28 DYSPNOEA: WHAT TO LOOK FOR

Dyspnoea: Difficult, laboured or uncomfortable breathing…the sense of not getting enough air. A symptom, not a sign.
Acute dyspnoea: Dyspnoea arising over the preceding 24–48 hours1.
Chronic dyspnoea: Dyspnoea lasting more than one month2.

Golden Rule 1: The usefulness of the CXR findings — positive or negative — depends on the input derived from the clinical history and the physical examination.
Golden Rule 2: Always tailor your inspection of the CXR to the individual patient…asking the CXR a specific question.
Golden Rule 3: You only see what you look for — you only look for what you know.
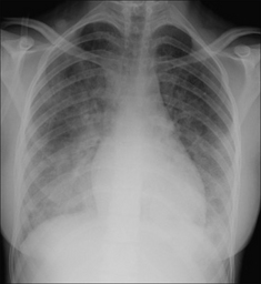
image

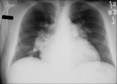
Figure 28.1 Chronic dyspnoea. Extensive alveolar shadowing. Wide differential diagnosis. Apply Golden Rule 1—clinical details are crucial. Known renal failure with fluid retention. CXR conclusion—alveolar pulmonary oedema.

image

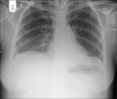
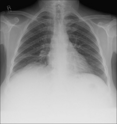
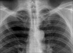
Figure 28.2 Acute dyspnoea. Lungs clear. Both domes of the diaphragm are high. Apply Golden Rule 1—clinical details are crucial. Abdomen is distended with a succussion splash when shaken. CXR conclusion—ascites displacing the diaphragm upwards.

image

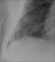
Figure 28.3 Chronic dyspnoea. Shadowing in the right lower zone. Apply Golden Rule 3—you only look for what you know. CXR conclusion—collapse of the right lower lobe.

image

Figure 28.4 Acute dyspnoea. Left dome of the diaphragm appears to be high. Apply Golden Rule 3—you only look for what you know. Note the inferior displacement of the stomach air bubble. CXR conclusion—large subpulmonary effusion, not an elevated dome of the diaphragm (See p. 82).

image

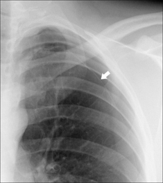
Figure 28.5 Acute dyspnoea. No obvious CXR abnormality. Apply Golden Rule 1—clinical details are crucial. History of left sided pleuritic pain. Apply Golden Rule 2—ask the CXR a specific question…and Golden Rule 3—you only look for what you know. CXR conclusion—careful inspection of the left apex reveals a shallow pneumothorax. The arrow indicates the visceral pleura.

image

Figure 28.6 Chronic dyspnoea. Apply Golden Rule 3—you only look for what you know. Fine interstitial lines and nodules in the right lower zone. The same appearance was evident in the left lower zone. CXR conclusion—interstitial fibrosis. Subsequently confirmed.

DYSPNOEA—POSSIBLE CAUSES

The clinical history and examination will predict the precise diagnosis in 70–80% of patients presenting with dyspnoea1,3-6. In many instances the CXR findings—normal or abnormal—will confirm or support the pre-test clinical diagnosis (see Chapter 17). On the other hand, the pre-test clinical diagnosis may be uncertain. The physician will know whether the dyspnoea is acute or chronic, and based on this and the clinical findings she needs to compose the question that she wishes the CXR to answer.

Examples:

image Acute dyspnoea: is there a subtle pneumothorax? A hidden pneumonia? Left lower lobe collapse?
image Chronic dyspnoea: are there any features to suggest bronchiectasis? Any evidence of elevated pulmonary venous pressure? Is there any subtle shadowing that would suggest interstitial fibrosis?

Table 28.1 Acute dyspnoea: pulmonary and cardiac causes.

Pulmonary disease
image Acute exacerbation of chronic obstructive pulmonary disease (COPD)
image Asthma exacerbation
image Bronchitis
image Epiglottitis
image Foreign body aspiration… especially in children
image Lung or lobar collapse
image Non-cardiac pulmonary oedema
image Pleural effusion
image Pneumonia
image Pneumothorax
image Pulmonary embolus
Cardiac disease
image Acute myocardial infarct
image Cardiomyopathy
image Pericarditis
image Pulmonary oedema
image Septal defects
image Unstable angina

Table 28.2 Acute dyspnoea: other causes.

image Acute blood loss
image Metabolic acidosis
image Drugs:
image cocaine or crack cocaine… may cause an acute coronary syndrome or a spontaneous pneumothorax or a pneumomediastinum
image Psychogenic:
image anxiety
image post-traumatic stress disorder
image panic attack

Table 28.3 Chronic dyspnoea: pulmonary and cardiac causes.

Pulmonary disease
image COPD
image Bronchiectasis
image Parenchymal lung disease
image interstitial lung disease (p. 40)
image malignant infiltration
image Pleural effusion
image Pulmonary arterial hypertension
Cardiac disease
image Coronary arterial disease
image Left heart failure
image Valvular disease
image Arrhythmia
image Cardiomyopathy

Table 28.4 Chronic dyspnoea: other causes.

Anaemia  
Neuromuscular… Weakness of respiratory muscles
Thyroid disease… Hyperthyroidism
Deconditioning… Poor physical condition

CXR EVALUATION

It is important that the CXR is analysed in a systematic manner in order not to overlook subtle evidence of disease (see p. 10). If you think that the CXR is normal, then take a few more seconds to re-examine or exclude:

1. The tricky hidden areas (p. 13).
2. Lobar collapse (pp. 52–69).
3. Pneumothorax (pp. 94–99).
4. Borders of the heart and domes of the diaphragm (pp. 45–48).

DYSPNOEA—CXR IMPACT ON DIAGNOSIS

Sometimes the CXR will provide the precise diagnosis, sometimes it will suggest a possible diagnosis…and a normal CXR will often exclude several diagnoses.

CXR ABNORMAL—DIAGNOSIS CONFIRMED OR DISCLOSED

Examples:

image pneumothorax
image pneumonia
image malignant disease causing lung or lobar collapse
image pleural effusion
image pulmonary oedema
image

Figure 28.7 Acute dyspnoea. Large left pneumothorax.

image

Figure 28.8 Acute dyspnoea. Cough and fever. Scattered areas of consolidation in the right upper and lower lobes. Pneumonia.

image

Figure 28.9 Acute dyspnoea. Extensive interstitial shadows with septal lines at the right base. Pulmonary oedema.

CXR ABNORMAL—A POSSIBLE DIAGNOSIS IS SUGGESTED

A CXR finding may not be definitive—in terms of diagnosis—but will assist by directing the physician towards a likely possibility.

Examples:

image Enlarged heart and vessel margins slightly blurred
image left heart failure6
image Low—and flat—diaphragm
image COPD
image asthma
image Lung “shadows”
image interstitial disease7 (e.g. interstitial fibrosis)
image bronchiectasis
image Enlarged hilum or hila
image enlarged pulmonary arteries
pulmonary arterial hypertension
pulmonary thrombo-embolic disease
image Plethoric lungs
image left-to-right cardiac shunt
image Fixed hiatus hernia
image gastro-oesophageal reflux disease (GORD) and aspiration as a possible cause of chronic dyspnoea
image Abnormally high dome or domes of the diaphragm
image phrenic nerve paralysis
image displacement upwards by an intra-abdominal mass or ascites
image

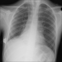
Figure 28.10 Chronic dyspnoea. Large bulla in the right upper zone. COPD suggested as a cause for the dyspnoea.

image

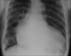
Figure 28.11 Chronic dyspnoea. The heart is enlarged. Cardiac disease suggested as a cause for the dyspnoea.

image

Figure 28.12 Chronic dyspnoea. The proximal pulmonary arteries are large and the arteries in the mid zones of both lungs are disproportionately smaller. Pulmonary arterial hypertension suggested as the cause for the dyspnoea (see pp. 162–163).

CXR NORMAL…BUT HELPFUL8

image A negative (i.e. normal) CXR can be very valuable in excluding several causes for the dyspnoea.
image A normal CXR excludes:
pneumothorax
pneumonia
pleural effusion
image A normal cardiothoracic ratio excludes acute left heart failure—unless the patient has suffered an acute myocardial infarct.
image An important reminder. A normal CXR does not exclude:
image Pulmonary thromboembolic disease…in many patients pulmonary embolism will be the default diagnosis and this must be excluded or confirmed by utilising other tests (pp. 291–292).
image Asthma.
image Acute bronchitis.
image Acute infection superimposed on COPD.
image Bronchiectasis…though most CXRs will be abnormal9.
image Pneumocystis carinii infection…early (p. 139).
image Interstitial fibrosis…though most CXRs will be abnormal10.
image

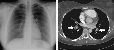
Figure 28.13 Female. Age 24. Acute dyspnoea. Normal CXR. The CT pulmonary angiogram reveals large thrombi in the pulmonary arteries (arrows). Acute pulmonary embolism.

FACTS AND FIGURES

image Two thirds of patients presenting with dyspnoea have a cardiac or pulmonary cause.
image One third of patients presenting with dyspnoea have more than one causative factor5.
image Acute myocardial infarction but no chest pain…dyspnoea is a common presenting symptom. Particularly in:
image women
image patients with diabetes mellitus
image patients age 70 and older

REFERENCES

1. Boyars MC, Karnath BM, Mercado AC. Acute dyspnea: a sign of underlying disease. Hosp Physician. 2004;7:23-27.

2. American Thoracic Society. Dyspnea. Mechanisms, assessment, and management: a consensus statement. Am J Respir Crit Care Med. 1999;159:321-340.

3. Mulrow CD, Lucey CR, Farnett LE. Discriminating causes of dyspnea through clinical examination. J Gen Intern Med. 1993;8:383-392.

4. Schmitt BP, Kushner MS, Weiner SL. The diagnostic usefulness of the history of the patient with dyspnea. J Gen Intern Med. 1986;1:386-393.

5. Michelson E, Hollrah S. Evaluation of the patient with shortness of breath: an evidence based approach. Emerg Med Clin North Am. 1999;17:221-237.

6. Wang CS, Fitzgerald JM, Schulzer M, et al. Does this dyspneic patient in the emergency department have congestive heart failure? JAMA. 2005;294:1944-1956.

7. American Thoracic Society. Idiopathic pulmonary fibrosis: diagnosis and treatment. International consensus statement. American Thoracic Society (ATS) and the European Respiratory Society (ERS). Am J Respir Crit Care Med. 2000;161:646-664.

8. Gorry GA, Pauker SG, Schwartz WB. The diagnostic importance of the normal finding. N Engl J Med. 1978;298:486-489.

9. Gudbjerg CE. Roentgenologic diagnosis of bronchiectasis. An analysis of 112 cases. Acta Radiol. 1955;43:210-226.

10. Johnston ID, Prescott RJ, Chalmers JC, et al. British Thoracic Society study of cryptogenic fibrosing alveolitis: current presentation and initial management. Thorax. 1997;52:38-44.