucinous cystadenoma, resembling endometrial or cervical epithelium.75 The second, more common group includes tumors showing abundant glandlike or papillary growth with nuclear atypia and stratification, an appearance strikingly similar to tubular adenomas or villous adenomas of the intestine. These tumors are presumed precursors to most cystadenocarcinomas. Cystadenocarcinomas contain areas of solid growth and conspicuous epithelial cell atypia and stratification, loss of gland architecture, and necrosis; these tumors are similar to colonic cancer in appearance. Because both borderline and malignant mucinous cystadenomas form complex glands in the stroma, the documentation of clear-cut stromal invasion, which is easily ascertained in serous tumors, is more difficult. Some authors describe a category of “noninvasive” mucinous carcinomas (intraepithelial carcinomas) for those tumors with marked epithelial atypia without obvious stromal alterations.86 Approximate 10-year survival rates for stage I, noninvasive “intraepithelial carcinomas,” and frankly invasive malignant tumors are greater than 95% and 90%, respectively.87 Mucinous carcinomas that have spread beyond the ovary are usually fatal, but as previously stated, these tumors are uncommon.

image

FIGURE 22-39 A, A mucinous cystadenoma with its multicystic appearance and delicate septa. Note the presence of glistening mucin within the cysts. B, Columnar cell lining of mucinous cystadenoma.

A clinical condition referred to as pseudomyxoma peritonei is defined by extensive mucinous ascites, cystic epithelial implants on the peritoneal surfaces, adhesions, and frequently mucinous tumor involving the ovaries (Fig. 22-40). Pseudomyxoma peritonei, if extensive, may result in intestinal obstruction and death. Historically, it was thought that many cases of pseudomyxoma peritonei in women were due to primary ovarian mucinous neoplasms. However, recent evidence points to the presence, in most cases, of extraovarian (usually appendiceal) primary mucinous tumor with secondary ovarian and peritoneal spread (Chapter 17).88 Because the majority of primary mucinous ovarian tumors are unilateral, bilateral presentation of mucinous tumors always requires exclusion of a non-ovarian origin.

image

FIGURE 22-40 A, Pseudomyxoma peritonei viewed at laparotomy revealing massive overgrowth of a gelatinous metastatic tumor originating from the appendix. B, Histology of peritoneal implants from an appendiceal tumor, showing mucin-producing epithelium and free mucin (arrow).

(A, Courtesy of Dr. Paul H. Sugarbaker, Washington Hospital Cancer Center, Washington, DC.)

Endometrioid Tumors

Benign endometrioid tumors, called endometrioid adenofibromas, and borderline endometrioid tumors are uncommon. However, endometrioid carcinomas account for approximately 20% of all ovarian cancers. Endometrioid tumors are distinguished from serous and mucinous tumors by the presence of tubular glands bearing a close resemblance to benign or malignant endometrium. Endometrioid carcinomas may arise in the setting of endometriosis and are occasionally associated with areas of borderline tumor. Although these tumors are less common than either serous or mucinous tumors, more is known about the molecular genetic alterations associated with their development. This is due to the recent development of mouse models that closely mimic the human disease and molecular genetic overlap with endometrioid carcinomas of the endometrium. In fact, 15% to 30% of ovarian endometrioid carcinomas are accompanied by carcinoma of the endometrium, and the relatively good prognosis in such cases suggests that the two may arise independently rather than by metastatic spread from one another.89

Pathogenesis.

About 15% to 20% of cases with endometrioid carcinoma coexist with endometriosis, although an origin directly from ovarian surface epithelium is also possible. The women with associated endometriosis are usually about a decade younger than women with endometrioid carcinoma that is not associated with endometriosis. Molecular studies have found relatively frequent mutations in the PTEN tumor suppressor gene and in the KRAS and β-catenin oncogenes, as well as microsatellite instability.90 Similar to endometrioid carcinomas of the endometrium, p53 mutations are common in the poorly differentiated tumors. Interestingly, in endometrioid carcinomas associated with endometriosis, identical PTEN mutations have been detected in both the carcinoma and the endometriosis, suggesting that PTEN mutations may precede the development of malignancy.91

Morphology. In gross appearance, endometrioid carcinomas present as a combination of solid and cystic areas, similar to other cystadenocarcinomas. Forty percent involve both ovaries, and such bilaterality usually, though not always, implies extension of the neoplasm beyond the genital tract. These are low-grade tumors that reveal glandular patterns bearing a strong resemblance to those of endometrial origin. The 5-year survival rate for patients with stage I tumors is approximately 75%.

Clear Cell Adenocarcinoma

Benign and borderline clear cell tumors are exceedingly rare, and clear cell carcinomas are uncommon. They are characterized by large epithelial cells with abundant clear cytoplasm similar to hypersecretory gestational endometrium. Because these tumors sometimes occur in association with endometriosis or endometrioid carcinoma of the ovary and resemble clear cell carcinoma of the endometrium, they are now thought to be of müllerian origin and variants of endometrioid adenocarcinoma.75 Little is currently known about the molecular alterations that underlie the pathogenesis of these tumors. The clear cell tumors of the ovary can be predominantly solid or cystic. In the solid neoplasm, the clear cells are arranged in sheets or tubules. In the cystic variety, the neoplastic cells line the spaces. The 5-year survival rate is approximately 65% when the tumors are confined to the ovaries; however, these tumors tend to be aggressive, and with spread beyond the ovary, a survival of 5 years is exceptional.

Cystadenofibroma

Cystadenofibromas are variants in which there is more pronounced proliferation of the fibrous stroma that underlies the columnar lining epithelium. These benign tumors are usually small and multilocular and have simple papillary processes that do not become as complicated and branching as those found in the ordinary cystadenoma. They may be composed of mucinous, serous, endometrioid, and transitional (Brenner tumors) epithelium. Borderline lesions with cellular atypia and, rarely, tumors with focal carcinoma occur, but metastatic spread of either is extremely uncommon.

Brenner Tumor

Brenner tumors are classified as adenofibromas in which the epithelial component consists of nests of transitional-type epithelial cells resembling those lining the urinary bladder. Less frequently, the nests contain microcysts or glandular spaces lined by columnar, mucin-secreting cells.

Morphology. These neoplasms may be solid or cystic, are usually unilateral (approximately 90%), and vary in size from small lesions less than 1 cm in diameter to massive tumors up to 20 and 30 cm (Fig. 22-41A). The fibrous stroma, resembling that of the normal ovary, is marked by sharply demarcated nests of epithelial cells resembling the epithelium of the urinary tract, often with mucinous glands in their center (Fig. 22-41B). Infrequently, the stroma is composed of somewhat plump fibroblasts resembling theca cells; such neoplasms may have hormonal activity. Most Brenner tumors are benign, but borderline (proliferative Brenner tumor) and malignant counterparts have been reported.

image

FIGURE 22-41 A, Brenner tumor (right) associated with a benign cystic teratoma (left). B, Histologic detail of characteristic epithelial nests within the ovarian stroma.

(Courtesy of Dr. M. Nucci, Brigham and Women’s Hospital, Boston, MA.)

Several reports have emphasized the occurrence of ovarian tumors that are composed in part or entirely of neoplastic epithelium similar to transitional carcinoma of the bladder but without a coexisting Brenner component. Though often referred to as transitional cell carcinoma, these tumors are frequently seen in association with conventional serous or endometrioid carcinomas and probably represent altered differentiation patterns of the tumor cells.

Clinical Course, Detection, and Prevention of Surface Epithelial Tumors

All ovarian epithelial carcinomas produce similar clinical manifestations, most commonly lower abdominal pain and abdominal enlargement. Gastrointestinal complaints, urinary frequency, dysuria, pelvic pressure, and many other symptoms may appear. Benign lesions are easily resected and cured. The malignant forms tend to cause progressive weakness, weight loss, and cachexia characteristic of all malignant neoplasms. If the carcinomas extend through the capsule of the tumor to seed the peritoneal cavity, massive ascites is common. Characteristically, the ascitic fluid is filled with diagnostic exfoliated tumor cells. The peritoneal pattern of spread is distinctive: all serosal surfaces are diffusely seeded with 0.1- to 0.5-cm nodules of tumor. These surface implants rarely invade deeply into the underlying parenchyma. The regional nodes are often involved, and metastases may be found in the liver, lungs, gastrointestinal tract, and elsewhere. Metastasis across the midline to the opposite ovary is discovered in about half the cases by the time of laparotomy and heralds a progressive downhill course to death within a few months or years.

Because ovarian carcinomas often remain undiagnosed until they are large, or originate on the ovarian surface from where they readily spread to the pelvis, many patients are first seen with lesions that are no longer confined to the ovary. This is perhaps the primary reason for the relatively poor 5- and 10-year survival rates for these patients, compared with rates in cervical and endometrial carcinoma. For these reasons, both early diagnosis and prevention are top priorities. Specific biochemical markers for tumor antigens or tumor products in the plasma of these patients are being sought vigorously. One such marker, known as CA-125, is a high-molecular-weight glycoprotein present in the serum of more than 80% of patients with serous and endometrioid carcinomas. Although this marker is often used to monitor disease progression after diagnosis, it has not proven to be a reliable marker because elevations in CA-125 can occur with nonspecific irritation of the peritoneum (e.g., endometriosis, inflammation).92 Newly identified biomarkers such as osteopontin, which is expressed at significantly higher levels in ovarian cancer patients, may improve early detection.93 Other attempts to distinguish cancer patients from nonaffected individuals are based on patterns of circulating proteins generated by mass spectroscopic analysis of patient sera.94 These and other approaches may in the future create a more cost-effective, noninvasive approach to ovarian cancer screening.

Prevention of ovarian cancer remains an elusive goal, but both fallopian tubal ligation and oral contraceptive therapy are associated with significant reductions in relative risk. Long-term contraceptive use has reduced risk by half in women with a family history of ovarian cancer.78 Tubal ligation reduces risk by more than half and may be effective in subsets of women with BRCA mutations and family history of ovarian cancer.77,79,95 Screening strategies based on identifying women at risk (positive for BRCA mutations) and using prophylactic salpingo-oophorectomy are currently standard, but the long-term impact of these approaches on ovarian cancer death rates remains to be determined.

GERM CELL TUMORS

Germ cell tumors constitute 15% to 20% of all ovarian tumors.75 Most are benign cystic teratomas, but the remainder, which are found principally in children and young adults, have a higher incidence of malignant behavior and pose problems in histologic diagnosis and in therapy. They bear a remarkable similarity to germ cell tumors in the male testis (Chapter 21) and arise in a similar manner (Fig. 22-42).

image

FIGURE 22-42 Histogenesis and interrelationships of tumors of germ cell origin.

Teratomas

Teratomas are divided into three categories: (1) mature (benign), (2) immature (malignant), and (3) monodermal or highly specialized.

Mature (Benign) Teratomas.

Most benign teratomas are cystic and are better known in clinical parlance as dermoid cysts. Cystic teratomas are usually found in young women during the active reproductive years.75 They may be discovered incidentally, but are occasionally associated with clinically important paraneoplastic syndromes, such as inflammatory limbic encephalitits, which may remit upon removal of the tumor.

Morphology. Benign teratomas are bilateral in 10% to 15% of cases. Characteristically they are unilocular cysts containing hair and cheesy sebaceous material (Fig. 22-43). On section, they reveal a thin wall lined by an opaque, gray-white, wrinkled epidermis. From this epidermis, hair shafts frequently protrude. Within the wall, it is common to find tooth structures and areas of calcification.

image

FIGURE 22-43 Opened mature cystic teratoma (dermoid cyst) of the ovary. Hair (bottom) and a mixture of tissues are evident.

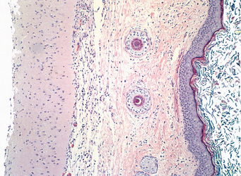
On histologic examination the cyst wall is composed of stratified squamous epithelium with underlying sebaceous glands, hair shafts, and other skin adnexal structures (Fig. 22-44). In most cases structures from other germ layers can be identified, such as cartilage, bone, thyroid tissue, and neural tissues. Dermoid cysts are sometimes incorporated within the wall of a mucinous cystadenoma. About 1% of the dermoids undergo malignant transformation (e.g., thyroid carcinoma, melanoma, but most commonly, squamous cell carcinoma).

image

FIGURE 22-44 Benign cystic teratoma. Low-power view of skin (right edge), beneath which there is brain tissue (left edge).

In rare instances a benign teratoma is solid and composed entirely of benign-looking heterogeneous collections of tissues and organized structures derived from all three germ layers. These tumors presumably have the same histogenetic origin as dermoid cysts but lack preponderant differentiation into ectodermal derivatives. These neoplasms may be difficult to differentiate, on gross inspection, from the malignant, immature teratomas.

The origin of teratomas has been a matter of fascination for centuries. Some common beliefs blamed witches, nightmares, or adultery with the devil. The karyotype of almost all benign ovarian teratomas is 46,XX. From the results of chromosome banding techniques and the distribution of electrophoretic variants of enzymes in normal and teratoma cells, it has been suggested that the tumors arise from an ovum after the first meiotic division.96 Other derivations have also been proposed.97

Monodermal or Specialized Teratomas.

The specialized teratomas are a remarkable, rare group of tumors, the most common of which are struma ovarii and carcinoid. They are always unilateral, although a contralateral teratoma may be present. Struma ovarii is composed entirely of mature thyroid tissue. Interestingly, these thyroidal neoplasms may hyperfunction, causing hyperthyroidism. The ovarian carcinoid, which presumably arises from intestinal epithelium in a teratoma, may also be functional, particularly large (>7 cm) tumors, producing 5-hydroxytryptamine and the carcinoid syndrome. Primary ovarian carcinoid can be distinguished from metastatic intestinal carcinoid, which is virtually always bilateral. Even rarer is the strumal carcinoid, a combination of struma ovarii and carcinoid in the same ovary. Only about 2% of carcinoids metastasize.

Immature Malignant Teratomas.

These are rare tumors that differ from benign teratomas in that the component tissues resemble embryonal and immature fetal tissue. The tumor is found chiefly in prepubertal adolescents and young women, the mean age being 18 years.98

Morphology. The tumors are bulky and have a smooth external surface. On section they have a solid (or predominantly solid) structure. There are areas of necrosis and hemorrhage. Hair, sebaceous material, cartilage, bone, and calcification may be present. On microscopic examination there are varying amounts of immature neuroepithelium, cartilage, bone, muscle, and others. An important risk for subsequent extra-ovarian spread is the histologic grade of tumor (I through III), which is based on the proportion of tissue containing immature neuroepithelium (Fig. 22-45).

image

FIGURE 22-45 Immature teratoma of the ovary illustrating primitive neuroepithelium.

Immature teratomas grow rapidly, frequently penetrate the capsule, and spread either locally or distantly. Stage I tumors, however, particularly those with low-grade (grade 1) histology, have an excellent prognosis. Higher grade tumors confined to the ovary are generally treated with prophylactic chemotherapy. Most recurrences develop in the first 2 years, and absence of disease beyond this period carries an excellent chance of cure.

Dysgerminoma

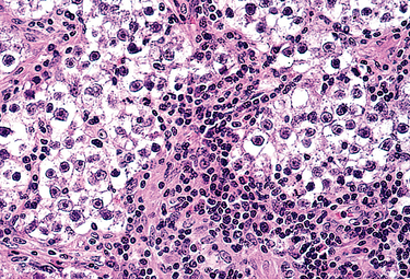
The dysgerminoma is best considered as the ovarian counterpart of the seminoma of the testis. Similar to the seminoma, it is composed of large vesicular cells having a clear cytoplasm, well-defined cell boundaries, and centrally placed regular nuclei. Dysgerminomas account for about 2% of all ovarian cancers yet form about half of malignant germ cell tumors. They may occur in childhood, but 75% occur in the second and third decades. Some occur in patients with gonadal dysgenesis, including pseudohermaphroditism. Most of these tumors have no endocrine function. A few produce elevated levels of chorionic gonadotropin and may have syncytiotrophoblastic giant cells on histologic examination. Like seminomas, dysgerminomas express Oct3, Oct4, and Nanog.99 These transcription factors are implicated in maintenance of pluripotency. They also express the receptor tyrosine kinase c-KIT. These proteins are useful diagnostic markers and, in the case of c-KIT, may also serve as a therapeutic target.100

Morphology. Usually unilateral (80% to 90%), most are solid tumors ranging in size from barely visible nodules to masses that virtually fill the entire abdomen. On cut surface they have a yellow-white to gray-pink appearance and are often soft and fleshy. On histologic examination the dysgerminoma cells are dispersed in sheets or cords separated by scant fibrous stroma (Fig. 22-46). As in the seminoma, the fibrous stroma is infiltrated with mature lymphocytes and occasional granulomas. On occasion, small nodules of dysgerminoma are encountered in the wall of an otherwise benign cystic teratoma; conversely, a predominantly dysgerminomatous tumor may contain a small cystic teratoma.

image

FIGURE 22-46 Dysgerminoma showing polyhedral tumor cells with round nuclei and adjacent inflammation.

All dysgerminomas are malignant, but the degree of histologic atypia is variable, and only about one third are aggressive. Thus, a unilateral tumor that has not broken through the capsule and has not spread has an excellent prognosis (up to 96% cure rate) after simple salpingo-oophorectomy. These neoplasms are responsive to chemotherapy, and even those that have extended beyond the ovary can often be cured.101 Overall survival exceeds 80%.

Endodermal Sinus (Yolk Sac) Tumor

This tumor is rare but is the second most common malignant tumor of germ cell origin. It is thought to be derived from differentiation of malignant germ cells along the extra-embryonic yolk sac lineage (see Fig. 22-42). Similar to the normal yolk sac, the tumor is rich in α-fetoprotein and α1-antitrypsin. Its characteristic histologic feature is a glomerulus-like structure composed of a central blood vessel enveloped by germ cells within a space lined by germ cells (Schiller-Duval body) (Fig. 22-47). Conspicuous intracellular and extracellular hyaline droplets are present in all tumors, and some of these stain for α-fetoprotein by immunoperoxidase techniques.

image

FIGURE 22-47 A Schiller-Duval body in yolk sac carcinoma.

Most patients are children or young women presenting with abdominal pain and a rapidly developing pelvic mass. The tumors usually appear to involve a single ovary but grow rapidly and aggressively. These tumors were once almost uniformly fatal within 2 years of diagnosis, but combination chemotherapy has measurably improved the outcome.

Choriocarcinoma

More commonly of placental origin, the choriocarcinoma, like the endodermal sinus tumor, is an example of extra-embryonic differentiation of malignant germ cells. It is generally held that a germ cell origin can be confirmed only in the prepubertal girl, because after this age an origin from an ovarian ectopic pregnancy cannot be excluded.

Most ovarian choriocarcinomas exist in combination with other germ cell tumors, and pure choriocarcinomas are extremely rare. They are histologically identical to the more common placental lesions, described later. The ovarian primaries are aggressive tumors that generally have metastasized widely through the bloodstream to the lungs, liver, bone, and other viscera by the time of diagnosis. Like all choriocarcinomas they elaborate high levels of chorionic gonadotropins, which is sometimes helpful in establishing the diagnosis or detecting recurrences. In contrast to choriocarcinomas arising in placental tissue, those arising in the ovary are generally unresponsive to chemotherapy and are often fatal.

Other Germ Cell Tumors

These include (1) embryonal carcinoma, another highly malignant tumor of primitive embryonal elements, histologically similar to tumors arising in the testes (Chapter 21)75; (2) polyembryoma, a malignant tumor containing so-called embryoid bodies; and (3) mixed germ cell tumors containing various combinations of dysgerminoma, teratoma, endodermal sinus tumor, and choriocarcinoma.

SEX CORD–STROMAL TUMORS

These ovarian neoplasms are derived from the ovarian stroma, which in turn is derived from the sex cords of the embryonic gonad. Because the undifferentiated gonadal mesenchyme eventually produces structures of specific cell type in both male (Sertoli and Leydig) and female (granulosa and theca) gonads, tumors resembling all of these cell types can be identified in the ovary.102 Moreover, because some of these cells normally secrete estrogens (granulosa and theca cells) or androgens (Leydig cells), their corresponding tumors may be either feminizing (granulosa–theca cell tumors) or masculinizing (Leydig cell tumors).

Granulosa–Theca Cell Tumors

This designation embraces ovarian neoplasms composed of varying proportions of granulosa and theca cell differentiation. They may be composed almost entirely of granulosa cells or a mixture of granulosa and theca cells. Collectively, these neoplasms account for about 5% of all ovarian tumors. Although they may be discovered at any age, approximately two thirds occur in postmenopausal women.

Morphology. Granulosa cell tumors are usually unilateral and vary from microscopic foci to large, solid, and cystic encapsulated masses. Tumors that are hormonally active have a yellow coloration to their cut surfaces, due to intracellular lipids. The pure thecomas are solid, firm tumors.

The granulosa cell component of these tumors takes one of many histologic patterns. The small, cuboidal to polygonal cells may grow in anastomosing cords, sheets, or strands (Fig. 22-48A). In occasional cases small, distinctive, gland-like structures filled with an acidophilic material recall immature follicles (Call-Exner bodies). When these structures are evident the diagnosis is straightforward. The thecoma component consists of clusters or sheets of cuboidal to polygonal cells. In some tumors, the granulosa or theca cells may appear plumper and have ample cytoplasm characteristic of luteinization (i.e., luteinized granulosa–theca cell tumors).

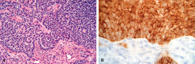
image

FIGURE 22-48 Granulosa cell tumor. A, The tumor cells are arranged in sheets punctuated by small follicle-like structures (Call-Exner bodies). B, Strong immunohistochemical positivity with an antibody to inhibin characterizes these tumors.

Granulosa cell tumors have clinical importance for two reasons: (1) their potential to elaborate large amounts of estrogen and (2) the small but distinct hazard of malignancy in the granulosa cell forms. Functionally active tumors in young girls (juvenile granulosa cell tumors) may produce precocious sexual development in prepubertal girls. In adult women they may be associated with endometrial hyperplasia, cystic disease of the breast, and endometrial carcinoma. About 10% to 15% of women with steroid-producing tumors eventually develop an endometrial carcinoma. Occasionally, granulosa cell tumors produce androgens, masculinizing the patient.

All granulosa cell tumors are potentially malignant. It is difficult to predict their biologic behavior from histology.102 The estimates of malignancy (recurrence, extension) range from 5% to 25%. In general, malignant tumors pursue an indolent course in which local recurrences may be amenable to surgical therapy. Recurrences within the pelvis and abdomen may appear 10 to 20 years after removal of the original tumor. The 10-year survival rate is approximately 85%. Tumors composed predominantly of theca cells are almost never malignant.

Elevated tissue and serum levels of inhibin, a product of granulosa cells, are associated with granulosa cell tumors. This biomarker may be useful for identifying granulosa and other sex cord–stromal tumors, and for monitoring patients being treated for these neoplasms (Fig. 22-48B).103

Fibromas, Thecomas, and Fibrothecomas

Tumors arising in the ovarian stroma that are composed of either fibroblasts (fibromas) or plump spindle cells with lipid droplets (thecomas) are relatively common and account for about 4% of all ovarian tumors (Fig. 22-49A). Many tumors contain a mixture of these cells and are termed fibromathecomas. Pure thecomas are rare, but tumors in which these cells predominate may be hormonally active.

image

FIGURE 22-49 A, Thecoma-fibroma composed of plump, differentiated stromal cells with thecal appearance. B, Large bisected fibroma of the ovary apparent as a white, firm mass (right). The fallopian tube is attached.

Fibromas of the ovary are unilateral in about 90% of cases and are usually solid, spherical or slightly lobulated, encapsulated, hard, gray-white masses covered by glistening, intact ovarian serosa (Fig. 22-49B). On histologic examination, they are composed of well-differentiated fibroblasts and a scant interspersed collagenous connective tissue. Focal areas of thecal differentiation may be identified.

Most of these tumors are pure fibromas and are hormonally inactive. These tumors usually come to attention as a pelvic mass, sometimes accompanied by pain and through two other curious associations. The first is ascites, which is found in about 40% of cases in which the tumors measure more than 6 cm in diameter. Uncommonly there is also a hydrothorax, usually only of the right side. This combination of findings (i.e., ovarian tumor, hydrothorax, and ascites) is designated Meigs syndrome. Its genesis is unknown. The second association is with the basal cell nevus syndrome, described in Chapter 25. The vast majority of fibromas, fibrothecomas, and thecomas are benign. Rarely, cellular fibromas with mitotic activity and increased nuclear-to-cytoplasmic ratio are identified; because they may pursue a malignant course, they are termed fibrosarcomas.104

Sertoli–Leydig Cell Tumors (Androblastomas)

These tumors recapitulate, to a certain extent, the cells of the testis at various stages of development.105 They commonly produce masculinization or at least defeminization, but a few have estrogenic effects. They occur in women of all ages, although the peak incidence is in the second and third decades. The embryogenesis of such male-directed stromal cells remains a puzzle. These tumors are unilateral and may resemble granulosa–theca cell neoplasms.

Morphology. The cut surface is usually solid and varies from gray to golden brown in appearance (Fig. 22-50A). On histologic examination the well-differentiated tumors show tubules composed of Sertoli cells or Leydig cells interspersed with stroma (Fig. 22-50B). The intermediate forms show only outlines of immature tubules and large eosinophilic Leydig cells. The poorly differentiated tumors have a sarcomatous pattern with a disorderly disposition of epithelial cell cords. Leydig cells may be absent. Heterologous elements, such as mucinous glands, bone, and cartilage, may be present in some tumors.

image

FIGURE 22-50 Sertoli cell tumor. A, Gross photograph illustrating characteristic golden-yellow appearance of the tumor. B, Photomicrograph showing well-differentiated Sertoli cell tubules.

(Courtesy of Dr. William Welch, Brigham and Women’s Hospital, Boston, MA.)

The incidence of recurrence or metastasis by Sertoli–Leydig cell tumors is less than 5%. These neoplasms may block normal female sexual development in children and may cause defeminization of women, manifested by atrophy of the breasts, amenorrhea, sterility, and loss of hair. The syndrome may progress to striking virilization (hirsutism) associated with male distribution of hair, hypertrophy of the clitoris, and voice changes.

Other Sex Cord–Stromal Tumors

The ovarian hilum normally contains clusters of polygonal cells arranged around vessels (hilar cells). Hilus cell tumors (pure Leydig cell tumors) are derived from these cells and are rare, unilateral, and characterized histologically by large lipid-laden cells with distinct borders. A typical cytoplasmic structure characteristic of Leydig cells (Reinke crystalloids) is usually present. Women with hilus cell tumors usually present with evidence of masculinization, hirsutism, voice changes, and clitoral enlargement. The tumors are unilateral. The most consistent laboratory finding is an elevated 17-ketosteroid excretion level unresponsive to cortisone suppression. Treatment is surgical excision. True hilus cell tumors are almost always benign. On occasion, histologically identical tumors occur in the cortical stroma (nonhilar Leydig cell tumors).

In addition to Leydig cell tumors, the stroma may rarely give rise to tumors composed of pure luteinized cells, producing small benign tumors generally less than 3 cm in diameter. The tumor may produce the clinical effects of androgen, estrogen, or progesterone stimulation.

As mentioned before, the ovary in pregnancy may show microscopic nodular proliferation of theca cells in response to gonadotropins. Rarely, a frank tumor may develop (termed pregnancy luteoma) that closely resembles a corpus luteum of pregnancy. These tumors have been associated with virilization in pregnant patients and in their respective female infants.

Gonadoblastoma is an uncommon tumor thought to be composed of germ cells and sex cord–stroma derivatives. It occurs in individuals with abnormal sexual development and in gonads of indeterminate nature. Eighty percent of patients are phenotypic females, and 20% are phenotypic males with undescended testicles and female internal secondary organs. On microscopic examination the tumor consists of a mixture of germ cells and sex cord derivatives resembling immature Sertoli and granulosa cells arranged in nests. A coexistent dysgerminoma occurs in 50% of the cases. The prognosis is excellent if the tumor is completely excised.106

Metastatic Tumors

The most common metastatic tumors of the ovary are derived from tumors of müllerian origin: the uterus, fallopian tube, contralateral ovary, or pelvic peritoneum. The most common extra-müllerian tumors metastatic to the ovary are carcinomas of the breast and gastrointestinal tract, including colon, stomach, biliary tract, and pancreas. Also included in this group are the rare cases of pseudomyxoma peritonei, derived from appendiceal tumors. A classic example of metastatic gastrointestinal neoplasia to the ovaries is termed Krukenberg tumor, characterized by bilateral metastases composed of mucin-producing, signet-ring cancer cells, most often of gastric origin.7

GESTATIONAL AND PLACENTAL DISORDERS

Diseases of pregnancy and pathologic conditions of the placenta are important causes of intrauterine or perinatal death, congenital malformations, intrauterine growth retardation, maternal death, and a great deal of morbidity for both mother and child.8 Here we discuss only a limited number of the disorders in which knowledge of the morphologic lesions contributes to an understanding of the clinical problem. This discussion is divided into selected disorders of early pregnancy, late pregnancy, and trophoblastic neoplasia. But first we will review the unique structure of the placenta to facilitate an understanding of placental changes that underlie various conditions.

The placenta is composed of chorionic villi (Fig. 22-51) that sprout from the chorion to provide a large contact area between the fetal and maternal circulations. In the mature placenta, the maternal blood enters the intervillous space through endometrial arteries (spiral arteries) and circulates around the villi allowing for gaseous and nutrient exchange (Fig. 22-52). The deoxygenated blood flows back from the intervillous space to the decidua and enters the endometrial veins. Deoxygenated fetal blood enters the placenta through two umbilical arteries that branch radially to form chorionic arteries. Chorionic arteries additionally branch as they enter the villi. In the chorionic villi they form an extensive capillary system, bringing fetal blood in close proximity to maternal blood. The gas and nutrient diffusion occurs through the villous capillary endothelial cells and thinned-out syncytiotrophoblast and cytotrophoblast. Under normal circumstances there is no mixing between the fetal and maternal blood. Blood oxygenated in the placenta returns to the fetus through the single umbilical vein.

image

FIGURE 22-51 A, First-trimester chorionic villi composed of delicate mesh of central stroma surrounded by two discrete layers of epithelium—the outer layer consisting of syncytiotrophoblast (two arrows) and the inner layer consisting of cytotrophoblast (arrow). B, Third-trimester chorionic villi composed of stroma with dense network of dilated capillaries surrounded by markedly thinned-out syncytiotrophoblast and cytotrophoblast (same magnification as A.)

image

FIGURE 22-52 Diagram of placental anatomy. Within the outer boundary of myometrium is a layer of decidua, from which the maternal vessels originate and deliver blood to and from the intervillous spaces. Umbilical vessels branch and terminate in placental villi, where nutrient exchange takes place.

Disorders of Early Pregnancy

SPONTANEOUS ABORTION

Spontaneous abortion, or “miscarriage,” is defined as pregnancy loss before 20 weeks of gestation. Most of these occur before 12 weeks. Ten to fifteen percent of clinically recognized pregnancies terminate in spontaneous abortion. However, using sensitive chorionic gonadotropin assays, it has been identified that an additional 22% of early pregnancies in otherwise healthy women terminate spontaneously.107 The causes of spontaneous abortion are both fetal and maternal. Chromosomal anomalies such as aneuploidy, polyploidy, and translocations are present in approximately 50% of early abortuses. More subtle genetic defects, for which routine genetic testing is not readily available, account for an additional fraction of abortions. Maternal factors include luteal-phase defect, poorly controlled diabetes, and other uncorrected endocrine disorders. Physical defects of the uterus, such as submucosal leiomyomas, uterine polyps, or uterine malformations may prevent implantation adequate to support fetal development. Systemic disorders affecting maternal vasculature, such as antiphospholipid antibody syndrome, coagulopathies, and hypertension, may predispose to miscarriage. Finally, infections with bacteria such as Toxoplasma, Mycoplasma, and Listeria, as well as viral infections, have also been implicated as causes of abortion. Ascending infection is particularly common in second-trimester losses.8 In many cases, however, the mechanisms leading to early loss of pregnancy are still unknown.

ECTOPIC PREGNANCY

Ectopic pregnancy is the term applied to implantation of the fetus in any site other than a normal intrauterine location. The most common site is within the fallopian tubes (90%). Other sites include the ovary, the abdominal cavity, and the intrauterine portion of the fallopian tube (cornual pregnancy). Ectopic pregnancies occur about once in every 150 pregnancies. The most important predisposing condition, present in 35% to 50% of patients, is prior pelvic inflammatory disease resulting in fallopian tube scarring (chronic follicular salpingitis). Other factors leading to peritubal scarring and adhesions are appendicitis, endometriosis, and previous surgery. In some cases, however, the fallopian tubes are apparently normal. Intrauterine contraceptive devices also increase the risk of ectopic pregnancy by about 2.5 fold.108

Ovarian pregnancy is presumed to result from the rare fertilization and trapping of the ovum within the follicle just at the time of its rupture. Abdominal pregnancies may develop when the fertilized ovum fails to enter or drops out of the fimbriated end of the tube. In all these abnormal locations, the fertilized ovum undergoes its usual development with the formation of placental tissue, amniotic sac, and fetus, and the host implantation site may develop decidual changes.

Morphology. Tubal pregnancy is the most common cause of hematosalpinx (blood-filled fallopian tube) and should always be suspected when a tubal hematoma is present. Initially the embryonal sac, surrounded by placental tissue composed of immature chorionic villi, implants in the lumen of the fallopian tube. With time trophoblastic cells and chorionic villi start to invade the fallopian tube wall as they do in the uterus during normal pregnancy. However, proper decidualization is lacking in the fallopian tube, and growth of the gestational sac distends the fallopian tube causing thinning and rupture. Fallopian tube rupture frequently results in massive intraperitoneal hemorrhage. Less commonly the tubal pregnancy may undergo spontaneous regression and resorption of the entire conceptus. Still less commonly, the tubal pregnancy is extruded through the fimbriated end into the abdominal cavity (tubal abortion).

Clinical Features.

The clinical course of ectopic pregnancy is punctuated by the onset of severe abdominal pain, most commonly about 6 weeks after a previous normal menstrual period, when rupture of the tube leads to pelvic hemorrhage. Rupture of a tubal pregnancy constitutes a medical emergency. In such cases the patient may rapidly develop hemorrhagic shock with signs of an acute abdomen, and early diagnosis is critical. Chorionic gonadotropin assays, ultrasound studies, and laparoscopy may be helpful. Endometrial biopsy specimens may or may not disclose decidual changes, but—excluding the extremely rare dual pregnancy—do not exhibit chorionic villi or evidence of an implantation site.

Disorders of Late Pregnancy

The multitude of disorders that can occur in the third trimester are related to the complex anatomy of the maturing placenta. Complete interruption of blood flow through the umbilical cord from any cause (such as constricting knots or compression) can be lethal to the fetus. Ascending infections involving the chorioamnionic membranes may lead to premature rupture and delivery. Retroplacental hemorrhage at the interface of placenta and myometrium (abruptio placentae) threatens both mother and fetus. Disruption of the fetal vessels in terminal villi may produce a significant loss of fetal blood with resultant fetal injury or death. Uteroplacental malperfusion can be precipitated by abnormal placental implantation or development, or maternal vascular disease; the effects may range from mild intrauterine growth retardation to severe uteroplacental ischemia, and maternal preeclampsia.

TWIN PLACENTAS

Twin pregnancies arise from fertilization of two ova (dizygotic) or from division of one fertilized ovum (monozygotic). There are three basic types of twin placentas (Fig. 22-53): diamnionic dichorionic (which may be fused), diamnionic monochorionic, and monoamnionic monochorionic. Monochorionic placentas imply monozygotic (identical) twins, and the time at which splitting occurs determines whether one or two amnions are present. Dichorionic placentation may occur with either monozygotic or dizygotic twins and is not specific.

image

FIGURE 22-53 Diagrammatic representation of the various types of twin placentation and their membrane relationships.

(Adapted from Gersell D et al.: Diseases of the placenta. In Kurman R (ed): Blaustein’s Pathology of the Female Genital Tract. New York, Springer-Verlag, 1994.)

One complication of monochorionic twin pregnancy is twin-twin transfusion syndrome. In all monochorionic twin placentas there are vascular anastomoses, which connect the circulations of the twins. In some cases there is an abnormal sharing of fetal circulations through an arteriovenous shunt. If an imbalance in blood flow occurs, a marked disparity in fetal blood volumes may result in twin-twin transfusion syndrome and the death of one or both fetuses.

ABNORMALITIES OF PLACENTAL IMPLANTATION

Abnormal placental implantations may have significant consequences for the pregnancy outcome. Placenta previa is a condition in which the placenta implants in the lower uterine segment or cervix, often with serious third-trimester bleeding. A complete placenta previa covers the internal cervical os and thus requires delivery via cesarean section to avert placental rupture and fatal maternal hemorrhage during vaginal delivery. Placenta accreta is caused by partial or complete absence of the decidua with adherence of the placental villous tissue directly to the myometrium and failure of placental separation. It is an important cause of postpartum bleeding, which often may be life-threatening to the mother. Common predisposing factors are placenta previa (in up to 60% of cases) and history of previous cesarean section.

PLACENTAL INFECTIONS

Infections in the placenta develop by two pathways: (1) ascending infection through the birth canal and (2) hematogenous (transplacental) infection. Ascending infections are by far the most common and are virtually always bacterial; in many such instances, localized infection of the membranes by an organism produces premature rupture of membranes and preterm delivery. The amniotic fluid may be cloudy with purulent exudate, and histologically the chorion-amnion contains a polymorphonuclear leukocytic infiltrate accompanied by edema and congestion of the vessels (Fig. 22-54A and B). The infection frequently elicits a fetal response with “vasculitis” of umbilical and fetal chorionic plate vessels. Uncommonly, bacterial infections may arise by the hematogenous spread of bacteria directly to the placenta. The villi will then show acute inflammatory cells (acute villitis) (Fig. 22-54C).

image

FIGURE 22-54 Placental infections derived from ascending and blood-borne routes. Acute chorioamnionitis. A, On gross examination the placenta contains greenish opaque membranes. B, A photomicrograph illustrates a dense bandlike inflammatory exudate on the amniotic surface (arrow). C, Acute necrotizing intervillositis, from a fetal-maternal infection by Listeria.

Several hematogenous infections, classically TORCH (toxoplasmosis and others [syphilis, tuberculosis, listeriosis], rubella, cytomegalovirus, herpes simplex), can affect the placenta. They give rise to inflammatory infiltrates in the chorionic villi, usually of chronic inflammatory cells (chronic villitis). Often, the cause of chronic villitis is obscure and may involve immunological phenomena8 (see also Chapter 10).

PREECLAMPSIA AND ECLAMPSIA

Preeclampsia refers to a systemic syndrome characterized by widespread maternal endothelial dysfunction presenting clinically with hypertension, edema, and proteinuria during pregnancy. It occurs in about 3% to 5% of pregnant women, usually in the last trimester and more commonly in primiparas (women pregnant for the first time). Some of these women become more seriously ill, developing convulsions; this more severe form is termed eclampsia. Other complications stemming from systemic endothelial dysfunction include hypercoaguability, acute renal failure and pulmonary edema. Approximately 10% of women with severe preeclampsia develop hemolysis, elevated liver enzymes, and low platelets, referred to as the HELLP syndrome (Chapter 18). Preeclampsia should be distinguished from gestational hypertension that can develop in pregnancy without proteinuria.

Pathogenesis.

The exact mechanisms leading to development of preeclampsia are still being investigated; however, it is clear that the placenta plays a central role in the pathogenesis of the syndrome, since the symptoms disappear rapidly after delivery of the placenta. The critical abnormalities in preeclampsia are diffuse endothelial dysfunction, vasoconstriction (leading to hypertension), and increased vascular permeability (resulting in proteinuria and edema). Recent work has demonstrated that these effects are most likely mediated by placenta derived factor(s) released into the maternal circulation. Although the release of these factors and the clinical syndrome develop late in gestation, the pathogenesis of the disease appears to be closely tied to the earliest events of pregnancy and placentation. The principal pathophysiologic aberrations appear to be the following.

Abnormal placental vasculature. The initial event in the pathogenesis of preeclampsia is abnormal trophoblastic implantation and lack of development of physiologic alterations in the maternal vessels required for adequate perfusion of the placental bed.109 In normal pregnancy, fetal extravillous trophoblastic cells (trophoblastic cells not associated with chorionic villi) at the implantation site invade the maternal decidua and decidual vessels, destroy the vascular smooth muscle and replace the maternal endothelial cells with fetal trophoblastic cells (forming hybrid feto-maternal blood vessels). This process converts the decidual spiral arteries from small-caliber resistance vessels to large capacity uteroplacental vessels lacking a smooth muscle coat (Fig. 22-55). In preeclampsia this remodeling fails to occur, leaving the placenta ill equipped to meet the increased circulatory demands of late gestation and setting the stage for the development of placental ischemia.
Endothelial dysfunction and imbalance of angiogenic and anti-angiogenic factors. Although not formally proven, it is postulated that in response to hypoxia, the ischemic placenta releases factors into the maternal circulation that cause an imbalance in circulating angiogenic and anti-angiogenic factors; this in turn leads to systemic maternal endothelial dysfunction and the clinical symptoms of the disease.110,111 In support of this, the blood levels of two placenta-derived anti-angiogenic factors, soluble fms-like tyrosine kinase (sFltl) and endoglin, are several orders of magnitude higher in women with preeclampsia than in healthy controls. Placental hypoxia causes overproduction of sFlt1 from the villous trophoblast; sFltl is a truncated soluble form of VEGF receptor that acts as a decoy receptor, binding VEGF and placental growth factor in circulation and thereby neutralizing their pro-angiogenic activity. Similarly circulating endoglin, a soluble form of a TGF-β receptor, can bind TGF-β and inhibit signaling via cellular TGF-β receptors. Normally, in late gestation, levels of sFltl and soluble endoglin in the blood increase while placental growth factor and vascular endothelial growth factor decrease, leading to a reduction in angiogenic activity. In preeclampsia, high levels of sFlt1 and soluble endoglin bring about a decrease in angiogenesis much earlier than in normal pregnancy. The result is defective vascular development in the placenta.
image

FIGURE 22-55 The physiologic alterations in the uterine spiral arteries and the failure of their remodeling in preeclampsia

(Modifi ed from Maynard S, Epstein FH, Karumanchi, SA: Preeclampsia and angiogenic imbalance. Ann Rev Med. 59: 61, 2008.)

Studies in animal models also implicate sFltl and soluble endoglin in the pathogenesis of endothelial dysfunction. When sFlt and endoglin are overexpressed together, rats develop nephrotic-range proteinuria, severe hypertension, and fetal growth restriction, the hallmarks of severe preeclampsia, as well as features of the HELLP syndrome, including elevated liver enzymes, decreased platelet counts, and hemolysis. Thus, it seems that sFlt1 and soluble endoglin are key mediators that link the placenta to the characteristic maternal endothelial dysfunction of preeclampsia.112 These effects of sFltl and endoglin appear to be related to their inhibition of VEGF and TGF-β-mediated production of endothelial-dependent nitric oxide (NO) and prostacyclin (PGI2). The capillary endothelium of the kidney is extremely sensitive to locally produced VEGF, which may explain why proteinuria and renal dysfunction are early markers of preeclampsia.

Coagulation abnormalities. Preeclampsia is associated with a hypercoaguable state; thrombosis of arterioles and capillaries may occur throughout the body, particularly in the liver, kidneys, brain, and pituitary. This hypercoaguability is likely related to the reduced endothelial production of PGI2, a potent antithrombotic factor, and increased release of procoagulant factors. Production of PGI2 is stimulated by both VEGF and TGF-β, and women with preeclampsia have been shown to have decreased endothelial production of PGI2.

Morphology. The placenta reveals various microscopic changes, most of which reflect malperfusion, ischemia, and vascular injury. These include: (1) Placental infarcts—small, peripheral ones that may occur in normal full-term placentas—are larger and more numerous in preeclampsia. There is also an exaggeration of ischemic changes in the chorionic villi and trophoblast. This includes increased syncytial knots and the appearance of accelerated villous maturity. (2) There is increased frequency of retroplacental hematomas due to bleeding and instability of uteroplacental vessels. (3) The most characteristic finding is in the decidual vessels, reflecting abnormal implantation. This can be in the form of thrombosis, lack of normal physiologic conversion (described earlier), fibrinoid necrosis, or intraintimal lipid deposition (acute atherosis) (Fig. 22-56).

image

FIGURE 22-56 Acute atherosis of uterine vessels in eclampsia. Note fibrinoid necrosis of the vessel walls, subendothelial macrophages, and perivascular lymphocytic infiltrate.

(Courtesy of Dr. Drucilla J. Roberts, Massachusetts General Hospital, Boston, MA.)

The liver lesions, when present, take the form of irregular, focal, subcapsular, and intraparenchymal hemorrhages. On histologic examination there are fibrin thrombi in the portal capillaries and foci of hemorrhagic necrosis.

The kidney lesions are variable. Glomerular lesions are diffuse, when assessed by electron microscopy. They consist of marked swelling of endothelial cells, the deposition of fibrinogen-derived amorphous dense deposits on the endothelial side of the basement membrane, and mesangial cell hyperplasia. Immunofluorescent studies show an abundance of fibrin in glomeruli. In the better defined cases, fibrin thrombi are present in the glomeruli and capillaries of the cortex. When the lesion is far advanced, it may produce complete destruction of the cortex in the pattern referred to as bilateral renal cortical necrosis (Chapter 20). The brain may have gross or microscopic foci of hemorrhage along with small-vessel thromboses. Similar changes are often found in the heart and the anterior pituitary.

Clinical Feature.

Preeclampsia most commonly starts after 34 weeks of gestation but begins earlier in women with hydatidiform mole (discussed below) or preexisting kidney disease, hypertension, or coagulopathies. The onset is typically insidious, characterized by hypertension and edema, with protein uria following within several days. Headaches and visual disturbances are serious events and are indicative of severe preeclampsia, often requiring delivery. Eclampsia is heralded by central nervous system involvement, including convulsions and eventual coma. Management of preeclampsia differs depending upon the gestational age and severity of disease. For term pregnancies, delivery is the treatment of choice regardless of disease severity. In preterm pregnancies, where delivery may not be in the best interest of the fetus, patients with mild disease can be managed expectantly with close monitoring of the mother and fetus. However, eclampsia, severe preeclampsia with maternal end-organ dysfunction, fetal compromise, or the HELLP syndrome are indications for delivery regardless of gestational age. Antihypertensive therapy does not affect the disease course or improve outcomes. Proteinuria and hypertension usually disappear within 1 to 2 weeks after delivery except when they predate the pregnancy. Although it is typically believed that preeclampsia has no lasting sequelae, recent studies indicate that about 20% of women develop hypertension and microalbuminuria within 7 years of a pregnancy complicated by preeclampsia. There is also a two-fold increase in the long-term risk of vascular diseases of the heart and the brain.

Gestational Trophoblastic Disease

Gestational trophoblastic disease constitutes a spectrum of tumors and tumor-like conditions characterized by proliferation of placental tissue, either villous or trophoblastic. The lesions include hydatidiform mole (complete and partial), invasive mole, and the frankly malignant choriocarcinoma and placental-site trophoblastic tumor.

HYDATIDIFORM MOLE

Hydatidiform mole is characterized histologically by cystic swelling of the chorionic villi, accompanied by variable trophoblastic proliferation. The most important reason for the correct recognition of moles is that they are associated with an increased risk of persistent trophoblastic disease (invasive mole) or choriocarcinoma. In the past, most patients presented in the fourth or fifth month of pregnancy with vaginal bleeding. Currently, hydatidiform moles are being diagnosed at earlier gestational ages (8.5 versus 17.0 weeks) due to routine ultrasound and close monitoring of early pregnancy. Molar pregnancy can develop at any age, but the risk is higher at the far ends of reproductive life: in teens and between the ages of 40 and 50 years. For poorly explained reasons, the incidence varies considerably in different regions of the world. Hydatidiform mole is a rather infrequent complication of gestation in the United States, occurring about once in every 1000 to 2000 pregnancies, but is quite common in the Far East; the incidence is 1 in 100 in Indonesia.114 Two types of benign, noninvasive moles—complete and partial—can be identified by cytogenetic (Fig. 22-57) and histologic studies.

image

FIGURE 22-57 Origin of complete and partial hydatidiform moles. A, Complete moles most commonly arise from fertilization of an empty ovum by a single sperm that undergoes duplication of its chromosomes. B, Less commonly, complete moles arise from dispermy in which two sperm fertilize an empty ovum. C, Partial moles arise from two sperm fertilizing a single ovum.

Complete Mole

Complete mole results from fertilization of an egg that has lost its chromosomes, and the genetic material is completely paternally derived (Fig. 22-57A and B). Ninety percent have a 46,XX diploid pattern, all derived from duplication of the genetic material of one sperm (a phenomenon called androgenesis). The remaining 10% are from the fertilization of an empty egg by two sperm (46,XX and 46,XY). Histologically, in complete mole all or most of the villi are enlarged and edematous, and there is diffuse trophoblast hyperplasia. Although fetal vessels and fetal parts are extremely rare in complete moles since the embryo dies very early in development, they do occur. Patients have 2.5% risk of subsequent choriocarcinoma.

Partial Mole

Partial moles result from fertilization of an egg with two sperm (Fig. 22-57C). In these moles the karyotype is triploid (e.g., 69,XXY) or even occasionally tetraploid (92,XXXY). Fetal parts are more commonly present than in complete moles. In partial moles some of the villi are edematous, and other villi show only minor changes; the trophoblastic proliferation is focal and less marked. Although partial moles have an increased risk of persistent molar disease, they are not considered to have an increased risk for choriocarcinoma.

Morphology. The classic gross appearance is of a delicate, friable mass of thin-walled, translucent, cystic, grapelike structures consisting of swollen edematous (hydropic) villi (Figs. 22-58 and 22-59). Fetal parts are frequently seen in partial moles. On histologic examination complete moles show abnormalities that involve all or most of the villous tissue. The chorionic villi are enlarged, scalloped in shape with central cavitation (cisterns), and lack adequately developed vessels. The most impressive abnormality is, however, an extensive trophoblast proliferation that involves the entire circumference of the villi, in addition to “extravillous” islands of trophoblast proliferation. The implantation site often displays atypia and an exuberant proliferation of implantation trophoblast. In contrast, partial moles demonstrate villous enlargement and architectural disturbances in only a proportion of villi. The trophoblastic proliferation is moderate but still may be circumferential.

image

FIGURE 22-58 Complete hydatidiform mole. Note marked distention of the uterus by vesicular chorionic villi. Adnexa (ovaries and fallopian tubes) are visible on the left and right side of the uterus.

image

FIGURE 22-59 Complete hydatidiform mole demonstrating marked villous enlargement, edema, and circumferential trophoblast proliferation.

Histologic distinction of complete mole from partial molar gestations is important. In equivocal cases immunostaining for p57, a cell cycle inhibitor, may aid the diagnosis. The p57KIP2 gene is maternally transcribed but paternally imprinted, and shows expression in maternal decidual tissue as well as cytotrophoblast and stromal cells of the villi, when maternal genetic material is present in the conceptus (Fig. 22-60A). In contrast, since both the X chromosomes in complete moles are derived from the father, there is no expression of p57 protein in the cytotrophoblast or stromal cells of the villi in complete moles (Fig. 22-60B).

image

FIGURE 22-60 A, Normal chorionic villi immunostained for p57 exhibit staining in both stromal and cytotrophoblast (arrow) nuclei. B, Complete moles lack expression of p57 in the cytotrophoblast (arrow) and villous stroma.

Clinical Features.

Most women with partial and early complete moles present with spontaneous pregnancy loss or undergo curettage because of abnormalities in ultrasound showing diffuse villous enlargement. In complete moles quantitative analysis of human chorionic gonadotropin (HCG) shows levels of hormone greatly exceeding those produced during a normal pregnancy of similar gestational age. Serial hormone determination indicates a rapidly mounting level that climbs faster than for the usual normal single or even multiple pregnancy. The vast majority of moles are removed by thorough curettage. Monitoring serum concentrations of HCG is necessary to determine the early development of persistent trophoblastic disease, since up to 10% of moles develop into persistent or invasive moles.115 In addition, 2.5% of complete moles evolve into gestational choriocarcinoma. Therefore, serum HCG levels are usually followed until they fall to and remain at zero for 6 months to a year.

INVASIVE MOLE

This is defined as a mole that penetrates or even perforates the uterine wall (Fig. 22-61). There is invasion of the myometrium by hydropic chorionic villi, accompanied by proliferation of both cytotrophoblast and syncytiotrophoblast. The tumor is locally destructive and may invade parametrial tissue and blood vessels. Hydropic villi may embolize to distant sites, such as lungs and brain, but do not grow in these organs as true metastases, and even without chemotherapy they eventually regress. The tumor is manifested clinically by vaginal bleeding and irregular uterine enlargement. It is always associated with a persistently elevated serum HCG and varying degrees of luteinization of the ovaries. The tumor responds well to chemotherapy but may result in uterine rupture and necessitate hysterectomy.

image

FIGURE 22-61 A, Invasive mole presenting as a hemorrhagic mass adherent to the uterine wall. B, On cross-section, the tumor invades into the myometrium.

(Courtesy of Dr. David R. Genest, Brigham and Women’s Hospital, Boston, MA.)

CHORIOCARCINOMA

Gestational choriocarcinoma is a malignant neoplasm of trophoblastic cells derived from a previously normal or abnormal pregnancy, which can even include extrauterine ectopic pregnancy. Choriocarcinoma is rapidly invasive and metastasizes widely, but once identified responds well to chemotherapy.

Incidence.

This is an uncommon condition that arises in 1 in 20,000 to 30,000 pregnancies in the United States. It is much more common in some African countries; for example, it occurs in 1 in 2500 pregnancies in Ibadan, Nigeria. It is preceded by several conditions; 50% arise in hydatidiform moles, 25% in previous abortions, approximately 22% in normal pregnancies (intraplacental choriocarcinoma), with the remainder occuring in ectopic pregnancies. Very rarely, a nongestational choriocarcinoma may develop from germ cells in the ovaries or the mediastinum. About 1 in 40 complete hydatidiform moles may be expected to give rise to a choriocarcinoma, in contrast to 1 in approximately 150,000 normal pregnancies.

Morphology. Choriocarcinoma is classically a soft, fleshy, yellow-white tumor with a marked tendency to form large pale areas of ischemic necrosis, foci of cystic softening, and extensive hemorrhage (Fig. 22-62A). Histologically, it does not produce chorionic villi and consists entirely of a mixed proliferation of syncytiotrophoblasts and cytotrophoblasts (Fig. 22-62B). Mitoses are abundant and sometimes abnormal. The tumor invades the underlying myometrium, frequently penetrates blood vessels and lymphatics, and in some cases extends out onto the uterine serosa and into adjacent structures. Due to rapid growth it is subject to hemorrhage, ischemic necrosis, and secondary inflammation. In fatal cases metastases are found in the lungs, brain, bone marrow, liver, and other organs. On occasion, metastatic choriocarcinoma is discovered without a detectable primary in the uterus (or ovary), presumably because the primary has undergone complete necrosis.

image

FIGURE 22-62 A, Choriocarcinoma presenting as a bulky hemorrhagic mass invading the uterine wall. B, Photomicrograph of choriocarcinoma illustrating both neoplastic cytotrophoblast and syncytiotrophoblast.

(Courtesy of Dr. David R. Genest, Brigham and Women’s Hospital, Boston, MA.)

Clinical Features.

Uterine choriocarcinoma usually does not produce a large, bulky mass, but it manifests as irregular vaginal spotting of a bloody, brown fluid. This discharge may appear in the course of an apparently normal pregnancy, after a miscarriage, or after curettage. Sometimes the tumor does not appear until months after these events. Usually, by the time the tumor is discovered, radiographs of the chest and bones already disclose the presence of metastatic lesions. The titers of HCG are elevated to levels above those encountered in hydatidiform moles. Occasionally, tumors produce little hormone, and some tumors become so necrotic as to become functionally inactive. Widespread metastases are characteristic. Frequent sites of involvement are the lungs (50%) and vagina (30% to 40%), followed in descending order of frequency by the brain, liver, and kidney.

The treatment of gestational choriocarcinoma (and other trophoblastic neoplasms) depends on the type and stage of the tumor and includes evacuation of the contents of the uterus, surgery, and chemotherapy. The results of chemotherapy for gestational choriocarcinoma are spectacular and result in nearly 100% remission and a high rate of cures. Many of the cured patients have had normal subsequent pregnancies and deliveries. By contrast, nongestational choriocarcinomas are much more resistant to therapy. The difference is believed to be due to the expression of paternal antigens in gestational choriocarcinomas that can evoke an immune response from the mother.

PLACENTAL-SITE TROPHOBLASTIC TUMOR (PSTT)

PSTTs compose less than 2% of gestational trophoblastic neoplasms and represent neoplastic proliferation of extravillous trophoblast, also called intermediate trophoblast. In normal pregnancy, extravillous (intermediate) trophoblast is found in nonvillous sites such as the implantation site, in islands of cells within the placental parenchyma, in the chorionic plate, and in the placental membranes. In contrast, syncytiotrophoblast and cytotrophoblast are present on the chorionic villi. Normal extravillous trophoblasts are polygonal mononuclear cells that have abundant cytoplasm and produce human placental lactogen. Malignant transformation of extravillous trophoblast gives rise to PSTT, which presents as a uterine mass (Fig. 22-63A), accompanied by either abnormal uterine bleeding or amenorrhea and moderate elevation of β-HCG. Histologically, PSTT is composed of malignant trophoblastic cells diffusely infiltrating the endomyometrium (Fig. 22-63B). PSTTs may be preceded by a normal pregnancy (one half), spontaneous abortion (one sixth), or hydatidiform mole (one fifth).116,117 Patients with localized disease or a less than 2-year interval from the prior pregnancy to diagnosis have an excellent prognosis. Tumors diagnosed at advanced stage, or diagnosed 2 or more years following pregnancy, have a poor prognosis; overall, about 10% to 15% of women with PSTT die of disseminated disease.118

image

FIGURE 22-63 A, Placental-site trophoblastic tumor (PSTT), presenting as a discrete mass in the myometrium. B, Histology of PSTT.

(Courtesy of Dr. Bradley J. Quade, Brigham and Women’s Hospital, Boston, MA.)

REFERENCES

1 Robboy S, et al, editors. Embryology of the Female Genital Tract, 5th ed., New York: Springer-Verlag, 2002.

2 Kurita T, et al. Epithelial-stromal tissue interaction in paramesonephric (müllerian) epithelial differentiation. Dev Biol. 2001;240:194.

3 Quade BJ, et al. Expression of the p53 homologue p63 in early cervical neoplasia. Gynecol Oncol. 2001;80:24.

4 Malasanos TH. Sexual development of the fetus and pubertal child. Clin Obstet Gynecol. 1997;40:153.

5 Ince TA, et al. p63 coordinates anogenital modeling and epithelial cell differentiation in the developing female urogenital tract. Am J Pathol. 2002;161:1111.

6 Richart RM. Cervical intraepithelial neoplasia. Pathol Annu. 1973;8:301.

7 Kurman R, editor. Blaustein’s Pathology of the Female Genital Tract, 5th ed., New York: Springer-Verlag, 2002.

8 Benirschke KP, Baergen RN. Pathology of the Human Placenta, 5th ed. New York: Springer, 2006.

9 McMillan A, et al, editors. Clinical Practice in Sexually Transmissible Infections. London: WB Saunders, 2002.

10 Xu F, et al. Seroprevalence and coinfection with herpes simplex virus type 1 and type 2 in the United States, 1988–1994. J Infect Dis. 2002;185:1019.

11 Stanberry LR, et al. Prospects for control of herpes simplex virus disease through immunization. Clin Infect Dis. 2000;30:549.

12 Pararas MV, et al. Preterm birth due to maternal infection: causative pathogens and modes of prevention. Eur J Clin Microbiol Infect Dis. 2006;25:562.

13 Pinto AP, et al. Allelic imbalance in lichen sclerosus, hyperplasia, and intraepithelial neoplasia of the vulva. Gynecol Oncol. 2000;77:171.

14 de Koning MN, et al. Prevalence of mucosal and cutaneous human papillomaviruses in different histologic subtypes of vulvar carcinoma. Mod Pathol. 2008;21:334.

15 Vanin K, et al. Overexpression of wild-type p53 in lichen sclerosus adjacent to human papillomavirus-negative vulvar cancer. J Invest Dermatol. 2002;119:1027.

16 Jones RW, et al. Vulvar intraepithelial neoplasia: aspects of the natural history and outcome in 405 women. Obstet Gynecol. 2005;106:1319.

17 Belousova IE, et al. Vulvar Toker cells: the long-awaited missing link: a proposal for an origin-based histogenetic classification of extramammary Paget disease. Am J Dermatopathol. 2006;28:84.

18 Willman JH, et al. Vulvar clear cells of Toker: precursors of extramammary Paget’s disease. Am J Dermatopathol. 2005;27:185.

19 Schrager S, Potter BE. Diethylstilbestrol exposure. Am Fam Physician. 2004;69:2395.

20 Hilgers RD, et al. Embryonal rhabdomyosarcoma (botryoid type) of the vagina. A clinicopathologic review. Am J Obstet Gynecol. 1970;107:484.

21 Kaewsrichan J, et al. Selection and identification of anaerobic Lactobacilli producing inhibitory compounds against vaginal pathogens. FEMS Immunol Med Microbiol. 2006;48:75.

22 Munoz N, et al. Epidemiologic classification of human papillomavirus types associated with cervical cancer. N Engl J Med. 2003;348:518.

23 Schiffman M, et al. Human papillomavirus and cervical cancer. Lancet. 2007;370:890.

24 Franco EL, et al. Epidemiology of acquisition and clearance of cervical human papillomavirus infection in women from a high-risk area for cervical cancer. J Infect Dis. 1999;180:1415.

25 Ostor AG. Natural history of cervical intraepithelial neoplasia: a critical review. Int J Gynecol Pathol. 1993;12:186.

26 Moscicki AB, et al. Risk of high-grade squamous intraepithelial lesion in HIV-infected adolescents. J Infect Dis. 2004;190:1413.

27 Saslow D, et al. American Cancer Society guideline for the early detection of cervical neoplasia and cancer. J Low Genit Tract Dis. 2003;7:67.

28 Wright TCJr., et al. Interim guidance for the use of human papillomavirus DNA testing as an adjunct to cervical cytology for screening. Obstet Gynecol. 2004;103:304.

29 Wright TCJr., et al. 2006 consensus guidelines for the management of women with abnormal cervical cancer screening tests. Am J Obstet Gynecol. 2007;197:346.

30 Cutts FT, et al. Human papillomavirus and HPV vaccines: a review. Bull World Health Organ. 2007;85:719.

31 Jabbour HN, et al. Endocrine regulation of menstruation. Endocr Rev. 2006;27:17.

32 Hou X, et al. Canonical Wnt signaling is critical to estrogen-mediated uterine growth. Mol Endocrinol. 2004;18:3035.

33 Groothuis PG, et al. Estrogen and the endometrium: lessons learned from gene expression profiling in rodents and human. Hum Reprod Update. 2007;13:405.

34 Kiviat NB, et al. Endometrial histopathology in patients with culture-proved upper genital tract infection and laparoscopically diagnosed acute salpingitis. Am J Surg Pathol. 1990;14:167.

35 Bulun SE. Mechanisms of disease: Endometriosis. New Engl J Med. 2009;360:268.

36 Noble LS, et al. Prostaglandin E2 stimulates aromatase expression in endometriosis-derived stromal cells. J Clin Endocrinol Metab. 1997;82:600.

37 Burney RO, et al. Gene expression analysis of endometrium reveals progesterone resistance and candidate susceptibility genes in women with endometriosis. Endocrinology. 2007;148:3814.

38 Nabeshima H, et al. Analysis of the clonality of ectopic glands in peritoneal endometriosis using laser microdissection. Fertil Steril. 2003;80:1144.

39 Wu Y, et al. Resolution of clonal origins for endometriotic lesions using laser capture microdissection and the human androgen receptor (HUMARA) assay. Fertil Steril. 2003;79(Suppl 1):710.

40 Wells M. Recent advances in endometriosis with emphasis on pathogenesis, molecular pathology, and neoplastic transformation. Int J Gynecol Pathol. 2004;23:316.

41 Corley D, et al. Postmenopausal bleeding from unusual endometrial polyps in women on chronic tamoxifen therapy. Obstet Gynecol. 1992;79:111.

42 Kazmerczak B, et al. HMGIY is the target of 6p21.3 rearrangements in various benign mesenchymal tumors. Genes Chromosome Cancer. 1998;23:279.

43 Kurman RJ, et al. The behavior of endometrial hyperplasia. A long-term study of “untreated” hyperplasia in 170 patients. Cancer. 1985;56:403.

44 Di Cristofano A, Ellenson LH. Endometrial carcinoma. Annu Rev Pathol. 2007;2:57.

45 Tashiro H, et al. Mutations in PTEN are frequent in endometrial carcinoma but rare in other common gynecological malignancies. Cancer Res. 1997;57:3935.

46 Maxwell GL, et al. Mutation of the PTEN tumor suppressor gene in endometrial hyperplasias. Cancer Res. 1998;58:2500.

47 Vilgelm A, et al. Akt-mediated phosphorylation and activation of estrogen receptor alpha is required for endometrial neoplastic transformation in Pten+/− mice. Cancer Res. 2006;66:3375.

48 Silverberg SG. Problems in the differential diagnosis of endometrial hyperplasia and carcinoma. Mod Pathol. 2000;13:309.

49 Trimble CL, et al. Concurrent endometrial carcinoma in women with a biopsy diagnosis of atypical endometrial hyperplasia: a Gynecologic Oncology Group study. Cancer. 2006;106:812.

50 Ferenczy A, Gelfand M. The biologic significance of cytologic atypia in progestogen-treated endometrial hyperplasia. Am J Obstet Gynecol. 1989;160:126.

51 O’Connell JT, et al. Identification of a basal/reserve cell immunophenotype in benign and neoplastic endometrium: a study with the p53 homologue p63. Gynecol Oncol. 2001;80:30.

52 Sherman ME. Theories of endometrial carcinogenesis: a multidisciplinary approach. Mod Pathol. 2000;13:295.

53 Mutter GL, et al. Allelotype mapping of unstable microsatellites establishes direct lineage continuity between endometrial precancers and cancer. Cancer Res. 1996;56:4483.

54 Levine RL, et al. PTEN mutations and microsatellite instability in complex atypical hyperplasia, a precursor lesion to uterine endometrioid carcinoma. Cancer Res. 1998;58:3254.

55 Oda K, et al. High frequency of coexistent mutations of PIK3CA and PTEN genes in endometrial carcinoma. Cancer Res. 2005;65:10669.

56 Hayes MP, et al. PIK3CA and PTEN mutations in uterine endometrioid carcinoma and complex atypical hyperplasia. Clin Cancer Res. 2006;12:5932.

57 Tashiro H, et al. p53 gene mutations are common in uterine serous carcinoma and occur early in their pathogenesis. Am J Pathol. 1997;150:177.

58 Grice J, et al. Uterine papillary serous carcinoma: evaluation of long-term survival in surgically staged patients. Gynecol Oncol. 1998;69:69.

59 Tay EH, Ward BG. The treatment of uterine papillary serous carcinoma (UPSC): are we doing the right thing? Int J Gynecol Cancer. 1999;9:463.

60 Lim P, et al. Early stage uterine papillary serous carcinoma of the endometrium: effect of adjuvant whole abdominal radiotherapy and pathologic parameters on outcome. Cancer. 2001;91:752.

61 Silverberg SG, et al. Carcinosarcoma (malignant mixed mesodermal tumor) of the uterus. A Gynecologic Oncology Group pathologic study of 203 cases. Int J Gynecol Pathol. 1990;9:1.

62 Abeln EC, et al. Molecular genetic evidence for the conversion hypothesis of the origin of malignant mixed müllerian tumours. J Pathol. 1997;183:424.

63 Clement PB, Scully RE. Müllerian adenosarcoma of the uterus: a clinicopathologic analysis of 100 cases with a review of the literature. Hum Pathol. 1990;21:363.

64 Chang KL, et al. Primary uterine endometrial stromal neoplasms. A clinicopathologic study of 117 cases. Am J Surg Pathol. 1990;14:415.

65 Li H, et al. Gene fusion and RNA trans-splicing in normal and neoplastic cells. Cell Cycle. 2009;8:218.

66 Ligon AH, Morton CC. Leiomyomata: treatability and cytogenetic studies. Human Reproduction update. 2008;7:8.

67 Ligon AH, Morton CC. Genetics of uterine leiomyomata. Genes Chromosomes Cancer. 2000;28:235.

68 Quade BJ, et al. Frequent loss of heterozygosity for chromosome 10 in uterine leiomyosarcoma in contrast to leiomyoma. Am J Pathol. 1999;154:945.

69 Bell SW, et al. Problematic uterine smooth muscle neoplasms. A clinicopathologic study of 213 cases. Am J Surg Pathol. 1994;18:535.

70 Obermair A, et al. Primary fallopian tube carcinoma: the Queensland experience. Int J Gynecol Cancer. 2001;11:69.

71 Aziz S, et al. A genetic epidemiological study of carcinoma of the fallopian tube. Gynecol Oncol. 2001;80:341.

72 Ovarian pathology in infertility. In: Young RHS, Scully RE, Krausz FT, editors. Pathology of Reproductive Failure. Baltimore: Williams and Wilkins; 1991:104-139.

73 Homburg R. Polycystic ovary syndrome—from gynaecological curiosity to multisystem endocrinopathy. Hum Reprod. 1996;11:29.

74 Ovalle F, Azziz R. Insulin resistance, polycystic ovary syndrome, and type 2 diabetes mellitus. Fertil Steril. 2002;77:1095.

75 The Ovary. In: Young RH, Steinberg S, et al, editors. Diagnostic Surgical Pathology. New York: Raven Press, 1994.

76 Scully RE. Pathology of ovarian cancer precursors. J Cell Biochem Suppl. 1995;23:208.

77 Narod SA, Boyd J. Current understanding of the epidemiology and clinical implications of BRCA1 and BRCA2 mutations for ovarian cancer. Curr Opin Obstet Gynecol. 2002;14:19.

78 Narod SA, et al. Tubal ligation and risk of ovarian cancer in carriers of BRCA1 or BRCA2 mutations: a case-control study. Lancet. 2001;357:1467.

79 Ness RB, et al. Oral contraceptives, other methods of contraception, and risk reduction for ovarian cancer. Epidemiology. 2001;12:307.

80 Malpica A, et al. Interobserver and intraobserver variability of a two-tier system for grading ovarian serous carcinoma. Am J Surg Pathol. 2007;31:1168.

81 Bell DA. Origins and molecular pathology of ovarian cancer. Mod Pathol. 2005;18:S19.

82 Shih IeM, Kurman RJ. Ovarian tumorigenesis: a proposed model based on morphological and molecular genetic analysis. Am J Pathol. 2004;164:1511.

83 Werness BA, et al. Histopathology of familial ovarian tumors in women from families with and without germline BRCA1 mutations. Hum Pathol. 2000;31:1420.

84 Szych C, et al. Molecular genetic evidence supporting the clonality and appendiceal origin of pseudomyxoma peritonei in women. Am J Pathol. 1999;154:1849.

85 Cuatrecasas M, et al. K-RAS mutations in mucinous ovarian tumors: a clinicopathologic and molecular study of 95 cases. Cancer. 1997;79:1581.

86 Lee KR, Scully RE. Mucinous tumors of the ovary: a clinicopathologic study of 196 borderline tumors (of intestinal type) and carcinomas, including an evaluation of 11 cases with “pseudomyxoma peritonei.”. Am J Surg Pathol. 2000;24:1447.

87 Watkin W, et al. Mucinous carcinoma of the ovary. Pathologic prognostic factors. Cancer. 1992;69:208.

88 Ronnett BM, et al. Immunohistochemical evidence supporting the appendiceal origin of pseudomyxoma peritonei in women. Int J Gynecol Pathol. 1997;16:1.

89 Eifel P, et al. Simultaneous presentation of carcinoma involving the ovary and the uterine corpus. Cancer. 1982;50:163.

90 Catasus L, et al. Molecular genetic alterations in endometrioid carcinomas of the ovary: similar frequency of β-catenin abnormalities but lower rate of microsatellite instability and PTEN alterations than in uterine endometrioid carcinomas. Hum Pathol. 2004;35:1360.

91 Sato N, et al. Loss of heterozygosity on 10q23.3 and mutation of the tumor suppressor gene PTEN in benign endometrial cyst of the ovary: possible sequence progression from benign endometrial cyst to endometrioid carcinoma and clear cell carcinoma of the ovary. Cancer Res. 2000;60:7052.

92 Berek JS, Bast RCJr. Ovarian cancer screening. The use of serial complementary tumor markers to improve sensitivity and specificity for early detection. Cancer. 1995;76(10 Suppl):2092.

93 Kim JH, et al. Osteopontin as a potential diagnostic biomarker for ovarian cancer. JAMA. 2002;287:1671.

94 Petricoin EF, et al. Use of proteomic patterns in serum to identify ovarian cancer. Lancet. 2002;359:572.

95 Hankinson SE, et al. Tubal ligation, hysterectomy, and risk of ovarian cancer. A prospective study. JAMA. 1993;270:2813.

96 Linder D, et al. Pathenogenic origin of benign ovarian teratomas. N Engl J Med. 1975;292:63.

97 Mutter GL. Teratoma genetics and stem cells: a review. Obstet Gynecol Surv. 1987;42:661.

98 O’Connor DM, Norris HJ. The influence of grade on the outcome of stage I ovarian immature (malignant) teratomas and the reproducibility of grading. Int J Gynecol Pathol. 1994;13:283.

99 Hole-Hansen CE, et al. Ovarian dysgerminomas are characterized by frequent KIT mutations and abundant expression of pluripotency markers. Mol Cancer. 2007;6:12.

100 Sever M, et al. Expression of CD117 (C-KIT) receptor in dysgerminoma of the ovary: diagnostic and therapeutic implications. Mod Pathol. 2005;18:1411.

101 Williams S, et al. Adjuvant therapy of ovarian germ cell tumors with cisplatin, etoposide, and bleomycin: a trial of the Gynecologic Oncology Group. J Clin Oncol. 1994;12:701.

102 Young RH, Scully RE. Ovarian sex cord–stromal tumors: recent progress. Int J Gynecol Pathol. 1982;1:101.

103 Robertson DM, et al. Inhibins/activins as diagnostic markers for ovarian cancer. Mol Cell Endocrinol. 2002;191:97.

104 Prat J, Scully RE. Cellular fibromas and fibrosarcomas of the ovary: a comparative clinicopathologic analysis of seventeen cases. Cancer. 1981;47:2663.

105 Roth LM, et al. Sertoli–Leydig cell tumors: a clinicopathologic study of 34 cases. Cancer. 1981;48:187.

106 Hart WR, Burkons DM. Germ cell neoplasms arising in gonadoblastomas. Cancer. 1979;43:669.

107 Wilcox AJ, et al. Incidence of early loss of pregnancy. N Engl J Med. 1988;319:189.

108 Rossing MA, et al. Past use of an intrauterine device and risk of tubal pregnancy. Epidemiology. 1993;4:245.

109 Schmidt M, et al. Altered angiogenesis in preeclampsia: evaluation of a new test system for measuring placental growth factor. Clin Chem Lab Med. 2007;45:1504.

110 Baumwell S, Karumanchi SA. Pre-eclampsia: clinical manifestations and molecular mechanisms. Nephron Clin Pract. 2007;106:c72.

111 Venkatesha S, et al. Soluble endoglin contributes to the pathogenesis of preeclampsia. Nat Med. 2006;12:642.

112 Maynard S, Epstein FH, Karumanchi SA. Preeclampsia and angiogenic imbalance. Ann Rev Med. 2008;59:61.

113 Clark BA, et al. Urinary cyclic GMP, endothelin, and prostaglandin E2 in normal pregnancy and preeclampsia. Am J Perinatol. 1997;14:559.

114 Bracken MB, et al. Epidemiology of hydatidiform mole and choriocarcinoma. Epidemiol Rev. 1984;6:52.

115 Lurain JR, et al. Natural history of hydatidiform mole after primary evacuation. Am J Obstet Gynecol. 1983;145:591.

116 Papadopoulos AJ, et al. Twenty-five years’ clinical experience with placental site trophoblastic tumors. J Reprod Med. 2002;47:460.

117 Chang YL, et al. Prognostic factors and treatment for placental site trophoblastic tumor—report of 3 cases and analysis of 88 cases. Gynecol Oncol. 1999;73:216.

118 Baergen RN, et al. Placental site trophoblastic tumor: a study of 55 cases and review of the literature emphasizing factors of prognostic significance. Gynecol Oncol. 2006;100:511.

* The contributions of Dr. Christopher Crum to this chapter over the past many editions are gratefully acknowledged.