Definition and Overview.: Multiple myeloma (MM) is a primary malignant neoplasm of plasma cells arising in the bone marrow. This tumor initially affects the bones and bone marrow of the vertebrae, ribs, skull, pelvis, and femur. Progression of the disease causes damage to the kidney, leads to recurrent infections, and often affects the nervous system. The extent, clinical course, complications, and sensitivity to treatment vary widely among affected people.
Incidence and Etiologic Factors.: The incidence of MM has doubled in the past 2 decades, with an annual incidence of approximately 16,570 cases in the United States and 11,310 deaths from MM in the United States in 2006.10,91 Since more people are living longer, much of this increase is due to the occurrence of MM in people over the age of 85 years.
MM occurs less often than the most common cancers (e.g., breast, lung, or colon), but its incidence is double that of HL. This disease can develop at any age but is most commonly seen in older people. The median age of diagnosis is 69 years for men and 71 years for women; only 5% of clients with MM are younger than 40 years.
Black men are affected twice as often as white men,158 and MM is slightly more common in men than in women. Risk factors and the cause of MM are unknown, but exposure to ionizing radiation may be linked. Certain occupational hazards found in the petroleum, leather, lumber, and agricultural industries may be linked as well.
Pathogenesis.: MM is a malignancy that increases the rate of cell division of plasma cells produced in bone marrow. In the normal development of plasma cells, a hematopoietic stem cell in the bone marrow gives rise to an immature B lymphocyte. This cell then enters the bloodstream and travels to lymphoid tissue. Here it is activated by an antigen-presenting cell and exposed to an antigen, becoming a centroblast.
Centroblasts undergo a maturation process that requires gene rearrangements and switching its Ig isotype from IgM to IgG or IgA. Centroblasts become centrocytes, which then differentiate into plasmablasts or memory B cells. Plasmablasts then migrate back to the bone marrow and terminally differentiate into plasma cells, which no longer divide.
Although it is unknown which cell is the progenitor to the malignant clonal plasma cells, research suggests that it involves the memory B cell or plasmablast—cells that have already been exposed to antigen and undergone gene rearrangements. It is during these times of rearrangement in the gene’s coding for the immunoglobulin that breaks naturally occur and mutations can occur, leading to MM.
While this process takes place in lymph tissue (where MM is not typically involved), these cells leave and acquire adhesion molecules, allowing them to attach to the bone marrow stromal cells (structure cells of the bone marrow). It is also these adhesion molecules that attract malignant plasma cells together, forming plasmacytomas or masses of plasma cells.
Similar to other cancers, these clonal cells require the aid of surrounding cells for survival and proliferation. Stromal cells, once a myeloma cell attaches, release cytokines and inflammatory proteins such as IL-6 and IL-1, and tumor necrosis factor (TNF). These proteins then induce the stromal cells to express a surface protein that binds osteoclast precursor cells, inducing them to mature and differentiate. Osteoclasts then break down bone.
This process can be inhibited by osteoprotegerin (OPG), which is secreted by many cell types, but myeloma cells are able to internalize and break down OPG. This leads to an imbalanced situation in the bones, with increased osteoclast activity and reduced OPG. What is unknown is why osteoblasts (bone building cells) undergo apoptosis (programmed cell death). These areas of bone destruction can be seen on plain radiographs, CT, or MRI.
These clonal plasma cells also release high concentrations of immunoglobulins known as M-protein. Monoclonal immunoglobulins in the urine are termed Bence Jones protein. These proteins contribute to renal dysfunction and suppress normal immunoglobulin synthesis.
This decreased level of normal antibodies leaves people with MM unable to adequately respond to infections. Bleeding problems are seen in 15% to 30% of clients with MM. Although thrombocytopenia is uncommon in the early stages of the disease (IL-6 may stimulate megakaryocytes), acquired coagulopathies or platelet dysfunction can occur. Anemia is common due to low levels of erythropoietin and increased levels of cytokines that decrease the production of erythrocytes.
Clinical Manifestations.: The onset of MM is usually gradual and insidious. Common presenting features include fatigue, bone pain, and recurrent infections. Fatigue is a frequent problem due to anemia and elevated levels of cytokines.
Infections are common, particularly gram-negative organisms (60% of infections). MM in older adults (older than 75 years) is the same as that reported in younger people except for a higher rate of infection in the older population.161 These malignant plasma cells can also form large masses known as plasmacytomas, which can grow in bones and soft tissues.
Musculoskeletal.: Most people with MM develop bone pain (more than two thirds present with it) and other bone-related problems as bone marrow expands and bone is destroyed. The initial symptom is usually bone pain, particularly at the sites containing red marrow (ribs, pelvis, spine, clavicles, skull, and humeri). Bone loss, the major clinical manifestation of MM, often leads to pathologic fractures, spinal cord compression, osteolysis-induced hypercalcemia, and bone pain.
Initially the bone pain may be mild and intermittent or may develop suddenly as a severe pain in the back, rib, leg, or arm, which is often the result of an abrupt movement or effort that has caused a spontaneous (pathologic) bone fracture. The pain is often radicular and sharp to one or both sides and is aggravated by movement. Symptoms associated with bone pain usually subside within days to weeks after initiation of systemic chemotherapy, but if the disease progresses more areas of bone destruction develop.
Bone destruction leads to hypercalcemia, seen in 30% to 40% of people with MM, which can be life threatening. Symptoms of hypercalcemia may include confusion, increased urination, loss of appetite, abdominal pain, constipation, and vomiting (see the section on hypercalcemia in Chapter 5).
Muscular weakness and wasting affect nearly half of all individuals with cancer and contribute to the cause of cancer-related fatigue. Muscle wasting occurs as a result of disuse, pathology, anemia, nutritional imbalances, or decreased rates of muscle protein synthesis.6
Renal.: Renal impairment is a common complication of MM, occurring in 50% of all cases at some stage in the disease process. The pathogenesis is multifactorial, but myeloma of the kidney and hypercalcemia account for two of the major causes.
The large amount of monoclonal light chains secreted by the malignant plasma cells can form large casts in the tubules of the kidneys, causing dilation and atrophy, which leads to the inability of the nephron to function and interstitial nephritis. Hypercalcemia occurs from increased bone destruction and absorption of calcium into the blood. In an effort to rid the body of the excess calcium, the kidneys increase the output of urine, which can lead to serious dehydration and result in further kidney damage if intake of fluids is inadequate.
Calcium can also be deposited in the kidney, creating another source of interstitial nephritis. Hypercalcemia is a common presenting feature but is less common after adequate chemotherapy. Recurrent urinary tract infections are also common and detrimental to the kidneys.
Many medications are nephrotoxic, including some antibiotics, radiographic dyes, and chemotherapy agents. NSAIDs can reduce blood flow to the kidneys, causing further damage. Because of the many factors that can cause injury to the kidneys, nephrotoxic medications should be avoided or used with caution in clients with MM since renal dysfunction and renal failure can occur.
Neurologic.: Neurologic complications of MM stem from bone loss or tumor invasion or are protein related. As bone is destroyed in the vertebrae, collapse of the bone with subsequent compression of the nerves can occur. Clients may complain of back pain, numbness, tingling, or loss of strength.
Large plasmacytomas (particularly in the spinal canal or skull) can compress nerves, leading to spinal cord or cranial nerve compressions. Spinal cord compression is usually observed early or in the late relapse phase of the disease. Presenting symptoms include back pain with radiating numbness/tingling, muscle weakness or paralysis of the lower extremities, and loss of bowel or bladder control.
Spinal cord compression is a medical emergency requiring immediate attention. High concentrations of protein are also neuropathic. Amyloidosis (deposits of insoluble fragments of a protein) develops in approximately 10% of people with MM (up to 35% have asymptomatic amyloidosis). These deposits cause tissues to become waxy and immobile and may affect nerves, muscles, and ligaments, especially the carpal tunnel area of the wrist. Carpal tunnel syndrome with pain, numbness, or tingling of the hands and fingers may develop. The association between MM and RA, Sjögren’s syndrome, and other autoimmune diseases has been established, but it is not clear why this occurs.
The diagnosis of MM is determined by clinical factors as well as bone marrow examination. Because other diseases also present with an elevated monoclonal gammopathy, new criteria have been developed by the International Myeloma Working Group to aid in the diagnosis and distinction of these paraprotein diseases in order to provide appropriate treatment.39
Major and minor criteria were created to distinguish MM from asymptomatic myeloma and monoclonal gammopathies of undetermined significance (MGUS). Clients must have at least one major and one minor or three minor criteria to be diagnosed with MM (Table 14-5). Major features consist of an elevated M-protein level or Bence Jones proteinuria, plasmacytoma on a tissue biopsy, and greater than 30% of clonal plasma cells on bone marrow biopsy examination. Individuals who demonstrate increased levels of M-protein but do not exhibit end-organ damage have asymptomatic (smoldering) myeloma.
Table 14-5
Criteria for the Diagnosis of MM
| Major Criteria | Minor Criteria |
| Plasmacytoma by biopsy of tissue | Bone marrow shows clonal plasma cells 10%-30% |
| Bone marrow shows clonal plasma cells >30% | M-protein less than that for major criteria (IgG < 3.5 g/dl, IgA < 2.0 g/dl) |
| High M-protein (IgG > 3.5 g/dl, IgA > 2.0 g/dl) | Lytic bone lesions on radiograph or MRI |
| Bence Jones proteinuria >1.0 g/24 hr | Reduced levels of nonmonoclonal immunoglobulins (IgM < 50 mg/dl, IgA < 100 mg/dl, or IgG < 600 mg/dl) |
Modified from Criteria for the classification of monoclonal gammopathies, multiple myeloma and related disorders: a report of the International Myeloma Working Group, Br J Haematol 121:749-757, 2003.
Clients who express low amounts of protein, have less than 10% of plasma cells in the bone marrow, and have no end-organ damage are diagnosed with MGUS. Approximately 12% of clients with MGUS will develop MM, macroglobulinemia, other lymphoproliferative disease, or amyloidosis within 10 years; this risk increases to 25% at 20 years (i.e., a minority of people with MGUS will develop MM).105 The factor that correlates best with the progression of MGUS to MM is the concentration of M-protein at diagnosis.
Tests performed to determine if criteria are met for the diagnosis of MM include a bone marrow biopsy, measurement of M-protein in the blood and urine (serum protein electrophoresis and urine protein electrophoresis, respectively, or more sensitive tests such as immunoelectrophoresis and immunofixation), biopsy of any suspect mass, and radiographic skeletal survey (lytic lesions also seen on CT and MRI).
Other tests that are helpful in providing prognostic information include LDH, β2 microglobulin, plasma cell labeling index (a measurement of the proliferative capacity of the myeloma cells), and cytogenetics (to determine specific mutations and abnormalities). Both plasma cell labeling index and cytogenetic tests are obtained by bone marrow aspiration. PET scans can also reveal probable areas of tumor involvement, while β2 microglobulin, a small protein, reflects tumor load.
Evaluation of symptoms may include an assessment of serum calcium, kidney function, CBC, quantitative immunoglobulins, and cultures (for any suspected infections).
The center of treatment of MM includes the elimination of malignant plasma cells and correction of problems in the bones and other organs. For decades, standard treatment for MM has been intermittent cycles of melphalan plus prednisone or a combination of alkylating agents when progression of disease occurs. Survival with these agents alone is approximately 3 years.
The introduction of high-dose (myeloablative) chemotherapy using melphalan with stem cell support in the initial treatment of MM significantly improved the outcomes, with increased complete remission rate and extended disease-free and overall survival. Later research found that two high-dose courses of melphalan, each followed by an infusion of autologous stem cells, was superior to a single treatment, particularly for clients who did not respond to the first transplant.14
This double transplant is best for people whose myeloma cells have a normal karyotype. In these clients remission at 10 years was nearly 20%. Efforts are being made to find ways to overcome drug resistance and reduce the ability of environmental cells to aid in the survival and proliferation of myeloma cells.
Three drugs available are thalidomide, lenalidomide, and bortezomib. All three agents have shown superiority to conventional drugs in refractory and relapsed disease, and studies are ongoing to determine their use in earlier treatment. Thalidomide, an infamous oral agent, has shown significant improvement in response rates as a preparatory agent for autologous BMT compared with conventional agents.
When used in maintenance therapy following transplant, thalidomide improved event-free survival compared with no maintenance therapy. Yet thalidomide has not been shown to improve overall survival when used before and after double transplants.16 Because thalidomide does cause significant fetal malformations, increased thromboembolic risks, and severe neuropathy, an analogue (lenalidomide) was designed in hopes of reduced side effects. While lenalidomide lacks the adverse effect of severe neuropathy, it does cause neutropenia.
Another newly introduced medication is bortezomib, a proteasome inhibitor (a proteasome degrades other proteins, keeping a balance of proteins in a cell). It is currently approved for refractory and relapsed myeloma.157 Further research is needed to determine which drugs are most effective and when. Oncologists are looking toward individualizing treatment depending on the types of mutations present in the myeloma cells.
Advances have also been made in correcting symptoms caused by the myeloma and surrounding cells. Bone pain is one of the most significant problems faced by clients with MM. Pathologic fractures are treated with surgery and pain control. Lytic lesions often require radiation for pain relief along with opiates. Radiation may be all that is needed to decrease pain and stabilize the cervical spine when metastases occur. In some cases radiation has been shown to stop and even reverse bone destruction.66a
Monthly infusions of the bisphosphonates pamidronate and zoledronic acid have been shown to be effective when used with chemotherapy, not only in the improvement of bone lesions but also in decreasing the need for radiation, decreasing osteoporotic fractures, and improving survival in some people with myeloma (median survival is 1 year compared with 3 or 4 months with BMT).20,185
Bisphosphonates are potent inhibitors of osteoclastic activity (resorption) and may exert an antitumor effect that is apoptotic and antiproliferative.52 Hypercalcemia is treated with hydration, corticosteroids, and bisphosphonates. Anemia improves with myeloma treatment, but the use of erythropoietin can speed up recovery of erythrocyte production.
Future treatment under investigation includes peripheral stem cell grafting, posttransplant immunotherapy, gene therapy, new drugs, development of effective oral bisphosphonates, new ways of delivering radiotherapy to specific sites, and radiopharmaceuticals that concentrate at involved marrow sites.203 A tumor-specific vaccine for active immunization is also under investigation.74
Despite 30 years of clinical trial research conducted by three major cooperative groups under the auspices of the National Cancer Institute, the prognosis for MM has not markedly improved and it remains an incurable disease. With standard therapy, the median survival of clients with MM remains about 3 years.
The advent of double transplants has improved the median survival, with the estimated overall 7-year survival rate of 21% for people receiving a single transplant and 42% for those receiving a double transplant (two high-dose courses).14 Yet individual responses are varied and a client’s prognosis cannot be accurately predicted. As in lymphomas and leukemias, scientists are looking for genetic factors that will not only aid in directing therapy, but prognosis as well.207
Some of the risk factors for a poor prognosis include a high serum C-reactive protein (a surrogate marker for IF-6 activity), β2 microglobulin, or LDH (both reflecting tumor load). Other poor risk factors are an elevated plasma cell labeling index, detection of circulating plasma cells, and involvement of the CNS by myeloma cells (malignant cells in the CSF accompanied by signs and symptoms of CNS involvement).
Some of the cytogenetic prognostic factors include deletion of chromosomes 13 and 17 and alterations in chromosome 1. The development of bisphosphonates, thalidomide, and bortezomib has aided in changing the local myeloma environment and in reducing resistance of tumor cells to commonly employed cytotoxic drugs.
If untreated, unstable MM can result in skeletal deformities, particularly of the ribs, sternum, and spine. Diffuse osteoporosis develops, accompanied by a negative calcium balance. Prognosis is affected by the presence of renal failure (poorer prognosis if present at the time of diagnosis), hypercalcemia, or extensive bony disease; infection and renal failure are the most common causes of death.
Future improvements with transplantation may be achieved by providing tumor-free grafts and posttransplant treatment aimed at eradicating minimal residual disease.
Myeloproliferative disorders are a group of diseases that originate from a hematopoietic stem cell that has undergone a transformation. This transformation allows the cells to mature and function, yet there is uncontrolled production. Myeloproliferative disorders also share other characteristics, including a hypercellular bone marrow, tendency toward thrombosis and hemorrhage, and an increased risk of evolving into acute leukemia over time.28
The four main myeloproliferative diseases are CML, polycythemia vera, essential thrombocythemia, and idiopathic myelofibrosis. While all of these disorders can exhibit elevations in all cell lines, each disease has a main cell line that is affected.
Polycythemia vera is an uncontrolled production of erythrocytes. Essential thrombocythemia is characterized by an elevated platelet count. Excessive fibrosis of the marrow is a dominant feature of idiopathic myelofibrosis. Myelofibrosis and other more rare diseases are not covered in this text. CML is discussed with the leukemias.
Definition, Overview, and Etiologic Factors.: Polycythemia (rubra) vera (PV) is a myeloproliferative disorder of bone marrow stem cells affecting the production of erythrocytes. The diagnosis of polycythemia means an elevated RBC mass that may be primary or secondary.
Secondary polycythemia is typically acquired as a result of decreased oxygen availability to the tissues; the body attempts to compensate for the reduced oxygen by producing more erythrocytes (e.g., smoking, high altitudes, and chronic heart and lung disorders). However, PV is a primary cause of polycythemia and results from a genetic abnormality that allows erythrocytes to mature and function, but in an uncontrolled fashion.
The incidence of PV is approximately two to three cases per 100,000.12 PV develops following a transformation of a hematopoietic stem cell. The etiologic factors of PV are attributed to benzene and other occupational exposures, including radiation. It typically occurs in older people between age 50 and 60 years (people with PV younger than 30 years is rare), with a slightly higher incidence in men than in women.
Pathogenesis.: Recently specific mutations have been discovered that tie many of the myeloproliferative disorders together. One, reported in 2005, was a change in Janus kinase 2 (JAK2). This protein normally initiates intracellular signals after a cell membrane receptor binds erythropoietin, thrombopoietin, IL-3, GCSF, or granulocyte-macrophage CSF.28
Once JAK2 is activated, a cascade of signals is sent that leads to the production of cells. In up to 95% of clients with PV, there is a mutation in the JAK2 gene. Valine is replaced for phenylalanine at position 617 (V617F). This region normally exerts a negative effect in that it controls signals and the production of cells. But with this mutation cellular production occurs despite the lack of binding cytokines (cells become cytokine independent), leading to many of the problems seen in myeloproliferative disorders, including PV.
Other genetic abnormalities are also described, and several genetic modifications are most likely required for cellular transformation. There is also an increased risk of PV evolving into AML over time. Although the mechanisms are not understood, clients without the JAK2 mutation can develop AML, demonstrating that other mutations may be the source.
Clinical Manifestations.: Symptoms are related to hyperviscosity, hypervolemia, and hypermetabolism. The increased concentration of erythrocytes may cause hypertension or neurologic symptoms such as headache, blurred vision, feeling of fullness in the head, disturbances of sensation in the hands and feet, and vertigo.
Blockage of the capillaries supplying the digits of either the hands or feet may cause a peripheral vascular neuropathy with decreased sensation, burning numbness, or tingling. This same small blood vessel occlusion can also contribute to the development of cyanosis and clubbing of the digits. If untreated, the worst case scenario may include gangrene, requiring amputation.
The client may demonstrate increased skin coloration (e.g., ruddy complexion of face, hands, feet, ears, and mucous membranes), and splenomegaly is common. Dyspnea may develop secondary to hypervolemia. Abnormal interactions among erythrocytes, leukocytes, platelets, and the endothelium lead to thrombosis (e.g., splenic infarctions and Budd-Chiari syndrome, which is a thrombosis of the hepatic vein) or bleeding (e.g., easy bruising, GI bleeding, and epistaxis).
Gout and uric acid stones may develop because of hypermetabolism. Intolerable pruritus (itching), especially after bathing in warm water, may be prominent. The symptoms of PV are often insidious in onset and characterized by vague complaints such as irritability, general malaise and fatigue, backache, and weight loss. Diagnosis may not be made until a secondary complication, such as stroke or thrombosis, occurs.
Diagnosis is established by history, examination, and laboratory analysis. The erythrocyte count is greater than 60% of normal for men and 56% for women (without the presence of secondary polycythemic factors). WBC and platelet count are often elevated in people with PV and are normal in most people with secondary polycythemia.
The presence of the JAK2 mutation can be identified by PCR and other sensitive tests. A positive JAK2 and appropriate clinical factors may be enough information to make the diagnosis. However, since not all cases of PV express the JAK2 abnormality, other tests can be performed.
These include labeling RBCs with chromium to distinguish between absolute polycythemia (increased RBC mass) and relative polycythemia (normal RBC mass but decreased plasma volume), growing cells to verify erythropoietin independence, measuring plasma erythropoietin, evaluating cytogenetic studies of the bone marrow, and performing an ultrasound of the spleen to demonstrate splenomegaly.
Treatment goals are to reduce erythrocytosis and blood volume, control symptoms, and prevent thrombosis. Repeated phlebotomy is used to maintain stable Hb (less than 45%) by causing iron deficiency.
Clients who are older than 70 years, have a history of thromboembolism, or have a platelet count greater than 400,000/μl are treated with the antimetabolite hydroxyurea, which does not appear to be associated with an increased incidence of acute leukemia (alkylating agents are linked to leukemia).
Aspirin, if no contraindications exist, has been found to be beneficial to all people with PV in reducing the risk of thrombotic events, although overall mortality and cardiovascular mortality rates are not significantly reduced.107
The prognosis for PV is good, and median survival is 15 years with appropriate treatment. Without proper treatment, the mortality rate (18 months from the time of symptomatic onset) is 50%. The risk for stroke, myocardial infarction, and thromboembolism is high for people with this condition; thrombosis or hemorrhage is the major cause of death. Late in the course of this disease bone marrow may be replaced with fibrous tissue (myelofibrosis) or transform into AML.
Overview and Etiology.: Essential thrombocythemia (ET) is one of the most common myeloproliferative disorders. It is defined as a disease with a platelet count greater than 600,000/μl without secondary causes for an elevated number of platelets.
ET is a primary thrombocytosis disorder resulting from a transformation of a hematopoietic stem cell and occurs most frequently in middle-aged to older adults (average age of onset between 50 and 60 years). There may be more of a predisposition for women to develop the disease than men.
Secondary causes of thrombocytosis occur as a result of conditions such as acute bleeding, iron deficiency, infection (e.g., tuberculosis), chronic inflammatory disease (e.g., RA), and malignancy and resolve with treatment of the underlying pathology.166 Secondary thrombocytosis may also be seen following splenectomy because platelets that normally would be stored in the spleen return to the circulating blood.
Pathogenesis.: About 50% of clients with ET demonstrate the JAK2 mutation (a mutation that leads to uncontrolled cell proliferation), linking it with other myeloproliferative disorders (see above section on PV). Persons who carry the JAK2 V617F mutation may be at higher risk for thrombotic complications than other ET clients without this mutation.64 Thrombosis may develop as a result of an abnormal interaction among leukocytes, platelets, and endothelium.29 Other genetic abnormalities are most likely responsible for the remaining cases that do not exhibit JAK2.
Clinical Manifestations.: The most prominent feature is a platelet count elevation above 600,000/μl. Most people with ET also exhibit splenomegaly (50%) and episodes of bleeding and/or thrombosis. Up to one third of clients are diagnosed from a routine blood count while asymptomatic.
Visual disturbances, headache, burning sensation of the feet and hands accompanied by redness (secondary to vasodilatation; erythromelalgia), and skin changes (livedo reticularis; Fig. 14-10) develop with increasing platelet counts. The most serious complications, bleeding and thrombosis, occur secondary to platelet dysfunction. Although major bleeding is uncommon, the likelihood increases as platelet counts exceed 1,500,000/μl. Thrombotic complications occur in up to 30% of people with ET.
The differentiation between reactive thrombocytosis (i.e., secondary thrombocytosis) and ET can be difficult. The presence of the JAK2 mutation (by PCR), splenomegaly, and abnormal bone marrow is indicative of ET since other causes of thrombocytosis do not include these features. For a high percentage of cases other tests must be performed.
The treatment of ET depends on the age and symptoms of the person. Asymptomatic, young clients (age less than 60 years) with a platelet count less than 1,500,000/μl may not require treatment. Hydroxyurea is used for people who are older than 60 years with a history of a thrombotic event to reduce the platelet count to less than 400,000/μl. This therapy significantly reduces the risk of another thrombotic event.
Anagrelide is another medication used to reduce the platelet count; however, it has been linked to a higher risk of arterial thrombosis, bleeding, and transformation of the bone marrow to myelofibrosis compared with hydroxyurea.192
Aspirin may be of benefit for clients who are at high risk for thrombosis and do not have a history of bleeding. Persons who develop acute ischemic events and have a platelet count greater than 1,500,000/μl should receive immediate plateletpheresis. If surgery is required, the platelet count should be brought to near normal levels to reduce the risk of bleeding and thrombosis perioperatively.
Most people with ET have near normal life expectancies. ET carries a small (3% to 4%) risk of transforming into acute leukemia and rarely develops into myelofibrosis. Bleeding and thrombotic events are the most serious complications and can be life threatening. Better understanding of the mutations resulting in ET may lead to improved treatment and prophylaxis against bleeding and thrombotic complications.
Hemostasis is the arrest of bleeding after blood vessel injury and involves the interaction among the blood vessel wall, the platelets, and the plasma coagulation proteins. Normal hemostasis is divided into two separate and independent processes: primary and secondary.
Primary hemostasis involves the formation of a platelet plug at the site of vascular injury. When a vessel is disrupted, collagen fibrils and von Willebrand’s factor (vWF) in the subendothelial matrix of the blood vessel become exposed to blood. The vWF (which is usually coiled when inactive) in the plasma and the subendothelium becomes uncoiled and binds the collagen fibrils to the platelets via special receptors on the platelets. This ultimately leads to the formation of a platelet plug.
Secondary hemostasis is triggered when vascular damage exposes tissue factor. Tissue factor is found in places not normally exposed to blood flow, where the presence of blood is pathologic. It is present in significant amounts in the brain, subendothelium, smooth muscle, and epithelium. Tissue factor is not found in skeletal muscle or synovium, the usual locations for spontaneous bleeding in people with hemophilia.
Tissue factor then binds the clotting factor VII, which in turn activates factor X and IX. This eventually leads to the formation of thrombin, which cleaves fibrinogen into fibrin, creating a fibrin clot at the site of injury.
Normal primary hemostasis requires normal number and function of platelets and vWF. Persons who have abnormalities in primary hemostasis have defects in either the number or function of platelets or a deficiency or dysfunction of vWF.
A decrease in the number of platelets, called thrombocytopenia, can prevent hemostasis. An exceptionally high number of platelets, called thrombocytosis, may cause bleeding, thrombosis, or both (see section on ET). Persons with a deficiency or dysfunction in vWF have von Willebrand’s disease (vWD).
Bleeding caused by platelet disorders or vWD is characterized by mucosal or skin bleeding. Normal secondary hemostasis necessitates the presence of clotting factors. Defects in secondary hemostasis result from clotting factor deficiencies or dysfunction, such as those seen in hemophilia A and B. Persons with abnormalities in secondary hemostasis tend to have more serious bleeding such as deep muscle hematomas and spontaneous hemarthrosis.
von Willebrand’s disease (vWD) is the most common inherited bleeding disorder and is caused by a lack of or dysfunction of vWF. The prevalence of this illness may be as high as 1% to 2% of the population (based on population screening studies), yet studies that used only data from clients referred for bleeding disorders found only 30 to 100 cases per 1 million, which is similar to hemophilia A.160
vWF is a large molecule made of multiple glycoproteins (dimers). It is produced by megakaryocytes, which secrete vWF into the blood plasma, and also by vascular endothelial cells, which release it into the subendothelial matrix. The function of vWF is to bind collagen fibrils and platelets in areas of vascular injury to create a platelet plug. It also stabilizes factor VIII and prevents it from being inactivated and cleared from the plasma during times of bleeding.
vWD is classified into three main subtypes: types 1, 2, and 3. Type 1 is the most common subtype and accounts for 60% to 80% of clients with vWD. Persons with this subtype have 5% to 30% of the normal amount of vWF, leading to mild to moderate symptoms. Type 1 is inherited through an autosomal dominant fashion.
Type 2 is less common and seen in only 10% to 30% of vWD cases. It is caused by a dysfunction in vWF rather than a reduction in quantity of vWF. Because the severity of the abnormality can vary, this subtype is further divided into types 2A, 2B, 2M, and 2N. This subtype is also inherited in an autosomal dominant manner.
The rarest of vWD subtypes is type 3, which makes up only 1% to 5% of cases. Persons affected with this form have less than 1% of the normal plasma levels of vWF (levels may be undetectable) and very low levels of the clotting factor VIII. Because these clients are lacking both vWF and factor VIII, their symptoms are more severe and resemble hemophilia A. Inheritance is autosomal recessive.
vWF is produced from a gene located on chromosome 12. Many factors are involved in determining inheritance of the disease, yet often only one mutation on one chromosome leads to minor bleeding problems while abnormalities on both genes (homozygous) have more serious problems.
vWD occurs due to a qualitative lack of vWF or because of an abnormally functioning vWF (although vWF is produced, a mutation causes a malformation in the function of the proteins). Significant investigation has been placed into the discovery of the genetic abnormalities associated with vWD, and over 250 mutations of multiple types have been documented.96
Symptoms experienced by clients with vWD vary depending on the subtype and severity of the abnormality. Clients with type 1 experience bleeding consistent with a primary hemostasis defect. This most frequently involves mucosal and skin bleeding such as petechiae and prolonged oozing of blood after trauma or surgery.
Other common problems include epistaxis, gum bleeding, and GI bleeding. Symptoms associated with type 2 depend on the severity of the mutation and the quantity of functional vWF. It is estimated that 10% to 20% of women with menorrhagia (excessive menstruation) have vWD. Menorrhagia is a common presenting symptom yet is frequently overlooked and undiagnosed because gynecologists only rarely (less than 1%) perform tests to confirm or exclude a bleeding disorder.31,45,53
Type 3 clients present not only with symptoms of mucosal and skin bleeding but also more frequent and severe symptoms including hemarthrosis and muscular hematomas (similar to hemophilia A).
The most common screening laboratory tests used to assess coagulation are the activated partial thromboplastin time and the prothrombin time. Despite available tests, many clinicians find making the diagnosis very difficult—particularly for clients with mild disease. Test results are often normal in clients with vWD. vWD cannot be diagnosed with just one laboratory test; the clinician relies on at least four tests to aid in the diagnosis: a platelet function test, vWF antigen test, ristocetin cofactor activity, and factor VIII level.
Two tests help assess platelet function: the bleeding time and a machine called the Platelet Function Analyzer 100 (PFA-100, Dade Behring, Deerfield, IL). The bleeding time test is performed by making small punctures in the skin and then measuring the time until clotting occurs. This test has numerous technical variables and is neither specific nor sensitive for the diagnosis of mild vWD (which may have a normal bleeding time).
The PFA-100 assesses the time required for a small collagen-coated tube to close when exposed to a person’s blood. Although this test has fewer technical problems, anemia and other factors may distort the results. Prolonged clotting times can be indicative of a platelet problem, but more specific tests are needed to confirm the diagnosis of vWD.
vWF antigen can be measured in the blood (if vWF is present, the test will be positive). Ristocetin is an antibiotic that binds to vWF and leads to platelet aggregation. Using this information, the quantity of vWF can be approximated by adding plasma from the client to platelets and adding ristocetin. Platelet aggregation will occur at a specific rate depending on the vWF concentration.
Factor VIII levels can be directly measured in the plasma. Subtypes with very low levels of vWF also have low levels of factor VIII (particularly type 3). Collagen binding activity is often measured (since one function of vWF is to bind collagen to platelets) using an enzyme-linked immunosorbent assay type test. Gel electrophoresis can be used to ascertain the subtype of vWD.
Because of the increased frequency of menorrhagia and other bleeding problems related to obstetrics and gynecology, guidelines have been developed that may lead to improved diagnosis and treatment of women with bleeding disorders, particularly vWD.2,45
The treatment of vWD centers on the replacement of vWF and/or factor VIII as needed during times of bleeding or prophylactic administration prior to an invasive procedure.118 Most clients with vWD (especially type 1) do not require treatment except during times of surgery or trauma or after delivery of a fetus. Those persons exhibiting more serious complications such as hemarthrosis or frequent GI bleeding (type 3 or some type 2) may require scheduled prophylactic treatment.
Desmopressin is the principal drug of choice for treating most cases of vWD. It is a synthetic antidiuretic-hormone derivative that induces the secretion of vWF and factor VIII from storage. This medication can be given intravenously, subcutaneously, or intranasally.
Since treatment is often needed during emergencies, intravenous dosing is the most practical, although subcutaneous and nasal routes are useful when used for prophylaxis. Vasopressin can increase the levels of vWF and factor VIII three to five times the baseline level within 60 to 90 minutes. It is not effective for type 3 cases (these clients do not make enough to store) and is contraindicated or ineffective for most persons with type 2. Since type 2 vWD results from an abnormal vWF, it is useless to secrete increased amounts of abnormal vWF.
People with types 2 and 3 vWD often require concentrates of factor VIII/vWF for spontaneous bleeding, surgery, or trauma. Humate-P (CSL Behring, King of Prussia, PA), which contains more vWF than factor VIII, and Alphanate (antihemophilic factor), containing equal amounts of vWF and factor VIII, are synthetic concentrates currently available. Both products are virus inactivated through a heat treatment. Wilfactin (LFB, Les Ulis, France), another concentrate, replaces vWF and contains little factor VIII, allowing for the use of the client’s own factor VIII (with vWF in the plasma, autologous factor VIII is stable).
If concentrates are not available, other plasma replacements can be used. Fresh frozen plasma contains both vWF and factor VIII but is accompanied by a large volume, and multiple bags can cause volume overload. Cryoprecipitate contains both proteins in a smaller, concentrated volume yet has the potential of being infectious (although rare with current screening).
Other available medications, which are used for dental or minor mucosal bleeding, include antifibrinolytic agents. Along mucosal linings of the body there is fibrinolytic activity, which prevents fibrin from forming a clot.
Antifibrinolytic amino acids can be given to inhibit this activity. Aminocaproic acid and tranexamic acid are two antifibrinolytic amino acids that can be dosed topically, orally, or intravenously. For clients with minor bleeding problems, these agents may be sufficient for minor procedures. Frequently they are used as adjuvant medications along with concentrates and desmopressin during major and minor surgery.118
Despite advancement in treatment, clients with type 3 vWD still face the challenge of developing inhibitors to available treatment. These inhibitors are typically antibodies that clear vWF from the plasma. Further use of concentrates with vWF can lead to anaphylaxis. Concentrates of factors VIII and VII have been utilized to aid with clot formation with success (and antibodies do not form to pure factor VIII concentrates), although factor VIII has a short half-life without vWF. Research is ongoing to determine strategies for overcoming these issues.
Women with severe symptoms can suppress menstruation with the use of oral contraceptives or receive concentrates when needed for menorrhagia. Studies are pending that may provide better information concerning best treatment options for women with bleeding disorders.
vWF and factor VIII levels do rise with pregnancy, but pregnant clients must be followed very carefully; concentrates and desmopressin are used at birth and during the immediate postpartum period. Care must also be taken when treating the fetus since the baby may have vWD as well. Intramuscular injections, surgery, and circumcision should be avoided in babies with a high risk of a bleeding disorder until an adequate diagnosis is made.2,45
Clients with minor bleeding manifestations have problems that can often be avoided with proper care. Individuals with more serious symptoms and complications have significant alterations in quality of life; surgery and trauma can be life threatening. Currently a vWF concentrate that is produced by recombinant technologies (thereby avoiding all risk for viral infections) is under investigation.168
Recombinant activated factor VII shows promise as another concentrate that can be used for vWD and for clients with vWD who have developed inhibitors to routine medications and concentrates.66 The cytokine interleukin-11 has been noted to increase both factor VIII and vWF levels, and studies are underway to determine efficacy and safety.46 Gene therapy is less hopeful since the size of the DNA coding for the many dimers that make up vWF is so large.
Hemophilia is a bleeding disorder inherited as a sex-linked autosomal recessive trait. The two primary types of hemophilia are hemophilia A, or classic hemophilia, and hemophilia B, or Christmas disease. Hemophilia A results from a lack of the clotting factor VIII and constitutes 80% of all cases of hemophilia. Hemophilia B is less common, affecting about 15% of all people with hemophilia, and is caused by a deficiency of factor IX. Other less-common deficiencies, such as deficiencies of clotting factors I, II, V, VII, X, or XIII, are rare and are not fully discussed in this text. Unless otherwise noted, hemophilia refers to both hemophilia A and B in this text.
Factors VIII and IX are required in secondary hemostasis (in contrast to vWF, which is needed in primary hemostasis). These clotting factors are activated and result in the production of thrombin, which cleaves fibrinogen to fibrin, creating a stable clot.
The level of severity of the disease depends on the defect in the clotting factor gene and is classified according to the percentage of clotting factor present in plasma (determined through blood tests): mild (6% to 30%), moderate (1% to 5%), and severe (less than 1%). Normal concentrations of coagulation factors are between 50% and 150%.
For people with mild hemophilia (25% of all cases), spontaneous hemorrhages (bleeding that occurs with no apparent cause) are rare, and joint and deep muscle bleeding are uncommon. Surgical, dental, or other injury or trauma precipitates symptoms that must be treated the same as for severe hemophilia.
For those people with moderate hemophilia (15% of all people with hemophilia), spontaneous hemorrhage is not usually a problem, but major bleeding episodes can occur after minor trauma. People with severe hemophilia comprise 60% of people with hemophilia and may bleed spontaneously or with only slight trauma, particularly into the joints and deep muscle.
Hemophilia A and B are the most common inherited clotting factor deficiencies,22 with 17,000 people affected by hemophilia A or B (approximately 10,500 with hemophilia A and 3200 with hemophilia B).31 Hemophilia primarily affects males without bias for race or socioeconomic group.
The gene responsible for codes for factors VIII and IX are located on the X chromosome, making hemophilia a gender-linked recessive disorder. Since females normally carry two X chromosomes, they only develop hemophilia if both genes are affected, if the normal X gene is inactivated, or if they only have one X chromosome (i.e., Turner’s syndrome), making hemophilia rare in females.
Males, on the other hand, only inherit one X chromosome and therefore develop hemophilia since they lack another normal X chromosome to provide these clotting factors (such as most females do). Thus females are the carriers of the abnormality, while males present with the disease (Fig. 14-11).

Figure 14-11 Inheritance patterns in hemophilia for all family members. A woman is definitely a carrier if she is (1) the biologic daughter of a man with hemophilia, (2) the biologic mother of more than one son with hemophilia, or (3) the biologic mother of one hemophilic son with at least one other blood relative with hemophilia. A woman may or may not be a carrier if she is (1) the biologic mother of one son with hemophilia; (2) the sister of a male with hemophilia; (3) an aunt, cousin, or niece of an affected male related through maternal ties; or (4) the biologic grandmother of one grandson with hemophilia. (Reprinted from Beare PG, Myers JL: Adult health nursing, ed 3, St Louis, 1998, Mosby.)
Every carrier has a one in four chance of having a child with hemophilia. Men with the mutation will pass this on to their daughters (making them carriers), yet their sons will only inherit a normal Y chromosome and not develop hemophilia. Although in two thirds of the cases of hemophilia a known family history is evident, this disorder can occur in families (approximately one third) without a previous history of blood-clotting disorders because of spontaneous genetic mutation. The remaining rare clotting factor deficiencies are inherited in an autosomal recessive manner.
At least 10 proteins called clotting factors in the blood must work in a precise order to make a blood clot. Hemophilia A is due to a deficiency of the protein clotting factor VIII (antihemophilic factor), while hemophilia B is a lack of factor IX. These clotting factors are produced by the liver and released into the blood. Factor VIII, once in the plasma, combines with vWF (as previously discussed). Factors VIII and IX are necessary for the formation of thrombin, which converts fibrinogen into fibrin, generating a clot. Clients with these factor deficiencies are unable to produce thrombin and clot.
The genetic pattern of hemophilia is quite different from that of disorders such as sickle cell disease, in which every affected individual has the identical genetic defect. The presence of such variable defects in the same gene accounts for the differences in severity of hemophilia.
Many different genetic lesions cause factor VIII deficiency, such as gene deletions, with all or part of the gene missing, or missense and nonsense mutations, which cause the clotting factor to be made incorrectly or not at all. Not all mutations are inherited; 25% to 30% of cases are due to new mutations. Hundreds of different mutations have been discovered. Most of these mutations are nucleotide substitutions (missense) or small deletions, while one common mutation noted in over 40% of people with severe hemophilia A is a partial inversion. An Internet database is available that documents the mutations in the factor VIII gene.122
Although uncommon, a woman who is a carrier of hemophilia can have very low levels of factors VIII or IX. This is due to the fact that in every cell of the body either the normal X chromosome or the affected X chromosome is randomly inactivated (turned off) in a process called lyonization. If the majority of the inactivated chromosomes are the normal X, then the levels of clotting factors may be very low, and such carriers may experience excessive bleeding.
Clinically, hemophilia A and hemophilia B present with the same symptoms and can only be distinguished by specific factor assay tests. Unlike most clients with vWD, those with hemophilia manifest delayed and joint and deep muscle bleeding.
Occurrences of bleeding are noted during the newborn period in infants who have hemophilia. The most common instances include immunizations, heel sticks, blood draws, and circumcision. If a child is born to a known carrier, circumcision should not be performed until appropriate tests are completed. As the child grows, bleeding problems will continue to be manifested.
Hematoma formation may result from injections or after firm holding (such as occurs when a child is held under the arms or by the elbow and lifted), excessive bruising from minor trauma, delayed hemorrhage (hours to days after injury) after a minor injury, persistent bleeding after tooth loss, and recurrent bleeding into muscles and joints.
Bruising, bleeding from the mouth or frenulum, intracranial bleeding, hematomas of the head, and hemarthrosis (bleeding into the joints) can occur during early ambulation. By age 3 to 4 years, 90% of children with severe hemophilia have had an episode of persistent bleeding not seen in mild cases.
Clients with severe hemophilia often display episodes of spontaneous bleeding (into the joints, muscles, and internal organs) along with severe bleeding with trauma or surgery. Those persons affected with mild to moderate hemophilia do not commonly have spontaneous bleeding but exhibit excessive bleeding with trauma and surgery.
Women with Hemophilia.: Women with hemophilia experience excessive uterine bleeding during their menstrual cycle, with possible oozing from the ovary after ovulation mid-cycle. Heavy menstrual flow is often the symptom that initiates a coagulation evaluation or more often is reported but not adequately diagnosed.
Cases have occurred in which a female carrier of the hemophilia gene has abnormal bleeding when the level of clotting factor is low enough to cause significant problems with coagulation, especially after trauma or surgery. Abnormal bleeding from bruising, dental extractions, abortion or miscarriage, complications of pregnancy (e.g., placenta not delivered completely, episiotomy or tearing, prolonged postpartum hemorrhage), nosebleeds, and minor trauma (such as cuts with prolonged oozing) may be overlooked because of the misconception that hemophilia does not occur in women.
Joint.: Bleeding into the joint spaces (hemarthrosis) is one of the most common clinical manifestations of hemophilia, significantly affecting synovial joints. The knee is the most frequently affected joint followed by the ankle, elbow, hip, shoulder, and wrist. Bleeding in the synovial joints of the feet, hands, temporomandibular joint, and spine is less common.
Joints with at least four bleeds in 6 months are called target joints, and in children with severe hemophilia, this can occur as a toddler. According to the Centers for Disease Control and Prevention, target joints may occur in as many as 37% of people with hemophilia. When blood is introduced into the joint, the joint becomes distended, causing swelling, pain, warmth, and stiffness.
The synovial membrane responds by producing an increased number of synovial villi and undergoing vascular hyperplasia in an attempt to reabsorb the blood. Blood is an irritant to the synovium, which releases enzymes that break down RBCs and the cell byproducts (e.g., iron). This process causes the synovium to become hypertrophied, with formation of fingerlike projections of tissue extending onto the articular surface.
The mechanical trauma of normal weight-bearing motion may then impinge and further injure the inflamed synovium. Iron in the form of hemosiderin is deposited in the synovium, which impairs the production of synovial fluid. A vicious cycle is established as the synovium attempts to cleanse the joint of blood and debris, becoming more hypertrophic and susceptible to still further bleeding.11 Erosive damage of the cartilage follows these changes in the synovium with narrowing of the joint space (Fig. 14-12), erosions at the joint margins, and subchondral cyst formation. Collapse of the joint, joint sclerosis, and eventual spontaneous ankylosis may occur.

Figure 14-12 Stages of hemophilic arthropathy according to the Arnold-Hilgartner scale. A, Stage I (1973). B, Stage III (1975). C, Stage IV (1977). (Courtesy Mountain States Regional Hemophilia Center, Colorado State Treatment Program, Denver, 1995.)
In later stages of joint degeneration, chronic pain, severe loss of motion, muscle atrophy, crepitus, and joint deformities occur. Despite advances in medical management, target joints can progress to advanced arthropathy. This is most commonly seen in people with severe hemophilia. The articular cartilage softens, turns brown (due to hemosiderin), and becomes pitted and fragmented. The inflamed synovium is thick and highly vascularized and can grow over the joint surfaces, becoming pannus.
Eventually, lesions in the deeper layers of cartilage result in subchondral bone breakdown and the formation of subchondral cysts. Osteophyte formation occurs along the edges of the joint (Box 14-7 and Table 14-6). With the destruction of the cartilage, little to no joint space is left. This bone-on-bone contact can lead to significant pain, limitation of motion, joint malalignment, muscle atrophy, functional impairment, and disability.
At this point joint bleeds are rare. For the child, recurrent bleeds into the same joint can lead to growth abnormalities. The epiphyses, where bone growth takes place, are stimulated to grow in the presence of hyperemia caused by bleeding. Postural asymmetries may develop (e.g., leg length differences, angulatory deformities, bony enlargement at the affected joint).11
Classification of Hemophilic Arthropathy.: Several different classification scales are used to identify progression of hemophilic arthropathy. The Arnold-Hilgartner and Pettersson score classification scales have been in use for many years. With the Arnold-Hilgartner scale, the arthropathy is divided into stages that are assumed to be progres- sive. With the Pettersson score, a number of specific findings are evaluated and the additive sum of the assigned points is calculated.
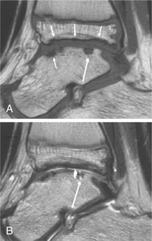
In addition, there is now some MRI information being used for classification as well. With improvements in hemophilia care, evaluation of subtle joint changes not readily apparent with conventional radiography has become increasingly important. MRI can visualize effusion, hemarthrosis, synovial hypertrophy and/or hemosiderin deposition, subchondral cysts and/or surface erosions, and loss of cartilage (Fig. 14-13).

Figure 14-13 MRI of hemophilic arthropathy. A, Left ankle of a 9-year-old boy with moderate hemophilia. Sagittal spin echo (SE) T1-weighted sequence. B, Sagittal turbo spin echo (TSE) T2-weighted sequence. Cortical irregularity (best seen on T1-weighted image, small arrows) is the hallmark of surface erosions. Different types of subchondral cysts have different signal characteristics. In this joint a cyst is discerned in the dorsal part of the talar dome (intermediate signal on T1-weighted image and bright signal on T2-weighted image, large arrows), and a focal defect in the overlying cartilage is revealed (joint fluid in defect is bright on T2-weighted image). (Courtesy Bjorn Lundin, MD, University Hospital of Lund, Sweden.)
Different MRI methods for joint scoring use either a progressive or additive scoring strategy. Using proposed MRI scoring methods, imaging specialists can detect and monitor early joint changes, assess therapeutic outcomes, and further define the pathophysiology of hemophilic joint disease. An in-depth discussion of these techniques is available for readers interested in the specifics.114a
Physical therapists in the United States, Canada, Sweden, and The Netherlands are working collaboratively on an international joint evaluation scale to identify and quantify the early changes seen in hemophilia joint disease. The 11-item scoring tool for assessing joint impairment in boys with hemophilia from 4 to 18 years of age (Hemophilia Joint Health Score) was designed for use in a 10-year prospective study of two types of aggressive treatment in young children with severe hemophilia. Reliability testing of the scoring tool has been published78a; validity testing is underway.
Muscle.: Muscle hemorrhages can be more insidious and massive than joint bleeding, and although they can occur anywhere, muscle hemorrhages most often involve the flexor muscle groups (e.g., iliopsoas, gastrocnemius, forearm flexors). Intramuscular hemorrhage that is visible in superficial areas such as the calf or forearm will also result in pain and limitation of motion of the affected part. Less-obvious intramuscular hemorrhage such as occurs in the iliopsoas may result in groin pain, pain on extension of the hip, and reflexive flexion of the hip and thigh (see Figs. 16-14 and 16-15).
Other signs and symptoms may include warmth, swelling, palpable hematoma, and neurologic signs such as numbness and tingling. A large iliopsoas hemorrhage can cause displacement of the kidney and ureter and can compress the neurovascular bundle, including the femoral nerve with subsequent weakness; decreased sensation over the thigh and knee in the L2, L3, and L4 distribution; decreased or absent knee reflexes; temperature changes; and even permanent impairment. Iliopsoas bleeds are considered a medical emergency requiring immediate referral to a physician.
Nervous System.: In general, compression of peripheral nerves and blood vessels by hematoma may result in severe pain, anesthesia of the innervated part, loss of perfusion, permanent nerve damage, and even paralysis. The femoral, ulnar, and median nerves are most commonly affected.
CNS hemorrhage may include intracranial hemorrhage and, rarely, intraspinal hemorrhage. Intracranial hemorrhages (ICH), or head bleeds inside the skull, in a newborn can occur regardless of the severity of hemophilia and may have long-term consequences such as paralysis, seizures, cerebral palsy, and other neurologic deficits.
Although signs and symptoms of ICH may be dramatic (e.g., seizures, paralysis, apnea, unequal pupils, excessive vomiting, or tense and bulging fontanelles) they are often vague (e.g., crankiness or irritability, lethargy, feeding difficulty), leading to a delay in diagnosis. The lifetime risk of ICH is about 2% to 8% although many are asymptomatic and unreported.103 ICH in clients with hemophilia carries a mortality rate of up to 30% when it occurs, making it one of the most common causes of death after HIV.
Inhibitors.: With the production of safer factor concentrates, the development of antibody inhibitors (antibodies that destroy the infused factor) poses the most serious complication to hemophilia treatment. Inhibitors occur infrequently, approximately two cases per 1000 person years, but can be serious, causing complications in 20% to 33% of persons who develop an inhibitor.61,97
The risk of developing an inhibitor does not remain the same during the lifetime of a person with hemophilia, and the appearance of antibodies can be transient or low titers. Factors that increase the risk for developing inhibitors are still under investigation, including significant exposure to factor VIII concentrates (continuous infusion)171 or the type of factor VIII product used. Clients with high titers of inhibitors, which decrease therapy efficacy, may receive factor IX concentrates or undergo immune tolerance therapy (frequent infusions of factor VIII).
Transmissible Diseases.: Individuals, primarily those with severe hemophilia, who were treated before current purification techniques for factor concentrates (before 1986) may have been exposed to hepatitis B or C and/or HIV. Approximately 50% of people with hemophilia during this period became infected with HIV. No other at-risk group had such a high prevalence. Currently, about 10% to 15% of people with hemophilia have HIV, but since 1986 no further HIV transmission has occurred.
Transmission of hepatitis is equally serious, and about 70% to 90% of people with hemophilia who received clotting factor before the mid-1980s test positive for hepatitis C.127 Current improved methods of viral inactivation of factor concentrates through pasteurization and solvent treatment and monoclonal and recombinant technology have resulted in safer products.
Improved screening methods to identify donors with hepatitis have also reduced the risk of hepatitis transmission. As of 1997, there have been no reports of hepatitis A, B, or C transmission through clotting factor treated with these improved processes.83 Up to one third of individuals with a bleeding disorder and hepatitis C were co-infected with HIV, and everyone who was infected with HIV also contracted hepatitis C.131
The transmission of hepatitis A and parvovirus B19 has also been reduced in plasma-derived products, but hepatitis A can now be prevented by immunization with a vaccine. All newborns with hemophilia now receive the hepatitis B vaccination series, but older clients often have hepatitis B along with its long-term sequelae.
Effective treatment of hemophilia is based on an accurate diagnosis of the deficient clotting factor and its level in the blood. Diagnosis is not always straightforward, as a variety of factors can confound the test results (e.g., blood type; factor levels can be elevated by stress, hyperthyroidism, and pregnancy, yet decreased in hypothyroidism).
Additionally, cord blood sample at birth may have physiologically low levels of factor IX that only reach adult values by 3 to 6 months of age. Blood tests include assays for clotting factors, CBC (differential and platelets), and activated partial thromboplastin time. Other tests may be added depending on individual variables. It is also important for female relatives of those with hemophilia to identify their carrier status through factor level analysis and DNA testing.
If possible, genetic studies to determine carrier status should be completed before pregnancy. However, prenatal diagnosis of hemophilia A and B is possible if a specific mutation has been found or if linkage studies have provided enough information about carrier status in the family. If one of these two criteria has been met, prenatal diagnosis can be performed, analyzing DNA for specific mutations.
The most common method is through chorionic villus sampling at 10 to 12 weeks of gestation. Ultrasound at 14 to 16 weeks’ gestation to determine the gender of the unborn child, amniocentesis at approximately 16 weeks’ gestation, percutaneous umbilical blood sampling at 18 weeks’ gestation, and preimplantation genetic diagnosis (involving polar body, blastomere, and blastocyst biopsy) are other methods of diagnosis. The advantages and disadvantages of these tests as well as management issues are reviewed in the literature.104
Currently no known cure or prenatal treatment for hemophilia exists. Until a medical cure is developed, primary goals for intervention in the case of bleeding episodes are to stop any bleeding that is occurring as quickly as possible and to infuse the missing factors until the bleeding stops.
Treatment for severe forms of hemophilia is recommended to take place in specialized hemophilia treatment centers across the United States and its territories. In these centers the specialized care required can be provided through a multidisciplinary team approach with appropriately trained and experienced health care providers. Treatment at a hemophilia treatment center has been shown to minimize disability, morbidity, and mortality rates.31,176
Factor replacement therapy, given intravenously, is currently the mainstay of hemophilia treatment. Treatment with infusion of the missing factor at a 25% to 30% plasma factor level is recommended for minor bleeding; at least a 50% level is recommended before minor surgery and dental extractions or in case of minor injury, and it may be recommended before physical or occupational therapy interventions. Infusion at 75% to 100% may be recommended before major surgery or in the case of life-threatening bleeding.
Permanent prophylaxis of recombinant factors for severe hemophilia (i.e., factor infusion given on a regularly scheduled basis) to maintain blood factor levels in the moderate range is now widely accepted. Most clients should receive infusions on at least a weekly basis, although questions remain of when to initiate prophylaxis (first joint bleed vs. early age).1 Prophylaxis therapy is very expensive, but treatment of target joints can increase the cost as much as twofold.98 Uncertainty exists as to whether prophylaxis helps prevent joint disease, and studies are pending completion that would help answer these questions.
Most factor VIII concentrates are produced using recombinant techniques to provide virus-free products. First-generation factor VIII products contain animal or human plasma proteins, while second-generation concentrates contain these proteins in the cell culture medium but not in the final product. Third-generation products do not contain animal or human plasma proteins in either the cell culture medium or the final product.
Methods used prior to the availability of recombinant technology to manufacture factor VIII concentrates utilized plasma pooled from thousands of donors that was then purified for factor VIII. This purified concentrate was treated to deplete viruses (heating in an aqueous solution, treated by a solvent detergent, or immunoaffinity purification). While this type of product is still available and there have been no reports of clients being infected with hepatitis B or C or HIV, the risk remains that these pooled-plasma products could possibly lead to viral transmission. This possible increased risk of transmitting a virus makes recombinant concentrates the recommended treatment of choice.
With the use of recombinant factor, human viruses are not easily transmitted through factor use, and the possibility of any other contaminants being transmitted is unlikely. Product manufacturers are continuing to develop products with a higher recovery level and to increase the efficiency of the factor products (i.e., percent of factor protein that remains active in the blood after infusion; the higher the level of a factor product’s recovery, the more efficient the product).
Persons with mild hemophilia can use the drug desmopressin when possible (see above section under vWD). If this medication does not provide adequate hemostasis or the client is pregnant or younger than 2 years, factor VIII concentrates should be utilized.
Treatment for clients with hemophilia B consists of factor IX concentrates. Recombinant factor IX concentrates do not use animal or human plasma proteins in the purification process, making the product safe from viruses. Pooled plasma–derived factor IX products are available, and like the factor VIII concentrates from pooled plasma, undergo a viral-depletion step. However, due to the safety factor of recombinant technology, recombinant factor IX concentrate is the medication of choice.
For those clients who developed chronic hepatitis C from the use of blood products prior to the mid 1980s, progression and treatment response appear to be similar to those people without hemophilia.109,127 Treatment and prognosis for hepatitis are discussed in Chapter 17.
Administration of the hepatitis A and hepatitis B vaccines is recommended for anyone with chronic hepatitis C because of the potential for increased severity of acute hepatitis superimposed on existing liver disease. Younger children are now vaccinated against hepatitis A and B, but no vaccine is available for hepatitis C at this time. Although treatment for hepatitis B is available, liver transplantation may be required. Liver transplantation is successful in people who have hemophilia with advanced liver disease but is often unavailable.
Comprehensive medical management of hemophilia may involve the use of drugs to control pain in acute bleeding and chronic arthropathies. People with hemophilia cannot use the common pain relievers aspirin or ibuprofen because these agents inhibit platelet function. More precisely, platelets do form an initial clot, but factor VIII or IX is unavailable to stabilize the clot.
Some medications contain derivatives of aspirin and must be used cautiously. Corticosteroids are used occasionally for the treatment of chronic synovitis. Acetaminophen (Tylenol) is a suitable aspirin substitute for pain control, especially in children. Clients who have had continued target joint bleeding often require surgical synovectomy or radioactive synovectomy to decrease bleeding and reduce the rate of destruction of the joint. Clients have also demonstrated stable or improved range of motion following these procedures.55,56
Physical therapy intervention (see Special Implications for the Therapist: Hemophilia in this chapter) has been effective in reducing the number of bleeding episodes through protective strengthening of the musculature surrounding affected joints, muscle reeducation, gait training, and client education. Physical therapy is used during episodes of acute hemorrhage to control pain and additional bleeding and to maintain positioning and prevent further deformity.
Gene therapy is still in experimental stages but appears very promising. When successful, gene therapy will deliver a normal (unaffected) copy of a gene into a target cell that contains a defective gene. Human trials are underway for hemophilia A and B using a variety of different delivery techniques. In fact, hemophilia is considered a model disease for treatment with gene therapy because it is caused by a single malfunctioning gene, and only a small increase in clotting factor could provide a great benefit.117
Years ago most men with hemophilia died in their youth. Currently, the majority of deaths in persons with hemophilia are viral related (hepatitis B and C, HIV), yet with improved diagnosis and significantly improved treatment (including safety), they can reach a longer life expectancy.152
Tremendous improvement has been made in carrier detection and prenatal diagnosis to provide early treatment and prevent complications. Gene therapy for hemophilia A and B, now in clinical trials, holds promise of a cure. Additionally, home infusion therapy provides immediate treatment with clotting factor for joint and muscle bleeds recognized early. Early treatment has significantly reduced the morbidity formerly associated with hemophilia.
Medical treatment prolongs life and improves quality of life associated with improved joint function, but HIV and hepatitis can significantly reduce longevity and quality of life. Fortunately, improvements in blood screening tests, more stringent donor exclusion criteria, improved viral inactivation methods, and the introduction of recombinant hemophilia therapies have combined to dramatically reduce the rate of new bloodborne viral infections among people with hemophilia, especially those children born in the last decade.
From the period of 1979 to 1998, the death rate of persons with hemophilia A and HIV decreased 78%.35 Much of this decrease was related to improved HIV therapy. With the advent of safer factor concentrates, there is a trend of increased life expectancy for people with hemophilia. Those people with hemophilia but without HIV or hepatitis have a life expectancy near normal.
ICH still remains a deadly complication of hemophilia, but prophylaxis treatment and improved understanding of the signs and symptoms associated with ICH may help to improve outcomes.
Thrombocytopenia, a decrease in the platelet count below 150,000/mm3 of blood, is caused by inadequate platelet production from the bone marrow, increased platelet destruction outside the bone marrow, or splenic sequestration (entrapment of blood and enlargement in the spleen). Thrombocytopenia is a common complication of leukemia or metastatic cancer (bone marrow infiltration) and aggressive cancer chemotherapy (cytotoxic agents). Thrombocytopenia may also be a presenting symptom of aplastic anemia (bone marrow failure); other causes are listed in Box 14-8.
Mucosal bleeding is the most common event and occurs by simply blowing the nose or brushing the teeth. Other sites of mucosal bleeding may include the uterus, GI tract, urinary tract, respiratory tract, and brain (ICH). Symptoms include epistaxis (frequent and difficult to stop), petechiae and/or purpura in the skin (especially the legs) and oropharynx, easy bruising, melena, hematuria, excessive menstrual bleeding, and gingival bleeding.
Diagnosis requires laboratory examination of blood and perhaps bone marrow (if clinically indicated) to confirm the diagnosis. Treatment depends on the precipitating cause (e.g., treatment of underlying leukemia or cessation of cytotoxic drugs until platelet count elevates).
Other treatment methods for immune-related thrombocytopenia (e.g., immune thrombocytopenic purpura) may include use of corticosteroids (e.g., prednisone); intravenous immune globulin and Rho(D); splenectomy; monoclonal antibody agents (e.g., rituximab); and plasmapheresis, a procedure that removes blood from the body, separates the portion containing the antiplatelet antibodies, and then returns the cleansed blood to the body. Newer drugs, thrombopoietic agents, are being tested to provide medications with fewer adverse events.25
Transfusions with platelets are avoided in clients with immune thrombocytopenic purpura unless severe bleeding occurs. However, clients with a secondary cause for thrombocytopenia (e.g., acute leukemia treatment and severe complications of chemotherapy agents that cause thrombocytopenia) may require platelet transfusions for bleeding and/or counts less than 15,000/mm3.
The prognosis is variable depending on the underlying cause; it is poor when associated with leukemia or aplastic anemia but good with conditions amenable to treatment.
Acquired disorders of platelet function can occur through the use of aspirin and other NSAIDs that inactivate platelet cyclooxygenase. This key enzyme is required for the production of thromboxane A2, a potent inducer of platelet aggregation and constrictor of arterial smooth muscle.
A single dose of aspirin can suppress normal platelet aggregation for 48 hours or longer (up to 1 week) until newly formed platelets have been released. Platelets are anucleated, and once aspirin irreversibly inhibits cyclooxygenase, the platelet is unable to synthesize new enzyme and remain inactive for the rest of its lifespan.
NSAIDs have less-potent antiplatelet effects than aspirin since they reversibly inhibit cyclooxygenase. Symptoms from this phenomenon are mild and may consist of easy bruising and bleeding, usually confined to the skin. The use of aspirin or NSAIDs is usually contraindicated before any surgical procedure. Prolonged oozing following dental procedures or surgery may occur.
Disseminated intravascular coagulation (DIC), sometimes referred to as consumption coagulopathy, is a thrombotic disease caused by overactivation of the coagulation cascade (i.e., normal coagulation gone awry).
It is an acquired disorder with diffuse or widespread coagulation occurring within arterioles and capillaries all over the body. DIC is actually a paradoxic condition in which clotting and hemorrhage occur simultaneously within the vascular system.
Uncontrolled activation occurs in both the coagulation sequence, causing widespread formation of thromboses (clots) in the microcirculation, and the fibrinolytic system, leading to widespread deposition of fibrin in the circulation. Hemorrhage may occur in the kidneys, brain, adrenals, heart, and other organs.
DIC is common, particularly after shock, sepsis, obstetric/gynecologic complications, cancer (e.g., acute leukemia, colon cancer, pancreatic carcinoma), and massive trauma. The oncology client may develop this syndrome as a result of either the neoplasm itself or the treatment for the neoplasm. DIC may occur as a result of a variety of predisposing conditions that activate the clotting mechanisms (see Fig. 6-14).
In the normal steady state there is a balance between the procoagulant and the anticoagulant factors, which keeps blood flowing. When DIC occurs there is serious disruption of this system, increasing the procoagulant factors but decreasing the anticoagulant factors.
Lipopolysaccharide, a complex molecule, stimulates endothelial cells to produce tissue factor, which then activates the coagulation system. Fibrinogen is converted to fibrin, which forms thrombi in the small vessels. Normally, in response to the up-regulation of the coagulation system, the anticoagulants counter the response. When overwhelming coagulation occurs, these anticoagulant factors are reduced, allowing for unregulated coagulation.
Sepsis, for example, lowers the levels of anticoagulants such as protein C, protein S, and antithrombin III, further reducing the body’s ability to respond to the coagulation process. Hypercoagulable reactions are mediated by cytokines, including TNF-α and IL-6. Although fibrinolysis is activated in this process by the action of TNF-α, its activity is impaired by the inhibitory effect of plasminogen activator inhibitor-1.186
The following three pathogenetic steps are observed and illustrated in Figure 6-14. Hemostasis is initiated by (1) endothelial or tissue injury (exposure of tissue factor), (2) activation of factor XII, and (3) direct activation of factor X. Damage to the endothelium (e.g., from sepsis, hypoxia, cardiopulmonary arrest) can precipitate DIC by activating the intrinsic clotting pathway, whereas tissue injury (e.g., obstetric complications, malignant neoplasm, infection, burns) can precipitate DIC by activating the extrinsic pathway. Release of factor XII in the circulation facilitates the activation of factor X (proteolytic effect).
Once either clotting cascade (intrinsic or extrinsic) is stimulated, widespread coagulation occurs throughout the body, leading to thrombotic events within the vasculature. The normal inhibitory mechanisms become overwhelmed so that clotting can occur unrestricted. As a result of the widespread clotting that occurs, the clotting factors become used up and hemorrhage occurs. This leads to the two primary pathophysiologic alterations of DIC: thrombosis in the presence of hemorrhage.
The tendency toward excessive bleeding can appear suddenly, with little warning, and can rapidly progress to severe or even fatal hemorrhage. Thrombosis may occur in various sites distant to the tumor or its metastases.
Signs of DIC include continued bleeding from a venipuncture site, occult and internal bleeding, and, in some cases, profuse bleeding from all orifices. Other less-obvious and more easily missed signs are generalized sweating, cold and mottled fingers and toes (due to capillary thrombi and hypoxia), and petechiae.
DIAGNOSIS, TREATMENT, AND PROGNOSIS.
Diagnosis is made based on clinical presentation in combination with client history; laboratory blood tests can aid in the diagnosis (e.g., D-dimer test, coagulation tests).
Treatment is always directed toward the underlying cause and must be highly individualized according to the person’s age, nature and origin of DIC, site and severity of hemorrhage or thrombosis, and other clinical parameters. The hemorrhagic or thrombotic symptoms may be alleviated by appropriate blood product replacement or anticoagulants, but the coagulopathy will continue until the causative process is reversed.
Researchers are investigating strategies aimed at inhibiting coagulation activation with protein C, antithrombin, and tissue factor pathway inhibitor.206
The mortality rate for DIC is no longer high with early recognition and treatment, but DIC does contribute to significant morbidity and some mortality as it occurs often with sepsis and cancer. Acute DIC can be fatal depending on the response to treatment.
Several diseases are a result of an abnormality in the formation of Hb. Because Hb is essential for life, anomalies in the shape, size, content, or oxygen-carrying capacity can lead to severe problems. Sickle cell disease and thalassemia are two hemoglobinopathies with potential for serious complications and are discussed further.
Hereditary spherocytosis, hereditary elliptocytosis, hereditary stomatocytosis, and pyropoikilocytosis are rare diseases that occur because of defects in the erythrocyte membrane that cause premature clearance of RBCs (hemolysis). Glucose-6-phosphate dehydrogenase deficiency also leads to hemolysis. Discussions of these diseases can be found elsewhere.
Overview and Incidence.: Sickle cell disease (SCD) is an autosomal recessive disorder characterized by the presence of an abnormal form of Hb (Hb S) within the erythrocytes. This irregular form of Hb is the result of a single mutation in the β-Hb chain where the amino acid glutamic acid at position 6 is substituted with valine.
The presence of Hb S can cause RBCs to change from their usual biconcave disk shape to a crescent or sickle shape once the oxygen is released (deoxygenated). SCD occurs when two sickle cell genes are inherited (one from each parent) or one sickle cell gene and another abnormal Hb is inherited, so that almost all of the Hb is abnormal.
Homozygous Hb S occurs when an individual inherits two sickle cell genes. Heterozygous Hb SC is the result of inheriting one sickle cell gene and one gene for another abnormal type of Hb called C. Persons with this type of abnormality have fewer complications than those with homozygous Hb S, but they exhibit more ophthalmologic and orthopedic complications.
Heterozygous Hb S β-thalassemia is the result of inheriting one sickle cell gene and one gene for a type of thalassemia, another inherited anemia. Beta thalassemias are caused by genetic mutations that abolish or reduce production of the beta globin subunit of Hb.145
The sickle cell trait refers to people who carry only one Hg S gene and is discussed at the end of this section. Hb F, or fetal Hb, is found in infants. While most infants switch to making α-and β-Hb, some continue to make Hb F, termed hereditary persistence of fetal Hb. For those people who inherit one sickle gene and the hereditary persistence of fetal Hb abnormalities, they make α2γ2 Hb and do not develop the severe symptoms of SCD.
Approximately three out of every 1000 black newborns and between 50,000 and 70,000 individuals in the United States have a sickle cell syndrome; the number in Africa is correspondingly higher.125 It is a worldwide health problem, affecting many races, countries, and ethnic groups, and is the most common inherited hematologic disorder. The WHO estimates that each year more than 300,000 babies are born worldwide with this inherited blood disorder.201
About one in 400 African American newborns in the United States has sickle cell anemia, and one in 12 African Americans (8%) carries the sickle cell trait.198 The disease is particularly common among people whose ancestors come from sub-Saharan Africa, India, Saudi Arabia, and Mediterranean countries.201
The two primary pathophysiologic features of sickle cell disorders are chronic hemolytic anemia and vaso-occlusion resulting in ischemic injury. Children with SCD are at increased risk for severe morbidity and mortality, especially during the first 3 years of life.
When a sickled cell reoxygenates the cell resumes a normal shape, but after repeated cycles of sickling and unsickling the erythrocyte is permanently damaged and hemolyzes. This hemolysis is responsible for the anemia that is a hallmark of SCD. A brief discussion of the related sickle cell syndromes is presented, but only the most severe disorder, sickle cell anemia, is fully discussed in this text.
Etiologic Factors.: The cause of SCD and its worldwide incidence is the result of several factors. The sickle cell trait may have developed as a single genetic mutation that provided a selective advantage against severe forms of falciparum malaria.
Anyone who carries the inherited trait for SCD but does not have the actual illness is protected against this form of malaria. In countries with malaria, children born with sickle cell trait survived and then passed the gene for SCD to their offspring. As populations migrated (including the slave trade), the sickle cell trait and sickle cell anemia moved throughout the world.
Several theories purport to explain the origination of SCD, but its actual origin is unknown. Four separate haplotypes are known; each is related to the severity of illness and each is associated with a different geographic location, including different locations in Africa, eastern Saudi Arabia, and India.
Risk Factors.: Because SCD is inherited as an autosomal recessive trait, both parents of an offspring must have the sickle Hb gene. When both parents have sickle cell trait, they have a 25% chance with each pregnancy of having a child with sickle cell anemia. If one parent has sickle cell trait and the other has a β-thalassemic disorder, they are at the same risk for having a child with a sickle β-thalassemia syndrome.
In couples in which one individual has sickle cell trait and one has Hb C trait, the chance of having a child with Hb SC disease is also 25% with each pregnancy. If one parent has sickle cell anemia and the other has the sickle cell trait, the risk of having a child with sickle cell anemia is 50% (Fig. 14-14).

Figure 14-14 Statistical probabilities of inheriting sickle cell anemia. (Reprinted from O’Toole MT: Miller-Keane encyclopedia and dictionary of medicine, nursing, and allied health, rev ed, Philadelphia, 2005, Saunders.)
Individuals with sickle cell trait can receive nondirective genetic counseling (given objective information without personal bias and without provision of specific recommendations) after Hb electrophoresis and other measurements have been performed on each prospective parent.
Risk factors likely to induce symptoms or episodes (episode is now the preferred term over crisis; however, clinicians may find that some affected individuals prefer the term crisis) are factors that cause physiologic stress, resulting in sickling of the erythrocytes. Stress from viral or bacterial infection, hypoxia, dehydration, extreme temperatures (hot or cold), alcohol consumption, or fatigue may precipitate an episode.
Additionally, episodes may be precipitated by the presence of acidosis; exposure to low oxygen tensions as a result of strenuous physical exertion, climbing to high altitudes, flying in nonpressurized planes, or undergoing anesthesia without receiving adequate oxygenation; pregnancy; trauma; and fever. Any of these factors may increase the body’s need for oxygen, increasing the percentage of erythrocytes that deoxygenate, thereby precipitating an episode.
Pathogenesis.: The sickle cell defect occurs in Hb, the oxygen-carrying constituent of erythrocytes. Hb contains four chains of amino acids, the compounds that make up proteins. Two of the amino acid chains are known as α-globin chains, and two are called β-globin chains.
In normal Hb, the amino acid in the sixth position on the β-globin chains is glutamic acid. In people with SCD, the sixth position is occupied by another amino acid, valine (Fig. 14-15). DNA recombinant technology has identified the genetic locus for the β-globin on chromosome 11.

Figure 14-15 Schematic view of the pathophysiologic characteristics of SCD. The double-stranded DNA molecule on the left represents a β-globin gene in which a GAG→GTG substitution in the sixth codon has created the sickle cell gene. Valine is substituted for glutamic acid as the sixth amino acid, creating a mutant Hb tetramer (Hb S). A tetramer is a protein with four subunits (tetrameric). Hb S loses solubility and polymerizes when deprived of oxygen. Upon deoxygenation, most sickle cells lose deformability. Some cells sickle; a fraction becomes dehydrated, irreversibly sickled, and poorly deformable; a few become highly adherent. Vaso-occlusion (right) is initiated by adherent cells sticking to the vascular endothelium, thereby creating a nidus that traps rigid cells and facilitates linking together in a chain formation, a process called polymerization. (Reprinted from Goldman L: Cecil textbook of medicine, ed 22, Philadelphia, 2004, WB Saunders.)
This single-point mutation of valine for glutamic acid results in a loss of two negative charges that causes surface abnormalities. The sickle Hb transports oxygen normally, but after releasing oxygen Hb molecules that contain the β-globin chain defect stick to one another instead of remaining separate and polymerize (change molecular arrangement), forming long, rigid rods or tubules inside RBCs.
The higher the concentration of deoxygenated sickle Hb molecules and the lower the blood pH, the faster the polymerization occurs.150 The rods cause the normally smooth, doughnut-shaped RBCs to take on a sickle or curved shape and to lose their vital ability to deform and squeeze through tiny blood vessels (Fig. 14-16).

Figure 14-16 A, The molecular structure of Hb contains a pair of α polypeptide chains and a pair of α chains, each wrapped around a heme group (an iron atom in a porphyrin ring). The quaternary structure of the Hb molecule enables it to carry up to four molecules of oxygen. In the folded β-globin chain molecule, the sixth position contacts the α-globin chain. The amino acid substitution at the sixth position of the β-globin chain occurring in sickle cell anemia causes the Hb to aggregate into long chains, altering the shape of the cell (Hb S). B, The change of the RBC from a biconcave disk to an elongated or crescent (sickle) shape occurs with deoxygenation.
For a time, this sickling is reversible because the cells are reoxygenated in the lungs; however, eventually the change becomes irreversible. In the process of sickling and unsickling, the erythrocyte membrane becomes damaged and the cells are removed (hemolyzed).
The sickled cells, which become stiff and sticky, clog small blood vessels, depriving tissue from receiving an adequate blood supply. Under stress, tissues experience increased oxygen requirements, which causes more Hb to release its oxygen, leading to increased numbers of deoxygenated and polymerized cells.
Deoxygenation of sickle cells induces potassium (followed by water) efflux, which increases cell density and the tendency of Hb S to polymerize. The sickle cell also has a chemical on the cell surface that binds to blood vessel walls, leading to endothelial cell activation. As a result, these sickle-shaped, rigid, sticky blood cells cannot pass through the capillaries, blocking the flow of blood.145
Occlusion of the microcirculation increases hypoxia, which causes more erythrocytes to sickle; thus a vicious cycle is precipitated. This accumulation of sickled erythrocytes obstructing blood vessels produces tissue injury. The organs at greatest risk are those with sluggish circulation, low pH, and a high level of oxygen extraction (spleen and bone marrow) or those with a limited terminal arterial supply (eye, head of the femur). No tissue or organ is spared from this injury. The higher the concentration of deoxygenated cells, the more severe (clinically) the complications.
Average sickle RBCs last only 10 to 20 days (normal is 120 days). The RBCs cannot be replaced fast enough, and anemia is the result. Although significant injury occurs in the microvasculature as a result of sickling, the most severe complication of SCD is a cerebral infarct, which occurs in the large blood vessels, where blood is moving rapidly and the diameter is wide.
Research has shown that not only are the Hb cells abnormal, but so are the blood vessel walls. This is likely a product of sickle cells adhering to and damaging endothelium, which leads to an inflammatory response of WBCs, cytokines, chemoattractants, and procoagulants. Over time, smooth muscle cells migrate into the wall, where they proliferate and narrow the lumen of the vessel.149
Significantly narrowed or stenotic arteries can further collect sickled cells, thereby occluding the lumen, resulting in stroke. Further complicating stroke and pulmonary hypertension is the lack of nitric oxide production. Normally, when hypoxia is present, nitric oxide is produced to cause local vasodilatation, inhibit endothelial damage, and prevent proliferation of vascular smooth muscle.189 But the hemolysis of erythrocytes and release of Hb inhibits the production of nitric oxide, thus blocking the beneficial effects of nitric oxide.
Clinical Manifestations.: Sickled erythrocytes cause hemolytic anemia and tend to occlude the microvasculature, resulting in both acute and chronic tissue injury. Intravascular sickling and hemolysis can begin by 6 to 8 weeks of age, but clinical manifestations do not usually appear until the infant is at least 6 months old, at which time the postnatal decrease in Hb F, which inhibits sickling, and increased production of Hb S lead to the increased concentration of Hb S.
Acute clinical manifestations of sickling, called crises or episodes, usually fall into one of four categories: vaso-occlusive or thrombotic, aplastic, sequestration or, rarely, hyperhemolytic (Fig. 14-17).

Figure 14-17 Clinical manifestations and possible complications associated with SCD. These findings are a consequence of infarctions, anemia, hemolysis, and recurrent infections.
Pain caused by the blockage of sickled RBCs (thrombosis) is the most common symptom of SCD, occurring unpredictably in any organ, bone, or joint of the body, wherever and whenever a blood clot develops. The symptoms and frequency, duration, and intensity of the painful episodes vary widely (Box 14-9). Some people experience painful episodes only once a year; others may have as many as 15 to 20 episodes annually. The vaso-occlusive episodes causing ischemic tissue damage may last 5 or 6 days, requiring hospitalization and subsiding gradually. Older clients more often report extremity and back pain during vascular episodes.
Chest Syndrome.: Two life-threatening thrombotic complications associated with SCD include acute chest syndrome and stroke. Acute chest syndrome results from the inability of sickled cells to become reoxygenated in the lungs. Sickled cells then adhere to lung endothelium cells, resulting in further inflammation, and occlude vessels, causing infarction. The most common precipitants are infection and fat emboli (from infarcted bone marrow).
Symptoms include chest pain, shortness of breath, fever, wheezing, and cough (Box 14-10). Chest radiographs typically demonstrate an infiltrate, sometimes days after the symptoms began. Prognosis for this complication is poor and is one of the most common causes of death.150
Pulmonary hypertension can be a severe consequence of repeated micro-thrombotic events in the lung even without a history of acute chest syndrome. Autopsy studies suggest that over one third of people with SCD develop this complication (although the real incidence is probably higher). This can develop in clients who have not had a significant number of acute chest syndrome crises because of the continual microthrombosis that may not be clinically evident.
Eventually, these small vessels become thickened and blocked by thrombin and fibrous tissue with the loss of the vascular bed. This process often proceeds without clinical symptoms until the person is short of breath, at which time the damage is irreversible.
Currently the most sensitive method of detecting pulmonary hypertension early is echocardiography. Pulmonary hypertension increases the risk of sudden death and is a common cause of death in people with SCD.
Stroke.: Stroke, or cerebral infarction, is another serious thrombotic complication of SCD. Stroke occurs in 11% of SCD clients under the age of 20 years, causing death or severe disability. Large vessels can become stenotic through chronic injury to the endothelium. Once the diameter of an affected artery is significantly narrowed, acute occluding of the vessel can occur (by a clot made of sickle and normal cells, WBCs, platelets, and thrombin), causing a cerebral infarct.149
Local production of nitric oxide is typically stimulated by hypoxia to cause a beneficial vasodilatation; but free Hb (from sickle cells breaking apart) inhibits nitric oxide production, resulting in no valuable vasodilatation and further complicating strokes.
Symptoms are similar to strokes in people without SCD, including paralysis, weakness, speech difficulties, seizures, and tingling/numbness of extremities. Infarcts can occur in the microvasculature as well. MRI and magnetic resonance angiography of the head and neck may show more extensive changes than are seen clinically, suggesting that silent strokes are not uncommon.
Additionally, many cognitive effects from these microvasculature strokes result in learning problems. Children demonstrate problems with memory, attention, visual-motor performance, and academic or social skills; neuromotor delays; mild hearing loss and auditory processing disorders; and failed speech and language screening.4,82,101,178
Other Complications.: For most people with SCD, the incidence of complications can be reduced by simple protective measures such as prophylactic administration of penicillin in childhood, avoidance of excessive heat or cold and dehydration, and contact as early as possible with a specialist center. These precautions are most effective if susceptible infants are identified at birth.
Other thrombotic complications include hand-andfoot syndrome (dactylitis), which occurs when a micro-infarction (clot) occludes the blood vessels that supply the metacarpal and metatarsal bones, causing ischemia; it may be an infant’s first problem caused by SCD.
It presents with low-grade fever and symmetric, painful, diffuse, nonpitting edema in the hands and feet, extending to the fingers and toes (Fig. 14-18). This is a fairly common phenomenon seen almost exclusively in the young infant and child. Despite radiographic changes and swelling, the syndrome is almost always self-limiting, and bones usually heal without permanent deformity (Fig. 14-19).

Figure 14-18 Dactylitis. Painful swelling of the hands or feet can occur when a clot forms in the hands or feet. This problem, known as hand-and-foot syndrome, occurs most often in children affected by SCD. (Reprinted from Gaston M: Sickle cell anemia, NIH Pub No 90-3058, Bethesda, MD, 1990, National Institutes of Health.)

Figure 14-19 Radiographs of an infant with sickle cell anemia and acute dactylitis. A, The bones appear normal at the onset of the episode. B, Destructive changes and periosteal reaction are evident 2 weeks later. (Reprinted from Behrman RE: Nelson textbook of pediatrics, ed 17, Philadelphia, 2004, Saunders.)
Priapism is also a thrombotic complication and requires immediate medical attention. The kidneys exhibit thrombotic complications and slowly lose function; end-stage renal disease can occur.
Jaundice is another common manifestation of SCD. Sickled cells do not live as long as normal cells and therefore die more rapidly than the liver can filter them. Bilirubin from these broken down cells builds up in the system, causing jaundice.
Anemia is a constant feature of SCD, with a Hb concentration of around 8 g/dl; acute, severe anemia, termed an aplastic crisis or episode, can occur when erythropoiesis abruptly stops. Clinical manifestations are pallor, fatigue, jaundice, and irritability. This is typically a result of parvovirus B19 infection but is self-limiting in persons with a normal immune system.
Folate deficiency is another cause of severe anemia (often because of noncompliance in taking folate supplements). The typical anemia associated with SCD, because of regular hemolysis, can also lead to jaundice and the formation of gallstones. Anemia can also be worsened by renal insufficiency (decreased levels of erythropoietin) created by thrombosis.
Many of the complications associated with SCD are treated with transfusions, frequently resulting in iron overload. Hyperhemolysis develops in some clients due to the formation of alloimmune responses to erythrocyte antigens, resulting in a delayed transfusion reaction with significant acute hemolysis of erythrocytes.
The spleen is an organ that is very susceptible to thrombotic occlusions (i.e., low blood flow, low oxygen tension, and low pH). In sequestration episodes, large numbers of cells undergo sickling in the spleen, leading to ischemia, acute hemolysis, and necrosis of the spleen.
Hypovolemic shock can occur, particularly in children, accompanied by a tender spleen and splenomegaly. Sequestration episodes may be precipitated by infection and can be fatal in the pediatric population. Over time the spleen is severely damaged and becomes completely fibrotic, called autosplenectomy.
The spleen is destroyed in most children with SCD. In children, sickle-shaped RBCs often become trapped in the spleen, leading to a serious risk of death before the age of 7 years from a sudden, profound anemia associated with rapid splenic enlargement or because lack of splenic function permits an overwhelming infection.
Sequestration can occur in the liver but less frequently than splenic sequestration. Children with severe manifestations of sickle cell anemia have low bone mineral density and possess significant deficits in dietary calcium and circulating vitamin D, which complicates growth. Most children have growth retardation by the age of 2 years (weight more than height), which leads to osteoporosis and other bone abnormalities.106
Sickle cell anemia can be prevented. Couples at risk of having affected children can be identified by inexpensive and reliable blood tests; chorionic villus sampling from 9 weeks of gestation can be performed for prenatal diagnosis.
Adoption of such measures goes hand in hand with health education. However, prenatal diagnosis can raise ethical questions that differ from one culture to another. Experience has clearly shown that genetic counseling, coupled with the offer of prenatal diagnosis, can lead to a large-scale reduction in births of affected children.
The risk of having affected children can be detected before marriage or pregnancy; however, to do so requires a carrier screening program. There is extensive experience with such programs in low-and high-income countries. For example, in the case of thalassemia prevention, unmarried people in Montreal (Canada) and the Maldives are offered screening. Premarital screening is a national policy in Cyprus and the Islamic Republic of Iran, and prereproductive screening is emphasized in Greece and Italy.
The WHO recommends these approaches be practiced in conformity with the three core principles of medical genetics: the autonomy of the individual or the couple, their right to adequate and complete information, and the highest standards of confidentiality.201
It is required in every state that all infants be screened for SCD regardless of race or ethnic background (universal screening). This recommendation is based on several factors: (1) one out of every 200 Hispanic and 400 white children in Texas carries the sickle cell trait; (2) although SCD is more prevalent in certain racial and ethnic groups, it is not possible to define accurately an individual’s heritage by physical appearance or surname; and (3) prophylactic penicillin and pneumococcal vaccination reduce both morbidity and mortality from pneumococcal infections in infants with sickle cell anemia and sickle thalassemia.
Screening targeted to specific racial and ethnic groups will therefore miss some affected infants, subjecting them to an increased risk of early mortality. Universal screening is the best, most reliable, and most cost-effective screening method to identify affected infants.143 The cord blood of newborns is tested in the United States.
The diagnosis of sickle cell trait or any of the other sickle syndromes depends on the demonstration of sickling under reduced oxygen tension. A sickle turbidity test (Sickledex, Streck, Inc., Omaha, NE) can confirm the presence of Hb S in peripheral blood, and Hb electrophoresis (separation and identification of Hb under the influence of an applied electric field) is used to determine the amount of Hb S in erythrocytes.
Electrophoresis is used to screen blood for sickle cell trait and will also detect SCD and heterozygosity (carrier state) for other Hb disorders, such as Hb C. Because the Hb S and Hb C amino acid substitutions change the electrical charge of the protein, the migration patterns of the Hb with electrophoresis result in distinct diagnostic patterns.145
Safe, accurate methods for performing prenatal diagnosis for SCD are possible as early as the tenth gestational week. Analyses of DNA from fetal cells obtained by amniocentesis or chorionic villus sampling can be performed at the sixteenth gestational week. The sickle and Hb C genes can be detected directly in fetal DNA samples, as can most Hb S β-thalassemia genes.
In the past decade, impressive progress has been made in directing treatment to the unique pathophysiology of SCD. A large number of antisickling regimens are being investigated. Although some have been shown to be effective in vitro, unacceptable toxicity prevents their use in human beings at this time.
BMT cures SCD, but minimal availability and associated risks prevent its widespread use. In selected cases BMT may be considered, and the data confirm that allogeneic BMT establishes normal erythropoiesis and is associated with improved growth and stable CNS imaging and pulmonary function in most recipients.193,194 The event-free survival rate after allogeneic-matched sibling hematopoietic cell transplant for SCD is 82% at an experienced center.13,84
Supportive care is essential (e.g., rest, pain medication, oxygen, administration of intravenous fluids, electrolytes, and antibiotics, and physical and occupational therapy for joint and bone involvement). Preventive measures (see risk factors above) are used to reduce the incidence of episodes.
Acute stroke is managed with exchange transfusions (i.e., transfusion with erythrocytes and removal of blood) to reduce the amount of Hb S to less than 30% while keeping the total Hb (through transfusions) at 10 g/dl.
The likelihood of a second stroke is increased, and prophylactic transfusions (this inhibits their own erythropoiesis of Hb S) have been shown to help decrease the risk of stroke and reduce the stenosis of arteries.3 Complications with iron overload are common and can have significant long-term problems. Chelating therapy is available but is often difficult for children to tolerate.
Acute chest syndrome is treated with transfusions; oxygen, antibiotics, and hydration may also be needed. Optimal treatment for pulmonary hypertension requires more research. Once the early stages of pulmonary hypertension have been identified, treatments such as hydroxyurea, vasodilators, anticoagulation, oxygen inhalation, and experimental agents such as arginine or nitric oxide can be utilized.
Acute aplastic episodes can be treated with a transfusion if the anemia is severe and the reticulocyte count is low. Most often this is self-limiting and erythropoiesis resumes in a few days. Splenic or hepatic sequestration requires aggressive rehydration and transfusion.
Exchange transfusions to reduce Hb S levels below 30% of total Hb may be used therapeutically for neurologic, cardiac, or retinal symptoms; hypoxemia; severe prolonged or infarctive episodes; acute splenic sequestration in infants; and chronic leg ulcers. These transfusions also can be used prophylactically during pregnancy or before general anesthesia, but they carry the risk of hepatitis, RBC sensitization, hemosiderosis (increased iron storage), and transfusion reactions.
Hydroxyurea is a medication that stimulates Hb F production and is used as a treatment for sickle cell anemia. It is considered safe in the pediatric population. Dramatic reduction of painful episodes, fewer hospitalizations, decreased need for transfusions, and fewer cases of acute chest syndrome occur with the use of hydroxyurea.179 Neutropenia is a potential side effect requiring frequent monitoring.100 Erythropoietin may be useful to increase erythropoiesis in clients with renal disease.
Vaccinations are vital, particularly an annual influenza vaccine and a pneumococcal vaccine every 5 years.
Prenatal and neonatal screening can identify this disorder and significantly reduce morbidity and mortality through the use of prophylactic antibiotics. Infants with documented SCD (sickle cell anemia or Hb S βthalassemia) should be started on twice-daily oral prophylactic penicillin as soon as possible but no later than 2 months of age. Children who have experienced pneumococcal sepsis should remain on prophylactic penicillin indefinitely.
The use of inhaled nitrous oxide to treat SCD is also under investigation because of its ability to prevent pulmonary hypertension and endothelial damage. The onset of peripheral neuropathy associated with nitric oxide use in this population has delayed the final development of treatment protocols incorporating nitric oxide.138,183
Researchers are continuing to investigate the use of fetal Hb as a treatment possibility. Fetal Hb is produced during fetal development and for the first 6 months after birth. Hb F has some ability to prevent sickling and reduce hemolysis; some adults with SCD who naturally make substantial amounts of Hb F have less pain and better spleen function than others with SCD who do not have elevated levels of Hb F.
Other researchers are investigating drugs to reverse cellular dehydration (dehydration increases the rate of polymerization) and fetal cord blood transplantation (see Chapter 21). Stem cell transplantation has been shown to help, and possibly cure, individuals with SCD.88
Stem cells taken from a brother or sister may provide bone marrow that is a perfect match (same tissue type) for the recipient. Unfortunately, only about 10% to 20% of children with sickle cell have a matched sibling donor. Stem cells from partially matched (partial tissue match) family members have been tried with a few children who have SCD.88
The risk and benefits of these types of transplants are not as well known as transplants using a matched donor. When children with SCD have no matched brother or sister donor, allogeneic transplants are a possible treatment available for these patients.
Historically, SCD has been associated with high mortality in early childhood due to overwhelming bacterial infections, acute chest syndrome, and stroke. In the mid-1970s the average life expectancy was only 14.3 years. By 1994 the life expectancy had increased to 42 years for men and 48 years for women with sickle cell anemia.151,201 This increase is attributed to better general medical treatment.
SCD remains a devastating condition with recurrent episodes leading to early death. The complications of SCD can be life threatening depending on their location. Recovery may be complete in some cases, but serious neurologic damage is more likely to occur, and repeated cerebrovascular accidents may lead to increased neurologic involvement, permanent paralysis, or death. Permanent damage from blood clots to the heart, kidney, lungs, liver, or eyes (blindness) can occur.
Sickle cell trait is not a disease but rather a heterozygous condition in which the individual has the mutant gene from only one parent (βs gene), and the normal gene (βA globin gene), resulting in the production of both Hb S and Hb A, with a predominance of Hb A (60%) over Hb S (40%). One in 12 African Americans (8%) has the sickle cell trait, and many other races and nationalities also carry the genetic defect. The gene has persisted because heterozygotes gain slight protection against falciparum malaria.
Under normal circumstances, sickle cell trait is rarely symptomatic; symptoms may occur with conditions associated with marked hypoxia and at high altitudes. No increased risk is evident for individuals with sickle cell trait who undergo general anesthesia, and a normal life expectancy is predicted. It was previously reported that no increased risk of sudden death was evident for those who participate in athletics, but a small number of cases have now been reported.
However, it remains controversial whether the pathogenesis of these exercise-related deaths involved microvascular obstruction by sickled erythrocytes since sickling can occur postmortem. The recommendations are that athletes with sickle cell trait adhere to compliance with general guidelines for fluid replacement and acclimatization to hot conditions and altitude.173
Definition.: The thalassemias are a group of inherited disorders with abnormalities in one or more of the four globin genes. Hb is composed of four protein chains: 2 α-globin chains and 2 β-globin chains (see Fig. 14-16). These four proteins are attached to heme (iron and protoporphyrin), which allows a molecule of oxygen to reversibly bind to this complex molecule.
Depending on which globin chain is affected, people may have α-thalassemia or β-thalassemia. α-Thalassemia is common among people from Africa, the Mediterranean (thalassa is Greek for sea, referring to early cases of SCD reported around the Mediterranean), the Middle East, and Asia. β-Thalassemia is most prevalent in the Mediterranean, Southeast Asia, India, and Pakistan.
Overview and Pathogenesis.: The thalassemias are characterized by abnormalities in the globin genes leading to incomplete or abnormal formation of Hb. This results in ineffective erythropoiesis and chronic hemolysis. Because there are four α-globin genes, several diseases can occur.
Clients who lack only one α gene (-α/αα) manifest no clinical symptoms and are carriers of the disorder. If two α genes are deleted (–,α or-α/-α), this condition is termed α-thalassemia trait and results in mild anemia. Hb H disease is characterized by three α gene deletions (–,-α) and results in severe anemia, CHF, and death. Fetal death occurs when all four of the α genes are deleted (hydrops fetalis).
Whereas α-thalassemia occurs with gene deletions, β-thalassemia is a heterogenous group of disorders caused by various genetic anomalies (usually point mutations), resulting in defects in the production of β-globin chains.
Thalassemia major (also called Cooley’s anemia) results from significant genetic defects in both β-globin genes, leading to a lack of β-globin chain synthesis. β-Thalassemia intermedia is caused by a mutation in each of the β-globin genes, with one mutation being mild, allowing for more β-globin chains to be produced with improved function compared with β-thalassemia major.
β-Thalassemia trait is characterized by only one gene having a mutation. Normally, the α-and β-globin chains are produced in an even ratio. When thalassemia occurs, there is a mismatch of globin chains produced. In persons affected with severe mutations, there are five to six times the number of normal precursor erythrocytes and 15 times the number of cells in apoptosis (programmed cell death) in the bone marrow as the body attempts to compensate for anemia. The cells that are released from the bone marrow may be rigid and unable to adapt to the size of the small capillaries or cleared by the immune system, resulting in hemolysis.164
Clinical Manifestations.: α-Thalassemia is not as common as β-thalassemia. The clinical manifestations of β-thalassemia vary depending on the severity and number of mutations. The clinical manifestations of thalassemia are primarily attributable to (1) defective synthesis of Hb (ineffective erythropoiesis), (2) structurally impaired RBCs, and (3) hemolysis or destruction of the erythrocytes.
β-Thalassemia major exhibits the most severe complications of the β-thalassemias due to significant genetic mutations. Most of these complications are a result of severe anemia and iron overload (from blood transfusions and increased absorption from the gut).
Clients with β-thalassemia major require frequent and regular transfusions beginning in infancy. Anemia and iron overload lead to endocrinopathies, cardiomyopathy, and cirrhosis of the liver. The endocrinopathies can be severe, including diabetes mellitus, hypoparathyroidism, hypopituitarism, delayed puberty, testicular and ovarian failure, and hypothyroidism.
These endocrine problems along with the anemia result in bone deformities and osteoporosis (increasing the risk for fractures). As a reaction to the anemia, the body attempts to compensate by making erythrocytes in extramedullary locations, including the spleen and liver (causing hepatosplenomegaly). Because the bone marrow is filled with more cells than normal, there is bone expansion (often noted on the skull).
Multiple and frequent transfusions place the client at risk for all complications related to transfusions, although cardiomyopathy is the most common cause of death.164 Clients with thalassemia intermedia exhibit mild to moderate anemia. Transfusion requirements are less than that received by clients with thalassemia major, but depending on the severity of the mutations, clients may still develop splenomegaly, iron overload, and bone deformities.
Persons with the thalassemia trait typically have mild or no anemia. Their erythrocytes may be very small, but splenomegaly and bone deformities do not develop.
Diagnosis is by laboratory testing. The peripheral blood smear may demonstrate target cells (RBCs that appear like a target), fragments of erythrocytes (because of hemolysis), and very small RBCs (see Fig. 14-2). The serum bilirubin and fecal and urinary urobilinogen levels may be elevated due to the severe hemolysis of abnormal cells. Electrophoresis is usually diagnostic for all types of thalassemia except αthalassemia trait.
The anemia associated with thalassemia intermedia may range from mild (not requiring transfusions) to more moderate, requiring occasional transfusions. The goal is to maintain an Hb level of 9 to 10 g/dl, which allows for more normal development and growth and reduces the incidence of hepatosplenomegaly and bone deformities. Clients requiring more frequent transfusions can develop clinical manifestations as described above.
Treatment for thalassemia major consists of optimizing transfusions, providing chelation therapy for iron overload, and implementing hormone replacement as needed. Thalassemia major requires lifelong transfusion, which places these persons at risk for transfusion-related infectious diseases.
The blood supply in the United States is rigorously tested, resulting in a significantly decreased incidence of hepatitis B and C and HIV, although transmission of these viruses can still occur. Most blood is also leukodepleted (WBCs removed) to reduce the problems of transfusion reactions and cytomegalovirus transmission.
Chelators remove iron from the bloodstream, and routine use in these clients has led to a doubling of life expectancy.80 Deferoxamine is the most common agent given, although intravenous dosing and side effects make its use difficult. Newer oral chelating agents are being developed, including deferiprone. This drug also has several significant adverse effects, although it does provide the advantages of oral administration and the ability to enter cells and chelate intracellularly.
An experimental approach is to combine the two drugs to provide intracellular chelation along with good plasma chelation. Progressive disease (or in clients who do not respond to chelation therapy) often requires hormone replacement. Clients can receive growth hormone, hormone replacement for testicular and ovarian failure, insulin for diabetes, levothyroxine for hypothyroidism, and calcium and vitamin D (and perhaps bisphosphonates) for osteoporosis.
BMT is an option for clients without severe complications (e.g., liver cirrhosis). Other experimental treatments include agents that increase fetal Hb production, such as 5-azacytidine, butyric acid, and hydroxyurea (see Sickle Cell Anemia: Treatment above), although transfusion decreases the responsiveness of the bone marrow to these agents.
Human recombinant erythropoietin and antioxidants may aid in treatment, but guidelines and study results are still pending. Gene therapy has been successful in animal (mice) studies, but enormous hurdles need to be crossed to be clinically feasible.58,120,188
Thalassemia trait does not affect life expectancy, but clients who carry the mutation need genetic counseling. Until recently the outlook for clients with thalassemia major has been poor, with lethal, severe hemolytic anemia and subsequent iron overload and dysfunction of almost all organ systems.
Children are significantly delayed in growth and development; delay of puberty is universal and many die before puberty. Treatment with blood transfusion and early chelation therapy has improved life expectancy from early puberty to early adulthood. Death from hydrops fetalis occurs in homozygous α-thalassemia and consistently results in stillbirth or death in utero.
1. Abshire, T. An approach to target joint bleeding in hemophilia: prophylaxis for all or individualized treatment? J Pediatr. 2004;145(5):581–583.
2. ACOG committee opinion. Von Willebrand’s disease in gynecologic practice. Int J Gynaecol Obstet. 2002;76(3):336–337.
3. Adams, RJ, Brambilia, D. Discontinuing prophylactic transfusions used to prevent stroke in sickle cell disease. N Engl J Med. 2005;353(26):2769–2777.
4. Aderibigbe, A, Ologe, FE, Oyejola, BA. Hearing thresholds in sickle cell anemia patients: emerging new trends? J Natl Med Assoc. 2005;97(8):1135–1142.
5. Ajmani, RS, Rifkind, JM. Hemorheological changes during human aging. Gerontology. 1998;44(2):111–120.
6. Al-Majid, S. Cancer-induced fatigue and skeletal muscle wasting: the role of exercise. Biol Res Nurs. 2001;2:186–197.
7. Albrecht, K. Strength training guidelines for children, adolescents and adults with bleeding disorders. Hemaware. 2003;8(3):66–70.
8. American Academy of Pediatrics. Policy statement. Strength training by children and adolescents. Pediatrics. 2001;107(6):1470–1472.
9. American Cancer Society Acute lymphoblastic leukemia. Available at http://www.cancer.org Accessed February 10, 2007
10. American Cancer Society How many people get multiple myeloma? Available at http://www.cancer.org Accessed January 27 2007
11. Anderson, A, Holtzman, TS, Masley, J. Physical therapy in bleeding disorders. New York: National Hemophilia Foundation, 2000.
12. Ania, BJ, Suman, VJ, Sobell, JL, et al. Trends in the incidence of polycythemia vera among Olmsted County, Minnesota residents, 1935–1989. Am J Hematol. 1994;47:89.
13. Atkins, RC, Walters, MC. Haematopoietic cell transplantation in the treatment of sickle cell disease. Exp Opin Biol Ther. 2003;3(8):1215–1224.
14. Attal, M, Harousseau, J-L, Facon, T, et al. Single versus double autologous stem-cell transplantation for multiple myeloma. N Eng J Med. 2004;349:2495–2502.
15. Ballen, KK, Hasserjian, RP. Case 2-2005: a 39-year-old woman with headache, stiff neck, and photophobia. N Engl J Med. 2005;352(3):274–283.
16. Barlogie, B, Tricot, G, Anaissie, E, et al. Thalidomide and hematopoietic-cell transplantation for multiple myeloma. N Engl J Med. 2006;354:1021–1030.
17. Barnes, L. Non-Hodgkin’s lymphoma. Rehabil Oncol. 2000;18(2):14–16.
18. Beard, J, Tobin, B. Iron status and exercise. Am J Clin Nutr. 2000;72(Suppl 2):594S–597S.
19. Belhadj, K, Delfau-Larue, MH, Elgnaoui, T, et al. Efficiency of in vivo purging with rituximab prior to autologous peripheral blood progenitor cell transplantation in B-cell non-Hodgkin’s lymphoma, a single institution study. Ann Oncol. 2004;15(3):504–510.
20. Berenson, JR, et al. Zoledronic acid reduces skeletal-related events in patients with osteolytic metastases. Cancer. 2001;91(7):1191–1200.
21. Biagi, J, et al. Primary Hodgkin’s disease of the CNS in an immunocompetent patient: a case study and review of the literature. Neuro-oncol. 2000;2(4):239–243.
22. Bolton-Maggs, PH, Pasi, KJ. Haemophilia A and B. Lancet. 2003;361:1801–1809.
23. Braun-Moscovici, Y, et al. Methotrexate-treated arthritis and lymphoproliferative disease: coincidence only? Clin Rheumatol. 2001;20(1):80–82.
24. Bussel, J, Cines, D. Immune thrombocytopenia purpura, neonatal alloimmune thrombocytopenia, and post-transfusion purpura. In Hoffman R, Benz EJ, Shattil SJ, eds.: Hematology: basic principles and practice, ed 4, New York: Churchill Livingstone, 2005.
25. Bussel, J, Kuter, DJ, George, JN, et al. AMG 531, a thrombopoiesis-stimulating protein, for chronic ITP. N Engl J Med. 2006;355(16):1672–1681.
26. Buzzard, B, Beeton, K. Physiotherapy management of hemophilia. London: Blackwell Science, 2000.
26a. Cahalin, LP. Efficacy of diaphragmatic breathing in persons with chronic obstructive pulmonary disease: a review of the literature. J Cardiopulm Rehab. 2002;22(1):7–21.
27. Caley, B, Reidenbach, F. Growing older with hemophilia. Hemaware. 2003;8(4):59–63.
28. Campbell, PJ, Green, AR. The myeloproliferative disorders. N Engl J Med. 2006;355(23):2452–2466.
29. Carobbio, A, Finazzi, G, Guerini, V, et al. Leukocytosis is a risk factor for thrombosis in essential thrombocythemia: interaction with treatment, standard risk factors and Jak2 mutation status. Blood. 2006;109(6):2310–2313.
30. Castagnola, C, Nozza, A, Corso, A, et al. The value of combination therapy in adult myeloid leukemia with central nervous system involvement. Haematologica. 1997;82:577–580.
31. Centers for Disease Control and Prevention. White paper: recommendations for maintaining high quality care for person with bleeding and clotting disorders. Bethesda, MD: National Center for Infectious Diseases, 2000.
32. Chanan-Khan, A, Porter, CW. Immunomodulating drugs for chronic lymphocytic leukaemia. Lancet Oncol. 2006;7(6):480–488.
33. Chaperot, L, et al. Differentiation of antigen-presenting cells (dendritic cells and macrophages) for therapeutic application in patients with lymphoma. Leukemia. 2001;14(9):1667–1677.
33a. Chaves, PH. Association between mild anemia and executive function impairment in community-dwelling older women: the Women’s Health and Aging Study II. J Am Geriatr Soc. 2006;54(9):1429–1435.
33b. Chaves, PH. Looking at the relationship between hemoglobin concentration prevalent mobility difficulty in older women. Should the criteria currently used to define anemia in older people be reevaluated? J Am Geriatr Soc. 2002;50(7):1257–1264.
33c. Chaves, PH. What constitutes normal hemoglobin concentration in community-dwelling disabled older women? J Am Geriatr Soc. 2004;52(11):1811–1816.
34. Chiroazzi, N, Rai, KR, Ferrarini, M. Chronic lymphocytic leukemia. N Engl J Med. 2005;352(8):804–815.
35. Chorba, TL, Holman, RC, Clarke, MJ, et al. Effects of HIV infection on age and cause of death for persons with hemophilia A in the United States. Am J Hematol. 2001;66:229–240.
36. Coffino, M. Profile of Sharon Funk, 2001-2002 Physical Therapy Excellence Fellowship Recipient. Hemaware. 2001;6(6):29–32.
37. Coleman, EA. Feasibility of exercise during treatment for multiple myeloma. Cancer Nurs. 2003;26(5):410–419.
38. Cook, SK, Coleman, EA. Exercise decisions within the context of multiple myeloma, transplant, and fatigue. Cancer Nursing. 2004;27(2):108–118.
39. Criteria for the classification of monoclonal gammopathies, multiple myeloma and related disorders. A report of the International Myeloma Working Group. Br J Haematol. 2003;121:749–757.
40. Curt, GA. Impact of cancer-related fatigue on the lives of patients: new findings from the Fatigue Coalition. Oncologist. 2000;5(5):353–360.
41. Cvetkovic, RS, Perry, CM. Rituximab: a review of its use in non-Hodgkin’s lymphoma and chronic lymphocytic leukaemia. Drugs. 2006;66(6):791–820.
42. Dawson, TM, et al. Epstein-Barr virus, methotrexate, and lymphoma in patients with rheumatoid arthritis and primary Sjögren’s syndrome: case series. J Rheumatol. 2001;28(1):47–53.
43. D’Cruz, D. Autoimmune diseases associated with drugs, chemicals and environmental factors. Toxicol Lett. 2000:421–432. [112-113].
44. Dean, E. Oxygen transport deficits in systemic disease and implications for physical therapy. Phys Ther. 1997;77(2):187–202.
45. Demers, C, Derzko, C, David, M, et al. Gynaecological and obstetric management of women with inherited bleeding disorders. J Obstet Gynaecol Can. 2005;27(7):707–732.
46. Denis, CV, Kwack, K, Saffaripour, S, et al. Interleukin 11 significantly increases plasma von Willebrand factor and factor VIII in wild type and von Willebrand disease mouse models. Blood. 2001;97:465–472.
47. Deniz, K. Breast cancer in women after treatment for Hodgkin’s disease. Lancet Oncol. 2003;4(4):207–214.
48. Diamond, C, Taylor, TH, Im, T, et al. Highly active antiretroviral therapy is associated with improved survival among patients with AIDS-related primary central nervous system non-Hodgkin’s lymphoma. Curr HIVRes. 2006;4(3):375–378.
49. Diamond, PT. Severe anemia: implications for functional recovery during rehabilitation. Disabil Rehabil. 2000;22(12):574–576.
50. Diehl, V, Franklin, J, Pfreundschuh, M, et al. Standard and increased-dose BEACOPP chemotherapy compared with COPP-ABVD for advanced Hodgkin’s disease. N Engl J Med. 2003;348(24):2386–2395.
51. Diehl, V, Re, D, Josting, A. Hodgkin’s disease: clinical manifestations, staging, and therapy. In Hoffman R, Benz EJ, Shattil SJ, eds.: Hematology: basic principles and practice, ed 4, New York: Churchill Livingstone, 2005.
52. Diel, IJ, Solomayer, EF, Bastert, G. Bisphosphonates and the prevention of metastasis: first evidences from preclinical and clinical studies. Cancer. 2000;88(Suppl 12):3080–3088.
53. Dilley, A, et al. Von Willebrand disease and other inherited bleeding disorders in women with diagnosed menorrhagia. Obstet Gynecol. 2001;97(4):639.
54. Dores, GM, Metayer, C, Curtis, RE, et al. Second malignant neoplasms among long-term survivors of Hodgkin’s disease: a population-based evaluation over 25 years. J Clin Oncol. 2002;20:3484–3494.
55. Dunn, AL, Busch, MT, Wyly, JB. Arthroscopic synovectomy for hemophilic joint disease in a pediatric population. J Pediatr Orthop. 2004;24(4):414–426.
56. Dunn, AL, Busch, MT, Wyly, JB. Radionuclide synovectomy for hemophilic arthropathy: a comprehensive review of safety and efficacy and recommendation for a standardized treatment protocol. Thromb Haemost. 2002;87(3):383–393.
57. Durstine, JL, et al. Physical activity for the chronically ill and disabled. Sports Med. 2000;30(3):207–219.
58. Dyall, J, et al. Lentivirus-transduced human monocyte-derived dendritic cells efficiently stimulate antigen-specific cytotoxic T lymphocytes. Blood. 2001;97(1):114–121.
59. Dybjer, A, et al. Seropositive polyarthritis and skin manifestations in T-prolymphocytic leukemia. Leuk Lymphoma. 2000;37(3-4):437–440.
60. Ekstrand, BC, Lucas, JB, Horwitz, SM, et al. Rituximab in lymphocyte-predominant Hodgkin disease: results of a phase 2 trial. Blood. 2003;101(11):4285–4289.
61. Ewenstein, BM, Gomperts, ED, Pearson, S, et al. Inhibitor development in patients receiving recombinant factor VIII (recombinate rAHF/bioclate): a prospective pharmacovigilance study. Haemophilia. 2004;10(5):491–498.
62. Fallon, KE, Bishop, G. Changes in erythropoiesis assessed by reticulocyte parameters during ultralong distance running. Clin J Sport Med. 2002;12(3):172–179.
63. Fenig, E, et al. Pregnancy and radiation. Cancer Treat Rev. 2001;27(1):1–7.
64. Finazzi, G, Rambaldi, A, Guerini, V, et al. Risk of thrombosis in patients with essential thrombocythemia and polycythemia vera according to JAK2 V617F mutation status. Haematologica. 2007;92(1):135–136.
65. Fourney, DR. Percutaneous vertebroplasty and kyphoplasty for painful vertebral body fractures in cancer patients. J Neurosurg. 2003;98(1 Suppl):21–30.
66. Franchini, M, Veneri, D, Lippi, G. The use of recombinant activated factor VII in congenital and acquired von Willebrand disease. Blood Coagul Fibrinolysis. 2006;17(8):615–619.
66a. Ganesh, R. Multiple myeloma of the cervical spine: treatment strategies for pain and spinal stability. J Neurosurg: Spine. 2006;5:140–145.
67. Gerard, L, Galicier, L, Boulanger, E, et al. Improved survival in HIV-related Hodgkin’s lymphoma since the introduction of highly active antiretroviral therapy. AIDS. 2003;17(1):81–87.
68. Gerber, L. Rehabilitation of the cancer patient. In: Rosenberg S, ed. Cancer: principles and practice of oncology. Philadelphia: J.B. Lippincott; 1997:2925–2956.
68a. Gilbert, MS, Radomisli, TE. Management of fixed flexion contracture of the elbow in haemophilia. Haemophilia. 1999;5(Suppl 1):39–42.
69. Gobbi, PG, Levis, A, Chisesi, T, et al. ABVD versus modified Stanford V versus MOPPEBVCAD with optional and limited radiotherapy in intermediate-and advanced-stage Hodgkin’s lymphoma: final results of a multicenter randomized trial by the Intergruppo Italiano Linfomi. J Clin Oncol. 2005;23(36):9198–9207.
70. Goodnought, LT, Shander, A, Spence, R. Bloodless medicine: clinical care without allogenic blood transfusion. Transfusion. 2003;43:668–676.
71. Goonaugh, LT, Shander, A, Spivak, JL. Detection, evaluation and management of anemia in the elective surgical patient. Anesth Analg. 2005;101:1858–1861.
72. Gorman, K. Sickle cell disease. Am J Nurs. 1999;99(3):1–14.
73. Greskovich, JF, Macklis, RM. Radiation therapy in pregnancy: risk calculation and risk minimization. Semin Oncol. 2000;27(6):633–645.
74. Guardino, AE, Rajapaksa, R, Ong, KH, et al. Production of myeloid dendritic cells (DC) pulsed with tumor-specific idiotype protein for vaccination of patients with multiple myeloma. Cytotherapy. 2006;8(3):277–289.
75. Gurney, B. Leg length discrepancy: a review. Gait & Posture. 2002;15(2):195–206.
76. Hardell, L, et al. Some aspects of the etiology of non-Hodgkin’s lymphoma. Environ Health Perspect. 1998;106(Suppl 2):679–681.
77. Hasenclever, D, Diehl, V. A prognostic score for advanced Hodgkin’s disease. International Prognostic Factors Project on Advanced Hodgkin’s Disease. N Engl J Med. 1998;339:1506–1514.
78. Herman-Hilker, S. Spring training: a model for sports and physical activity education. Hemaware. 2001;6(6):16–24.
78a. Hilliard, P. Haemophilia joint health score reliability study. Haemophilia. 2006;12:518–525.
79. Hockey, EG. Personal communication. Cleveland, Ohio: University Hospitals of Cleveland, 2001.
80. Hoffbrand, AV, Cohen, A, Hershko, C. Role of deferiprone in chelation therapy for transfusional iron overload. Blood. 2003;102:17–24.
81. Hogan, AM. An exploratory study of physiological correlates of neurodevelopmental delay in infants with sickle cell anaemia. Br J Haematol. 2006;132(1):99–107.
82. Hogan, AM, Kirkham, FJ, Prengler, M, et al. An exploratory study of physiological correlates of neurodevelopmental delay in infants with sickle cell anaemia. Br J Haematol. 2006;132(1):99–107.
83. Hollinger, FB, Kirtava, A, Oakley, M, et al. Blood safety monitoring among persons with bleeding disorder-United States, May 1998–June 2002. JAMA. 2003;289:541.
84. Hoppe, CC, Walters, MC. Bone marrow transplantation in sickle cell anemia. Curr Opin Oncol. 2001;13(2):85–90.
85. Horne, G, et al. Achieving pregnancy against the odds: successful implantation of frozen-thawed embryos generated by ICSI using spermatozoa banked prior to chemo/radiotherapy for Hodgkin’s disease and acute leukemia. Hum Reprod. 2001;16(1):107–109.
86. Huaux, JP, Geubel, A, Koch, MC, et al. The arthritis of hemochromatosis: a review of 25 cases with special reference to chondrocalcinosis, and a comparison with patients with primary hyperparathyroidism and controls. Clin Rheumatol. 1986;5:317.
87. Hunault, M, Harousseau, JL, Delain, M, et al. Better outcome of adult acute lymphoblastic leukemia after early genoidentical allogeneic bone marrow transplantation (BMT): a GOELAMS trial. Blood. 2004;104:3028–3037.
88. Iannone, R, Ohene-Frempong, K, Fuchs, EJ, et al. Bone marrow transplantation for sickle cell anemia: progress and prospects. Pediatr Blood Cancer. 2005;44(5):436–440.
89. Izaks, GJ, Westendorp, RG, Knook, DL. The definition of anemia in older persons. JAMA. 1999;281(18):1714–1717.
90. Jaffe, ES, Harris, NL, Stein, H, et al, eds. Pathology and genetics of tumours of haematopoietic and lymphoid tissues, vol 3 of World Health Organization classification of tumours. Lyons, France: IARC Press; 2001.
91. Jemal, A. Cancer statistics 2007. CA Cancer J Clin. 2007;57(1):43–66.
92. Joyner, LC. Leg length discrepancy and target joints. Hemaware. 2003;8(3):51–52.
93. Joyner, LC. Night splints. An option for treating chronic muscle tightness. Hemaware. 2003;8(3):53–55.
94. Karavatas, SG. Physical therapy management of patients with multiple myeloma: musculoskeletal considerations. Rehab Oncol. 2006;24(3):11–16.
95. Keating, MJ, O’Brien, S, Lerner, S, et al. Long-term follow-up of patients with chronic lymphocytic leukemia (CLL) receiving fludarabine regimens as initial therapy. Blood. 1998;92:1165–1171.
96. Keeney, S, Cumming, AM. The molecular biology of von Willebrand disease. Clin Lab Haematol. 2001;23:209–230.
97. Kempton, CL, Soucie, JM, Abshire, TC. Incidence of inhibitors in a cohort of 838 males with hemophilia A previously treated with factor VIII concentrates. J Thromb Haemost. 2006;4(12):2576–2581.
98. Kern, M, Blanchette, V, Stain, AM, et al. Clinical and cost implications of target joints in Canadian boys with severe hemophilia A. J Pediatr. 2004;145:628–634.
99. Khan, G. Epstein-Barr virus, cytokines, and inflammation: a cocktail for the pathogenesis of Hodgkin’s lymphoma? Exp Hematol. 2006;34(4):399–406.
100. Kinney, TR, et al. Safety of hydroxyurea in children with sickle cell anemia: results of the HUG KIDS Study, a phase I/II trial. Blood. 1999;94(5):1550–1554.
101. Kinney, TR, Sleeper, LA, Wang, WC, et al. Silent cerebral infarcts in sickle cell anemia: a risk factor analysis. Pediatrics. 1999;103:640–645.
102. Klepfish, A, et al. Advanced Hodgkin’s disease in a pregnant HIV seropositive woman: favorable mother and baby outcome following combined anticancer and antiretroviral therapy. Am J Hematol. 2000;63(1):57–58.
103. Klinge, J, Auberger, K, Auerswald, G, et al. Prevalence and outcome of intracranial haemorrhage in haemophiliacs-a survey of the paediatric group of the German Society of Thrombosis and Haemostasis (GTH). Eur J Pediatr. 1999;158(Suppl 3):S162–S165.
104. Kulkarni, R, Ponder, KP, James, AH, et al. Unresolved issues in diagnosis and management of inherited bleeding disorders in the perinatal period: a white paper of the Perinatal Task Force of the Medical and Scientific Advisory Council of the National Hemophilia Foundation, USA. Haemophilia. 2006;12(3):205–211.
105. Kyle, RA, Therneau, TM, Rajkumar, SV, et al. A long-term study of prognosis in monoclonal gammopathy of undetermined significance. N Engl J Med. 2002;346:564–569.
106. Lal, A, Fung, EB, Pakbaz, Z, et al. Bone mineral density in children with sickle cell anemia. Pediatr Blood Cancer. 2006;47(7):901–906.
107. Landolfi, R, Marchioli, R, Kutti, J, et al. Efficacy and safety of low-dose aspirin in polycythemia vera. N Engl J Med. 2004;350:114–124.
108. Lenahan, SE, et al. Transfusion-related acute lung injury secondary to biologically active mediators. Arch Pathol Lab Med. 2001;125(4):523–526.
109. Lethagen, S, Widell, A, Berntorp, E, et al. Clinical spectrum of hepatitis C-related liver disease and response to treatment with interferon and ribavirin in haemophilia or von Willebrand disease. Br J Haematol. 2001;113:87–93.
110. Levine, AM. Acquired immunodeficiency syndrome-related lymphoma: clinical aspects. Semin Oncol. 2000;27(4):442–453.
111. Lim, ST, Levine, AM. Recent advances in acquired immunodeficiency syndrome (AIDS)-related lymphoma. Cancer J Clin. 2005;55:229–241.
112. Little, RF, et al. HIV-associated non-Hodgkin lymphoma: incidence, presentation, and prognosis. JAMA. 2001;285(14):1880–1885.
113. Lorigan, P, Radford, J, Howell, A, et al. Lung cancer after treatment for Hodgkin’s lymphoma: a systematic review. Lancet Oncol. 2005;6(10):773–779.
114. Lowenberg, B, Downing, JR, Burnett, R. Acute myeloid leukemia. N Engl J Med. 1999;341:1051–1062.
114a. Lundin, B. Compatible scales for progressive and additive MRI assessments of haemophilic arthropathy. Haemophilia. 2005;11(12):109–115.
115. Mair, B, Leparc, GF. Hypotensive reactions associated with platelet transfusions and angiotensin-converting enzyme inhibitors. Vox Sang. 1998;74(1):27–30.
116. Manches, O, Plumas, J, Lui, G, et al. Anti-Gal-mediated targeting of human B lymphoma cells to antigen-presenting cells: a potential method for immunotherapy using autologous tumor cells. Haematologica. 2005;90(5):625–634.
117. Manno, CS, Pierce, GF, Arruda, VR, et al. Successful transduction of liver in hemophilia by AAV-Factor IX and limitations imposed by the host immune response. Nat Med. 2006;12(3):342–347.
118. Mannucci, PM. Treatment of von Willebrand’s disease. N Engl J Med. 2004;351(7):683–694.
119. Marchese, VG, Chiarello, LA. Relationships between specific measures of body function, activity, and participation in children with acute lymphoblastic leukemia. Rehab Oncol. 2004;22(2):5–9.
120. May, C, et al. Therapeutic haemoglobin synthesis in beta-thalassaemic mice expressing lentivirus-encoded human beta-globin. Nature. 2000;406(6791):82–86.
121. McNeil, J. Keeping fit during the college years. Hemaware. 2003;8(3):61–65.
122. Medical Research Council Haemostasis & thrombosis database resource sites-factor VIII database. Available at http://europium.csc.mrc.ac.uk Accessed January 26, 2007.
123. Migliazza, A, et al. Nucleotide sequence, transcription map, and mutation analysis of the 13q14 chromosomal region deleted in B-cell chronic lymphocytic leukemia. Blood. 2001;97(70):2098–2104.
124. Moore, BD. Neurocognitive outcomes in survivors of childhood cancer. J Pediatr Psychol. 2005;30:51–63.
125. Morbidity and Mortality Weekly Report. Update: newborn screening for sickle cell disease. MMWR. 2000;49(32):729–731.
126. Morcos, AC. Exercise heals. Hemaware. 2003;8(3):74–78.
127. Moylan, CA, Muir, AJ. Treatment of hepatitis C in special populations. Clin Liver Dis. 2005;9(4):567–577.
128. National Comprehensive Cancer Network Clinical practice guidelines inn oncology: cancer-related fatigue. V.1.2006. Available at http://www.nccn.org Accessed January 29, 2007.
129. National Comprehensive Cancer Network Multiple myeloma. V.2.2007. Available at http://www.nccn.org Accessed January 29, 2007.
130. National Hemophilia Foundation. Hemophilia, sports, and exercise. New York: National Hemophilia Foundation, 1996.
131. National Hemophilia Foundation. Hepatitis updates. Hemaware. 2000.
132. Nelson, J. Hemophilia and exercise. PT Magazine. 1994;2:60–66.
133. Nicklas, AH, Baker, ME. Imaging strategies in the pregnant cancer patient. Semin Oncol. 2000;27(6):623–632.
134. Norian, JM. Total knee arthroplasty in hemophilic arthropathy. J Bone Joint Surg (Am). 2002;84-A(7):1138–1141.
135. O’Brien, SG, Guilhot, F, Larson, RA, et al. Imatinib compared with interferon and low-dose cytarabine for newly diagnosed chronic-phase chronic myeloid leukemia. N Engl J Med. 2003;348(11):994–1004.
136. O’Connor, SR, Farmer, PB, Lauder, I. Benzene and non-Hodgkin’s lymphoma. J Pathol. 1999;189(4):448–453.
137. Oeffinger, KC, Mertens, AC, Sklar, CA, et al. Chronic health conditions in adult survivors of childhood cancer. N Engl J Med. 2006;355(15):1572–1582.
138. Ogundipe, O, et al. Sickle cell disease and nitrous oxide-induced neuropathy. Clin Lab Haematol. 1999;21(6):409–412.
139. Oyono-Enguelle, S, et al. Cardiorespiratory and metabolic responses to exercise in HbSC sickle cell patients. Med Sci Sports Exerc. 2000;32(4):725–731.
140. Ozawa, S, Shander, A, Ochani, TD. A practical approach to achieving bloodless surgery. AORN J. 2001;74(1):34–45.
141. Painter, P, et al. Low-functioning hemodialysis patients improve with exercise training. Am J Kidney Dis. 2000;36(3):600–608.
142. Palli, D, et al. Hodgkin’s disease risk is increased in patients with ulcerative colitis. Gastroenterol. 2000;119(3):647–653.
143. Panepinto, JA, et al. Universal versus targeted screening of infants for sickle cell disease: a cost-effectiveness analysis. J Pediatr. 2000;136(2):201–208.
144. Patel, DV, Rai, KR. Chronic lymphocytic leukemia. In Hoffman R, Benz EJ, Shattil SJ, eds.: Hematology: basic principles and practice, ed 4, New York: Churchill Livingstone, 2005.
145. Pellett, R. Sickle cell disease. Rehabil Oncol. 2000;18(2):10–13.
146. Persson, B, Fredrickson, M. Some risk factors for non-Hodgkin’s lymphoma. Int J Occup Med Environ Health. 1999;12(2):135–142.
147. Petrangelo, A. Hereditary hemochromatosis-a new look at an old disease. N Engl J Med. 2004;350(23):2383–2397.
148. Pileri, SA, Falini, B, Stein, H. Pathobiology of Hodgkin’s lymphoma. In Hoffman R, Benz EJ, Shattil SJ, eds.: Hematology: basic principles and practice, ed 4, New York: Churchill Livingstone, 2005.
149. Platt, OS. Preventing stroke in sickle cell anemia. N Engl J Med. 2005;353(26):2743–2745.
150. Platt, OS. The acute chest syndrome of sickle cell disease. N Engl J Med. 2000;342(25):1904–1907.
151. Platt, OS, Brambilla, DJ, Rosse, WF, et al. The Cooperative Study of Sickle Cell Disease: mortality in sickle cell disease: life expectancy and risk factors for early death. N Engl J Med. 1994;330:1639.
152. Plug, I, Van Der Bom, JG, Peters, M, et al. Mortality and causes of death in patients with hemophilia. J Thromb Haemost. 2006;4(3):510–516.
153. Pohlman, B, Macklis, RM. Lymphoma and pregnancy. Semin Oncol. 2000;27(6):657–666.
154. Popovsky, MA. Transfusion-related acute lung injury. Curr Opin Hematol. 2000;7(6):402–407.
155. Poulson, B, Gudas, SA. Multiple myeloma. Rehab Oncol. 2003;21(3):8–10.
156. Pui, C-H, Evans, WE. Treatment of acute lymphoblastic leukemia. N Engl J Med. 2006;354(2):166–178.
157. Richardson, PG, Sonneveld, P, Schuster, MW, et al. Bortezomib or high-dose dexamethasone for relapsed multiple myeloma. N Engl J Med. 2005;352(24):2487–2498.
158. Riedel, DA, Pottern, LM. The epidemiology of multiple myeloma. Hematol Oncol Clin North Am. 1992;6:225.
159. Rizzo, A. CML: lessons learned when the therapist becomes the patient. Rehab Oncol. 2003;21(3):4–6.
160. Rodeghiero, F, Castaman, G, Dini, E. Epidemiological investigation of the prevalence of von Willebrand’s disease. Blood. 1987;69:454–459.
161. Rodon, P, et al. Multiple myeloma in elderly patients: presenting features and outcome. Eur J Haematol. 2001;66(1):11–17.
162. Rodruiquez-Merchan, EC. Therapeutic options in the management of articular contractures in haemophiliacs. Haemophilia. 1999;5(Suppl 1):5–9.
163. Rund, D, Ben-Yehuda, D. Therapy-related leukemia and myelodysplasia: evolving concepts of pathogenesis and treatment. Hematology. 2004;9(3):179–187.
164. Rund, D, Rachmilewitz, E. ?-thalassemia. N Engl J Med. 2005;353(11):1135–1146.
165. Sawka, MN, et al. Blood volume: importance and adaptations to exercise training, environmental stresses, and trauma/sickness. Med Sci Sports Exerc. 2000;32(2):332–348.
166. Schafer, AI. Thrombocytosis. N Engl J Med. 2004;350:1211–1219.
167. Schatz, J, McClellan, CB. Sickle cell disease as a neurodevelopmental disorder. Ment Retard Dev Disabil Res Rev. 2006;12(3):200–207.
168. Schwarz, HP, Schlokat, U, Mitterer, A, et al. Recombinant von Willebrand factor-insight into structure and function through infusion studies in animals with severe von Willebrand disease. Semin Thromb Hemost. 2002;28(2):215–226.
169. Shander, A. The safety and efficacy of bloodless cardiac surgery. Semin Cardiothorac Vasc Anesth. 2005;9(1):53–63.
170. Shander, A, Goodnough, LT. Objectives and limitations of bloodless medical care. Curr Opin Hematol. 2006;13:462–470.
171. Sharathkumar, A, Lillicrap, D, Blanchette, VS, et al. Intensive exposure to factor VIII is a risk factor for inhibitor development in mild hemophilia A. J Thromb Haemost. 2004;1(6):1228–1236.
172. Sharpe, K, Ashenden, MJ, Schumacher, YO. A third generation approach to detect erythropoietin abuse in athletes. Haematologica. 2006;91(3):356–363.
173. Shaskey, DJ, Green, GA. Sports hematology. Sports Med. 2000;29(1):27–38.
174. Silva, M, Luck, JV, Jr. Long-term results of primary total knee replacement in patients with hemophilia. J Bone Joint Surg (Am). 2005;87(1):85–91.
175. Sokolova, Y. Acute shoulder pain and swelling in a 68-year-old man. J Musc Med. 2000;17(11):699–700.
176. Soucie, JM, et al. Mortality among males with hemophilia: relations with source of medical care. The Hemophilia Surveillance System Project Investigators. Blood. 2000;96(2):437–442.
176a. Soucie, JM, Cianfrini, C, Janco, RL, et al. Joint range-of-motion limitations among young males with hemophilia: prevalence and risk factors. Blood. 2004;103(7):2467–2473.
177. Spahn, DR, Casutt, M. Eliminating blood transfusions. N Aspects Perspect Anesth. 2000;93(1):242–255.
178. Steen, RG, Miles, MA, Helton, KJ, et al. Cognitive impairment in children with hemoglobin SS sickle cell disease: relationship to MR imaging findings and hematocrit. AJNR Am J Neuroradiol. 2003;24(3):382–389.
179. Steinberg, MH, Barton, F, Castro, O, et al. Effect of hydroxyurea on mortality and morbidity in adult sickle cell anemia: risks and benefits up to 9 years of treatment. JAMA. 2003;289:1645–1651.
180. Stephensen, D. Rehabilitation of patients with haemophilia after orthopedic surgery. Haemophilia. 2005;11(Suppl 1):26–29.
181. Stokes, M, Young, A. The contribution of reflex inhibition to arthrogenous muscle weakness. Clin Sci. 1984;67:714.
182. Strong, A, Karavatas, SG. Recommended exercise protocol to decrease cancer-related fatigue and muscle wasting in patients with multiple myeloma: an evidence-based systematic review. Top Geriatr Rehabil. 2006;22:172–186.
183. Sullivan, KJ, et al. Nitric oxide successfully used to treat acute chest syndrome of sickle cell disease in a young adolescent. Crit Care Med. 1999;27(11):2563–2568.
184. Sultan, SM, Ioannou, Y, Isenberg, DA. Is there an association of malignancy with systemic lupus erythematosus? An analysis of 276 patients under long-term review. Rheumatol (Oxford). 2000;39(10):1147–1152.
185. Takahashi, R, et al. A newly developed biphosphonate, YM529, is a potent apoptosis inducer of human myeloma cells. Leuk Res. 2001;25(1):77–83.
186. ten Cate, H. Pathophysiology of disseminated intravascular coagulation in sepsis. Crit Care Med. 2000;28(9 Suppl):S9–S11.
187. Thomas, VN. The role of cognitive-behavioral therapy in the management of pain in patients with sickle cell disease. J Adv Nurs. 1998;27:1002–1009.
188. Vacek, MM, Ma, H, Gemignani, F, et al. High-level expression of hemoglobin A in human thalassemic erythroid progenitor cells following lentiviral vector delivery of an antisense snRNA. Blood. 2003;101:104–111.
189. Vichinsky, EP. Pulmonary hypertension in sickle cell disease. N Engl J Med. 2004;350:857–859.
190. Vichinsky, EP, et al. The perioperative complication rate of orthopedic surgery in sickle cell disease: report of the National Sickle Cell Surgery Study Group. Am J Hematol. 1999;62(3):129–138.
191. von Kempis, J, et al. Intravascular lymphoma presenting as symmetric polyarthritis. Arthritis Rheum. 1998;41(6):1126–1130.
192. Wagstaff, AJ, Keating, GM. Anagrelide: a review of its use in the management of essential thrombocythaemia. Drugs. 2006;66:111–131.
193. Walters, MC. Impact of bone marrow transplantation for symptomatic cell disease: an interim report. Blood. 2000;95(6):1918–1924.
194. Walters, MC. Stem cell therapy for sickle cell disease: transplantation and gene therapy. Hematol Am Soc Hematol Educ Prog. 2005:66–73.
195. Walz, C, Sattler, M. Novel targeted therapies to overcome imatinib mesylate resistance in chronic myeloid leukemia (CML). Crit Rev Oncol Hematol. 2006;57(2):145–164.
196. Wang, A, Frick, N. HIV/AIDS updates: exercise may be even more beneficial than you think. Hemaware. 2000.
197. White, CA. Radioimmunotherapy in non-Hodgkin’s lymphoma: focus on 90Y-ibritumomab tiuxetan (Zevalin). J Exp Ther Oncol. 2004;4(4):305–316.
198. Wirthwein, DP, et al. Death due to microvascular occlusion in sickle-cell trait following physical exertion. J Forensic Sci. 2001;46(2):399–401.
199. Wolk, A, et al. A prospective study of obesity and cancer risk. Cancer Causes Control. 2001;12(1):13–21.
200. Wong, O, Raabe, GK. Non-Hodgkin’s lymphoma and exposure to benzene in a multinational cohort of more than 308,000 petroleum workers, 1937 to 1996. J Occup Environ Med. 2000;42(5):554–568.
201. World Health Organization Fifty-ninth World Health Assembly 2006. Sickle cell anaemia: report by the secretariat Available at http://www.who.int/gb/ebwha/pdf_files/WHA59/A59_9-en.pdf Accessed Jan. 25, 2007.
202. Wright, MJ. Proficiency of balance in children and youth who have had acute lymphoblastic leukemia. Phys Ther. 2005;85(8):782–790.
203. Yeh, HS, Berenson, JR. Treatment for myeloma bone disease. Clin Cancer Res. 2006;12(20 Pt 2):6279s–6284s.
204. Yuille, MR, et al. Familial chronic lymphocytic leukemia: a survey and review of published studies. Br J Haematol. 2000;109(4):794–799.
205. Zavadsky, AJ. Platelet disorders and their implications on physical therapy intervention. Rehab Onol. 2001;19(3):11–13.
206. Zeerleder, S, Hack, E, Wuillemin, WA. Disseminated intravascular coagulation in sepsis. Chest. 2005;128:2864–2875.
207. Zhan, F, Huang, Y, Colla, S, et al. The molecular classification of multiple myeloma. Blood. 2006;108(6):2020–2028.
208. Zoller, H, Vogel, W. Iron supplementation in athletes-first do no harm. Nutrition. 2004;20(7–8):615–619.