Inflammatory bowel conditions are considered to be autoimmune diseases in which either the antibodies or other defense mechanisms are directed against the body. Theories explaining the etiopathogenesis of IBD have been proposed ever since UC and CD were recognized as the two major forms of the disease. Although the exact causes and mechanisms of tissue damage in IBD have yet to be completely understood, enough progress has been made to accept the following as one valid explanation.41
IBD is an inappropriate immune response that occurs in genetically susceptible individuals as the result of a complex interaction among environmental factors, microbial factors, and the intestinal immune system. Although these disorders tend to occur in families, no single genetic marker (i.e., histocompatibility antigen) has been identified yet, preventing early identification of susceptible individuals.
The onset and reactivation of disease are trigged by environmental factors that transiently break the mucosal barrier, stimulate immune responses, or alter the balance between beneficial and pathogenic enteric bacteria.127 There is a marked overexpression of proinflammatory cytokines such as tumor necrosis factor (TNF) α and increased production of matrix-degrading enzymes by fibroblasts and macrophages, which are likely responsible for the ulceration and fistula formation that occur in CD.93
A growing number of reports have demonstrated a disorder of autonomic function in subgroups of people with functional bowel disorders. Altered autonomic balance (low vagal tone, increased sympathetic activity) may alter visceral perception. Autonomic dysfunction may represent the physiologic pathway, accounting for many of the extraintestinal symptoms and frequent GI problems encountered by people with other disorders such as chronic fatigue and fibromyalgia.11
Almost an endless list of environmental factors has been identified. Smoking is a risk factor for CD but a protective factor for UC.41 A possible correlation of the onset of disease with life stresses and poor adaptation to those stresses is cited in the majority of literature regarding IBD, but this has not been proved conclusively. More likely, these factors exacerbate the illness but are not a cause of the condition. Autoimmune disorders such as systemic lupus erythematosus and fibromyalgia often accompany IBD.
There is no evidence that classic infectious agents cause IBD; rather, increasing evidence continues to point to an abnormal immune response against the normal enteric flora. Gut inflammation is mediated by cells of the innate as well as adaptive immune systems, with the additional contribution of nonimmune cells, such as epithelial, mesenchymal, and endothelial cells, and platelets.41
Improved hygiene in developed countries may be another etiologic factor in the development of inflammatory conditions such as IBD. Geographic and ethnic variations in both UC and CD suggest that parasitic worms (helminths) may be an important environmental factor. Helminths alter host mucosal and systemic immunity. They induce mucosal T cells to make regulatory cytokines that have a protective function in the intestines. Improved hygiene may preclude exposure to helminths, effectively removing immune protection against disease from dysregulated inflammation.48,155
Two features distinguish CD from UC. In CD, a constitutionally weak immune response predisposes to accumulation of intestinal contents that breach the mucosal barrier of the bowel wall, resulting in granuloma formation and chronic inflammation.95 The inflammation usually involves all layers of the bowel wall, referred to as transmural inflammatory disease, and the inflammatory process is discontinuous, so that segments of inflamed areas are separated by normal tissue in a skip pattern. The transverse colon is affected in half of all cases; other common sites include the small bowel, ascending or descending colon, and anorectal region.
In UC, the large intestine (colon) is primarily affected, with involvement extending uniformly and continuously, usually starting from the distal part of the rectum.
Inflammation accompanying CD produces thickened, edematous tissue, and chronic inflammation leads to ulcerations, which produce fissures that extend the inflammation into lymphoid tissue. Mesenteric lymph nodes often are enlarged, firm, and matted together. The mesentery is a membranous peritoneal fold attaching the small intestine to the dorsal abdominal wall.
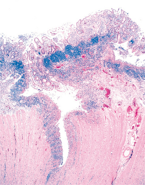
The lesions are granulomatous (epithelioid cells rimmed by lymphocytes) with projections of inflamed tissue surrounded by fibrous scarring narrowing the intestinal lumen (Fig. 16-10). A combination of the granulomas (nodular swelling), ulceration, and fibrosis results in a cobblestone appearance of the mucosal surface of the colon (Fig. 16-11).

Figure 16-10 Crohn’s disease of the colon. A deep fissure extending into the muscle wall and a second, shallow ulcer (upper right). Abundant lymphocyte aggregates are present, evident as blue patches of cells at the interface between the mucosa and submucosa. (From Kumar V: Robbins and Cotran: pathologic basis of disease, ed 7, Philadelphia, 2007, Saunders.)

Figure 16-11 Crohn’s disease of the ileum, showing narrowing of the lumen, bowel wall thickening, serosal extension of mesenteric fat (“creeping fat”), and linear ulceration of the mucosal surface (arrows). (From Kumar V: Robbins and Cotran: pathologic basis of disease, ed 7, Philadelphia, 2007, Saunders.)
Inflammation of the mucosa associated with UC results in small erosions and subsequent ulcerations with eventual abscess formation and necrosis (Figs. 16-12 and 16-13). Destruction of the mucosa causes bleeding, cramping pain, bowel frequency, and large volumes of watery diarrhea owing to decreased absorption and decreased transit time of intestinal contents through the colon.

Figure 16-12 Spectrum of severity of ulcerative colitis. A, Colonoscopic findings in mild ulcerative colitis demonstrating edema, loss of vascularity, and patchy subepithelial hemorrhage. B, Colonoscopic findings in severe ulcerative colitis with loss of vascularity, hemorrhage, and mucopus. C, Histologic specimen showing a severe acute and chronic inflammatory process with multiple abscesses. (From Feldman M: Sleisenger and Fordtran’s gastrointestinal and liver disease, ed 8, Philadelphia, 2006, Saunders.)

Figure 16-13 Total colectomy specimen from an individual with ulcerative colitis. The colon shows diffuse mucosal inflammation that extends proximally from the rectum without interruption to the transverse colon. The mucosal pattern in the terminal ileum and cecum (arrow) is normal. The distal mucosa is erythematous and friable with many ulcers and erosions. (From Feldman M: Sleisenger and Fordtran’s gastrointestinal and liver disease, ed 8, Philadelphia, 2006, Saunders. Courtesy of Feldman’s GastroAtlas online, Current Medicine Group Ltd.)
Clinically, inflammatory bowel disorders are characterized by recurrent inflammatory involvement of intestinal segments with diverse clinical manifestations, often resulting in a chronic, unpredictable course. Clinical activity associated with IBD may be rated as mild to moderate, moderate to severe, or severe to fulminant. With early and adequate treatment, asymptomatic remission is possible.
The inflammatory phase of IBD begins with low-grade fever, malaise, weight loss, diarrhea, and abdominal cramping or pain. The inflammatory phase may be followed by the obstructive phase with persistent abdominal bloating and pain and distention from the movement of gas through the system. For comparison of specific signs and symptoms, see Table 16-6.
Arthritis and Inflammatory Intestinal Diseases.: The theory that an immune mechanism may be involved in the development of IBD is based in part on the presence of extraintestinal manifestations involving the hematologic, dermatologic, renal, ocular, hepatobiliary, and musculoskeletal systems.
TNF, an inflammatory cytokine produced by the cells of the immune system, may be implicated in the pathophysiology of CD and rheumatoid arthritis. It would appear that proinflammatory and immune-regulatory cytokines are up-regulated in the mucosa of individuals with IBD. This knowledge has opened up new avenues of treatment pursuing monoclonal antibodies directed against TNF.
Polyarthritis, migratory arthralgias, and redness of the skin (erythema nodosum) are the most common musculoskeletal/integument impairments. Joint involvement ranging from arthralgia only to acute arthritis is a common finding in IBD (in 25% of clients with IBD). Intestinal arthritis is usually peripheral, monoarticular, affecting the knee, ankle, or wrist, but it can affect any joint and more than one joint.
Spondylitis and sacroiliitis also can occur. Joints of the lower extremities are affected more often than those of the upper extremities, and asymmetric inflammation of the proximal interphalangeal joints of the toes is particularly suggestive of enteropathic arthritis.3,8
Acute arthritis associated with chronic IBD comes and goes, occurring during the course of the bowel disease or preceding repeat episodes of bowel symptoms by 1 to 2 weeks. The onset of arthritis occurs abruptly and reaches a peak within 48 to 72 hours, manifesting as pain, erythema, swelling, and limited range of motion.
Peripheral arthritis is usually self-limited, resolving within several months as the underlying disease is treated and without permanent sequelae or joint deformities. Spinal disease runs a course independent of the bowel disease and does not necessarily improve with medical treatment of the underlying IBD.
Pathologically, the synovitis is nonspecific without crystals or evidence of infection. Tests for specific forms of arthritis (e.g., rheumatoid factor and antinuclear antibody) usually give negative results; test results for HLA-B27 are positive (see explanation of HLA in Chapter 7; see also Table 40-20). Treatment of intestinal arthritis is toward control of the underlying intestinal inflammation.
Because no specifically distinctive characteristic features or specific diagnostic tests exist, the diagnosis of CD and UC remains one of exclusion based on medical history and clinical presentation.
Diagnostic and monitoring procedures may require a combination of radiographic modalities and other tests such as colonoscopy, barium enema x-ray, fecal occult blood test, and blood testing (e.g., low hemoglobin level may indicate intestinal blood loss). Microscopically, granulomas present in CD (but not present in UC) distinguish CD from UC.
Current treatment is directed toward symptomatic relief and control of the disease process on an individual basis. Treatment is directed to minimize toxicity, delay or decrease the likelihood of recurrence, and optimize quality of life. Some treatment measures may include diet and nutrition, symptomatic medications such as antidiarrheals or antispasmodics, or specific drug therapy (e.g., immune modifiers, antibiotics, corticosteroids, aminosalicylates to reduce intestinal or systemic inflammation).
NSAIDs help reduce pain and stiffness associated with enteropathic arthritis but may cause exacerbation of the IBD. Cyclooxygenase-2 (COX-2) inhibitors may be used instead.
People with CD often have relapses; current investigations are looking for better treatments to maintain remission. A broad range of cytokine-based (biologic) therapies directed at the mucosa and enteric flora have been approved by the Food and Drug Administration and are breaking ground in the management of enteropathic arthropathies (e.g., TNF antagonist adalimumab [Humira]) in addition to growth hormone, a new glucocorticoid (budesonide), methotrexate (MTX), and other agents.135,160
Experimental treatment with intestinal parasitic worms for IBD is under investigation. Helminthic parasites such as Trichuris suis have the ability to down-regulate host immunity, protecting themselves from elimination.103,119
Exposure to these parasites may keep the immune system in check and prevent it from attacking the intestine in susceptible individuals. Individuals with IBD who have tried this treatment method have been able to reduce the number of or discontinue the medications they were taking. All participants improved without adverse effects, and the parasites were eliminated from the body naturally after several weeks.48
Hospitalization may be required in the case of severe, unremitting disease with complications. Surgical resection of the colon, colostomy, or ileostomy may be performed for toxic megacolon or if medical intervention is unsuccessful and complications such as fistula or abscess occur, or for relief of obstruction.
Treatment refractoriness including physiologic resistance to treatment may have its origin in specific individual immunologic peculiarities; researchers are investigating immunologic, biochemical, and clinical parameters to identify a reliable marker predictive of treatment response.57
For individuals with CD, the Crohn’s Disease Activity Index (CDAI) calculator is a monitoring tool used to gauge the progress or lack of progress with treatment. It is not a prognostic indicator and does not predict the outcome of the disease. It is designed to help individuals compare their personal situation from one week to the next. It is available on-line at: http://www.ibdjohn.com/cdai/ (accessed May 26, 2007).
Chemoprevention and routine screening colonoscopy are advised for the prevention of colorectal cancer associated with longstanding IBD. Chemoprevention can include aspirin and other NSAIDs, 5-aminosalicylates, ursodeoxycholic acid, and folate supplementation.84
CD is an incurable, chronic, and sometimes debilitating disease with a known increased risk of intestinal cancer, especially in people who develop this condition at a young age (less than 30 years of age). The risk for colorectal cancer is increased with duration of disease, with a 2% incidence of cancer after 10 years, a 9% incidence after 20 years, and a 19% incidence after 30 years of disease. The development of cancer accounts for one third of deaths related to UC.84 Remission is possible for individuals who respond well to treatment; some people are able to discontinue the use of ongoing corticosteroids.
Surgical removal of the diseased bowel does not prevent bowel cancer in CD, so screening of stool specimens and periodic colonoscopic examination and biopsy are required for early detection. With proper medical and surgical treatment, the majority of people are able to cope with this disease and its complications. Few people die as a direct consequence of CD. The mortality rate (5% to 10%) increases with the duration of the disease.
Like CD, UC is a chronic, occasionally debilitating disease. However, it can be cured by colon resection, although this is not always the best course of action. The clinical course is variable but recurrent with long periods of remission possible.
Approximately 85% of clients with UC have mild to moderate intermittent disease managed without hospitalization. The remaining 15% demonstrate a full-blown course involving the entire colon, severe diarrhea, and systemic signs and symptoms.
A 20% mortality rate exists during the first 10 years of UC when complications occur. Also as in CD, 10 years of chronic attacks of UC can predispose the colon to metaplastic changes leading to colon cancer, but unlike in CD, in UC removal of the affected bowel can prevent bowel cancer.
Antibiotics can suppress normal GI tract flora, the bacteria usually residing within the lumen of the intestine, thus allowing yeasts and molds to flourish. Other kinds of microorganisms can replace normal GI tract flora suppressed by antibiotic therapy, such as Clostridium difficile, the major cause of colitis in people with antibioticassociated diarrhea. Although nearly all antibiotics have been associated with this syndrome, drugs such as clindamycin, ampicillin, and the cephalosporins commonly are implicated.
C. difficile is not invasive but replaces normal GI tract flora by producing toxins that damage the colonic mucosa. C. difficile toxins compromise the epithelial cell barrier by at least two pathophysiologic pathways involving complex interactions between immune and inflammatory cells.116
The overgrowth of C. difficile causes lesions described as raised, exudative, necrotic, and inflammatory plaques. These plaques attach to the mucosal surface of the small intestine or colon, or both, giving this condition the name pseudomembranous enterocolitis (PMC). When the lesions are restricted to the small intestine, the term pseudomembranous enteritis is applied.
Onset of symptoms (primarily voluminous, watery diarrhea, but also abdominal cramps and tenderness and fever) occurs during early administration or within 4 weeks after the drug has been discontinued. Complications of untreated illness include dehydration with accompanying electrolyte imbalance, perforation, toxic megacolon, and death.
Diagnosis is made by a stool test for C. difficile toxin or other laboratory tests. Discontinuation of the antibiotics is usually enough to relieve symptoms, but antimicrobial agents such as metronidazole or the more expensive vancomycin are prescribed to treat the C. difficile overgrowth.
Supportive measures may include administration of intravenous fluids to correct fluid losses, electrolyte imbalance, and hypoalbuminemia. Recurrence of symptoms is common when treatment is discontinued or in the case of vancomycin-resistant organisms, requiring retreatment, or in some cases, careful medical observation. In severe disease, mortality rates can be as high as 30%.
For further discussion of this topic, see Chapter 8.
Irritable bowel syndrome (IBS) is a group of symptoms that represent the most common disorder of the GI system. IBS has been referred to as nervous indigestion, functional dyspepsia, spastic colon, nervous colon, and irritable colon, but because of the absence of inflammation, it should not be confused with colitis, CD, or other inflammatory diseases of the intestinal tract.
IBS is a chronic condition and is not limited to the colon but can occur anywhere in the small and large intestines. It is one of the most common GI disorders diagnosed in the United States, affecting up to 20% of the population.34,125
Women are affected much more often than men, especially in early adulthood, with a second peak after age 50. However, IBS can occur in either gender at any age. Approximately 45 million Americans have been identified with this condition; it is likely that many more are affected but remain undiagnosed.
Extra-GI conditions associated with IBS are numerous, such as fibromyalgia, chronic fatigue syndrome, temporomandibular joint disorder, and chronic pelvic pain.67,157
IBS is considered a “functional” disorder because the symptoms cannot be attributed to any identifiable abnormality of the bowel (structural or biochemical). It has been suggested that IBS may involve three main abnormalities of gut function: altered GI motor activity, visceral hypersensitivity, and/or altered processing of information by the nervous system.20
IBS is characterized by abnormal intestinal contractions, presumably as a result of the digestive tract’s reaction to emotions, stress, and certain chemicals in particular foods. People with IBS have an exaggerated gastrocolic reflex, the signal the stomach sends to the colon to stimulate contractions after food arrives.
In some cases of IBS, pain and discomfort are not accompanied by changes in GI motility, suggesting an increased internal sensitivity, that is, enhanced sensation and perception of what is happening in the digestive tract referred to as “enhanced visceral nociception.”
In such cases it may be that the internal pain threshold is lowered for reasons that remain unclear. Individuals with IBS experience pain and bloating at much lower pressures than people without IBS. Serotonin, a neurotransmitter produced in the gut and located inside enteric nerve cells, may also play a role in the disorder. And an imbalance in the beneficial bacteria normally present in the gut may also be a predisposing factor.
It is well documented that individuals with IBS report a greater number of symptoms compatible with a history of psychopathologic disorders, abnormal personality traits, psychologic distress, and sexual abuse.82,154 Episodes of emotional or psychologic stress, fatigue, smoking, alcohol intake, or eating (especially a large meal with high fat content, roughage, or fruit) do not cause but rather trigger symptoms. Intolerance of lactose and other sugars may account for IBS in some people.
Scientists continue to explore the brain (nervous system)–gut connection to better understand IBS and other functional GI disorders. The enteric nervous system is composed of a vast network of neurons located throughout the GI tract. This neuronal network communicates directly with the brain through the spinal cord. There are as many neurons in the small intestine as in the spinal cord, and the same hormones and chemicals that transmit signals in the brain have been found in the gut, including serotonin, norepinephrine, nitric oxide, and acetylcholine.
The GI tract is very sensitive to changes in serotonin levels; it may be that IBS occurs as a result of abnormalities in serotonin levels responsible for digestive functions. Increased levels of serotonin in the gut result in diarrhea, while decreased levels may account for individuals who have IBS-associated constipation.
Studies investigating the effects of emotional words on the digestive tract substantiate the close interaction among mind, brain, and gut. Preliminary data demonstrate an increase in intestinal contractions and change in rectal tone during exposure to angry, sad, or anxious words. These changes in intestinal motor function may influence brain perception.13,14
Symptoms of IBS usually begin in young adulthood and persist intermittently throughout life with variable periods of remission. A generally accepted definition of IBS requires at least 3 months of abdominal pain that is relieved by a bowel movement and at least three of the following symptoms (present at least 25% of the time): abdominal bloating or distention, passage of mucus, changes in stool form (hard or loose and watery), alterations in stool frequency, or difficulty in passing a movement.
For some people, IBS symptoms are annoying but manageable. For others, IBS significantly affects quality of life and daily function. Diarrhea, constipation, or alternating diarrhea and constipation with abdominal cramps and pain is common. Rapid alterations in the speed of bowel movement create an obstruction to the natural flow of stool and gas. The resultant pressure buildup in the bowel produces the pain and spasm reported.
Pain may be steady or intermittent, and there may be a dull, deep discomfort with sharp cramps in the morning or after eating. The typical pain pattern consists of lower left quadrant abdominal pain accompanied by constipation and diarrhea. Upper abdominal pain that extends up under the ribs can occur when the sigmoid colon in the left lower abdomen contracts and gas rises into the transverse colon.
Other symptoms may include nausea and vomiting, anorexia, foul breath, sour stomach, and flatus. Symptoms of IBS tend to disappear at night when the affected individual is asleep. Nocturnal GI symptoms suggest a diagnosis other than IBS.91
Diagnosis is based on a classic history, as there is no definite objective blood test, x-ray, or other indicator of IBS. Symptom-based criteria have been developed for the diagnosis of IBS and require the presence of abdominal pain or discomfort for 12 or more weeks (they do not have to be consecutive) within the last 12 months, accompanied by at least two of these symptoms:
Other symptoms such as abnormal stool frequency (more than three times per day or less than three times per week); straining, urgency, or feeling of incomplete evacuation; passage of mucus; and a bloated feeling or abdominal distention are also taken into consideration when making the diagnosis.
Sigmoidoscopy often reveals marked spasm and mucus in the colonic lumen and frequently provokes a spontaneous exacerbation of symptoms. Laboratory studies include a complete blood count and stool examination to rule out lactose intolerance and the presence of occult blood, parasites, and pathogenic bacteria. GI tract films may show altered motility without other evidence of abnormalities. Other radiologic modalities may be employed to diagnose this condition.
Treatment is aimed at relieving abdominal discomfort, stabilizing bowel habits, and altering underlying causes of the syndrome. Lifestyle changes (especially dietary changes), medications, behavioral counseling, and psychotherapy have been advocated.
Dietary exclusion of milk and milk products may be helpful for those people with lactose intolerance. Increased dietary fiber, use of bulking agents such as psyllium preparations, and avoidance of alcohol, tobacco, gas-producing foods (e.g., cauliflower, cabbage, baked beans, broccoli), and GI stimulants such as caffeinecontaining beverages often are recommended.
Since people with IBS can have a slower intestinal transit time, resulting in constipation, maintaining regular bowel movements is an important part of the management of IBS. Once constipation occurs, getting rid of painful symptoms is difficult. The use of fiber supplements such as polycarbophil (FiberCon), psyllium seed (Metamucil), and increased intake of water and other fluids is advised.
A stress reduction program with a regular program of relaxation techniques and exercise in conjunction with psychotherapy and biofeedback training may be effective for some people. Behavioral therapy is focused on identifying and reducing or eliminating triggers and reducing negative self-talk. Hypnotherapy (hypnosis) can give some control over the muscle activity of the GI tract and the gut’s sensitivity to stress and other influences.159
Medications may include antianxiety or antidepressant drugs, and anticholinergic agents before meals to help control symptoms. Antidepressants may reduce visceral hypersensitivity at the level of the visceral afferent fibers. The fact that the enteric nervous system and the brain use the same chemicals and hormones may explain why low doses of antidepressants designed to affect the brain can improve certain digestive diseases.
Newer drugs used in IBS management include serotonin-modulating agents that inhibit the action of serotonin (5-hydroxytryptamine or 5-HT) in the gut. Serotonin, a neurotransmitter found in the gut (and in the brain), appears to be a common link involved in GI motility, intestinal secretion, and pain perception.
The GI tract contains approximately 90% to 95% of the body’s serotonin. Serotonin release in the bowel subsequent to bowel distention has been associated with changes in GI motility, secretion, and possibly pain transmission.38 Research continues to search for targeted medications that can be individualized to each person based on his or her particular manifestation of this condition.
Alternative therapy, including peppermint oil (capsule form) and other natural substances (e.g., chamomile, rosemary, valerian, ginger, turmeric), has antispasmodic effects and may relieve cramping. Probiotic treatment with Lactobacillus and Bifidobacterium may help to alter the microbial flora of the intestinal tract and ease the symptoms of IBS.
IBS is not a life-threatening disorder, and prognosis is good for controlling symptoms through diet, medication, regular physical activity, and stress management. No known relationship exists between IBS and malignancy of the bowel.
See also the section on Meckel’s diverticulum.
Diverticular disease is the term used to describe diverticulosis (uncomplicated disease) and diverticulitis (disease complicated by inflammation). Diverticulosis refers to the presence of outpouchings (diverticula) in the wall of the colon or small intestine, a condition in which the mucosa and submucosa herniate through the muscular layers of the colon to form outpouchings containing feces (Fig. 16-16).

Figure 16-16 Multiple diverticula in resected section of the colon. Weak spots in the muscle layers of the intestinal wall permit the mucosa to bulge outward (herniate) into the pelvic cavity. (From Rosai J: Ackerman’s surgical pathology, ed 7, St Louis, 1989, Mosby.)
When food particles or feces become trapped in the diverticula and the pockets become infected and inflamed, then diverticulitis can develop. This acquired deformity of the colon is rarely reversible and usually asymptomatic. The most common site is the sigmoid colon (95% of cases) because of the high pressures in this area required to move stool into the rectum, but any segment of the colon may be involved.
Diverticular disease is common and increasing in incidence in westernized countries because of low-fiber diets, and is present in approximately 10% of people in the United States. Incidence increases after age 60 and in obese individuals. The disease is present in as many as half of all adults over 65 years in the United States.
Causes of diverticular disease include atrophy or weakness of the bowel muscle, increased intraluminal pressure, obesity, and chronic constipation. Disturbances of the pelvic floor in women are particular risk factors for constipation leading to diverticular disease.
Some people are born with diverticula, probably resulting from an inherited defect in the muscular wall of the intestines, but the majority of people who have diverticulosis develop it with age, indicating that both heredity and lifestyle play a role. Use of NSAIDs and acetaminophen, the active ingredient in Tylenol, may be associated with diverticular disease. Further studies are under way to verify this potential link.4
The current hypothesis as to the primary cause (and major risk factor) of diverticular disease is a low-fiber diet, which decreases stool bulk and predisposes individuals to constipation. The subsequent increased intraluminal pressure pushes the mucosa through connective tissue, weakening bowel muscle.
In addition to a low-fiber diet as a major risk factor, ingestion of poorly chewed or poorly digested foods that can block the opening of the diverticulum and cause inflammation also may contribute to the development of diverticular disease. Such foods as corn and popcorn, and foods with tiny seeds (e.g., cucumbers, tomatoes, berries) once considered part of the problem are now actually part of the solution. Fruits and vegetables, including those with small seeds, are good sources of fiber and should not be avoided.144
Diverticula form at weak points in the colon wall, usually where arteries penetrate the muscularis to nourish the mucosal layer. Changes in the connective tissue of the gut wall contribute to the diminished resistance of the intestinal wall.
The circular and longitudinal muscles (taeniae coli) surrounding the diverticula become thickened and hypertrophy as a result of age-related changes in collagen and progressive deposition of elastin in longitudinal muscle. They function to propel luminal contents in an oral-to-anal direction and are not designed to pump out the contents of side pockets. If anything, when they contract, the colonic muscles may act as valves on the mouth of the diverticula, holding the contents in rather than evacuating them out.
Increased contraction of these muscles is required when hard, compact stools form in the absence of adequate fiber, but decreased neurons in the distal colon associated with aging result in disorders of neuromuscular function and impaired evacuation, compounding the problem. Increased intraluminal pressure then increases the herniation. Over a person’s lifetime, diverticula may increase in number and size but only rarely extend to other portions of the colon.
Diverticulitis occurs when undigested food blocks the diverticulum (blind outpouching), decreasing blood supply to the blood vessels penetrating the internal circular layer of bowel muscularis.
The inflamed area becomes congested with blood and may bleed. Diverticulitis can lead to perforation when the trapped mass in the diverticulum erodes the bowel wall. Chronic diverticulitis can result in increased scarring and narrowing of the bowel lumen, potentially leading to obstruction. Perforated diverticula provide an opening through which bacteria can enter, leaving the bowel at risk for a bacterial invasion into the diverticulum with subsequent inflammation and infection.
Diverticular disease is asymptomatic in 80% of people affected. More commonly, these individuals report passing fresh blood and clots and experience a sense of urgency to defecate.
When diverticula become inflamed, diverticulitis develops, and the person experiences episodic or constant, severe abdominal pain located in the left quadrant or midabdominal region, often with extension into the back. The mechanism of pain is probably increased tension in the colonic wall with an associated rise in intraluminal pressure.
Other symptoms may include pelvic pain in women, constipation alternating with diarrhea, increased flatus, fever, sudden onset of painless rectal bleeding, and anemia in the presence of chronic blood loss. Eating and increased intraabdominal pressure increase pain (see Box 16-1), whereas temporary partial or complete relief may follow a bowel movement or passage of flatus.
Barium enema studies show the characteristic diverticula; colonoscopy and sigmoidoscopy also may provide diagnostic information, and a CT scan may sometimes reveal the inflamed colon segment. No specific laboratory tests exist, but results of fecal examination for occult blood may be positive, and anemia may be identified. Stool cultures may be used to exclude bacterial or parasitic infections.
Insights on the pathophysiology and mechanisms of neural injury may lead to more specific treatment in the future (e.g., serotonergic agents and neurotrophins), but for now, treatment is directed at relieving symptoms and preventing diverticulitis. This is accomplished primarily through dietary changes with adherence to a high-fiber diet; prevention of constipation with adequate fluid intake, bran, and bulk laxatives; and exercise during periods of remission.
Acute diverticulitis may require antibiotics and complete rest of the colon accomplished by nasogastric tube feedings and parenteral fluid administration until the inflammatory process has been resolved. Bleeding is a rare complication of diverticulosis and usually is self-limited; but in approximately 10% of people with bleeding diverticula, the hemorrhage is severe enough to require hospitalization, blood transfusion, and possible surgical removal of the affected part of the colon and possible temporary colostomy.
Prognosis is good for the person with known diverticular disease, especially when prevention of diverticulitis is possible by consuming a high-fiber diet, chewing food carefully, and avoiding indigestible foods. If the diverticulum is not blocked and infected or inflamed (diverticulitis), the person may be asymptomatic. If the trapped fecal material (fecaliths) does not liquefy and drain from the diverticulum, diverticulitis develops.
A growth or mass protruding into the intestinal lumen from any area of mucous membrane can be termed a polyp. Polyps are either neoplastic or nonneoplastic. Adenomatous (benign neoplastic) polyps of the intestine usually develop during middle age, and more than two thirds of the population over 65 years old has at least one polyp. Until a polyp becomes large enough to obstruct the intestine, no symptoms are discernible. Early symptoms may be lower abdominal cramping pain, diarrhea with rectal bleeding, and passage of mucus.
Nonneoplastic polyps include adenomatous and hyperplastic and are usually asymptomatic, although inflammatory polyps may present with symptoms of the underlying IBD usually present (e.g., UC or CD). Treatment is not always required; polyps associated with rectal bleeding may be removed using a proctoscope.
Adenomatous polyps may be a risk factor for the development of adenocarcinomas (colorectal cancer); therefore, regardless of the clinical manifestations, adenomatous polyps are removed (by polypectomy, usually performed through a sigmoidoscope or colonoscope; large polyps may require removal by laparotomy). Hyperplastic polyps do not progress to become cancerous.
Contrary to previous beliefs, studies have now shown that high-fiber diets do not reduce the risk of recurrent colorectal adenomas in people who have had at least one precancerous polyp already removed. Evidence suggests that high-fiber diets can slow the development of adenomas.88,128,129
The most common benign tumors of the small intestine are adenomas, leiomyomas, and lipomas. Benign tumors of the small intestine rarely become malignant and may be symptomatic or may be incidental findings at operation or autopsy.
Adenomas account for 25% of all benign bowel tumors and are usually asymptomatic, although bleeding and intussusception (see the section on Mechanical Obstruction in this chapter) are occasional complications.
Leiomyomas are smooth muscle tumors that can occur at any location in the intestine but are most common in the jejunum. They usually are associated with bleeding when they protrude into the lumen, where necrosis of tumor tissue and ulceration of the mucosa occur. Obstruction is uncommon, but intussusception or volvulus (Figs. 16-17 and 16-18) may occur. Surgical removal of large leiomyomas is recommended because of the bleeding and the increased risk of malignancy with increasing size.

Figure 16-17 Intussusception. A portion of the bowel telescopes into adjacent (usually distal) bowel.
Lipomas are fatty tumors that occur throughout the length of the small intestine but occur most frequently in the distal ileum. When symptomatic, the presenting symptom is obstruction resulting from tumor size, causing intussusception. Other complications may include ulceration and bleeding of the overlying mucosa and subsequent sequelae.
The most common malignant tumors of the small intestine are metastatic through direct extension from adjacent organs (e.g., stomach, pancreas, colon). Adenocarcinoma and primary lymphoma account for the majority of bowel malignancies. Other types of colorectal cancer, including melanoma, fibrosarcoma, and other types of sarcoma, are rare and are not discussed further in this book.
Overview and Incidence.: Adenocarcinoma of the colon and rectum (colorectal cancer) is the second leading cause of cancer death (after lung cancer) among American men and women combined.73 It is the second leading cause of cancer death among men in the United States and third in women after lung and breast cancer, except after age 75 when colorectal cancer is responsible for more deaths than breast cancer.
Incidence increases with age starting at 40 years, and the disease occurs slightly more often in men and in populations of high socioeconomic status, possibly owing to dietary factors. African Americans have the highest incidence of colorectal cancer among all racial groups, with death rates about 30% higher than for Caucasians. This disparity is most likely due to differences between African Americans and whites in screening rates, early detection, and intervention.6,117,121
Colorectal tumors can be staged using the Dukes classification (Box 16-2) Overall incidence and mortality rates are on the decline, possibly indicating that advances in diagnosis and treatment are making an impact.
Etiologic and Risk Factors.: The cause of colon cancer is unknown, although a number of environmental and familial factors have been considered. Genetic syndromes are more likely to occur before age 40 and make up less than 6% of all colorectal cancers.
Known factors associated with increased risk of colonic cancer include increasing age, male gender, adenomatous polyps, UC, CD, cancer elsewhere in the body (especially reproductive or breast cancer in women), family history of colon cancer or familial adenomatous polyposis (FAP), sedentary lifestyle, and immunodeficiency disease.
Anyone who has first-degree relatives diagnosed with colon or rectal adenoma is twice as likely to develop colon cancer as those with no history of such cancer in the immediate family. The risk is even higher if the relative was under 50 years of age at the time of diagnosis.
Cigarette smoking may increase the risk of colorectal cancer, but data collected suggest a lag time of at least 35 years for tobacco-induced tumors to develop. Excessive alcohol consumption may possibly increase risk.86
Geographic distributions of highest incidence coincide with regional diets low in fiber and high in animal fat and protein; people who emigrate tend to acquire the risk characteristics of their new environment. Eating large amounts of red or processed meat over a long period of time can increase colorectal cancer risk, but the risk from obesity and lack of exercise (inactivity) is even greater.24
Calcium from dairy products or supplements may help reduce the risk of colon cancer, but scientists do not know what the mechanism of this action is yet. About 75% of all colorectal cancer occurs in people with no known predisposing factors; for such individuals, the lifetime risk of developing this type of cancer is about 5%.
Colon cancer incidence and mortality rates are lower in females compared with males, and numerous epidemiologic studies suggest that estrogen replacement therapy reduces cancer risk in postmenopausal women.21 It is not clear how estrogen acts to reduce fatal colon cancer risk. One theory is that it lowers the concentration of bile acids, perhaps creating an environment that is hostile to the growth of cancer cells in the colon; another is that estrogen acts directly on the lining of the colon to suppress tumor growth.
Pathogenesis.: Most colorectal cancers have a long preinvasive phase, growing slowly during invasion. More than 95% of colorectal cancers are adenocarcinomas that arise from glandular cells that line the mucosa of the colon and rectum (Fig. 16-19).

Figure 16-19 Adenomatous polyps (adenomas), growths on the inner surface of the colon and rectum. Most colorectal cancers probably arise from adenomatous polyps, which may be tubular, called pedunculated (the lesion is on a stalk), or sessile (without a stalk). Adenomatous polyps should be considered precursors of cancer and can be classified according to the depth of invasion. (From Haggitt RC, Glotzbach RE, Soffer EE: Prognostic factors in colorectal carcinomas arising in adenomas: implications for lesions removed by endoscopic polypectomy, Gastroenterology 89:328-336, 1985.)
This disease has a well-defined sequence of events. The stepwise progression of this cancer often occurs over many years and begins with a polyp, a collection of cells on the lining of the large intestine. At first, there is an aberrant proliferation or hyperplasia of cells, which leads to a particular type of polyp called benign adenoma, containing abnormal but not malignant cells. Then the cells transform to carcinoma in situ, and finally to metastatic carcinoma. This process is thought to be due to a series of genetic mutations within the cells.42 Some benign polyps may regress and disappear over time, but most continue to undergo changes that transform them into malignant tumors (Fig. 16-20).

Figure 16-20 Large pedunculated polyp in the rectum. The stalk (S) itself is benign, with the head (H) containing the adenomatous tissue. The polyp was removed safely in a one-step endoscopic procedure. (From Goldman L: Cecil textbook of medicine, ed 22, Philadelphia, 2004, Saunders. Courtesy of Pankaj Jay Pasricha.)
The accumulation of molecular genetic alterations involves activation of oncogenes, inactivation of tumor suppressor genes, and abnormalities in genes involved in DNA repair (see Chapter 9). Hormones stimulating the rate of cell turnover and excessive free radical formation and oxidation also may play a role in colon carcinogenesis.83
Untreated tumors can grow into the wall of the colon. The lymphatic channels are located underneath the muscularis mucosae so that the lesions must extend across this layer before metastasis can occur.
Clinical Manifestations.: Colon carcinoma has few early warning signs, as is the case with esophageal and stomach cancers. When symptoms do present, they present according to whether the lesion is in the ascending colon, descending colon, or transverse colon.
A persistent change in bowel habits is the single most consistent symptom for either side. Bright red blood from the rectum is a cardinal sign of colon cancer, but the latter must be differentiated from diverticulosis, which is also a common cause of bright red blood without pain.
Other symptoms may include persistent stomach pain, gas, diarrhea, or constipation. Many cases of colon cancer are asymptomatic until metastasis has occurred. Complications include intestinal obstruction, bleeding, perforation, anemia, ascites, and distant metastases, to the liver most commonly but also to the lungs, bone, and brain.
Evidence exists that reductions in colorectal cancer morbidity and mortality can be achieved through detection and treatment of early-stage cancer and the identification and removal of adenomatous polyps, the precursors of colorectal cancer. Lifestyle modifications such as consuming a low-fat diet and quitting smoking are advised for everyone but especially for anyone at increased risk for colorectal cancer.
Regular screening examinations (e.g., annual stool sample test to check for blood, sigmoidoscopy and digital rectal examination every 5 to 10 years) are recommended for adults over 50 years and for younger people with a family history of the disease. Unfortunately, less than half of U.S. adults 50 years old or older have been tested. Current guidelines for screening colonoscopy do not specify an age limit. Questions have been raised about the cost effectiveness and gains in life expectancy for screening people 80 years of age and older.90
The American Cancer Society recommends more intensive surveillance for individuals at higher risk for colorectal cancer. These individuals include anyone with a history of adenomatous polyps, personal previous history of curative-intent resection of colorectal cancer, family history (first-degree relative) of colorectal cancer before age 60, personal history of IBD of significant duration, and family history or genetic testing indicating hereditary syndromes such as nonpolyposis colorectal cancer or FAP.139
Colonoscopy is the primary screening test, which involves inserting a snakelike scope into the rectum and large bowel to detect tiny polyps before they develop into cancer. The invasive nature of this test prevents participation in the colorectal cancer screening process so that investigators are working to develop alternative screening tests.
Advances in CT technology and computer capabilities have contributed to the development of a new imaging modality for colorectal lesions called CT colonography or virtual colonoscopy. This is a rapid, minimally invasive, and painless procedure in which a tiny probe is inserted just 4 cm into the rectum. This screening technique may not be sensitive enough and does not identify flat lesions at all, requiring continued development of the technology before it can be applied as a standard procedure.124,141
Alternatively, technology has made it possible to use a tiny camera that can be swallowed for a virtual endoscopy that is less invasive but may not be as complete, since the camera’s field of view is only 140 degrees, leaving some portions of the GI tract in blind spots. Food and other debris also can obscure lesions from view. In rare cases, the vitamin-sized capsule may get obstructed by strictures or other problems within the intestines, requiring surgical removal.
Other preventive strategies include the following31,86,138:
• Increase intensity and duration of physical activity and exercise
• Limit intake of red and processed meat
• Take recommended levels of calcium with vitamin D
• Eat more fruits and vegetables
• Avoid excess alcohol consumption (no more than 1 drink per day in women or 2 drinks per day in men)
Cancer chemoprevention (pharmacologic, nutritional supplemental interventions applied before cancer occurrence) is the next step in attempting to inhibit or reverse the tumorigenic process in colorectal cancer, especially the heritable syndromes.65,126 Nutrients that play a potential role in decreasing the risk of colorectal cancer include antioxidants such as vitamins A, C, and E, which block the formation of oxygen free radicals that damage DNA and trigger malignant transformation of cells. Calcium intake may reduce the colon’s mucosal exposure to carcinogens by binding with bile salts and fatty acids.
Antioxidant supplementation reduces the risk of colonic polyps, a risk factor for colorectal cancer. Folate needed for DNA and ribonucleic acid (RNA) synthesis has been shown to reduce the risk of colon polyps and colon cancer. Understanding the neoplastic events at the molecular level may provide more definitive preventative information in the coming decade.
Individuals at increased risk for colorectal cancer should talk with their physicians about the preventive use of aspirin and NSAIDs, which has shown some promise in preventing colorectal cancer. The mechanism by which these drugs reduce the risk of colorectal cancer is the ability to block angiogenesis in tumors and enhance the effects of chemotherapy and radiation. Another possible mechanism of this benefit is decreased prostaglandin production, achieved through inhibition of COX activity.92,150
Carcinoma of the colon should be suspected in anyone over the age of 40 who presents with occult blood in the stool, iron deficiency anemia, overt rectal bleeding, or alteration in bowel habits, especially if associated with abdominal discomfort or any of the risk factors mentioned earlier. Physical examination of the abdomen to detect liver enlargement and ascites is followed by palpation of appropriate lymph nodes.
Diagnostic procedures include rectal examination, sigmoidoscopy, proctoscopy, colonoscopy with biopsy of lesions, CT scan, and barium enema studies. Virtual colonoscopy (also known as CT colonography), a series of CT images of the intestine, has advanced enough to become sensitive and accurate enough for use with many but not all people.114
Laboratory diagnostic tests may include a screening test for occult fecal blood and a blood test for carcinoembryonic antigen (CEA), detected in some individuals with colorectal carcinoma. CEA is one of the most widely used tumor markers worldwide, primarily in GI cancers, especially colorectal malignancy. It is of little use in detecting early colorectal cancer, but high preoperative concentrations of CEA correlate with adverse prognosis, and serial CEA measurements can detect recurrent cancer in asymptomatic clients.45
The tumor-node-metastasis (TNM) staging system of the American Joint Committee on Cancer (AJCC) is the standard for colorectal cancer. The TNM system incorporates both clinical and pathologic staging approaches and can be applied to the preoperative evaluation of affected individuals.33
Surgical removal of the tumor is the mainstay of colorectal cancer treatment. Adjuvant chemotherapy may be administered, depending on the results of the staging process, to treat metastatic disease; radiation therapy is helpful for rectal carcinoma. A temporary or permanent colostomy is needed after surgery by some people.
Using the AJCC/TNM staging, stage 0 disease requires local or regional excision of the polyp with wide margins. Stage 1 cancer is treated the same way, but the individual may need bowel resection and reanastomosis. Adjuvant therapy has not been proven effective in improving survival rates compared with surgical excision alone.
Stage 3 disease requires surgical excision and removal and biopsy of regional lymph nodes. Regional metastasis has occurred at this stage, requiring additional regimens of chemotherapy and/or radiation therapy. Stage 4 cancer is accompanied by systemically metastasized disease requiring a more comprehensive treatment regimen to address local, regional, and systemic disease.58
Radiation therapy may be given before surgery to reduce the tumor size or alter the malignant cells to prevent tumor survival after surgery. Tumors in the distal rectum may require resection of the entire rectum with subsequent permanent colostomy. Given the link between adenomatous polyps and cancer, emphasis is on prevention through screening for colonic polyps and carcinomas.
The use of monoclonal antibodies (MABs such as cetuximab [Erbitux], bevacizumab [Avastin], panitumumab [Vectibix]) for the treatment of colorectal cancer is under investigation. These MABs bind to vascular endothelial growth factor receptors and prevent the formation of new blood vessels (angiogenesis) supplying a tumor, thus effectively starving tumor cells. MABs may enhance the effects of chemotherapy and enhance radiation-induced apoptosis. Studies are underway to determine the benefits and optimal timing for use in metastatic and nonmetastatic colorectal cancer.55,87,96 Use of bevacizumab for early-stage colon cancer in phase III clinical trials was stopped in February 2006 after the deaths of four people.
Colorectal cancer survival is related closely to the clinical and pathologic stage of the disease at diagnosis. Colorectal cancer detected at an asymptomatic phase has a more favorable prognosis compared to later detection. Polyps containing invasive carcinoma represent about 5% of all adenomas. Malignant polyps constitute a form of early carcinoma that can be cured by endoscopic removal. The risk of an unfavorable outcome increases with the presence of lymph node or local metastases or local recurrence.33
Approximately 65% of cases present with advanced disease. The 5-year survival rate for cancer limited to the bowel wall at the time of diagnosis approaches 90% but drops to 35% to 60% when lymph nodes are involved and less than 10% with metastatic disease to distant organs such as the liver.
Local recurrence can occur if special operative precautions to prevent implantation of malignant cells are not followed. CEA is a marker for recurrent tumor and should be monitored every 6 months to improve survival. Routine follow-up colonoscopy also is recommended.
Primary Intestinal Lymphoma.: Primary intestinal lymphoma originates in nodules of lymphoid tissue within the bowel wall and accounts for 15% of small bowel cancers in the United States and two thirds of such cancers in undeveloped countries.
Primary lymphoma is the most common form of presentation for GI lymphomas, and the stomach is one of the most frequent sites of extranodal lymphoma. The cause of primary lymphoma is unknown, although chronic H. pylori infection is associated strongly with the development of primary intestinal lymphoma of the MALT type.104
An apparent causal relationship exists between lymphoma and chronic inflammatory intestinal conditions such as celiac disease, possibly because of the persistent activation of lymphocytes in the bowel. The risk of intestinal lymphoma is also increased in conditions of immunodeficiency after treatment with immunosuppressive drugs. The mechanisms by which malignant transformation occurs remain under investigation.
Signs and symptoms may include chronic abdominal pain, diarrhea, clubbing of the fingers, weight loss, and occult bleeding. Intestinal obstruction, intussusception, and perforation with massive hemorrhage and peritonitis are possible complications.
Clinical diagnosis is by radiographic studies of the small intestine, CT or magnetic resonance imaging (MRI) scans, and endoscopic ultrasonography.
Combined-modality therapy with chemotherapy followed by radiation therapy is still used in many centers for large cell lymphoma, and radiation therapy alone is used for later stages of MALT lymphoma. But chemotherapy alone may be sufficient to treat early-stage (1 and 2) high-grade MALT.10
With these improved treatment modalities, primary lymphoma has become a highly curable disease. Surgical resection for small, local involvement is possible, but the role of surgery has come into question with increasing knowledge of intestinal lymphoma pathogenesis and with the new therapeutic approaches described.
The overall prognosis is much less favorable when extraintestinal spread occurs (5-year survival rate is less than 10%). When the disease is localized and confined to the small intestine, it does not recur after surgical removal in more than half the cases, but the disease is usually too diffuse to permit surgery.
Anything that reduces the size of the gastric outlet, preventing the normal flow of chyme and delaying gastric emptying, can cause an obstruction of the bowel. Delayed gastric emptying may be secondary to obstruction of the stomach or secondary to an inability to generate effective propulsive forces (peristalsis). Obstruction of the intestines can occur as a result of (1) organic disease, (2) mechanical obstruction, or (3) functional obstruction (Table 16-7).
Table 16-7
Causes of Intestinal Obstruction

Many of the organic and functional classes do not cause obstruction as much as they cause ileus with reduced or absent peristalsis. The presentation is the same but the cause and treatment are different.
Clinical Manifestations.: Distention develops accompanied by colicky, cramping pain and tenderness in the periumbilical area progressively becoming constant. Vomiting occurs as a reflex associated with the waves of pain. Constipation develops into obstipation (intractable constipation) as fecal obstruction builds up in the distal bowel.
Propulsion of gas through the intestines causes a rumbling noise called borborygmus, and the person is aware of intestinal movement. Constitutional symptoms such as low-grade fever, perspiration, tachycardia, and dehydration may accompany this condition. The affected individual is restless, changing position frequently because of the constant pain.
Signs of dehydration, hypovolemia, and metabolic acidosis may be seen within 24 hours of complete obstruction. Impaired blood supply to the bowel results in necrosis and strangulation. Strangulation is characterized by fever, leukocytosis, peritoneal signs, or blood in the feces. Further complications may develop, such as perforation, peritonitis, and sepsis. In debilitated persons, distention of the abdomen can be severe enough to compress the diaphragm, decreasing lung compliance and resulting in atelectasis and pneumonia.
Pathogenesis.: Gases and fluids accumulate proximal to the obstruction, causing abdominal distention. The body’s response to distention is temporarily increased peristalsis as the bowel attempts to force the material through the obstructed area. The distention also decreases the intestine’s ability to absorb water and electrolytes, which are further imbalanced by vomiting.
If the obstruction is at the pylorus or high in the small intestine, metabolic alkalosis develops as a result of vomiting and excessive loss of hydrogen ions. With prolonged obstruction or obstruction lower in the intestine, metabolic acidosis is more likely to occur, because bicarbonate from pancreatic secretions and bile cannot be reabsorbed.
DIAGNOSIS, TREATMENT, AND PROGNOSIS.
Diagnosis requires differentiation of obstruction from other acute abdominal conditions such as inflammation and perforation of a viscus, renal or gallbladder colic, obstruction from other causes, vascular disease, and torsion of an organ, as occurs with an ovarian cyst. Abdominal radiography is the most useful diagnostic tool, and laboratory findings may reveal electrolyte disturbances associated with vomiting and dehydration.
Supportive care to alleviate pain and symptoms and to facilitate passage of flatus and feces is instituted toward the goals of restoration of bowel function and prevention of surgical intervention. Intestinal intubation (insertion of a tube into the intestinal lumen to decompress the lumen and break up the obstruction) may relieve obstruction without surgery. Complete obstruction of the intestine is surgically resected; immediate surgery is required in the case of intestinal strangulation. Prognosis varies with the underlying cause; strangulation increases the mortality rate to 25%.
Postsurgical adhesions are by far the most common cause of mechanical small bowel obstruction, followed by strangulated hernia, malignancy, CD, and, more rarely, volvulus. In small bowel obstruction, the intestine dilates above the blockage due to an accumulation of GI secretions and swallowed air. Vomiting is often the first symptom of proximal small bowel obstruction.
Small bowel distention can lead to lymphatic compression and bowel wall lymphedema. The increasing intraluminal pressure can result in reduced venous and arterial blood flow and severe fluid loss, dehydration, electrolyte imbalance, hypovolemic shock, and even death.
Adhesion.: Adhesions are the most common cause of small and large intestine obstruction caused by fibrous scars formed after abdominal surgery. These fibrous bands of scar tissue can loop over the bowel, either mechanically obstructing the bowel by constricting it or becoming an axis around which the bowel can twist (volvulus). Peritonitis may cause obstruction by kinking or angulating the bowel or by directly compressing the lumen.
Intussusception.: Intussusception is a telescoping of the bowel on itself; that is, one part of the intestine prolapses into the lumen of an immediately adjacent section (see Fig. 16-17). A reported link between the rotavirus vaccine and intussusception in infants and young children is under investigation.106
In adults the leading point of an intussusception is often a lesion in the bowel wall, such as Meckel’s diverticulum or a tumor. Once the leading point is entrapped, peristalsis drives it forward, dragging the mesentery into the enveloping lumen. As the two walls of the intestine press against each other, inflammation, edema, and decreased venous return and venous stasis occur. Untreated, necrosis and gangrene develop.
Clinical manifestations in adults are as listed for obstruction; complications in children include prolonged ischemia and subsequent necrosis with eventual perforation, peritonitis, and sepsis. Usually, diagnostic testing includes rectal examination, abdominal radiography, and barium enema. The barium enema may be part of the diagnosis and treatment, as the force of the flowing barium is usually enough to push the invaginated bowel into its normal position. If the hydrostatic reduction is unsuccessful (in 30% to 40% of cases), surgical reduction of the intussusception and resection of any nonviable intestine are performed. The prognosis for children and adults with this condition is good if treated.
Volvulus.: Volvulus is a torsion of a loop of intestine twisted on its mesentery, kinking the bowel and interrupting the blood supply (see Fig. 16-18). The cause of this phenomenon is usually a congenital abnormality such as a malrotation of the bowel that allows excess mobility of the bowel loops and predisposes the intestine to volvulus. Other focal points serving as a stationary object about which the bowel twists are tumors or Meckel’s diverticulum.
Treatment to decompress the bowel by inserting a long tube to release the pressure against the proximal end of the loop is tried first. If successful, the bowel volvulus relaxes. If unsuccessful, surgical intervention is sometimes required.
Definition and Incidence.: A hernia is a protrusion of part of an organ or tissue in the groin, abdomen, and navel (often the intestine) through a weakness in the connective tissue structure normally containing it. About 5 million Americans of all ages have some type of abdominal hernia. Hernias can occur at any age in men or women, and most frequently occur in the abdominal cavity as a result of a congenital or acquired weakness of abdominal musculature.
Sports hernia or athletic hernia is a term used to describe weakness of the posterior wall of the inguinal canal (transversalis fascia) resulting in chronic activity-related groin pain but without a clinically detectable hernia. Athletes who participate in sports requiring twisting and turning at high speeds (e.g., soccer, rugby, ice hockey, tennis) are at greatest risk. Insidious onset of unilateral groin pain is the most common symptom of this type of hernia.78,80
Weakness can occur as part of the aging process, contributing to acquired hernias. As people age, muscular tissues become infiltrated by adipose and connective tissues, resulting in weakness. The most common types of hernias are inguinal (direct and indirect), femoral, umbilical, and incisional or ventral (Fig. 16-21). Hiatal hernia is discussed earlier in this chapter.
Etiologic and Risk Factors.: When muscular weakness (congenital or acquired) is accompanied by obesity, pregnancy, heavy lifting, coughing, surgical incision, or traumatic injuries from blunt pressure, the risk of developing a hernia increases. Often, herniation is the result of a multifactorial process involving one or more of these factors.
For example, herniation can occur when increased abdominal pressure in a postoperative or posttraumatic injury is aggravated by nutritional or metabolic factors that result in poor wound healing and defective or poor collagen synthesis. Many other possible combinations of risk factors exist (Table 16-8).
Structural abnormalities account for most congenital hernias, but congenital factors do not explain the increased incidence of hernias (e.g., the direct inguinal type) in advancing age groups. Sudden stress, as occurs in abdominal trauma or industrial accidents, also may contribute to the development of a hernia with or without an underlying congenital defect.
Predisposing factors are equally important, such as situational stress (e.g., repetitive local trauma, strenuous physical activities), degenerative changes associated with increased abdominal pressure, the wear and tear of living, multiparity (women), and altered collagen synthesis in middle age.
Pathogenesis.: Structural and biochemical abnormalities and abnormalities of local collagen metabolism have been proposed as factors in the eventual appearance of a hernia. Other biologic factors can affect the balance between collagen synthesis and lysis, eventually leading to the development of herniation. For example, any condition such as renal failure, diabetes mellitus, malnutrition, vitamin or mineral deficiencies, underlying systemic disease, altered immunity, or resistance to infection that can impair a person’s ability to generate the proteinaceous constituents of collagen can alter collagen metabolism.
Inguinal hernias account for about 75% of all hernias and affect about 2% of men in the United States. Women can have inguinal hernias too. They occur in the groin when a sac formed from the peritoneum and containing a portion of the intestine pushes either directly outward through the weakest point in the abdominal wall (direct hernia) or downward through the internal inguinal ring into the inguinal canal through which the testes descend into the scrotum during infancy (males) or to the labia (females) (indirect hernia).
Sports hernias occur because adductor contraction during sporting activities creates a shearing force across the pubic symphysis that can stress the posterior inguinal wall. Consequent repetitive stretching of (or a more intense force to) the transversalis fascia and the internal oblique can lead to their separation from the inguinal ligament. This mechanism may also explain the osteitis pubis and adductor tenoperiostitis that often accompany sports hernias.78 The most common operative finding with a sports hernia is a deficient posterior wall of the inguinal canal, although other abdominal wall abnormalities are frequently found.148
Direct hernias occur most often as a result of a deficient number of transversus abdominis aponeurotic fibers at a site called Hesselbach’s triangle, the area between the pubic ramus and the musculofascial components in the lower abdominal wall. The direct inguinal hernia is more common in older adults, especially in an area that is congenitally weak because of a deficient number of muscle fibers. The indirect inguinal hernia is most common in infants, young people, and males, in the last because it follows the tract that develops when the testes descend into the scrotum before birth. A wide space at the inguinal ligament also can contribute to the development of an inguinal hernia.
Femoral hernia is a protrusion of a loop of intestine into the femoral canal, a tubular passageway into the thigh that carries nerves and blood vessels. The pathologic anatomy present is an enlarged femoral ring with a correspondingly narrowed transversus abdominis aponeurosis. This type occurs more often in multiparous women, acquired as a result of increased intraabdominal pressure gradually forcing more and more preperitoneal fat into the femoral canal, enlarging the femoral ring.
The pathology of umbilical hernias is caused by increased abdominal pressure (see discussion of risk factors) exerted against a thinning of the umbilical ring and fascia. Incisional hernia occurs postoperatively (see discussion of risk factors) when the transected fibers are unable to form collagen links strong enough to hold the edges of the wound together.
Clinical Manifestations.: The most common manifestation of a hernia of any type is an intermittent or persistent bulge, accompanied by intermittent or persistent pain. Inguinal hernia usually begins as a small, marble-sized soft lump under the skin. At first it is painless and can be reduced by pushing it back in place. As pressure from the abdominal contents pushes against the weak abdominal wall, the size of the lump formed by the hernia increases, requiring surgical repair (herniorrhaphy).
The pain associated with simple hernias depends on the involved structures and whether these are compressed or irritated. The pain usually is localized and sharp, aggravated by changes in position, by physical exertion, during a bowel movement, or by any activity causing the Valsalva maneuver (bearing down with increased intraabdominal pressure such as during coughing or sneezing), and relieved by cessation of the physical activity that precipitated it.
Inguinal hernias are often more noticeable after a heavy meal or long period of standing. Sports hernias are aggravated by sudden movements, acceleration, twisting and turning, cutting, kicking, resisted sit-ups, or any activities that stretch or stress the abdominal muscles.
Pain may radiate from the groin to the testicles (males), ipsilateral thigh, flank, or hypogastrium (lowest middle abdominal region). In the female, painful symptoms may be aggravated by the onset of menstruation. Sports hernia in females is often characterized by tenderness at the site of the superficial inguinal ring.78
The ilioinguinal nerve penetrates the abdominal wall cranially and somewhat laterally to the deep inguinal ring, passing the transverse and internal oblique muscles stepwise. Neuralgic pain may occur when the dull inguinal hernial pain causes a local reflex increase of tone in the internal oblique and transverse muscles of the abdomen. As the nerve passes these muscles in steps, it may be exposed to pressure, giving rise to pain of the neuralgic type.
Ilioinguinal or femoral neuritis caused by nerve entrapment from sutures, adhesions, or the actual formation of a symptomatic neuroma after section of a nerve in this region can occur. These conditions usually resolve spontaneously without specific treatment, but therapy in conjunction with local nerve blocks may be indicated if symptoms persist after the first postoperative month.
Genitofemoral neuralgia (causalgia) occurs less commonly but results in severe pain and paresthesia (or hyperesthesia) in the distribution of the genitofemoral nerve. Radiation of pain to the genitalia and upper thigh may occur, and pain is aggravated by walking, stooping, or hyperextending the hip. Recumbency and flexion of the thigh may relieve painful symptoms. This condition requires neurectomy for pain relief.
When the contents of the hernial sac can be replaced into the abdominal cavity by manipulation, the hernia is said to be reducible. Hernias that cannot be reduced or replaced by manipulation are referred to as irreducible and incarcerated.
Complications occur when the protruding organ is constricted to the extent that circulation is impaired (strangulated hernia) or when the protruding organs encroach on and impair the function of other structures. When a hernia contains incarcerated or strangulated structures, the pain becomes persistent and often is associated with systemic signs or symptoms such as elevated temperature, tachycardia, vomiting, and abdominal distention.
History and physical examination remain the most important aspects of diagnosis for all types of hernia; there may be a past history of hernia. The diagnosis of umbilical hernia is usually obvious because of protrusion of the umbilicus confirmed by palpation of the involved structures.
Radiographic investigations are important in diagnosing sports hernias, especially to identify osteitis pubis, adductor tenoperiosteal lesions, and symphyseal instability, and to rule out hip osteoarthritis and tumors. A bone scan may be needed to visualize active osteitis pubis, stress fractures, and tenoperiosteal lesions.78
MRI may be used to diagnose bone marrow edema about the pubic symphysis (a sign of osteitis pubis), stress fractures, avascular necrosis, labral hip tears, and articular cartilage defects that can accompany a sports hernia.148
Various supports and trusses are available to contain hernias, but these offer only a temporary solution and may not prevent the hernia from getting bigger with associated complications. The use of strapping techniques is not recommended, because the tape used may lead to ulceration of the thin skin covering the hernia and eventual rupture.
Watchful waiting is an acceptable treatment approach for minimally symptomatic inguinal hernias. Delaying surgical repair until symptoms increase is considered safe because acute hernia incarcerations rarely occur.
Surgical repair is the only curative treatment, but it is no longer recommended as preventive repair in all cases. Complications of herniorrhaphy such as cutaneous nerve injury, bleeding, wound infection, chronic pain, and recurrence have led to a rethinking of surgical correction for asymptomatic hernias. Further studies are needed to identify the natural history of inguinal hernias and to identify the best treatment plan.54,146
When surgical repair is indicated, there are two main methods used: the traditional approach, known as tension repair, and a newer method, the mesh repair. The tension repair uses an open incision to realign the soft tissues and stitch them closed. A mesh patch is stitched over the hernia to strengthen the repair. There is major discomfort postoperatively, and recovery (return to normal function) takes approximately 6 to 8 weeks for the average person.
The mesh repair uses a plastic mesh hernia repair patch that can be inserted laparoscopically. One side of the patch is positioned to lie against the inner abdominal wall and is held in place by pressure from the abdomen. The other (smaller) side patches the outer abdominal wall. Using this three-dimensional patch system distributes the pressure over a larger area, making the repair stronger. The patch also provides a matrix for tissue ingrowth. Recovery is much faster; many individuals are back to normal activity within 10 days.
Prognosis varies with the type of hernia and accompanying complications. The incidence of incarceration is about 10% in indirect inguinal hernia and 20% in femoral hernia. Umbilical hernia in adults has a high morbidity and mortality associated with incarceration. Open and laparoscopic repairs produce excellent results; the laparoscopic procedure allows earlier return to play for athletes.
Adynamic or Paralytic Ileus.: Adynamic or paralytic ileus is a neurogenic or muscular impairment of peristalsis that can cause functional intestinal obstruction. The term functional obstruction is somewhat of a misnomer in that the intestine is not blocked or plugged so much as peristalsis stops and movement of intestinal contents stops or is slowed down considerably. This condition has a variety of causes (see Table 16-7), most commonly occurring after abdominal surgery when the bowel ceases to function for a limited period of time (several hours to several days). Paralytic ileus is a common sequela of spinal cord injury. Neurogenic impairment also may occur after abdominal procedures in which the surgeon handles the bowel extensively or after surgery involving the retroperitoneal area (e.g., anterior spinal fusion with cages).
Clinical manifestations include mild to moderate abdominal pain that tends to be continuous rather than colicky, as with mechanical obstruction. Borborygmus and bowel sounds are absent. Abdominal distention is often the first sign of ileus. Dehydration with prolonged vomiting along with massive generalized abdominal distention may occur. The diagnosis is suspected in the presence of a precipitating condition and signs and symptoms of obstruction in the absence of bowel sounds. Diagnosis is confirmed by radiography of the abdomen and barium enema to rule out organic obstruction.
Most cases of adynamic ileus respond to restricted oral intake with gradual reintroduction of foods as bowel function returns. Severe and prolonged ileus may require complete elimination of food and fluids and aspiration of gastric secretions by suctioning until the bowel begins to function again. In such cases, parenteral nutrition is utilized to reintroduce fluids and electrolytes. Prognosis depends on the underlying cause of adynamic ileus. Removal of the cause may result in resolution of the ileus. Intubation with a rectal tube or colonoscope to decompress a dilated colon may be successful in returning bowel function but is not a commonly performed procedure.
Ogilvie’s Syndrome.: In a small number of individuals with trauma to the hip and pelvis or after elective hip or pelvic surgery (e.g., total hip replacement), acute colonic pseudo-obstruction can occur in the early postoperative period. The condition may be referred to as Ogilvie’s syndrome or adynamic ileus of the colon.
It is characterized by colonic dilatation and functional obstruction but with no obvious mechanical cause. In contrast to the involvement of the large and small bowel seen with adynamic ileus, acute colonic pseudo-obstruction affects the colon but not the small bowel. Signs and symptoms include abdominal distention and discomfort, loss of appetite, nausea and vomiting, diarrhea, and excessive flatus (passing gas).15
The exact etiology of Ogilvie’s syndrome is unknown; it is suspected that altered autonomic activity occurs as a result of trauma or surgical intervention in people who are at risk. Dysfunction of the sacral parasympathetic nerves S2 to S4 supplying the left colon and rectum results in atonic or spastic large bowel leading to a functional obstruction.15
Previous publications hypothesized that acetabular trauma (reaming and acetabular preparation) could lead to retroperitoneal swelling (edema and hematoma) disturbing and inhibiting the pelvic splanchnic nerves, resulting in sympathetic overflow leading to dilation and atony of the distal large bowel.15 Heat generation from bone cement also could lead to an imbalance of the autonomic nervous supply of the colon, resulting in this syndrome.109
Risk factors for this condition include male gender, increasing age, immobility, and patient-controlled analgesia. Older adults have overall poorer health, use more medications that decrease gut motility, and have more episodes of previous GI surgery, all of which increase the risk for developing this condition.
Prompt recognition and early consultation are needed to avoid perforation of the colon and significant morbidity and mortality.49,109 The therapist can expect a slower rehabilitation to preoperative functional levels due to the medical complications associated with this disorder.30
Intestinal atresia and stenosis, although rare, are the most frequent causes of neonatal intestinal obstruction. Either condition is diagnosed on the basis of persistent vomiting of bile-containing fluid during the first 24 hours after birth. Surgical correction is usually successful, but coexistent anomalies often are seen and complicate treatment.
Stenosis and Atresia.: Stenosis is a narrowing of a canal, in this case the small intestine. Intestinal atresia refers to defects caused by the incomplete formation of a lumen, in this case the tubular portion of the intestine. Many hollow organs originate as strands and cords of cells, the centers of which are programmed to die, thus forming a central cavity or lumen.
Most cases of intestinal atresia are characterized by complete occlusion of the lumen, which was not fully established in embryogenesis. Meconium ileus (accumulation of meconium in the small intestine causing neonatal intestinal obstruction) accounts for 25% of all cases, and cystic fibrosis accounts for another 10%. Intestinal atresia may have several forms: multiple intestinal occlusions giving the appearance of a string of sausages, disconnected blind ends, blind proximal and distal sacs joined by a cord, or a thin transluminal diaphragm across the opening. All forms require surgical intervention with good prognosis for recovery.
Meckel’s Diverticulum.: Meckel’s diverticulum is an outpouching of the bowel located at the ileum of the small intestine, near the ileocecal valve. It occurs because of failure of destruction of the vitelline duct, an embryonic communication between the midgut and the yolk sac. Meckel’s diverticulum is the most common congenital malformation of the GI tract, present in 2% of the population. Males are affected more often than females in a 2: 1 ratio, with accompanying complications in the same ratio.
Meckel’s diverticulum may be asymptomatic or produce symptoms that include abdominal pain similar to that in other conditions such as appendicitis, CD, and peptic ulcer disease. Common complications associated with Meckel’s diverticulum include bleeding or hemorrhage from peptic ulceration of the ileum adjacent to the ectopic gastric mucosa, intestinal obstruction, diverticulitis that mimics appendicitis, and perforation caused by peptic ulceration in the diverticulum or in the ileum.
Diagnosis is made usually during the first 2 years, but the condition may go undetected into adulthood when it is discovered on autopsy or during laparotomy for an unrelated condition. The diagnosis is made usually based on history, physical examination, and radionuclide scan. Prognosis is good with surgical resection to remove the diverticulum. Severe hemorrhage must be treated before surgery to correct hypovolemic shock through the administration of blood transfusion, intravenous fluids, and oxygen.
Appendicitis is an inflammation of the vermiform appendix that often results in necrosis and perforation with subsequent localized or generalized peritonitis. On the basis of operative findings and histologic appearance, acute appendicitis is classified as simple, gangrenous, or perforated.
It is the most common disease of the appendix, occurring at any age, with the peak incidence among men in their second and third decades. The lifetime risk of acute appendicitis in the United States is about 9% for males and 7% for females.70 The overall incidence is declining for unknown reasons, possibly as a result of increased dietary fiber intake in recent years or improved hygiene and fewer intestinal infections associated with indoor plumbing.
Approximately half of all cases of acute appendicitis have no known cause. At least one third are caused by obstruction that prevents normal drainage. Obstruction may occur as a result of tumor, foreign body such as fecal material (fecalith) lodged in the lumen of the appendix, parasites (e.g., intestinal worms), or lymphoid hyperplasia.
Because the appendix is chiefly lymphatic tissue, an infection that produces enlarged lymph nodes elsewhere in the body also can increase the glandular tissue in the appendix and obstruct its lumen. Other causes include CD of the terminal ileum, UC when it spreads to the mucosa of the appendix, and tuberculous enteritis.
Classically, appendicitis is believed to develop primarily from obstruction of the lumen and secondarily from bacterial infection. When the long, narrow appendiceal lumen becomes obstructed, inflammation begins in the mucosa, with swelling and hyperemia of the vermiform appendix. As secretions distend the obstructed appendix, the intraluminal pressure rises and eventually exceeds the venous pressure, causing venous stasis and ischemia.
The accumulation of neutrophils produces microabscesses, and arterial thromboses aggravate the ischemia. The infected necrotic wall becomes gangrenous and may perforate, often in 24 to 48 hours. The mucosa ulcerates and permits invasion by intestinal bacteria. E. coli and other bacteria multiply and cause inflammation and infection that spread to the peritoneal cavity unless the body’s defenses are able to overcome the infection or the appendix is removed before it ruptures.
The presenting symptoms of acute appendicitis occur in a classic sequence of abdominal (epigastric, periumbilical, or right lower quadrant) pain accompanied by anorexia, nausea, vomiting, and low-grade fever in adults (children tend to have higher fevers). Infants and children often seem withdrawn with a nonspecific presentation.70 Women may experience acute pelvic pain that must be differentiated from other causes of pelvic pain (e.g., ectopic pregnancy, diverticulitis, incarcerated hernia, kidney stones).
Pain associated with appendicitis is constant and may shift within 12 hours of symptom onset to the right lower quadrant with point tenderness over the site of the appendix at McBurney’s point, a point between 1½ and 2 inches superomedial to the anterior superior iliac spine, on a line joining that process and the umbilicus (Fig. 16-22). Signs and symptoms of perforation include a white blood cell count of 20,000/mm3 or greater; a tense, rigid abdomen; and elevated temperature (102° F [39° C]).
Aggravating factors include anything that increases intraabdominal pressure (see Box 16-1), such as coughing, walking, laughing, and bending over. Older adults frequently have few or no symptoms with minimal fever and only slight tenderness until perforation occurs. Confusion or increased confusion may be the first and only presenting symptom among older adults. While appendicitis is rare in older adults, half of all people who die from a ruptured appendix are 70 years old or older.143
Atypical Appendicitis.: Many cases of appendicitis are atypical because of the position of the appendix (Fig. 16-23), the person’s age, or the presence of associated conditions, such as pregnancy. The person may not recognize the need for medical attention but may report symptoms to the therapist. Early recognition of the need for medical evaluation is imperative.

Figure 16-23 Variations in the location of the vermiform appendix. Negative test results for appendicitis using McBurney’s point may occur when the appendix is located somewhere other than at the end of the cecum. (From Goodman CC, Snyder TE: Differential diagnosis for physical therapists: screening for referral, ed 4, Philadelphia, 2007, Saunders.)
Retrocecal appendicitis and retroileal appendicitis may occur when the inflamed appendix is shielded from the anterior abdominal wall by the overlying cecum and ileum. The pain seems less intense and less localized, and less discomfort occurs with walking or coughing. The pain may not shift as expected from the epigastrium to the right lower quadrant.
Pelvic appendicitis may begin with pain in the epigastrium but quickly settles in the lower abdomen, commonly localized to the left side for an unknown reason. The absence of abdominal tenderness may be deceptive, but the physician will elicit this symptom on pelvic examination. Appendicitis in the immunosuppressed individual presents as abdominal pain and fever without leukocytosis, but concern about other causes usually delays recognition.
Appendicitis in the aging adult is usually vague with minimal pain and only slight temperature elevation. Abdominal tenderness is present and localized to the right lower quadrant but is deceptively mild. Appendicitis in pregnancy does not present a diagnostic problem in the first trimester but later in gestation may be confused with an obstetric condition. Displacement of the appendix by the enlarged uterus may result in tenderness in the right subcostal area or adjacent to the umbilicus.
Acute appendicitis must be diagnosed early to prevent perforation, abscess formation, and postoperative complications, but the diagnosis is not always easy to make. Although the clinical diagnosis may be straightforward in people who present with classic signs and symptoms, atypical presentations require the physician to differentiate appendicitis from a large variety of GI, genitourinary, and gynecologic conditions.
A careful history and thorough physical examination are the primary diagnostic tools. Rebound tenderness is a widely used physical examination test for clients with suspected appendicitis, but the test can be very uncomfortable for the individual. Some experts no longer advise its use with clients who have abdominal pain but prefer the “pinch-an-inch” test, which is a form of the rebound test in reverse.
To perform the pinch-an-inch test, a fold of abdominal skin over McBurney’s point is grasped and elevated away from the peritoneum. The skin is then allowed to recoil back against the peritoneum. The test is considered positive for peritonitis if there is increased pain when the skin fold strikes the peritoneum (Fig. 16-24).1
An elevated white blood cell count (more than 20,000/mm3; leukocytosis) suggests ruptured appendix and peritonitis. Urinalysis reveals abnormalities in up to 40% of individuals tested.70 Abdominal CT is more diagnostic than ultrasound but is usually only done when a diagn- osis cannot be made.70 Histologic examination of the resected appendix is used to confirm the diagnosis.
Appendectomy, or surgical removal of the vermiform appendix, is performed as soon as possible. Antibiotics are administered preoperatively to decrease the incidence of postoperative wound infection and intraabdominal abscess.70 With accurate diagnosis and early surgical removal, mortality and morbidity rates are less than 1%.
Prognosis is good unless diagnosis is delayed and perforation occurs (rarely during the first 8 hours of symptomatic presentation). Perforation with complications such as peritonitis, hypovolemia, and septic shock has a poor prognosis. Perforation is more likely in infants under 2 years of age and in adults over 60 years. In up to 20% of individuals who undergo emergency appendectomy, pathologic examination of the tissue shows a normal appendix.69
Peritonitis, or inflammation of the serous membrane lining the walls of the abdominal cavity, is caused by a number of situations that introduce microorganisms into the peritoneal cavity. Peritonitis that occurs spontaneously is called primary peritonitis. Peritonitis as a consequence of trauma, surgery, or peritoneal contamination by bowel contents (e.g., perforated duodenal ulcer or appendix) is referred to as secondary peritonitis.
Specific causes of peritonitis are many and varied. Primary peritonitis is associated with ascites and chronic liver disease or the nephrotic syndrome. Secondary peritonitis occurs as a result of inflammation of abdominal organs, irritating substances from a perforated gallbladder or gastric ulcer, rupture of a cyst, or irritation from blood, as in cases of internal bleeding.
Secondary peritonitis may be classified as bacterial, chemical, or metastatic. Bacterial peritonitis is caused by bacterial infection (E. coli, Bacteroides, Staphylococcus, Streptococcus, Pneumococcus, Gonococcus) introduced most commonly by perforation of a viscus. Such perforation can occur in the case of appendicitis, an ulcer, a bowel infarct, colonic diverticulum, long-term peritoneal dialysis at the site of catheter exit, and urinary infection. These bacterial organisms spread quickly throughout the abdominal cavity and may enter the bloodstream from the peritoneum, causing life-threatening septicemia.
Chemical peritonitis is a noninfectious inflammation caused by bile leakage, usually from a perforated gallbladder but sometimes from a needle biopsy of the liver, or any breach in the GI tract wall that allows GI tract contents to spill into the abdominal cavity. Once bacteria enter the abdominal cavity, then chemical peritonitis progresses quickly and develops into bacterial peritonitis. Other causes include substances such as gastric acid, blood, or foreign material introduced by surgery (e.g., talc), and acute pancreatitis, which releases and activates lipolytic and proteolytic enzymes. Metastatic peritonitis occurs when neoplasm perforates the viscus of the stomach and tumor cells infiltrate the peritoneum.
The GI tract normally contains bacteria, but the peritoneum is sterile. Inflammation and perforation of the GI tract from appendicitis, diverticulitis, perforated gallbladder, or a peptic ulcer allow bacteria to invade the peritoneum.
Once the inflammatory process has begun, a fibrinopurulent exudate covers the peritoneal surface. The exudate becomes organized and fibrotic, forming adhesions and causing obstruction. Usually infection in the peritoneal cavity is localized as an abscess.
When a perforation drains contaminants into the peritoneal cavity, however, the ability of the peritoneum to combat the inflammatory process can be overpowered. The entire surface of the peritoneum may be involved (generalized peritonitis) or only specific sites (localized). When the pelvic peritoneum is involved, pelvic peritonitis (also called pelvic inflammatory disease) occurs.
Peritonitis creates severe systemic effects. Circulatory alterations, fluid shifts, and respiratory problems can cause critical fluid and electrolyte imbalances. The circulatory system undergoes great stress from several sources. The inflammatory response shunts extra blood to the inflamed area of the bowel to combat the infection. Peristaltic activity of the bowel ceases, leading to bowel obstruction. Fluids and air are retained within its lumen, raising pressure and increasing fluid secretion into the bowel; circulating volume diminishes.
Peritonitis commonly decreases intestinal motility and causes intestinal distention with gas. At first the affected individual may feel vague, generalized abdominal pain. As the peritonitis progresses, the client presents with an acute abdomen and severe abdominal pain. The abdomen becomes rigid (involuntary guarding) and sensitive to touch. Pain is severe, increasing with movement and respirations, and can be referred to the shoulder or thoracic area. Nausea, vomiting, and high fever follow.
Without treatment, peritonitis can lead to paralytic ileus (diminished to absent peristalsis), fatal bowel obstruction, sepsis, or multiple organ dysfunction syndrome. A peritoneal abscess develops if the perforation becomes self-encased or walled off. Antibiotic therapy may mask or delay the recognition of signs of abscess.
In persons with underlying ascites, the signs and symptoms of peritonitis may be more subtle, with fever as the only manifestation of infection, or possibly nausea, vomiting, nonspecific abdominal pain, or altered mental status.
DIAGNOSIS, TREATMENT, AND PROGNOSIS.
Abdominal films, barium enema, and an abdominal tap may be used in the differential diagnosis of peritonitis. Peritonitis should be treated immediately to control infection; preserve the barrier to further microbial invasion; minimize the effects of paralytic ileus; and correct fluid, electrolyte, and nutritional disorders.
If peritonitis is advanced and surgery is contraindicated because of shock and circulatory failure, oral fluids are prohibited and intravenous fluids are necessary for replacement of electrolyte and protein losses. A long intestinal tube is inserted through the nose into the intestine to reduce pressure within the bowel. Once the infection has become walled off and the client’s condition improves, surgical drainage and repair can be attempted.
Despite treatment with antibiotics, surgical drainage and debridement, and supportive measures, generalized peritonitis is still associated with a mortality rate of 50% and is especially dangerous in the older adult. Individuals recovering from an episode of bacterial peritonitis should be considered as potential candidates for liver transplantation.
A rectal or anal fissure is an ulceration or tear of the lining of the anal canal, usually on the posterior wall. An acute fissure occurs as a result of excessive tissue stretching or tearing, such as childbirth or passage of a large, hard bowel movement through the area. The skin tear is very fragile and tends to reopen easily with the next bowel movement, prompting the person to avoid going to the bathroom for days. Neglecting the “call of the stool” can result in constipation and further exacerbation of the problem, especially in the presence of risk factors for constipation (see the section on Constipation in this chapter).
Anal fissures frequently heal within a month or two when treated with a combination of bran and bulk laxatives or stool softeners, sitz baths, and emollient suppositories. Chronic fissures are usually secondary to a tight rectal sphincter or infectious material retained in the anal sinuses. Sharp pain, followed by burning, accompanies defecation. Other symptoms include mucus, an external skin tag at the anus (sentinel pile), and itching.
Anal abscesses and fistulas can occur as a result of an infected anal gland, fissure, or prolapsed hemorrhoid and are most common in people with CD. The infection can cause pus, mucus, and blood to drain from the anus. Fistulas (abnormal channels to the body’s surface) may form spontaneously to drain the abscesses. Swelling, pain, and throbbing exacerbated by sitting or walking are the primary symptoms of these conditions, which may heal with time or may be treated with surgical drainage with or without antibiotics.
Hemorrhoids, or piles, are varicose veins of a pillowlike cluster of veins that lie just beneath the mucous membranes lining the lowest part of the rectum and anus. They can be internal or external. Hemorrhoids are fairly common, affecting as many as half of all adults more than 50 years of age. It is hypothesized that the connective tissues that support and hold hemorrhoids in place can weaken with age, causing hemorrhoids to bulge and prolapse.
This condition is associated especially with anything that increases intraabdominal pressure (see Box 16-1), such as chronic constipation, pregnancy (the enlarged uterus presses on the veins), pelvic congestion or pelvic venous disease, congestive heart failure, prolonged sitting or standing, low-fiber diet, obesity, diarrhea, and delaying a bowel movement when the urge presents itself.
Higher resting anal canal tone may also contribute to the development of hemorrhoids. The smooth muscle of the anal canal tends to be tighter than average, even when not straining. Constipation and straining add to the pressure in the anal canal.
Internal hemorrhoids occur in the lower rectum and usually are noticed first when a small amount of bleeding occurs during passage of stool, especially if straining occurs during a bowel movement. Internal hemorrhoids are asymptomatic (rectal tissue lacks nerve fibers) except in the presence of an anal fissure, thrombosis, or strangulation of the varicose vein. In the case of strangulation, straining can cause an internal hemorrhoid to protrude (prolapse) from the anus. The blood supply is cut off by the anal sphincter, causing local discomfort and possible itching. This can result in thrombosis when blood within the hemorrhoid clots.
Internal hemorrhoids may require ligation, sclerosing, laser surgery, or cryosurgery to destroy the affected tissue. In the case of advanced chronic hemorrhoids, recurrent bleeding and anemia may necessitate surgery (hemorrhoidectomy, stapled hemorrhoidopexy).
External hemorrhoids located under the skin around the anus bleed (bright red blood) if the hemorrhoid is injured or ulcerated and are very painful because they form in nerve-rich tissue outside the anal canal. Other manifestations include pressure, rectal itching, irritation, and a palpable mass. Severe bleeding or mild bleeding repeatedly from prolonged trauma to the vein during defecation can cause iron-deficiency anemia.
External hemorrhoids can be treated with local application of topical medications, sitz baths, high-fiber diet, and avoidance of constipation and other causes of increased intraabdominal pressure. A stool softener or psyllium preparation may be used when a modified diet is unsuccessful in eliminating constipation. Local topical preparations for hemorrhoids are used to reduce pain or itching. In addition, moderate aerobic exercise such as brisk walking 20 to 30 minutes daily can help stimulate bowel function,
1. Adams, BD. Pinch-an-inch test for appendicitis. South Med J. 2005;98(12):1207–1209.
2. Agency for Health Care Policy and Research (AHCPR) Colorectal cancer screening: summary, 2001. Available on-line at http://www.ahcpr.gov Accessed April 26, 2008.
3. Ahuja, A, Brent, L. Revisting the spondyloarthropathies: a new era of treatment. J Musculoskelet Med. 2006;23(9):654–666.
4. Aldoori, WH, Giovannucci, EL, Rimm, EB, et al. Use of acetaminophen and nonsteroidal antiinflammatory drugs: a prospective study and the risk of symptomatic diverticular disease in men. Arch Fam Med. 1998;7(3):262–263.
5. Ali, A, Toner, BB, Stuckless, N, et al. Emotional abuse, self-blame, and self-silencing in women with irritable bowel syndrome. Psychosom Med. 2000;62(1):76–82.
6. American Cancer Society (ACS) Statistics for 2007: cancer facts and figures for African Americans 2007-2008. Available on-line at www.cancer.org Accessed May 28, 2007.
7. American Physical Therapy Association (APTA). Guidelines for recognizing and providing care for victims of domestic violence. Alexandria, VA: APTA, 1997. [No. P-138].
8. Anderson, M, Robinson, M. Watching for-and managing-joint problems in inflammatory bowel disease. J Musculoskelet Med. 1996;13(11):28–34.
9. Aviles, A. The role of surgery in primary gastric lymphoma: results of a controlled clinical trial. Ann Surg. 2004;240(1):44–50.
10. Aviles, A. Surgery and chemotherapy versus chemotherapy as treatment of high-grade MALT gastric lymphoma. Med Oncol. 2006;23(2):295–300.
11. Befus, AD, Mathison, R, Davison, J. Integration of neuro-endocrine immune responses in defense of mucosal surfaces. Am J Trop Med Hyg. 1999;60(4):26–34.
12. Best, WR. Development of a Crohn’s disease activity index. Gastroenterology. 1976;70(3):439–444.
13. Blomhoff, S, Spetalen, S, Jacobsen, MB, et al. Intestinal reactivity to words with emotional content and brain information processing in irritable bowel syndrome. Dig Dis Sci. 2000;45(6):1160–1165.
14. Blomhoff, S, Spetalen, S, Jacobsen, MB, et al. Rectal tone and brain information processing in irritable bowel syndrome. Dig Dis Sci. 2000;45(6):1153–1159.
15. Breusch, SJ. Acute pseudo-obstruction of the colon following left-sided total hip replacement. Int J Clin Pract. 1997;51(5):327–329.
16. Brown, C. Electrical stimulation for fecal incontinence following bowel resection. Rehab Oncol. 2001;19(3):20.
17. Brown, LM. Helicobacter pylori: epidemiology and routes of transmission. Epidemiol Rev. 2000;22(2):283–297.
18. Burdick, JS. Esophageal cancer prevention, cure, and palliation. Semin Gastrointest Dis. 2000;11(3):124–133.
19. Camilleri, M, Lee, JS, Viramontes, B, et al. Insights into the pathophysiology and mechanisms of constipation, irritable bowel syndrome, and diverticulosis in older people. J Am Geriatr Soc. 2000;48(9):1142–1150.
20. Camilleri, M, Spiller, R. Irritable bowel syndrome: diagnosis and treatment. Edinburgh: Saunders, 2002.
21. Campbell-Thompson, M, Lynch, IJ, Bhardwaj, B. Expression of estrogen (ER) subtypes and ERbeta isoforms in colon cancer. Cancer Res. 2001;61(2):632–640.
22. Cassara, JE, Shaheen, NJ. Endoscopic anti-reflux devices: a year of challenges and change. Curr Opin Gastroenterol. 2006;22(4):423–428.
23. Centers for Disease Control and Prevention (CDC). Hypertrophic pyloric stenosis in infants following pertussis prophylaxis with erythromycin. JAMA. 2000;283(4):471–472.
24. Chao, A. Meat consumption and risk of colorectal cancer. JAMA. 2005;293(2):233–234.
25. Cheng, Y, Macera, CA, Davis, DR, et al. Does physical activity reduce the risk of developing peptic ulcers? Br J Sports Med. 2000;34(2):116–121.
26. Chermesh, I, Eliakim, R. Probiotics and gastrointestinal tract: where are we in 2005? World J Gastroenterol. 2006;12(6):853–857.
27. Christensen, J. Hypothesis: how might oesophagitis cause hiatus hernia? Neurogastroenterol Motil. 2003;15(5):567–569.
28. Christensen, J, Miftakhov, R. Hiatus hernia: a review of evidence for its origin in esophageal longitudinal muscle dysfunction. Am J Med. 2000;108(suppl 4a):3S–7S.
29. Clark, TJ, McKenna, LS, Jewell, MJ. Physical therapists’ recognition of battered women in clinical settings. Phys Ther. 1996;76(1):12–19.
30. Clarke, HD. Acute pseudo-obstruction of the colon as a postoperative complication of hip arthroplasty. J Bone Joint Surg Am. 1997;79:1642–1647.
31. Colbert, LH, Hartman, TJ, Malila, N, et al. Physical activity in relation to cancer of the colon and rectum in a cohort of male smokers. Cancer Epidemiol Biomarkers Prev. 2001;10(3):265–268.
32. Cole, RP. Functional recovery in cancer rehabilitation. Arch Phys Med Rehabil. 2000;81(5):623–627.
33. Compton, CC, Greene, FL. The staging of colorectal cancer: 2004 and beyond. CA Cancer J Clin. 2004;54(6):295–308.
34. Cremonini, F. Irritable bowel syndrome: epidemiology, natural history, health care seeking and emerging risk factors. Gastroenterol Clin North Am. 2005;34(2):189–204.
35. Crew, KD. Epidemiology of upper gastrointestinal malignancies. Semin Oncol. 2004;31:450–464.
36. Crocker, JA, Gudas, SA. Rehabilitation referral patterns in colorectal carcinoma. Rehab Oncol. 2005;23(3):17–21.
37. Crohn’s and Colitis Foundation of America (CCFA) Questions and answers about Crohn’s disease and ulcerative colitis, 2001. Available on-line at http://www.ccfa.org Accessed April 26, 2008.
38. Crowell, MD. The role of serotonin in the pathophysiology of irritable bowel syndrome. Am J Manag Care. 2001;7(suppl 8):S252–S260.
39. Cunningham-Rundles, S, Lin, DH. Nutrition and the immune system of the gut. Nutrition. 1998;14(7-8):573–579.
40. Dahshan, A. Helicobacter pylori and infantile hypertrophic pyloric stenosis: is there a possible relationship? J Pediatr Gastroenterol Nutr. 2006;42(3):262–264.
41. Danese, S. Etiopathogenesis of inflammatory bowel disease. World J Gastroenterol. 2006;12(30):4807–4812.
42. de la Chapelle, A. Genetic predisposition to colorectal cancer. Nat Rev Cancer. 2004;4(10):769–780.
43. De Lillo, AR, Rose, S. Functional bowel disorders in the geriatric patient: constipation, fecal impaction, and fecal incontinence. Am J Gastroenterol. 2000;95(4):901–905.
44. Dean, E. Oxygen transport deficits in systemic diseases and implications for physical therapy. Phys Ther. 1997;77(2):187–202.
45. Duffy, MJ. Carcinoembryonic antigen as a marker for colorectal cancer: is it clinically useful? Clin Chem. 2001;47(4):624–630.
46. Duggan, JM. Systematic review: the liver in coeliac disease. Aliment Pharmacol Ther. 2005;21(5):515–518.
47. Easterling, C. Attaining and maintaining isometric and isokinetic goals of the Shaker exercise. Dysphagia. 2005;20(2):133–138.
48. Elliott, DE. Helminths as governors of immune-mediated inflammation. Int J Parasitol. 2007;37(5):457–464.
49. elMaraghy, AW. Ogilvie’s syndrome after lower extremity arthroplasty. Can J Surg. 1999;42(2):133–137.
50. Falk, GW. Barrett’s esophagus. Gastroenterology. 2002;122:1569–1591.
51. Fasano, A. Prevalence of celiac disease in at-risk and not-at-risk groups in the United States: a large multicenter study. Arch Intern Med. 2003;163(3):286–292.
52. Feldman, M, Peptic ulcer disease. ACP Medicine. New York: WebMD; 2004. Available on-line at www.medscape.com/viewarticle/494030 Accessed May 25, 2007.
53. Ferdjallah, M, Wertsch, JJ, Shaker, R. Spectral analysis of surface electromyography (EMG) of upper esophageal sphincter-opening muscles during head lift exercise. J Rehabil Res Dev. 2000;37(3):335–340.
54. Fitzgibbons, RJ, Jr. Watchful waiting vs. repair of inguinal hernia in minimally symptomatic men: a randomized clinical trial. JAMA. 2006;295(3):285–292.
55. Food and Drug Administration (FDA). FDA approves drugs for colorectal, lung cancer. FDA Consum. 2007;41(1):5.
56. Gaspar, LE, Winter, K, Kocha, WI, et al. A phase I/II study of external beam radiation, brachytherapy, and concurrent chemotherapy for patients with localized carcinoma of the esophagus (Radiation Therapy Oncology Study Group 9207): final report. Cancer. 2000;88(5):988–995.
57. Gelbmann, CM. Prediction of treatment refractoriness in ulcerative colitis and Crohn’s disease-do we have reliable markers? Inflamm Bowel Dis. 2000;6(2):123–131.
58. Gersh, MR. Physical therapy implications for clients with colorectal cancer. Rehab Oncol. 2004;22(3):15–22.
59. Gershon, MD. The second brain: the scientific basis of gut instinct and a groundbreaking new understanding of nervous disorders of the stomach and small intestine. New York: HarperCollins, 1998.
60. Goodman, CC, Snyder, TE. Differential diagnosis in physical therapy, ed 3. Philadelphia: Saunders, 2000.
61. Goodwin, RD, Stein, MB. Generalized anxiety disorder and peptic ulcer disease among adults in the United States. Psychosom Med. 2002;64(6):862–866.
62. Gow, PJ, Chapman, RW. Modern management of oesophageal varices. Postgrad Med J. 2001;77(904):75–81.
63. Green, JA, Amaro, R, Barkin, JS. Symptomatic gastroesophageal reflux as a risk factor for esophageal adenocarcinoma. Dig Dis Sci. 2000;45(12):2367–2368.
64. Harrington, KL, Haskvitz, EM. Managing a patient’s constipation with physical therapy. Phys Ther. 2006;86(11):1511–1519.
65. Hawk, E, Lubet, R, Limburg, P. Chemoprevention in hereditary colorectal cancer syndromes. Cancer. 1999;86(11 suppl):2551–2563.
66. Hegab, AM, Luketic, VA. Bleeding esophageal varices: how to treat this dreaded complication of portal hypertension. Postgrad Med. 2001;109(2):75–76. [81-86, 89].
67. Heitkemper, M. Overlapping conditions in women with irritable bowel syndrome. Urol Nurs. 2005;25(1):25–31.
68. Higgins, PDR. Epidemiology of constipation in North America: a systematic review. Am J Gastroenterol. 2004;99:750–759.
69. Hong, JJ. A prospective randomized study of clinical assessment versus computed tomography for the diagnosis of acute appendicitis. Surg Infect (Larchmt). 2003;4(3):231–239.
70. Humes, DJ. Acute appendicitis. BMJ. 2006;333(7567):530–534.
71. Inadomi, JM. Screening and surveillance for Barrett esophagus in high-risk groups: a cost-utility analysis. Ann Intern Med. 2003;138:176–186.
72. Iqbal, A. Endoscopic therapies of gastroesophageal reflux disease. World J Gastroenterol. 2006;12(17):2641–2655.
73. Jemal, A. Cancer statistics, 2007. CA Cancer J Clin. 2007;57(1):43–66.
74. Johns Hopkins Medical Letter. Do you need a B12 boost? Johns Hopkins Med Lett. 1998;10(4):6.
75. Johnson, C. Handling the hurt: physical therapy and domestic violence. Phys Ther. 1997;5(1):52–64.
76. Kang, W, Kudsk, KA. Is there evidence that the gut contributes to mucosal immunity in humans? JPEN J Parenter Enteral Nutr. 2007;31(3):246–258.
77. Kauffman, D. Postoperative outcomes for patients with colon cancer: laparoscopy-assisted vs. open colostomy. Rehab Oncol. 2003;21(2):18–20.
78. Kemp, S, Batt, ME, The “sports hernia”: a common cause of groin pain. Phys Sports Med. 1998;26(1). Available on-line at http://www.physsportsmed.com/issues/1998/01jan/batt.htm. Accessed May 21, 2007.
79. Khoury, RM, Camacho-Lobato, L, Katz, PO, et al. Influence of spontaneous sleep positions on nighttime recumbent reflux in patients with gastroesophageal reflux disease. Am J Gastroenterol. 1999;94(8):2069–2073.
80. Kluin, J. Endoscopic evaluation and treatment of groin pain in the athlete. Am J Sports Med. 2004;32(4):944–949.
81. Koffler, KH. Strength training accelerates gastrointestinal transit in middle-aged and older men. Med Sci Sports Exerc. 1992;24:415–419.
82. Koloski, NA. Predictors of health care seeking for irritable bowel syndrome: a critical review of the literature on symptom and psychosocial factors. Am J Gastroenterol. 2001;96(5):1340–1349.
83. Kountouras, J, Boura, P, Lygidakis, NJ. New concepts of molecular biology for colon carcinogenesis. Hepatogastroenterology. 2000;35:1291–1297.
84. Krok, KL. Colorectal cancer in inflammatory bowel disease. Curr Opin Gastroenterol. 2004;20(1):43–48.
85. Kumar, A. Results of inguinal canal repair in athletes with sports hernia. J R Coll Surg Edinb. 2002;47(3):561–565.
86. Kushi, LH. American Cancer Society guidelines on nutrition and physical activity for cancer prevention: reducing the risk of cancer with healthy food choices and physical activity. CA Cancer J Clin. 2006;56(5):254–281.
87. Labianca, R. Development and clinical indications of cetuximab. Int J Biol Markers. 2007;22(suppl 4):S40–46.
88. Lanza, E. High dry bean intake and reduced risk of advanced colorectal adenoma recurrence among participants in the polyp prevention trial. J Nutr. 2006;136(7):1896–1903.
89. Lembo, A. Current concepts: chronic constipation. N Engl J Med. 2003;349:1360–1368.
90. Lin, OS. Screening colonoscopy in very elderly patients: prevalence of neoplasia and estimated impact on life-expectancy. JAMA. 2006;295(20):2357–2365.
91. Lucak, S, Diagnosis irritable bowel syndrome. MedGenMed. 2004;6(1). Available on-line at www.medscape.com/viewarticle/465760 Accessed May 26, 2007.
92. Lynch, PM. COX-2 inhibition in clinical cancer prevention. Oncology. 2001;15(3 suppl 5):21–26.
93. MacDonald, TT. Immunopathogenesis of Crohn’s disease. J Parenter Enteral Nutr. 2005;29(4 suppl):S118–S124.
94. Maheshwai, N. Are young infants treated with erythromycin at risk for developing hypertrophic pyloric stenosis? Arch Dis Child. 2007;92(3):271–273.
95. Marks, DJB. Defective acute inflammation in Crohn’s disease: a clinical investigation. Lancet. 2006;367(9511):668–678.
96. Marshall, JL. Bevacizumab in the treatment of colorectal cancer. Clin Adv Hematol Oncol. 2007;5(1 suppl 1):8–9.
97. Mayne, ST. Diet, obesity, and reflux in the etiology of adenocarcinomas of the esophagus and gastric cardia in humans. J Nutr. 2002;132:3467S–3470S.
98. Meshkinpour, H. Effects of regular exercise in management of chronic idiopathic constipation. Dig Dis Sci. 1998;43:2379–2383.
99. Montalto, M. Management and treatment of lactose malabsorption. World J Gastroenterol. 2006;12(2):187–191.
100. Morbidity and Mortality Weekly Report (MMWR). Diagnosis and management of foodborne illnesses. MMWR Recomm Rep. 2001;50(RR-2):1–69.
101. Morbidity and Mortality Weekly Review (MMWR). Diagnosis and management of foodborne illnesses: a primer for physicians and other health care professionals. MMWR Recomm Rep. 2004;53(RR-4):1–33.
102. Morbidity and Mortality Weekly Report (MMWR), Preliminary FoodNet data on the incidence of foodborne illnesses-selected sites, United States, 2000. MMWR Morb Mortal Wkly Rep. 2001;50(13):241–246. Available on-line at http://www.cdc.gov/mmwr/preview/mmwrhtml/rr5304a1.htm Accessed May 22, 2007.
103. Moreels, TG, Pelckmans, PA. Gastrointestinal parasites: potential for refractory inflammatory bowel diseases. Inflamm Bowel Dis. 2005;11(2):178–184.
104. Morgner, A, Bayerdorffer, E, Neubauer, A, et al. Gastric MALT lymphoma and its relationship to Helicobacter pylori infection: management and pathogenesis of the disease. Microsc Res Tech. 2000;48(6):349–356.
105. Mort, JR. Interaction between selective serotonin reuptake inhibitors and nonsteroidal antiinflammatory drugs: review of the literature. Pharmacotherapy. 2006;26(9):1307–1313.
106. Murphy, TV, Gargiullo, PM, Massoudi, MS, et al. Intussusception among infants given an oral rotavirus vaccine. N Engl J Med. 2001;344(8):564–572.
107. Nagura, H, Ohtani, H, Sasano, H, et al. The immuno-inflammatory mechanism for tissue injury in inflammatory bowel disease and Helicobacter pylori-infected chronic active gastritis: roles of the mucosal immune system. Digestion. 2001;63(suppl 1):12–21.
108. Nakatsuchit, T. The necessity of chest physical therapy for thorascopic esophagectomy. J Int Med Res. 2005;33(4):434–441.
109. Nelson, JD. Acute colonic pseudo-obstruction (Ogilvie syndrome) after arthroplasty in the lower extremity. J Bone Joint Surg Am. 2006;88(3):604–610.
110. Oliveria, SA, Christos, PJ, Talley, NJ, et al. Heartburn risk factors, knowledge, and prevention strategies: a population-based survey of individuals with heartburn. Arch Intern Med. 1999;159(14):1592–1598.
111. Overmier, JB, Murison, R. Anxiety and helplessness in the face of stress predisposes, precipitates, and sustains gastric ulceration. Behav Brain Res. 2000;110(1-2):161–174.
112. Pahor, M, Guralnik, JM, Salive, ME, et al. Physical activity and risk of severe gastrointestinal hemorrhage in older persons. JAMA. 1994;272:595–599.
113. Paulozzi, LJ. Is Helicobacter pylori a cause of infantile hypertrophic pyloric stenosis? Med Hypotheses. 2000;55(2):119–125.
114. Pickhardt, PJ. CT colonography (virtual colonoscopy): a practical approach for population screening. Radiol Clin North Am. 2007;45(2):361–375.
115. Pilotto, A. Recent advances in the treatment of GERD in the elderly: focus on proton pump inhibitors. Int J Clin Pract. 2005;59(10):1204–1209.
116. Pothoulakis, C, Lamont, JT. Microbes and microbial toxins: paradigms for microbial-mucosal interactions: II. The integrated response of the intestine to Clostridium difficile toxins. Am J Physiol Gastrointest Liver Physiol. 2001;280(2):G178–G183.
117. Potosky, AL. Age, sex, and racial differences in the use of standard adjuvant therapy for colorectal cancer. J Clin Oncol. 2002;20:1192–1202.
118. Quigley, EM, Quera, R. Small intestinal bacterial overgrowth: roles of antibiotics, prebiotics, and probiotics. Gastroenterology. 2006;130(2 suppl 1):S78–S90.
119. Reddy, A, Fried, B. The use of Trichuris suis and other helminth therapies to treat Crohn’s disease. Parasitol Res. 2007;100(5):921–927.
120. Reilly, J, Baker, GA, Rhodes, J, et al. The association of sexual and physical abuse with somatization: characteristics of patients presenting with irritable bowel syndrome and non-epileptic attack disorder. Psychol Med. 1999;29(2):399–406.
121. Reis, LAG. The annual report to the nation on the status of cancer with a special section on colorectal cancer. Cancer. 2000;88:2398–2424.
122. Romano, M, Cuomo, A, Eradication of Helicobacter pylori: a clinical update. MedGenMed. 2004;6(1). Available on-line at http://www.medscape.com/viewarticle/468006. Accessed May 26, 2007.
123. Rose, SJ, Rothstein, JM. Muscle mutability: general concepts and adaptations to altered patterns of use. Phys Ther. 1982;62:1773.
124. Rubin, DT, Dachman, AH. Virtual colonoscopy: a novel imaging modality for colorectal cancer. Curr Oncol Rep. 2001;3(2):88–93.
125. Saito, YA. The epidemiology of irritable bowel syndrome in North America: a systematic review. Am J Gastroenterol. 2002;97(8):1910–1915.
126. Sandler, RS, Halabi, S, Kaplan, EB, et al. Use of vitamins, minerals, and nutritional supplements by participants in a chemoprevention trial. Cancer. 2001;91(5):1040–1045.
127. Sartor, RB. Mechanisms of disease: pathogenesis of Crohn’s disease and ulcerative colitis. Nat Clin Pract Gastroenterol Hepatol. 2006;3(7):390–407.
128. Schatzkin, A. Dietary fiber and whole-grain consumption in relation to colorectal cancer in the NIH-AARP Diet and Health Study. Am J Clin Nutr. 2007;85(5):1353–1360.
129. Schatzkin, A, Lanza, E, Corle, D, et al. Lack of effect of a low-fat, high-fiber diet on the recurrence of colorectal adenomas, Polyp Prevention Trial Study Group. N Eng J Med. 2000;342(16):1149–1155.
130. Schoon, EJ, Blok, BM, Geerling, BJ, et al. Bone mineral density in patients with recently diagnosed inflammatory bowel disease. Gastroenterology. 2000;119(5):1203–1208.
131. Schoon, EJ, Muller, MC, Vermeer, C, et al. Low serum and bone vitamin K status in patients with longstanding Crohn’s disease: another pathogenetic factor of osteoporosis in Crohn’s disease? Gut. 2001;48(4):448.
132. Schulte, CM, Dignass, AU, Goebell, H, et al. Genetic factors determine extent of bone loss in inflammatory bowel disease. Gastroenterology. 2000;119(4):909–920.
133. Semrad, CE. Bone mass and gastrointestinal disease. Ann N Y Acad Sci. 2000;904:564–570.
134. Serebruany, VL. Selective serotonin reuptake inhibitors and increased bleeding risk. Am J Med. 2006;119(2):113–116.
135. Shanahan, F. Inflammatory bowel disease: immunodiagnostics, immunotherapeutics, and ecotherapeutics. Gastroenterology. 2001;120(3):622–635.
136. Sherwood, W. Infantile hypertrophic pyloric stenosis: an infectious cause? Pediatr Surg Int. 2007;23(1):61–63.
137. Silano, M. Delayed diagnosis of coeliac disease increases cancer risk. BMC Gastroenterol. 2007;7:8.
138. Slattery, ML. Physical activity and colon cancer: a public health perspective. Ann Epidemiol. 1997;7:137–145.
139. Smith, RA. American Cancer Society guidelines for the early detection of cancer, 2006. CA Cancer J Clin. 2006;56(1):11–15.
140. Souza, RF, Spechler, SJ. Concepts in the prevention of adenocarcinoma of the distal esophagus and proximal stomach. CA Cancer J Clin. 2005;55(6):334–351.
141. Spinzi, G, Belloni, G, Martegani, A, et al. Computed tomographic colonography and conventional colonoscopy for colon diseases: a prospective blinded study. Am J Gastroenterol. 2001;96(2):394–400.
142. Stephen, AE. Shortened length of stay and hospital cost reduction with implementation of an accelerated clinical care pathway after elective colon resection. Surgery. 2003;133:277–282.
143. Storm-Dickerson, TL. What have we learned over the past 20 years about appendicitis in the elderly? Am J Surg. 2003;185(3):198–201.
144. LStrate, Can diverticular disease patients eat nuts, corn, and popcorn? Presentation at Digestive Diseases Week Annual Meeting, Washington, DC, May 22, 2007.
145. Streitz, JM, Jr. Endoscopic surveillance of Barrett’s esophagus: does it help? J Thorac Cardiovasc Surg. 1993;105:383–387.
146. Stroupe, KT. Tension-free repair versus watchful waiting for men with asymptomatic or minimally symptomatic inguinal hernias. J Am Coll Surg. 2006;203(4):458–468.
147. Sutton, P. Helicobacter pylori vaccines and mechanisms of effective immunity: is mucus the key? Immunol Cell Biol. 2001;79(1):67–73.
148. Swan, KG, Wolcott, M. The athletic hernia. Clin Orthop Rel Res. 2006;455:78–87.
149. Tam, WC. Impact of endoscopic suturing of the gastroesophageal junction on lower esophageal sphincter function and gastroesophageal reflux in patients with reflux disease. Am J Gastroenterol. 2004;99(2):195–202.
150. Vainio, H, Bianchini, F. Prevention of disease with pharmaceuticals. Pharmacol Toxicol. 2001;88(3):111–118.
151. Van Veen, RN. Successful endoscopic treatment of chronic groin pain in athletes. Surg Endosc. 2007;21(2):189–193.
152. Vanagunas, A. Managing gastrointestinal problems in athletes. J Musculoskel Med. 1999;16(7):405–415.
153. Ward, EM. Barrett’s esophagus is common in older men and women undergoing screening colonoscopy regardless of reflux symptoms. Am J Gastroenterol. 2006;101(1):12–17.
154. Weinryb, RM. Psychological factors in irritable bowel syndrome: a population-based study of patients, non-patients and controls. Scand J Gastroenterol. 2003;38(5):503–510.
155. Weinstock, JV. Helminths and mucosal immune modulation. Ann N Y Acad Sci. 2006;1072:356–364.
156. Wessinger, S. Increased use of selective serotonin uptake inhibitors in patients admitted with gastrointestinal hemorrhage: a multicenter retrospective analysis. Aliment Pharmacol Ther. 2006;23(7):937–944.
157. Whitehead, WE. Systematic review of the comorbidity of irritable bowel syndrome with other disorders: what are the causes and implications? Gastroenterology. 2002;122(4):1140–1156.
158. Wijnhoven, BP, Tilanus, HW, Dinjens, WN. Molecular biology and Barrett’s adenocarcinoma. Ann Surg. 2001;233(3):322–337.
159. Wilson, S. Systematic review: the effectiveness of hypnotherapy in the management of irritable bowel syndrome. Aliment Pharmacol Ther. 2006;24(5):769–780.
159a. Wolpin, BM. Adjuvant treatment of colorectal cancer. CA Cancer J Clin. 2007;57(3):168–185.
160. Yang, YX, Lichtenstein, GR. Methotrexate for the maintenance of remission in Crohn’s disease. Gastroenterology. 2001;120(6):1553–1555.
161. Yuan, Y. Peptic ulcer disease today. Nat Clin Pract Gastroenterol Hepatol. 2006;3(2):80–89.